//
中国约有1370万心衰患者
每年能匹配到心脏移植的患者
仅有600多例
心脏供体非常稀缺
很多终末期患者
等不到心脏移植的机会
日前,武汉大学中南医院
成功植入我国首款
完全自主知识产权的
全磁悬浮人工心脏
这颗跳动的“中国心”
为心衰患者带来希望
安徽患者苏先生
体重达130公斤
被确诊患有扩张型心肌病后
在当地医治无果
求医于武汉大学中南医院
心血管病医院
经蔡杰教授精心治疗
其心衰得到有效控制
达到手术标准
刘金平教授团队
为其成功植入人工心脏
⌈多学科联手,打造“中国心计划”⌋
术前开展多次会诊讨论
反复研讨、周密计划、预先演练
手术方案完备,康复计划详尽
武汉大学中南医院
多学科专家团队尽心尽力
打造了此次
独一无二“中国心计划”
⌈难度最高,教科书式精准植入⌋
9月28日 上午10时
手术正式开始,武汉大学中南医院心血管外科、体外循环、麻醉科、心脏超声科及手术室专家团队紧密协作、精细操作,泵体定位、顶环固定、心尖打孔……紧接着,这枚直径仅47毫米,重186克的人工心脏植入患者体内。
9月28日 上午12时
人工心脏像“马达”一样,开始了泵血,辅助心脏工作。“心脏复跳,人工心脏运转正常,血压正常,小便量正常!”监护屏幕上,一串串数字传递着好消息,患者生命体征平稳,手术成功。
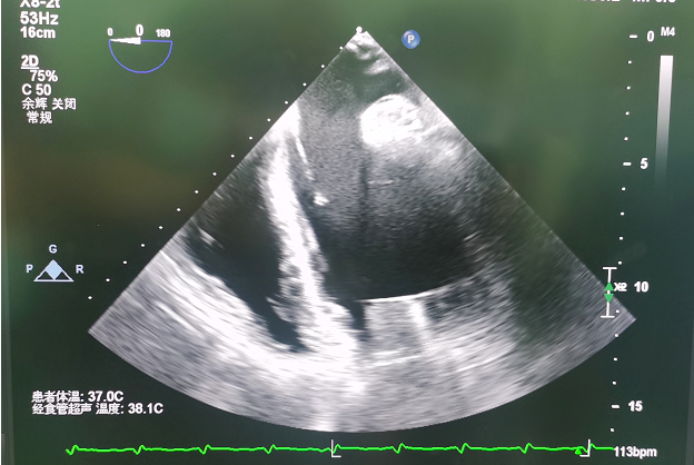
▲人工心脏血泵入口正对二尖瓣
心室腔内的血液可以顺畅进入血泵
9月29日 上午9时
苏先生已脱离呼吸机,自主喝水、进食,并正在进行运动康复治疗。
▲武汉大学中南医院院长王行环带队完成医院
首例心肾联合移植手术
推荐阅读
祝福祖国 | 武汉大学举行2022年国庆升旗仪式
珈闻 | 暖心好导师,武大教授李圣杰
珞珈潮 | 快来看blingbling的WHU闪灵!
欢迎关注新浪微博@武汉大学招生办公室
内容来源:武汉大学中南医院
编辑:张显晖
责编:武祺迅 袁瑾曦
审核:刘思维