推荐阅读:
因为这条“黑狗”,她曾想跳楼解脱!这个团队取得国际重大科研成果
五月的德令哈,树木才欣欣然抽了新芽,这个青海省海西蒙古族藏族自治州州府所在地不像2600多公里之外的杭州,已然树木茂盛,初夏气息浓郁。这两座气候迥异的城市,因为浙江援青干部让两座城市之间有了亲人般的情谊。
“谢谢你们,谢谢你们救了我家老头子。”一面鲜红的锦旗,两行蒙古族老乡的热泪,这份朴实的感激情谊是浙江大学医学院附属第一医院援青专家唐小平用青春在这片高原上一步一个脚印医疗援助出来的。
蒙古族老人日夜咯血饱受折磨
援青专家怀疑肺炎链球菌感染
保大爷,蒙古族人,在海西州牧区生活了数十年,每天面对牧区的牛羊,保大爷靠一根又一根的烟来打发这漫长的时光。
20多天前,70岁的保大爷出现了胸闷气急呼吸困难、胸痛难耐、咳嗽、日夜咯血的症状,甚至无法躺平休息。老伴见保大爷这么受罪,叫来子女一同把保大爷送往海西州人民医院,内科罗燕琴医生经过检查后发现血D二聚体明显升高,这意味着要警惕血栓性疾病,平扫CT显示右肺病变,但到底是肺出了什么问题引发这么严重的症状,还得进一步检查。
(保大爷平扫CT片子)
困难出现了!由于保大爷持续性咯血,一个后半夜咯血就将近100ml,而活动性咯血,有时只需要一口,足以让保大爷窒息而危及生命,他剧烈胸痛无法躺平进行增强CT检查确诊原因。一边是咯血,一边可能是血栓,无法确诊就意味着无法进行针对性治疗,并且抗凝治疗风险很大,止血药的使用可能加重血管的阻塞。
保大爷饱受折磨,治疗团队一筹莫展。
唐小平,浙大一院呼吸内科援青专家,2018年3月踏上德令哈土地,担任海西州人民医院内科主任。
正在海西州卫健委学习班讲课的唐小平得知病房收了一个“棘手”的病人,讲课一结束后便赶回医院病房查看病人。唐小平一到病房,只见保大爷气喘吁吁地半卧在病床上,床头放着一个个一次性纸杯,里面是鲜红色的血,保大爷还时不时在活动性咯血。
唐小平仔细阅读了肺部CT,不能完全排除肺栓塞。但在有肺部活动性出血的情况下,最保守的治疗方法只有垂体后叶素止血治疗,但保大爷对药物有明显的副作用表现,腹痛、腹泻让老人苦不堪言。
“除了肺栓塞外,会不会是肺炎链球菌感染引起的大叶性肺炎?”唐小平眉头一紧,这个疑问在唐小平里闪现,病人右肺大片渗出,有咯血存在,结合在浙大一院积攒的丰富临床经验,从常见的感染性疾病来讲,很有可能是肺炎链球菌感染引起的大叶性肺炎。而致病力强的肺炎链球菌感染,很容易并发胸腔积液,目前病人胸痛剧烈,可能是干性胸膜炎导致的胸痛,而这样的胸腔积液,很可能短时间剧烈增加,严重包裹,不易引流,会给治疗带来极大的困难。
必须进行进一步检查!
设备缺乏情况下剥丝抽茧查病因
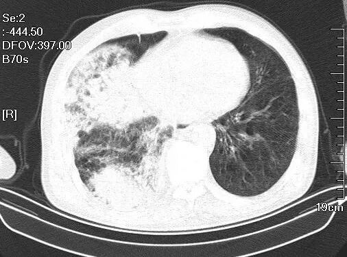
由于海西州人民医院没有急诊床边心脏B超等辅助检查设备,唐小平和内科卓玛措主任跟病人家属充分沟通,告诉家属目前进行肺部增强CT的必要性以及检查的风险,家属充分考虑后同意进行肺部增强CT检查。团队立即带着监护仪和抢救设备陪护病人进行了肺部增强CT检查,检查结果提示肺动脉没有明显充盈缺损,这就意味着可以初步排除肺栓塞。
(保大爷增强CT片子)
但是仅仅24小时左右,保大爷右侧胸腔积液大量增加,几乎填满了右半个胸腔,而且右肺的渗出病变也大面积增加。胸腔穿刺继续查明病因,才能进行及时有效治疗。通过床边B超的准确定位,保大爷在吸氧和监护下,顺利进行了胸腔穿刺,接上引流管,引流出来的胸水是浑浊的,唐小平初步诊断是急性脓胸,这意味着感染,心里禁不住后怕,如果没有当初说服拒绝有创检查的家属进行及时胸腔穿刺引流的话,保大爷接下来的感染情况将不堪设想。
(引流的脓性胸水)
到底是什么病原体感染这么凶险?是不是链球菌属感染?链球菌属临床上胸水常规培养往往是阴性结果,而病原学的明确诊断对保大爷的总体预后和指导治疗有重要意义。唐小平立即和浙大一院呼吸内科主任周建英教授团队沟通了病情的情况和目前的困难,指示在积极进行胸水培养的同时,尝试进行最先进的宏基因组二代测序(mNGS)检查明确病原体,但是这种检查标本的留取和保存要求非常严格,德令哈本地无法完成检测,需要严格的冷链保存,而且检测费用昂贵,唐小平不忍心让蒙古族贫困牧民保大爷自己承担,她亲自花了2个小时完成胸水的抽取、样本妥善处理并仔细冷冻保存,准备给保大爷做宏基因组二代测序。
(唐小平抽取胸水)
由于单部位胸腔穿刺引流治疗效果后期不佳,家属又拒绝多部位引流治疗。唐小平尊重家属的治疗意向后,积极查找文献,发现最近文献提到脓胸可以用胸腔内溶栓药物治疗。经过谨慎思考,还是决定尝试胸腔内药物溶栓。治疗峰回路转!在积极抗感染治疗并胸腔内尿激酶降解纤维分隔并积极引流六天后,保大爷各项指标趋于正常,加强营养支持治疗后,保大爷终于可以躺平睡觉休息,并逐步下床走动。治疗团队并不止步于此,继续积极营养支持治疗并宣教病人戒烟,针对慢阻肺的情况给予布地奈德福莫特罗吸入治疗,病人的症状进一步改善。
(唐小平向病人宣教吸入制剂用法)
在海西州人民医院内科病房住院22天后,保大爷自己走出病房出院了,并且表示比住院前状态更好。
援青专家千里帮病人做昂贵检测
结果证实猜想
感染性疾病的病原学诊断对疾病的治疗指导和预后判断有重要意义,但胸水标本在德令哈无法寄出,唐小平只好一路冷藏保存,转展西宁到杭州做最先进的宏基因组二代测序。
(宏基因组二代测序结果)
“肺炎链球菌”,基因检测结果出来了。虽然在海西州人民医院胸水的有氧、无氧培养结果都是显示阴性,但唐小平一路从德令哈小心冷藏保存到杭州的标本给了她最欣慰的答案,同时也给了远在德令哈的临床治疗团队极大的鼓舞,继续给保大爷巩固治疗,保大爷有了明确诊断后,情况持续好转。
老年重症肺炎合并复杂性脓胸,病情进展快,病死率可达20%以上,保大爷起病急,病情危重,给诊断和治疗带来了极大的困难。保大爷得以成功治疗的关键,是内科团队对病情观察密切,治疗及时得当,尤其是胸水的及时复查和引流,及时明确诊断,正确指导了治疗。
保大爷是海西州人民医院内科首例胸腔内注射尿激酶成功治疗的脓胸,是海西州人民医院首例明确诊断的肺炎链球菌肺炎合并脓胸,也是海西州人民医院首次通过宏基因组二代测序(mNGS)明确诊断的感染性疾病。
这例重症肺炎链球菌肺炎合并脓胸的成功治疗,是浙江援青医疗团队呼吸科专家和海西州人民医院内科团队密切协助,团队作战的典范。通过一系列疑难危重症的系统治疗,锻炼了海西州人民医院内科团队处理呼吸系统疑难危重症的综合力量,积累了丰富的临床经验,促进了团队力量的成长,通过援青专家团队力量帮助下成功救治的大量疑难危重疾病,大大增强了海西各族人民对州人民医院技术力量的信心。
在浙江大学医学院附属第一医院强大的国家队医疗实力支持下,在浙江省援青指挥部的领导下,浙江援青医疗专家团队牢记使命,将先进的治疗理念和诊疗技术带入海西,融入海西,惠及海西各族人民群众,实现“健康海西”的美好愿景!
(浙大一院援青专家:从左到右排序为曹飞、姚晓霖、唐小平、聂文成、范剑)
本文为浙大一院原创;欢迎转发,转载请联系
文:宣传中心、呼吸内科唐小平;
图片来自:呼吸内科唐小平
本文指导专家:呼吸内科主任 周建英主任医师
为远离家乡奋斗在一线的援青专家,
点在看!