【写在前面】:今天推荐的是复旦大学团队近日发表于Acta Pharmacologica Sinica (APS)(IF5.096)的一篇文章,体外揭示小檗碱通过抑制SHH分泌抑制大肠肿瘤的生长。注意大家不要跟期刊Acta Pharmaceutica Sinica B(IF7.1)搞混了。
我们恳请:若能转发分享,我们将非常感谢!(目前微信公众号改为乱序推送,将如沐风科研维修站设为星标,时常点击阅读,我们才会出现在您推送的前面位置)。
【期刊简介】
【题目及作者信息】
Berberine inhibits colorectal tumor growth by suppressingSHH secretion
【摘要部分】
Hedgehog在广泛的生理和病理状况中起着重要作用。基质细胞中Hedgehog通路的旁分泌激活增加了VEGF的表达,从而促进了结直肠癌的新血管形成,并最终促进了结直肠癌的生长(现状)。小檗碱(BBR)具有抗癌活性。在这项研究中,我们研究了BBR是否通过在体外和体内抑制旁分泌sonic/Hedgehog(SHH)信号传导来抑制结肠癌的生长(方法与目的)。本文数据显示,BBR(1–10μM)剂量依赖性地抑制HT-29和SW480细胞中SHH蛋白的分泌和表达。BBR不影响SHH的转录,但促进SHH mRNA的降解,从而降低了结直肠癌细胞中SHH mRNA的表达。在携带HT-29异种移植物的裸鼠中,口服BBR(100 mg·kg-1·d-1)或阳性对照药物GDC-0449(100 mg·kg-1·d-1)4周可明显抑制BBR对HT-29肿瘤的生长具有更好的抗肿瘤作用。由BBR或GDC-0449引起的肿瘤生长抑制作用与它们各自对肿瘤中小鼠特异性Gli mRNA表达的抑制作用相当。但是,BBR(20μM)不会影响HT-29和SW480细胞中人类转录因子Gli1 mRNA的表达(结果)。总之,BBR促进了结直肠癌细胞中SHH mRNA的降解,中断了旁分泌的Hedgehog信号通路活性,从而抑制了结直肠癌的生长。这项研究揭示了BBR的抗癌作用的新型分子机制(结论)。
(主要看原文表达,有助于我们自行撰写SCI)
【前言】
小檗碱(BBR)是一种异喹啉生物碱,是许多药用植物的活性成分,占黄连各组织含量的2.58%至5.74%。越来越多的证据表明它也具有抗肿瘤作用。研究报告指出,BBR通过靶向Hh信号传导途径的关键成分Smo,可能潜在地抑制Hh途径和依赖Hh的髓母细胞瘤的生长。这项研究旨在调查BBR是否可以通过抑制旁分泌Hh信号通路活性来抑制结肠癌的生长。
【结果部分】
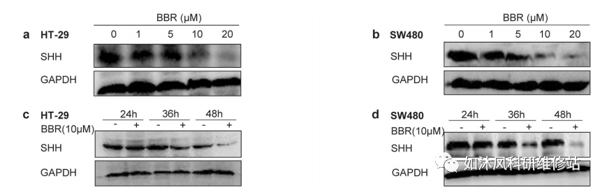
1.BBR抑制HT-29细胞和SW480细胞的SHH分泌。
2.BBR抑制大肠癌细胞SHH的表达。
3.BBR无法影响结肠癌细胞中的SHH转录。
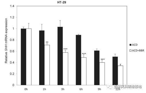
4.BBR降低SHH mRNA的稳定性。
5.BBR通过抑制Hh旁分泌途径抑制体内HT-29细胞的生长。
【结论与讨论】
在某些癌细胞中SHH的分泌促进了基质细胞中Hh信号通路的活性,最终促进了肿瘤的增殖。BBR是一种传统的中草药,已被用于治疗腹泻和肠炎多年。最近的研究表明其对多种肿瘤的抑制作用。先前有关其抗肿瘤机制的报道表明,它们与衰老,固醇调节或Wnt信号通路有关。然而,BBR对大肠癌细胞新生SHH的作用机制仍不清楚。
在这项研究中,我们表明BBR减少了两种结直肠癌细胞系HT-29和SW480的SHH分泌。从机理上讲,我们进一步发现BBR以剂量依赖性和时间依赖性的方式抑制HT-29和SW480细胞中SHH的蛋白和mRNA表达。但是,BBR不会影响SHH的转录,因为此化合物不会抑制SHH启动子的活性。此外,我们发现BBR通过转录后调控机制抑制SHH分泌,因为它降低了SHH mRNA的稳定性。有趣的是,Kong等证实BBR可以通过稳定mRNA的转录后机制降低胆固醇水平,这表明BBR具有多种用途。朱等证明BBR通过高浓度SCAP/SREB-1途径抑制结肠癌细胞的增殖。但是,在我们的研究中,BBR对结肠细胞的生长影响很小。矛盾的结果可能归因于所使用的不同癌细胞系或两次独立研究所使用的浓度差异。在这种情况下,我们不能排除BBR间接抑制SHH的可能性,这有待进一步研究(研究思路)。
总之,这些结果有力地支持了我们的假设,即BBR可能通过抑制体内旁分泌Hh途径来抑制结肠肿瘤的生长,因此为BBR对HT-29肿瘤干预的新型治疗机制提供了启示。
【加入中医药交流群】添加小编微信(1278317307)邀请加入,也可由群友邀请加入,欢迎广大老师、朋友加入我们。
2020-12-04
2020-12-03
2020-12-02
2020-12-01
2020-11-30
2020-11-30
2020-11-28
2020-11-27
2020-11-27
2020-11-25
2020-11-20
2020-11-16
如沐风科研维修站 (Rumfer)公众号:由浙江中医药大学、中国药科大学、江西中医药大学以及福安药业和浙江省疾控中心的硕博士组成,主要发布药物研发、生产及注册,科研实验及前沿咨讯等相关信息。欢迎广大朋友老师关注我们,您的分享和关注是对我们的最大鼓励。