■小溪/文
■柴培/审校
有病去医院求医时,医生为了能明确诊断疾病,往往会根据病患者的具体情况开出各类化验单、检验单,其中很可能就有CT或PET或PET/CT的检查项目。
什么是CT?PET?PET/CT?一般人可能知道它们的名称,但并不清楚它们的由来。CT的全称是“计算机断层成像(Computed Tomography)”,PET的全称是“正电子发射计算机断层成像(Positron Emission Tomography)”,而PET/CT,并不是简单的PET加CT,而是两者的完美融合,PET/CT已成为当今最高端的医学影像诊断设备之一。
CT图像属于结构显像,PET图像属于功能显像,既然有CT又有PET,为何还要PET/CT?又是谁促就了PET与CT的“联姻”呢?
本文简要介绍了CT、PET的发明,以及与它们联姻相关的故事。
先透露点内幕:那位促就PET与CT联姻的人竟然与粒子物理研究有着不解之缘。
1895年,德国物理学家伦琴(Wilhelm Konrad Rontgen)在实验中发现了一种具有特别强穿透力的新射线,用这种射线拍摄手的照片,底片上可显示出手的骨骼结构。因当时还无法确定这一新射线的本质,称为X射线。这一发现引起了强烈反响,仅几个星期,X射线就开始被医学界用来显示人体骨骼以帮助诊断疾病。可以说,这是物理学的新发现在医学中最迅速的应用。伦琴因发现X射线获得首次颁发的1901年诺贝尔物理学奖。
伦琴(W.K. Rontgen)(图片来自网络)
1963年,美国物理学家柯马克(Allan MacLeod Comack)发现人体不同组织对X射线的吸收系数有所不同,提出了一种用投影数据重建图像的数学方法,为X射线计算机断层成像奠定了理论基础。
柯马克(A.M. Comack)(图片来自网络)
英国物理学家亨斯菲尔德(Godfrey Newbold Hounsfield)20世纪50年代时从事计算机自动模式识别技术的研究,后来他接触了X射线影像学,在柯马克提出的投影数据重建图像方法的基础上,形成了“断层成像”的概念,设想研制一种用计算机进行断层扫描的装置。
亨斯菲尔德(G.N. Hounsfield)(图片来自网络)
普通的X射线成像得到的是被摄物的重叠平片图像。而X射线断层成像是用X射线透射受检者某个部位,因人体各类组织对X射线的吸收能力不等,通过探测穿透人体不同类组织后剩余的X射线量,可获得被摄物分层的扫描信息,经计算机处理显示各层的断面解剖图像,其密度分辨力明显优于X射线成像,可大大提高病变的检出率和诊断的准确率。
20世纪70年代初,亨斯菲尔德等人研制出第一台头部的X射线断层扫描机,X射线束可绕头部旋转180度,在每个视角照射后再将图片合成,可获得清晰的头部诊断影像,这就是第一台计算机断层成像(CT)的诞生。
1975年,亨斯菲尔德研制成改进型的CT,配置了能将人体送入圆型检查孔的移动床,可进行全身CT扫描,为现代CT奠定了基础。CT的发明使获得人体内任意断层的图像成为可能,极大地扩展了医学影像的范围。柯马克和亨斯菲尔德也因上述突出贡献获得了1979年诺贝尔生理学及医学奖。
早期的CT扫描仪(图片来自网络)
此后,CT的相关技术发展迅速,探测器的个数已能达到数千个,扫描方式也从平移、旋转到多层螺旋式扫描。随着计算机功能、图片处理等技术的提高,现代CT实现了即时获得重建图像及合成三维重建图像,具有抗干扰强、层面连续、图像质量高等优势,广泛地用于检查和诊断。因CT图像属于结构显像,解剖定位清晰,医生能详细观察人体某部位的形态学特点(包括解剖结构、形态、大小、密度),可根据病灶的具体特征进行精确的诊断。
现代CT扫描仪(图片来自网络)
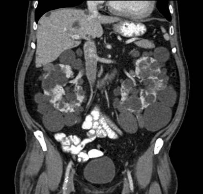
人体腹部的CT图像(图片来自网络)
正电子是美国物理学家安德森(Carl David Anderson)1932年发现的。
早在1897年,英国物理学家汤姆孙(Joseph John Thomson)在实验中发现了原子中环绕原子核运动的电子(带负电荷)。1928年,英国物理学家狄拉克(Paul Adrien Maurice Dirac)提出“反粒子”概念,从理论上预言自然界中应当存在一种与电子静止质量相同而电荷相反的粒子——正电子。
1930年我国物理学家赵忠尧先生在世界上首先发现了正负电子湮灭,1932年安德森利用放在强磁场中的云室记录宇宙线粒子时观察到了正电子的径迹,发现了第一个反粒子——正电子,这两项工作充分证实了狄拉克预言(安德森因此获得1936年诺贝尔物理学奖)。
安德森(C.D. Anderson)(图片来自网络)
当时,美国物理学家劳伦斯(Ernest Lawrence)发明了回旋加速器。利用回旋加速器可以将带电粒子,例如质子、氘核等加速后轰击靶原子核,通过核反应获得能释放正电子产生衰变的放射性核素——称为正电子发射核素。
正电子发射核素衰变产生的正电子与物质中的带负电荷的电子结合,转化为一对运动方向相反、能量相等(0.511 MeV)的γ光子,而正电子与负电子自身消失,这种现象称为湮灭反应。
如果用半衰期很短的微量正电子发射核素标记的有机化合物作为示踪剂注入人体,正电子一经产生就会与周围组织中带负电荷的电子发生湮灭反应。只要能在人体外用环绕排列的探头探测到湮灭反应产生的足够多γ光子对的位置及强度,经数据处理和图像重建,就可获得深层组织的影像。
1951年,美国马萨诸塞州总医院的斯威特(William Sweet)首先报道了正电子在医学上的应用。斯威特领导的小组研制出首个脑探测装置,将正电子示踪剂注入人体内,用两个相对的碘化钠晶体作为探测器,依据符合法探测原理对人脑肿瘤进行定位。
斯威特(William Sweet)(图片来自网络)
1962年,美国布鲁克海文国家实验室(BNL)的兰科威茨(S. Rankowitz)和罗伯逊(James S. Robertson)等人将32个碘化钠探测器配置成圆环状,用以收集人脑部的血流信息,这是正电子断层成像的首次尝试,但当时还没有相应的数学算法进行图像重建。
美国加州大学洛杉矶分校的菲尔普斯(Michael E. Phelps)与波戈希安(Michel M. Ter Pogossian)和霍夫曼(Edward J. Hoffman)设计出一种带铅准直器的探测器用以探测正电子,这是初期的正电子平面扫描机,但成像结果不很理想。
菲尔普斯(Michael E. Phelps)、波戈希安(Michel M. Ter Pogossian)、霍夫曼(Edward J. Hoffman)(图片来自网络)
1966年,安杰尔(Hal O. Anger)用两个g照相机以同步的模式对正电子湮没产生的辐射光子进行扫描,设计出首个正电子照相机的技术模型,同时也创立了符合探测方法。不久,库尔(David E. Kuhl)等证实:用滤波反投影重建技术可产生正确的横断层图像。20世纪70年代初,布劳内尔(Gordon Brownell)等建立了由两个互成180°的NaI(Tl)晶体后接光电倍增管及符合探测线路组成第一台医用正电子照相机。
CT研制获得成功后,菲尔普斯、霍夫曼等人受到了启发,他们放弃了原来的设计,把投影图像重建的思路引入正电子发射领域。1975年,他们终于研制出首台可进行断层成像的PET扫描仪原型。当时整合了合适的图像重建算法、湮没符合探测、合适的直线和成角采样、衰减校正等基本原理,但分辨率较差(25毫米)。第一台商业化的PET于1976年面市。
早期的PET扫描仪(图片来自网络)
此后,多个大公司的介入使PET技术的发展速度令人瞩目。多环探测器、模块化晶体、3D结构等多种新技术,以及新型的晶体材料、位置灵敏的光电倍增管、探测g 射线飞行时间的TOF技术的应用,加之正电子核素的产生及正电子示踪剂的合成更简单、方便,PET的性能不断提高,操作更程序化,大大促进了临床应用的推广。至20世纪90年代中期,PET在发达国家已成为重要的医学影像学诊断工具。
进行PET检查,是将极微量、短寿命的放射性药物作为正电子示踪剂注射到受检者体内。利用药物停留人体内的短暂时间(衰变后会很快排出体外),探测那些被放射性核素标记过的物质(如葡萄糖、蛋白质、核酸、脂肪酸等)在生命代谢中重新聚集分布的信息,经计算机处理可获得正电子示踪剂分布的三维断层图像。PET属于分子水平的功能显像,医生依此分析人体生命代谢与功能的动态变化,从而达到诊断的目的。
现代PET扫描仪(图片来自网络)
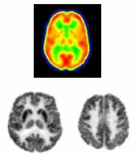
人体脑部的各类PET图像(图片来自网络)
20世纪90年代初,PET与CT都已经广泛应用于医学并各自显示了技术上的优势。但是,临床医生,尤其是准备为癌症病人做手术的外科医生仍常常感到郁闷与沮丧。CT图像能显示精确的解剖细节,PET图像对病变程度的检测灵敏度高,病灶边界显示清楚,但存在解剖结构不够清晰的缺陷。靠“目测”试图匹配这两种来自不同仪器的扫描结果时,病患者肿瘤的确切位置仍然无法确定,但似乎又找不到更好的方法。
让病患者做一次CT扫描,再做一次PET扫描?这并不现实,因为两次扫描很难做到受检者的身体位置不发生变化,而身体位置的细微差别就会导致再次扫描时受检者体内的器官发生移位,这会使两种检查结果无法准确对照。怎么办呢?
这里,要介绍一位关键人物——汤森(DavidWilliam Townsend)。
汤森拥有英国伦敦大学的粒子物理学博士学位,从1970年起在欧洲核子研究中心(CERN)工作了9年。他在CERN主要从事粒子物理研究及探测数据分析、数据的图像重建等,还参与了著名物理学家夏帕克(Georges Charpak)(1992年诺贝尔物理学奖获得者)领导的多丝室(粒子探测器)的医学应用研究。汤森在粒子物理探测技术及数据分析、图像重建等方面有丰富的经验。
1979年,汤森离开CERN到日内瓦大学医学院工作。他在那里提出并建造了第一个可旋转PET (用铋锗氧化物(BGO)晶体制作探测器)。
可旋转PET(图片来自网络)
1991年,日内瓦医院的一位肿瘤外科医生埃盖利(Rudi Egeli)提出建议:能否让PET与CT结合起来,为外科医生提供更多的解剖学信息?埃盖利的建议引起了汤森(David William Townsend)的深思。汤森提出一个设想:因PET的探测器由闪烁晶体构成,环形分布的各组晶体之间存有较大缝隙,如果能想法插入CT扫描装置,便可为医生提供更多的解剖学信息了——这就是PET/CT概念的来源。
然而,汤森很快就发现在PET旋转支架的闪烁晶体之间插入CT扫描装置的想法并不可行。PET/CT并不是简单的PET加上CT,如何让PET与CT有机地成为一个整体,使受检者快速全身扫描一次即可获得CT解剖图像与PET功能代谢图像融合的高清晰图像,技术上的难点很多,PET/CT原型机的研制并不是件容易的事。
汤森(David William Townsend)、纳特(Ronald Nutt)(图片来自网络)
1993年,汤森来到美国的匹兹堡大学工作。在这里,他遇见了志同道合的纳特(Ronald Nutt),他们申请获得了美国国家卫生研究院的一项拨款,用于研发将PET与CT结合在一起的设备。
汤森担任PET/CT研制项目负责人。1998年,第一台专用PET/CT原型机研制成功,当时安装在在匹兹堡大学医学中心。采用的设计思路是将已在临床使用的螺旋式扫描CT和专用PET扫描仪装在同一个机架上(CT扫描装置安装在PET的后面,完全克服了安装空间的相互限制),受检者在PET/CT上只需经一次扫描,且可用所获的CT图像对PET图像的衰减进行校正,经计算机处理后重建的融合图像能清晰地呈现出病灶的生物代谢信息及精准的解剖定位与结构。
第一台专用PET/CT原型机示意图(图片来自网络)
匹兹堡大学的PET/CT原型机(图片来自网络)
在PET/CT原型机获得的头颈部癌症患者的截面图像(1999年) (图片来自网络)
1999年6月,汤森在美国第46届核医学年会上正式发布了PET/CT原型机获得成功的消息。PET图像与CT图像的融合大大提升了图像的可读性,核医学界为此大为振奋。
有300余例肿瘤病人在这台原型机上做了检查,获得了很好的效果。医生依据检测结果可更直观、更全面、更准确地对病变作出判断,对肿瘤的早期诊断、特性鉴别、精准分期、疗效评价,对心脏及脑部疾病的诊治具有更为突出的优势。2000年10月,美国食品和药品管理局批准推出商业化PET/CT。
这项令人瞩目的成果被权威的《时代》杂志评为2000年“年度医学发明”。
PET/CT被《时代》杂志评为2000年医学发明(图片来自网络)
2001年,首台商用的PET/CT安装在瑞士苏黎世大学医院正式使用。此后,PET/CT技术不断发展,通用电气、西门子、菲利普公司,以及日立公司和东芝公司陆续推出多款高灵敏、高分辨率、高清晰度和具有更多功能的PET/CT。
PET/CT(图片来自网络)
人体CT、PET、PET/CT图像的对照(图片来自网络)
人体胸腹部的PET/CT图像(图片来自网络)
实际上,随着配有16排CT(“排”是指CT探测器的阵列数)的全身PET/CT开始商用,全球各大厂商在2003年左右就停止了单独PET的生产销售。到2008年,已有约2500个PET/CT在全球范围内运行,目前,越来越多的高性能PET/CT正在临床和生物医学研究中发挥着重要作用。
■PET/CT的诞生是医学成像领域技术发展的一个里程碑
从某个视角看,PET/CT的诞生也可以说是历史的必然选择,但真正促就了PET与CT完美联姻的是汤森,他为此得到了很高的声誉,如:
2004年获分子成像学会《杰出临床科学家奖》;
2006年当选电气与电子工程师协会(IEEE)院士;
2008年获奥地利核医学学会《核医学先驱奖》;
2009年获法国马赛地中海大学的荣誉博士学位;
2010年与纳特分享IEEE《医疗保健创新奖》;
2010年12月出任新加坡国立大学临床影像研究中心主任;
2012年当选英国皇家辐射荣誉院士;
……
■PET/CT涉及多个技术领域
《CERNCOURIER》以“PET and CT: a perfect fit”为题报道了对汤森的采访。汤森回顾了自己在CERN的工作,介绍了参加PET研制的经历,以及PET/CT诞生的过程。他认为,PET/CT取得令人印象深刻的进展主要有以下几个因素:探测器构造的改进、使用更新型的闪烁体、更好的扫描仪的设计、重建算法的改进,高性能的电子设备,还有计算机能力的巨大增长,而所有这些都是在PET/CT的销售价格没有明显提高的情况下实现的。
《CERNCOURIER》刊登的“PETand CT: a perfect fit”(图片来自网络)
■PET/CT基于CERN研制粒子探测器产生的技术发展而来
2015年,CERN发布了一份特别报告“BIG SCIENCE: What’s It Worth?”,报告在谈到大科学对医学领域的影响时特别指出:汤森在CERN工作了9年,现今最先进的医疗扫描仪PET/CT正是基于CERN研制粒子探测器产生的技术发展而来的。
“BIG SCIENCE: What’s It Worth?”介绍了汤森研制PET/CT的过程(图片来自网络)
■从科学研究到商业应用是个漫长的过程
世界知识产权组织的《WIPO MAGAZINE》上刊登了题为“CERN and Innovation – The Heart of the Matter”的文章,文中指出:
从CERN实验衍生出来的技术已经彻底改革了医学成像,例如PET/CT;尽管这些技术看起来非常先进,但对于CERN的科学家来说,它们实际上已经过时了。弥合科学研究与商业用途之间的鸿沟存在一个漫长的过程,从CERN产生的技术大约需要10年才能形成商用设备,而且要做到成本低廉、经济实惠;
目前这些对临床医生来说最先进的仪器,实际上它们已经“相当老”了,它们是由20世纪70年代晚期的高能物理研究产生的技术发展而来的。
《WIPO MAGAZINE》刊登的“CERN and Innovation – TheHeart of the Matter”(图片来自网络)
令人欣慰的是:随着科技的发展,基于粒子物理研究产生的高新技术有更多、更广泛的应用造福人类。《CERN COURIER》刊登的“PET and MRI: providing thefull picture”中举出了极有说服力的例子:LHC上新开发的高场强磁铁技术、硅光电倍增管技术等很快应用于更新、更灵敏的医学影像诊断设备PET/MRI(PET与MRI(核磁共振成像)的集成装置)。正如文章开头列出的“一种将光电探测器放在强磁场中的新的混合医学成像技术,就如粒子物理学的实验那样”。
《CERNCOURIER》刊登的“PET and MRI: providing the full picture”(图片来自网络)
1、Michael S. Turner,Big science is hard but worth it,《Science》24 Apr 2015,http://science.sciencemag.org/content/sci/348/6233/375.full
2、CERN and Innovation – The Heart of theMatter,http://www.wipo.int/wipo_magazine/en/2008/06/article_0005.html
3、PET and MRI: providing the full picture,http://cerncourier.com/cws/article/cern/47508
4、PET and CT: a perfect fit,http://cerncourier.com/cws/article/cern/29359
5、David William Townsend,https://loop.frontiersin.org/people/94708/bio
6、Time Magazine's Medical Invention of theYear 2000,http://www.petscaninfo.com/zportal/portals/pat/news/awardsfol/time
7、The History and Evolution of PET,http://www.cerebromente.org.br/n01/pet/pet_hist.htm
8、The History of the PET-CT Scanner,https://www.amberusa.com/blog/the-history-of-the-pet-ct-scanner
9、Combined PET/CT: the historical perspective,https://www.ncbi.nlm.nih.gov/pmc/articles/PMC2777694/
10、朱朝晖,PET - CT 技术的发展现状与展望,《现代仪器》2004年第4期
11、PET的发展史,http://blog.sina.com.cn/s/blog_4bb2a18101009vz3.html
12、PET和PET/CT的区别,http://medical.ofweek.com/2015-10/ART-11101-11000-29012558.html
13、PET/CT的诞生历程让人惊叹,http://tijian.51daifu.com/2015/1105/7E42DF92C1019T463059.shtml
14、PET/CT之PET的发展历程,http://tijian.51daifu.com/2011/0830/2214C73FC1019T416025.shtml
15、你所不了解的PET和PET/CT,http://www.bio4p.com/depth/9508.html
16、廖晶莹、叶崇志、杨培志,锗酸铋闪烁晶体的研究综述,《化学研究》第15卷第4期
17、陈百万、赵仁宏、李淑玮,正电子医学成像,《现代物理知识》第14卷第2期
18、最新医学成像技术透视奇妙人体构造,http://www.bioon.com/trends/imagesstory/412270_3.shtml
19、喀蔚波,医学物理学—物理学在医学中的应用,《物理》第31卷第6期
20、刘华锋,正电子发射层析成像探测理论与技术研究,浙江大学博士学位论文(2001年)
21、叶华俊,正电子成像系统关键技术的研究,浙江大学硕士学位论文(2003年)
22、李天然、陈自谦、郑春雨,临床PET/CT诊断学,人民军医出版社(2008年)
23、什么是反物质,现实中有反物质吗?https://weibo.com/p/1001603954127561465051?from=singleweibo&mod=recommand_article
24、影响世界的专利:计算机X射线断层扫描技术,http://www.sipo.gov.cn/ztzl/ywzt/yxsjdip/ct/
25、孙涛、韩善清、汪家旺,PET/CT成像原理、优势及临床应用,《中国医学物理学杂志》第27卷第1期
26、杨星、贾峰涛、任庆余,PET/CT的技术发展趋势,《中国医疗设备》2012年第27卷第2期
27、Kei Wagatsumaet al,Comparison between new-generation SiPM-based and conventionalPMT-based TOF-PET/CT,《Physica Medica》,Volume 42
前往“发现”-“看一看”浏览“朋友在看”