【写在前面】:今天推荐的是河北中医药大学、承德医学院及济南艾迪康实验室团队近日online于International Journal of Molecular Medicine(IF3.098)的一篇文章,揭示黄芪甲苷IV通过抑制钙敏感受体介导的细胞凋亡减轻大鼠脑缺血再灌注损伤。
我们恳请:若能转发分享,我们将非常感谢!(目前微信公众号改为乱序推送,将如沐风科研维修站设为星标,时常点击阅读,我们才会出现在您推送的前面位置)。
【期刊简介】
【题目及作者信息】
【摘要部分】
缺血性脑卒中后阻塞血管的再灌注引起的脑缺血再灌注损伤(CIRI)可导致继发性脑损伤。在整个CIRI中,凋亡起着重要的作用(现状)。黄芪甲苷IV是一种潜在的神经保护剂,可通过抑制细胞凋亡来缓解CIRI。钙敏感受体(CaSR)是一种G蛋白偶联受体,其激活加剧了缺血再灌注损伤。本研究的目的是调查黄芪甲苷IV对CIRI的保护作用是否可能与CaSR的调节有关(目的)。使用大鼠大脑中动脉阻塞/再灌注(MCAO/R)模型和嗜铬细胞瘤(PC12)细胞的氧和葡萄糖剥夺/再充氧(OGD/R)模型来研究CIRI诱导的神经元损伤。神经功能评分(NFS),2,3,5-三苯甲基氯化萘,苏木精和曙红染色用于确定大鼠的脑损伤。测量细胞活力以评估OGD/RPC12细胞的损伤。使用蛋白质印迹法检查与凋亡和CaSR相关的蛋白质的表达。CaSR拮抗剂NPS-2143和激动剂GdCl3用于进一步证实CaSR在细胞凋亡过程中的作用(方法)。结果表明,黄芪甲苷IV通过降低大鼠的NFS,减少脑梗塞体积和促进PC12细胞的活力以及抑制被CIRI诱导裂解的caspase-3和CaSR的表达来减轻CIRI(结果)。本研究发现,CaSR的激活可能与CIRI诱导的大鼠脑损伤有关,而黄芪甲苷IV可以通过抑制CaSR激活的细胞凋亡来减轻CIRI(结论)。
(主要看原文表达,有助于我们自行撰写SCI)
【前 言】(如何从中医药引入研究主题)
补阳还五汤等中药已广泛用于急性缺血性脑卒中的治疗。黄芪甲苷IV(C14H68O14)是补阳还五汤的主要成分,是中成药黄芪的主要活性化学成分和质量控制标志物,在《医林改错》一书中有记载—王清任在清代所写。大量研究表明,黄芪甲苷具有抗炎和抗凋亡的特性,参与血管重构和能量代谢的调节,并对CIRI具有神经保护作用。我们以前的研究表明,黄芪甲苷IV通过抑制神经元凋亡来减轻CIRI,并证实其通过调节自噬发挥其作用。另外,据报道,黄芪甲苷IV可通过抑制细胞内钙超载来减轻缺氧/复氧引起的心肌损伤。
【结果部分】
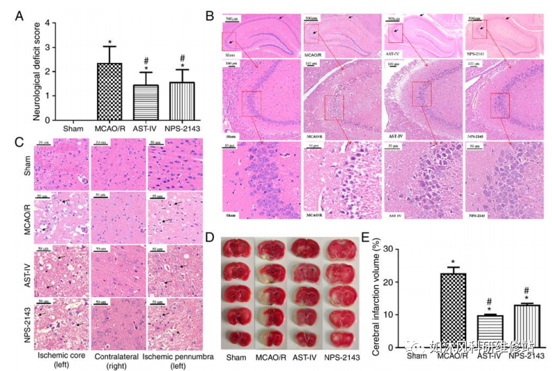
1.黄芪甲苷IV对MCAO/R大鼠模型的神经保护作用。
2.OGD/R造模后黄芪甲苷IV对PC12细胞的保护作用。
3.黄芪甲苷IV降低了裂解的caspase-3的蛋白表达水平。
4.黄芪甲苷IV降低了CaSR在体内和体外的蛋白表达。
5.黄芪甲苷IV抑制OGD/R诱导的PC12细胞钙超载。
6.黄芪甲苷IV降低OGD/R建模后PC12细胞中AIF的蛋白表达水平并增加Bcl-2 / Bax的比例。
7.图文摘要:黄芪甲苷IV抗CIRI的神经保护机制。
8.补充:高分化,低分化和未分化PC12细胞的形态。
【结论与讨论】
中药苷类具有广泛的药理活性。人参皂甙Rg1和橄榄苦苷等糖苷在中枢神经系统疾病的治疗中起着重要作用;但是,它们的血脑屏障通透性低。相比之下,黄芪甲苷IV(784.97 Da)的小分子量和CIRI后血脑屏障的破坏导致高通透性。前期细胞和动物模型的研究表明,黄芪甲苷IV对大脑具有良好的保护作用,这与本研究的结果一致。在本研究中,动物样本量很小,因为大量先前的实验已经证实了黄芪甲苷IV对CIRI的保护作用。为了确保遵守动物伦理要求,使用了小样本量来达到实验目的。将进行更大样本量的后续实验,以进一步研究黄芪甲苷IV对CIRI的神经保护机制,以及钙敏感受体在CIRI中的作用。
本研究中使用的PC12细胞系是一种由神经营养因子诱导的高度分化的PC12衍生神经元样细胞 (图 8)。在高度分化的情况下可以观察到不同的形态(图.8C),分化差和未分化PC12细胞。PC12是一种稳定的细胞系,可直接培养和传代,已被广泛用于体外神经系统疾病的研究。因此,本研究采用高分化的PC12细胞来确定黄芪甲苷IV对OGD/R诱导的细胞凋亡的影响和机制。未来的研究应利用原代培养的大鼠神经元和MCAO/R大鼠脑标本,进一步研究黄芪甲苷IV对CIRI细胞凋亡的作用,并探索黄芪甲苷IV的其他潜在神经保护途径。
本研究的结果表明,可能通过下调CaSR的表达抑制凋亡而保护神经元。黄芪甲苷IV可减轻MCAO/R大鼠的脑损伤,提高OGD/R后PC12细胞的活力,降低CaSR的表达水平,抑制细胞凋亡。黄芪甲苷IV可通过抑制CIRI诱导的CaSR表达的增加而抑制细胞凋亡,从而发挥其神经保护作用。
【加入中医药交流群】添加小编微信邀请(1278317307)加入,也可由群友邀请加入,欢迎广大老师、朋友加入我们。
如沐风科研维修站 (Rumfer)公众号:由浙江中医药大学、中国药科大学、江西中医药大学以及福安药业和浙江省疾控中心的硕博士组成,主要发布药物研发、生产及注册,科研实验及前沿咨讯等相关信息。欢迎广大朋友老师关注我们,您的分享和关注是对我们的最大鼓励。