还在为发文章而苦恼吗,还在为没有研究方向而彻夜难眠吗?不必焦虑,本期推文为您介绍一整套去泛素化酶DUBs研究思路,为您的科研之路保驾护航!
为什么研究DUBs?细胞内的蛋白水平始终处于动态调控之中,蛋白的稳定性调控对于维持生物体细胞内各个生理过程的正常进行具有重要意义。如图3所示,游离的氨基酸分子能够合成蛋白质,而已合成的蛋白质在一定条件下又被降解为游离的氨基酸分子,这样细胞内就形成了蛋白质合成和降解的动态平衡,不仅可以促进细胞内各个生理过程的正常进行,还对细胞内物质的有效循环利用具有重要意义。
图3. 蛋白质动态平衡
怎么研究DUBs?安提海拉生物拥有成熟的技术研发团队和先进的实验操作平台,并推出一系列DUBs相关研发产品。最关键的是,可以根据您的需求量身定制不同的DUBs研究思路。
首先,要从筛选特定DUB入手。DUB家族有很多蛋白,研究者要从这些蛋白中通过某种成熟的筛选方法,找出适合研究的特定蛋白。这里为您总结了几种常用的DUB筛选方法,如图所示,DUB文库qPCR筛选(图5),DUB文库荧光筛选(图6),DUB文库WB筛选(图7)和DUB文库互作筛选(图8)。
接着,在已经明确靶蛋白的情况下,您也可以选择目前比较常用的DUB文库WB筛选方法(图7),这种方法不需要特殊的仪器,单纯的WB实验就可以轻松搞定筛选,最终确定DUB。
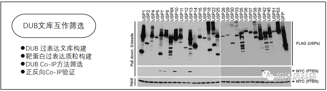
此外,还为您推荐一种最直接的筛选方法,那就是DUB文库互作筛选(图8),这种方法相对于上述其它方法而言,比较挑战研究者的实验技能,但依然有不少研究者热衷,因为它是以蛋白-蛋白相互作用为切入点,这是DUB调控靶蛋白稳定性的前提条件,因此也是一种很不错的选择。
图8. DUB文库互作筛选
最后,筛选告一段落,DUB调控机制的研究思路马上就要跟大家见面啦!
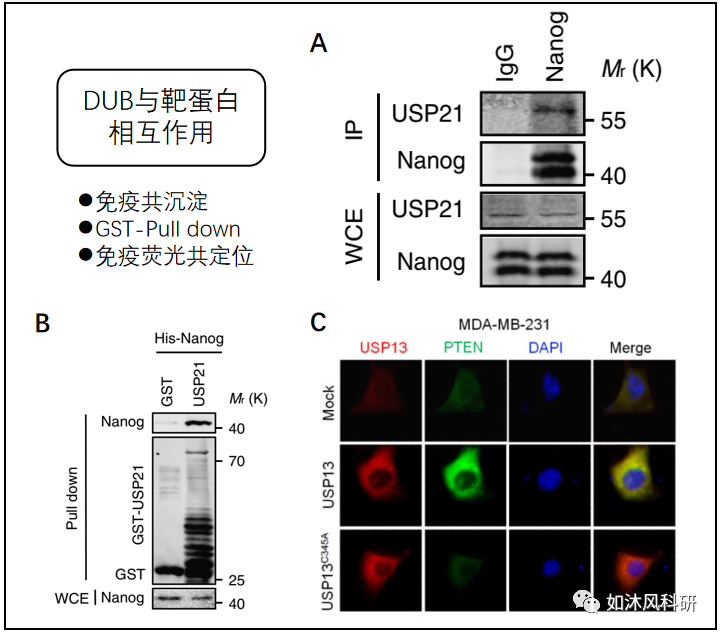
首先,我们知道,生物体内的修饰酶和去修饰酶在催化底物的时候,要先跟底物结合。常用来研究蛋白-蛋白相互作用的方法包括免疫共沉淀(Co-IP)、GST-Pull down和免疫荧光(IF),综合这些方法,可以判定DUB在体内和体外与靶蛋白的相互作用,如图9所示。
图9. DUB与靶蛋白相互作用
其次,DUB与靶蛋白发生相互作用之后,会改变靶蛋白的泛素化修饰,让原本已经被泛素化的靶蛋白,重新去泛素化。因此,在研究DUB调控机制的设计思路中,体内/体外的泛素化调控实验也是必不可少的,如图10所示。
图10. DUB对靶蛋白的泛素化调控
接着,DUB的去泛素化调控必然会影响靶蛋白的稳定性,目前常用的探究靶蛋白稳定性的是半衰期实验,在半衰期实验中,通过放线菌酮(CHX)处理,抑制总蛋白的合成,检测细胞内靶蛋白仅剩一半时所用的时间,以此来判断DUB对靶蛋白的稳定性调控,如图11所示。
图11. DUB对靶蛋白的稳定性调控
然后,DUB对靶蛋白的调控机制已经讲清楚,那接下来就是大家比较关心的功能研究。DUB之所以重要,不仅仅是因为它调控了靶蛋白稳定性,更重要的是会影响细胞生物学功能,最终影响肿瘤或某一重大疾病的发生发展。在这个地方,一般研究的切入点就是先找到合适的信号通路,如PI3K-AKT信号通路、Wnt/β-catenin信号通路、EMT信号通路及NF-κB信号通路等。很多高分文章提示,需要研究DUB通过调控靶蛋白来影响某一信号通路,以此强调靶蛋白回补DUB功能的重要性,如图12所示。
图12. DUB通过靶蛋白调控某一信号通路
最后,承接上面一步,到了文章最重要的部分,就是要在细胞水平和动物水平,证明DUB能够在体外/体内通过调控靶蛋白稳定性,最终影响肿瘤/重大疾病的发生发展,如图13所示。
图13. DUB通过靶蛋白调控肿瘤/疾病的发生发展
讲到这里,大家是不是已经对DUB研究思路很清楚了呢?想想看可以如何应用到您目前涉及的实验研究中呢?
安提海拉真心欢迎大家共同探讨科研问题,让您的科研之路不再迷茫。期待大家积极关注“安提海拉生物”公众号,更多科研干货等你来!(点击下方公众号关注哦)
微信:15959268023
QQ:249920210