【写在前面】:今天推荐的是中国民族大学联合协和医学院近期发表于Acta Pharmaceutica Sinica B(IF7.097)的一篇文章,揭示基于空气流辅助解吸电喷雾电离质谱成像的马兜铃酸肾毒性原位代谢组学。
我们恳请:若能转发分享,我们将非常感谢!(目前微信公众号改为乱序推送,将如沐风科研维修站设为星标,时常点击阅读,我们才会出现在您推送的前面位置)。
【期刊简介】
APSB是双月刊,发表重要的原创文章,快速的交流信息以及对药物科学各个领域(包括药理学,药物学,药物化学,天然产物,生药学,药物分析和药代动力学)的最新进展和高质量综述 。
《药学学报》英文刊Acta Pharmaceutica Sinica B创刊于2011年,由中国药学会和中国医学科学院药物研究所共同主办,由《药学学报》编辑部和Elsevier联合出版,双月刊,主编:蒋建东。是我国首部被SCI收录的药学综合性学术期刊!
比较难中, 一般录用周期为2~4个月。本期刊为OA期刊,但未说明版面费(可能免费),仅提及需要纸质版时需要额外费用。
【题目及作者信息】
【摘要部分】
了解候选药物引起的肾毒性对于药物发现和开发至关重要。在此,建立了一种基于气流辅助解吸电喷雾电离质谱成像(AFADESI-MSI)的原位代谢组学方法,以直接分析肾脏组织切片中的代谢物(背景)。该方法随后用于研究马兜铃酸I(一种已知的肾毒性药物)的给药后在大鼠肾脏中空间分辨的代谢谱变化,其目的是发现与肾毒性有关的代谢产物(目的)。结果,在用马兜铃酸I处理的组中,与精氨酸肌酐代谢途径,尿素循环,丝氨酸合成途径,脂质,胆碱,组胺,赖氨酸和三磷酸腺苷代谢有关的38种代谢物发生了显著变化。这些代谢物表现出在大鼠肾脏中分布独特,并且与组织病理学肾脏病变具有良好的空间匹配(结果)。这项研究提供了对马兜铃酸肾毒性的潜在机制的新见解,并证明基于AFADESI-MSI的原位代谢组学是一种研究药物毒性分子机制的有前途的技术(结论)。
(主要看原文表达,有助于我们自行撰写SCI)
【前言】
马兜铃酸AAs具有抗病毒、抗菌和抗肿瘤等活性,但同时也具有肾毒性,目前与AAs相关的肾损伤和功能障碍的潜在机制仍不完全清楚。之前已开发了基于LC-MS、GC-MS的代谢组学方法来研究AAs的肾毒性,但对它们在肾脏内的空间分布了解甚少。本论文采用基于AFADESI-MSI的原位代谢组学方法,将AFADESI与超高分辨率Q-OT-qIT质谱仪结合用于研究AAs引起的肾毒性作用,揭示AAs诱导的肾毒性背后的复杂病理过程。(以上为经典的前言部分的写法)
【结果部分】(该部分转自质谱成像)
1.AFADESI-MSI分析和数据处理
采用AFADESI分析大鼠肾脏切片,以200 μm/s的恒定速率在x方向上连续扫描组织表面,并在y方向上间隔200 μm在正离子模式下采集数据,扫描范围为m/z 100-1000,随后使用Xcalibur软件获取数据导入MassImager中进行离子图像重建,再采用Markerview™、SIMCA-P进行多变量统计分析(图1)。
图1
2.AFADESI-MSI条件的优化
实验最终选择分辨率为120000,以在选择性、灵敏度和空间分辨率之间取得良好的平衡。
图2.大鼠肾脏中m/z接近的代谢物图像
通过连续3天分析相邻肾脏切片评估AFADESI-MSI方法的重现性。将9种代表性代谢物进行提取和比较,并计算皮质、外延髓和内延髓中这些代谢物相对强度的RSD以评估日内精密度。其中甜菜碱、甘油磷酸胆碱和PE(36:4)的重现性如图3所示,结果发现大部分代谢物相对强度的RSD<20%,这表明AFADESI-MSI可以可重现地提供半定量数据。
图3. AFADESI-MSI方法的重现性
3.AAI治疗大鼠的肾损伤评估
表1结果表明,AAI治疗大鼠的体重下降,尿蛋白(Upr)、尿蛋白-肌酐比(Upr/Ucr)和肌酐(Ucr)增加,这表明马兜铃酸1(AAI)引起了大鼠的肾毒性作用。此外在AAI治疗组中血清甘油三酸酯增加,但两组之间的血清胆固醇酯、血清HDL和血清LDL无明显差异。
表1
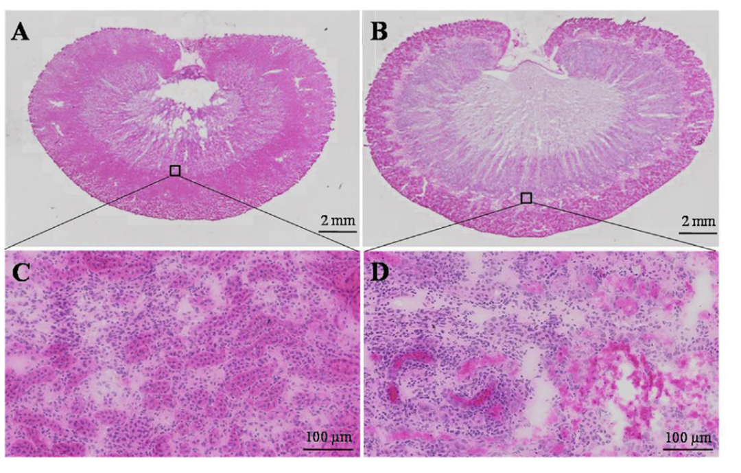
图4为肾脏组织的HE染色结果,发现AAI治疗大鼠出现肿胀和形态变化,且皮质和延髓均出现坏死和炎性细胞浸润。这些病理变化进一步表明AAI能引起大鼠快速进展性肾小管间质病变。
图4.(A)对照和(B)AAI治疗大鼠肾脏切片的H&E染色结果
4.AFADESI-MSI分析
图5为肾皮质、外延髓和内延髓的OPLS-DA散点图(OPLS-DA为代谢组学常用的统计和表现形式,值得学习),结果发现AFADESI-MSI可将对照组的三个区域清楚分开,但AAI治疗组中的三个区域之间分离趋势不明显,可能是由于AAI对肾脏不同形态区域的代谢物具有组织特异性作用。
图5.对照组(A)和AAI治疗组(B)的OPLS-DA得分图
随后进行了一系列OPLS-DA分析,以进一步研究AAI对肾皮质、外延髓和内延髓的影响。AAI治疗后肾皮质的代谢组学改变比外延髓和内延髓的改变更明显,这表明肾皮质比延髓更易受AAI影响,结果如图6所示。基于预测阈值>1.0和P<0.05的变量重要性,分别选择了85、65和51个变量作为AAI诱导的肾皮质、外延髓和内延髓毒性的潜在生物标志物,然后通过MS/MS初步鉴定出38个差异代谢物(表2)。为进一步评估这些代谢物与AAI引起的肾毒性的关系,提取了这些代谢物的离子图像,并与相邻切片HE染色获得的组织学特征进行比较。结果表明,这些代谢物的分布与组织病理学肾脏病变表现出良好的空间匹配性。
图6.OPLS-DA分析
表2
【讨论】
1 精氨酸-肌酸代谢途径和尿素循环的改变
精氨酸、肌酐的增加表明AAI可导致精氨酸-肌酸代谢途径上调,同时髓质中亚精胺浓度的增加也表明AAI可导致尿素循环代谢途径的功能障碍,这与先前的研究发现一致(图7)。
图7.精氨酸肌酐代谢途径中代谢物空间分布
2 胆碱代谢紊乱
表明在AAI治疗的大鼠中有机离子转运发生改变(图8)。
图8.胆碱代谢相关的代谢物的空间分布
3 脂质代谢紊乱
图9.脂质代谢相关的代谢产物的空间分布
4 对N-乙酰组胺、磷酸丝氨酸、肌苷和果糖基赖氨酸代谢的影响
图10. N-乙酰组胺、磷酸丝氨酸、肌苷和果糖基赖氨酸的空间分布
目前尚不清楚AAI治疗大鼠肾脏组织中不同代谢物变化的潜在机制(今后研究方向及可能的研究思路)。但大多数代谢物含量和分布的变化似乎与线粒体功能障碍有关,可能是由于AAI暴露引起肾小管上皮细胞中的线粒体损伤,从而导致线粒体脂质代谢功能异常,能量代谢中断,ATP依赖性肾脏转运蛋白活性改变,细胞凋亡。此外在病变区域发现的大多数代谢产物为脂质,这表明脂质代谢产物可能成为AAs致肾毒性的生物标志物。
本研究开发了一种基于AFADESI-MSI的原位代谢组学方法用于研究由AAI引起的肾毒性的潜在分子机制,该方法能够高通量和高分子特异性的可视化内源性代谢物的分布和变化,且无需标记和复杂的样品预处理。结果发现在AAI治疗的大鼠中有38种代谢物的分布发生了显著变化。通过AFADESI-MSI分析获得的分子图像与组织学染色对比,有助于发现与药物毒性密切相关的生物标志物。
【加入中医药交流群】添加小编微信邀请加入,也可由群友邀请加入,欢迎广大老师、朋友加入我们。
小编微信:1278317307
Acta Pharmacol Sin(中国药理学报)又发表小檗碱的研究啦,这次是关于抑制结肠癌
发表于IF8.579期刊的药理研究要求怎样—华中科大:小檗碱通过抑制Drp1介导的线粒体裂变和功能障碍来保护肾小球足细胞
都说阿司匹林是西方的神药,那黄连素算得上东方的神药了—黄连素巨能打,可抗“三高”、抗肿瘤、抗抑郁、抗菌……
[中药单体可投-例文荐读]:小檗碱通过AMPK/NF-кB通路调控巨噬细胞极化而缓解大鼠关节炎
【单体药理】华中科技大学揭示小檗碱通过促进PGC-1α调节线粒体能量稳态预防糖尿病肾病的机制
黑龙江中医药大学课题组揭示小檗碱改善肥胖所致慢性炎症的作用机制【中药药理】
Oxid Med Cell Longev:基于TMT蛋白质组学探究小檗碱改善动脉粥样硬化小鼠内皮功能障碍和机制探索
BMC BIOL(IF6.723)暨南大学和浙江中医药大学附属第一医院团队在小檗碱治疗多发性骨髓瘤研究方面取得进展
如沐风科研维修站 (Rumfer)公众号:由浙江中医药大学、中国药科大学、江西中医药大学以及福安药业和浙江省疾控中心的硕博士组成,主要发布药物研发、生产及注册,科研实验及前沿咨讯等相关信息。欢迎广大朋友老师关注我们,您的分享和关注是对我们的最大鼓励。