小张今年19岁
是一名在校大学生
平时喜欢吃甜食喝碳酸饮料
一次聚餐后,小张突发急性重症胰腺炎入住当地ICU。住院期间持续昏迷2周并行气管插管,后因病情加重行气管切开并转至南京某医院就诊。经3个多月治疗,小张终于可以下床活动。
原发病治疗结束后,医生尝试拔除小张的气管切开套管,但小张立即出现呼吸困难,医生不得已再次置入气管切开套管,气管镜发现气切上缘肉芽阻塞,粘膜肿胀,考虑气管切开后狭窄。经过6个月的治疗,小张劫后余生,但现在气管切开套管不能拔除,他不能融入正常生活。小张家属多方咨询后,最终选择到我院呼吸内科治疗气管狭窄。
我院呼吸内科副主任方苏榕了解病情后分析,小张属于典型的气管切开术后切口上缘狭窄,是呼吸介入最棘手的疾病之一。部分患者治疗周期长,病情易反复,若处理不当会加重狭窄甚至终身带管,严重影响生活质量。小张年纪轻轻,必须拔除气管插管。经科内讨论,方苏榕主任决定先消融和使用扩张技术扩张气管。
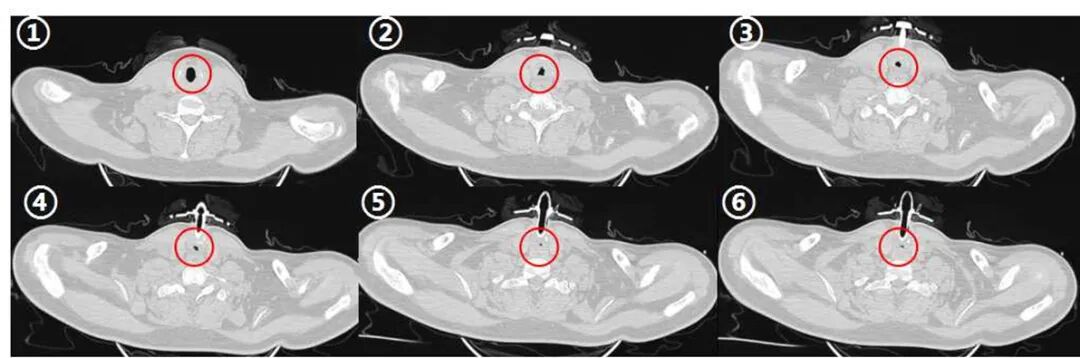
完成术前评估后,马上进行第一次气管镜,在方苏榕主任的指导下,呼吸介入医师常立功迅速完成气道评估,发现声门下2.5cm处气管闭塞,肉芽组织增生伴瘢痕形成,无法进镜,医生使用电圈套器和激光清理肉芽和瘢痕组织,后使用冷冻和球囊扩张再通狭窄气管,最后局部使用糖皮质激素抑制肉芽组织增生。
术后,小张感觉呼吸较前好转。为了达到更好的治疗效果,方苏榕和常立功医师一鼓作气连续完成3次气管狭窄再通术,小张终于可以简单发音。再次经过联合会诊和综合评估,在完成24小时的堵管后,成功拔除小张的气管切开套管。
据悉,我院呼吸内科介入团队年完成呼吸介入操作近3000例,呼吸介入人员、技术和设备均居全省前列。我院呼吸介入诊疗中心常规开展呼吸介入三、四级诊疗手术,擅长肺结节诊治、肺部疾病查因和气道狭窄诊治。
本期专家简介
东南大学与德国慕尼黑科技大学联合培养博士。擅长肺结活检,复杂气道介入处理,肺部病灶消融。年完成气管镜(可弯曲支气管镜/硬质气管镜/导航支气管镜)、肺穿刺、内科胸腔镜等呼吸介入操作3000余例。主持省级课题1项,参与国家级课题2项,以第一作者发表论文10余篇,其中SCI论文10篇。
点击图片
在线预约挂号
医院本部地址:南京市秦淮区长乐路68号
南院地址:雨花台区共青团路32号
河西院区地址:南京市建邺区应天大街919号
官方抖音号:南京市第一医院(NJFH)
官方网址: www.njsdyyy.com.cn
总机:025-52271000