2022 年 5 月 19 日,NEJM 上发表了一篇重要研究论文,对此前两例具有开创意义的猪肾人体移植案例进行了详细分析和回顾。
论文截图
论文作者之一,正是 2021 年 9 月亲自操刀了猪肾人体「移植」的纽约大学 Langone 移植研究所负责人 Dr.Robert Montgomery。
论文通过分析两例猪肾移植案例,得出结论:猪的转基因异种移植肾在脑死亡的人体内仍能存活并发挥功能 54 小时,没有超急性排斥反应的表现。
猪肾移植:两例开创性尝试
纽约大学 Langone 移植研究所在去年 9 月的这一例猪肾人体「移植」,接受者是一名脑死亡的女性。
之所以给「移植」打了引号,是因为研究团队并没有像正常器官移植那样将肾脏移植到髂内动静脉上,而是选择和受体大腿的血管相连,并在体外保存。
图源:参考资料 1
在接下来的 54 个小时里,肾脏被放在受体体外保存。这方便了研究人员从外部观察肾脏的外观和功能状态,同时也意味着,这一手术并非为了拯救患者,而是一次在人体上进行的技术验证。
据纽约时报当时的报道,主导手术的 Robert Montgomery 这样描述团队观察到的成果:「猪肾脏几乎立刻生效了」、「效果超出我们的预想」、「产生了符合预期的尿液量」、「肌酐恢复正常」……
经过了 54 小时的观察,试验结束。
2022 年 1 月 10 日,阿拉巴马大学伯明翰分校 Heersink 医学院移植外科教授 Jayme Locke 带领团队在美国器官移植杂志上发表了一篇关于「首例临床级猪肾异种移植」的文章。
论文截图
所谓临床级,是区别于科研级的,满足 I 期人体临床试验的标准,包括机构审查委员会批准、术前组织相容性确认、免疫抑制疗法等移植手术的全部步骤,适合直接治疗用途。
这次移植手术的接受者是一位已被宣布脑死亡 5 天的成年人,有轻度至中度急性肾损伤。与此前相比,这一例案例有三处不同:
第一,此次手术切除了接受者的的双侧肾脏,将猪的双肾移植到了接受者的双侧髂窝;
图源:参考资料 1
第二,此次手术的猪肾维持了 74 小时的活性,比上一例的 54 个小时更长;
第三,此次手术的猪肾产生了尿液,但肌酐清除率并未恢复;而上一例手术的猪肾产生尿液且肌酐恢复正常。
最新论文讲了什么
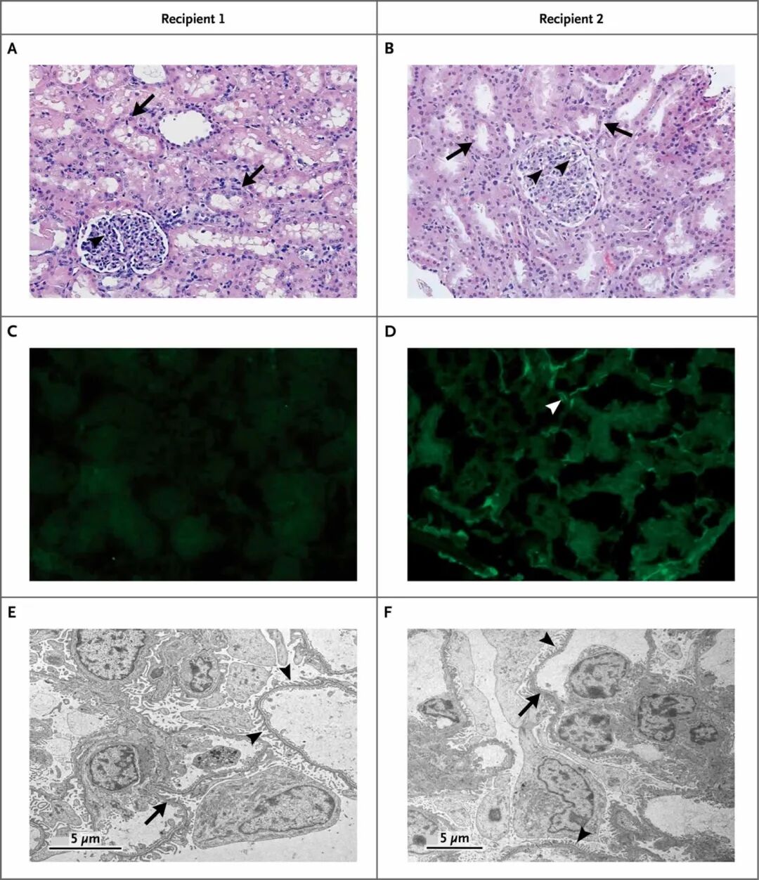
今天,最新发表在 NEJM 上的论文对两例猪肾移植的结果进行了更加详细的数据分析。
移植后,研究人员持续监测尿量和动态估算的肾小球滤过率(eGFR),以评估肾功能和异种移植排斥反应。
两名受者的异种移植肾在再灌注后迅速开始产生尿液。在 54 小时研究期间,在受者 1 和受者 2 中,动态 eGFR 分别从移植前的 23 mL/(min·1.73 m2)增加至移植后的 62 mL/(min·1.73 m2)和从 55 mL/(min·1.73 m2)增加至 109 mL/(min·1.73 m2)。
图源:参考资料 1
在异种移植后,两名受者已经处于稳态的肌酐水平有所降低,受者 1 从 1.97 mg/dL 降至 0.82 mg/dL,受者 2 从 1.10 mg/dL 降至 0.57 mg/dL。移植的肾脏保持粉红色,灌注良好,在整个研究过程中继续产生尿液。
在 6、24、48 和 54 小时进行的活检显示无超急性排斥反应或抗体介导的排斥反应的表现。异种移植肾的每小时尿量是原有肾的两倍多。
图源:参考资料 1
NEJM 在刊载上述文章的同时,还发布了一篇来自麻省总医院移植中心 Dr.Richard Pierson 对基因编辑猪器官人体移植进展的评论文章。
文章截图
文章提到,纽约大学 Langone 移植研究所的手术结果表明,移植后,猪的肾脏可以保持相对正常的外观并继续产生尿液至少几天,可能对受者的生理没有重大不利影响。
而阿拉巴马大学伯明翰分校 Heersink 医学院使用了三重敲除(TKO)猪肾脏,同时在操作中移除了人类的原有肾脏,可以更好地展现异种移植肾脏对肾功能的贡献。
基因编辑异种移植,还有多远?
值得关注的是,两次移植所用的猪都经过了基因编辑(由 Revivicor 公司培育),将 α-1,3-半乳糖苷转移酶基因敲除,并在猪肾包膜下植入自体胸腺组织,以此来避免超急性排斥反应。
现代医学已经认识到,异种器官移植会引起非常严重、凶险的超急性排斥反应,器官往往在移植后几个小时内就会坏死,病人也会很快死亡。而猪体内的 α-gal 正是一种会被人体抗体识别,并引发引发免疫排斥反应的蛋白。
在这两例试验中的猪,经过基因编辑技术,不再表达 α-gal 蛋白,以此来减少移植后的人体排斥反应。
目前来看,α-gal 敲除后能够逃避超急性排斥反应,但 α-gal 仅仅是超急性排斥反应靶点中的一个,其他靶点还包括但不限于:
CMAH 基因,这个基因编码的酶所催化生成的 N-羟乙酰神经氨酸(Neu5Gc)是起异种移植排斥反应的重要非半乳糖抗原。CMAH 基因存在和表达能够引起异种移植免疫排斥。
β4GalNT2 基因,β4GalNT2 基因编码的酶能够催化 Sd(a)血型抗原,当猪的器官移植到灵长类动物后,Sd(a)血型抗原能被免疫球蛋白结合而引起免疫排斥反应。
ASGR1 基因,ASGR1 蛋白在猪血管内皮细胞表达,可以被受体的免疫细胞识别并攻击,引起急性的血管内凝血,造成猪器官的快速失活。同时,还可以诱发异种移植后受体发生血小板减少症。
上述这些基因如果全部敲除,则可以进一步把异种移植的超急性排斥反应风险压到最低。
除了敲掉猪的基因,还有一种思路是给猪导入部分人的基因。
比如人 CD55 、人 CD59,这两个都是重要的人补体抑制因子,这种因子可减少超急性排斥反应和炎性反应的发生,可以理解为天然的免疫调节剂。如果给猪导入人的 CD55/59 基因,就可以抑制异种移植的超急性排斥反应,保护异种移植组织器官。
不过,就算猪的器官完美熬过了超急性排斥反应,还有基于 ABO 血型和 HLA 复合体的急性排斥反应需要解决。如果要通过基因编辑的方法,那要敲除的基因就更多了。
那么,我们能不能让猪长出人的器官?
嵌合体动物技术就是一种可能的未来。通过对猪的受精卵进行基因编辑,使其无法长出肾脏,然后在早期胚胎阶段导入人的干细胞,由人干细胞在猪的胚胎内发育出人的肾脏,最后用于移植。
但目前,嵌合体动物技术最大的阻碍是医学伦理。
斯坦福大学曾进行过人羊嵌合体试验,试验的嵌合体胚胎仅仅维持了 28 天就被销毁了。即便这个羊胚胎内只有不足万分之一的人类细胞,但仍然有科学家担心,万一一部分人体细胞发育成这只小羊的大脑,那么这只人羊嵌合体会不会有人的意识?拥有人类遗传物质的生命,应该被看作是羊,还是人?
人类对于器官移植的探索已经持续了数百年。如今,现代医学已经逐渐攻克了同种异体器官移植的壁垒,但新的问题随之出现:需要接受器官移植的患者远多于能够用于移植的器官。
对异种移植的积极探索一直在持续,但我们面对的,不仅是技术难题,更是复杂的医学伦理争议。
图源:纽约大学朗格尼医学中心
目前,还有很多研究团队正在申请异种器官移植的临床试验许可,而世界首例猪心移植也已开展。FDA 表示,需要研究团队提供实验药物方案和基因改良猪器官的科学依据作为参考。
伦理方面,在 NEJM 发表评论文章的 Dr.Richard Pierson 认为,对于一些特殊情况的患者来说,异种器官移植可能是一种合理的选择。如患者体内存在极高水平针对人的抗原,但并不针对猪,这种情况下,比起长时间等待合适肾源,异种移植的临床试验可能是更合理的。
Dr.Richard Pierson 提到,更多的临床肾脏和心脏异种移植试验可能会在几年内开始,而肾脏试验会首先进行,因为在移植失败的情况下,患者还可以重新进行透析以维持生命。
异种移植距离大规模临床应用的未来,还有很远的距离。在这之前,请大家继续珍爱自己的原厂配件,积极控制好慢性疾病。如果愿意的话,成为一名器官捐献志愿者,或许也是一个不错的选择。(策划:z_popeye|监制:gyouza)
致谢:感谢 上海交通大学医学院附属第九人民医院整复外科博士后 傅士博 对本文作出的贡献
题图来源:论文截图
参考资料:
[1]https://www.nejm.org/doi/full/10.1056/NEJMoa2120238
[2]https://www.nejm.org/doi/full/10.1056/NEJMp2118019?query=recirc_curatedRelated_article
[3]https://www.nytimes.com/2021/10/19/health/kidney-transplant-pig-human.html
[4]https://www.intelligentliving.co/scientists-make-human-sheep-chimera/