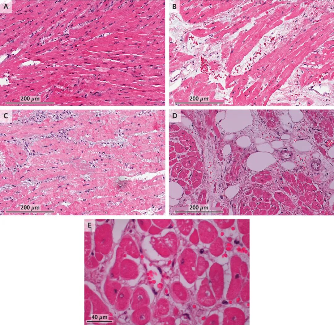
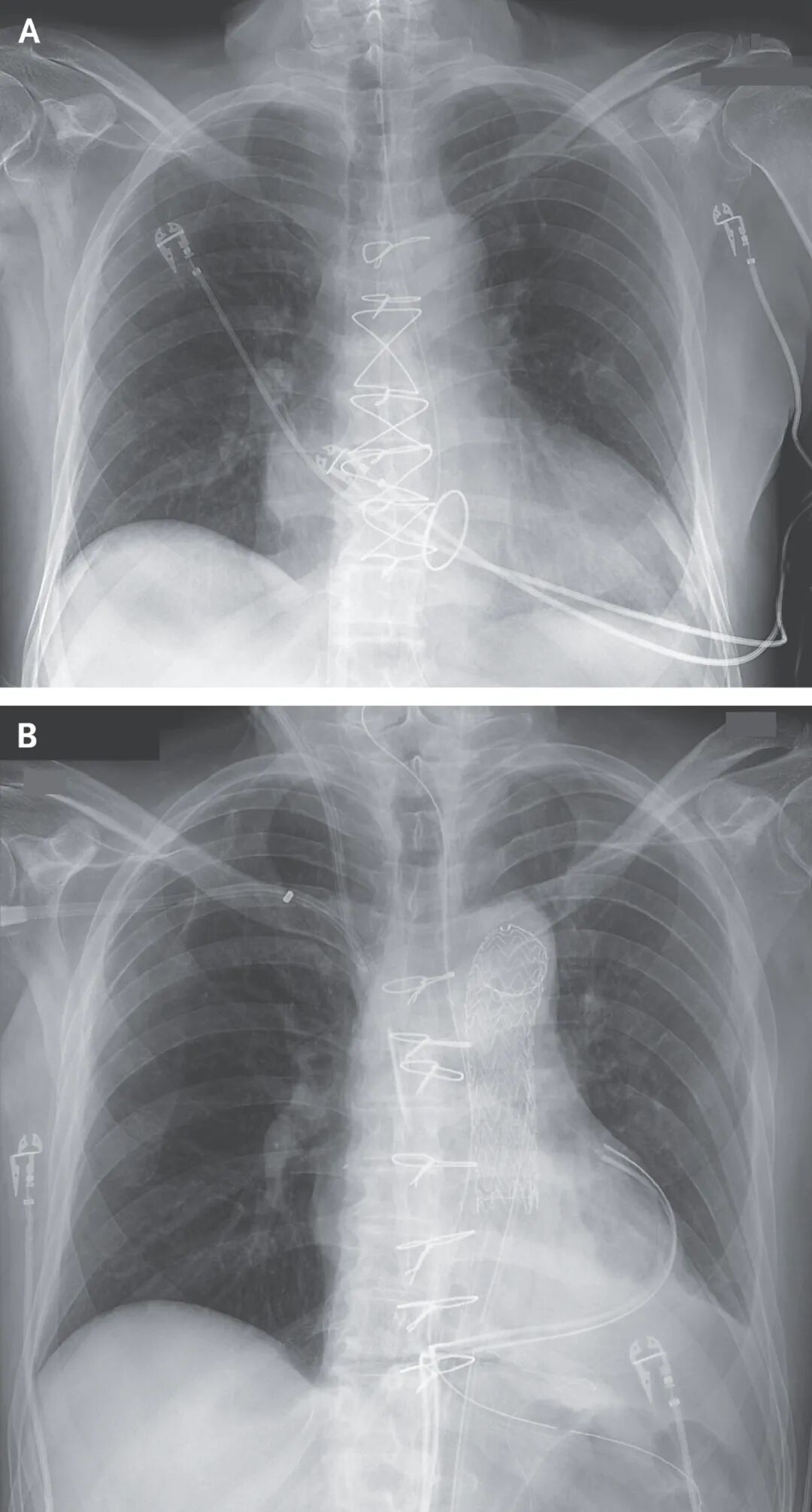
「无论这次异种移植是否开启了移植的新未来,这份研究都提供了一种新的观察——研究人员如何利用基因生物工程和细胞发育生物学迅速而深刻地解决医学问题。」一篇同期发表于 NEJM 的评论文章这样说。 文章提到,大约 30 年前,物种间补体调节的不相容性被认为是异种移植失败的基础原因,基于此,有人提出猪的基因工程作为一种可能的解决方案。验证这个设想用了 5 年时间,因为基因工程依赖于 DNA 的随机插入和几代的繁殖,以确保种系修饰。 相比之下,世界首例猪心移植用于生成猪的技术允许在体细胞(或其他情况下的多能干细胞)中引入多个位点特异性修饰,结合重编程和核移植克隆,产生创始动物。 今天,基因工程技术极大地拓展,控制更加精准,修改更加快速,使得能够在动物传代之前就对某些特征和临时修改进行测试。例如,当发现实验性心脏异种移植物发生肥大变化时,作者迅速关注到现内皮生长激素受体基因并进行测试。 猪的克隆固定了引入基因变化和猪的遗传背景,从而加快了对遗传特征的评估,但潜在地减慢了源动物的最佳背景的发现。 评论文章还提到了一个更重要的可能,用于改造猪的基因技术是否可以应用于让猪生成人体组织和器官。多能干细胞和其他类型的细胞越来越多地被探索用于通过器官发生或三维组织工程生成自体器官,这些使用经过改良以抵抗潜在疾病的自体器官可能会避免终身免疫抑制的需要和毒性作用。 就像患者儿子在医院发表的声明中所说: 「We are grateful for every innovative moment, every crazy dream, every sleepless night that went into this historic effort. We hope this story can be the beginning of hope and not the end.」(我们感谢这次历史性尝试中的每一个创新时刻、每一个疯狂的梦想以及每一个不眠之夜。我们希望这个故事并非终点,而是希望的开始。) 术后恢复中的 Bennett 和他的医生图源:dicardiology.com 策划:z_popeye|监制:gyouza 题图来源:论文截图丁香园招聘 岗位名称:新媒体运营(丁香园)独立完成原创内容策划协助运营丁香园公众号 微博工作地点:杭州点此直接投递简历 也可将简历投至邮箱hujiafeng@dxy.cn邮件标题:投递岗位名称-姓名