搜索关键词,查看更多精彩内容。最新抗癌资讯,持续更新中...
声明:
本公众号内容仅作交流参考,不作为诊断及医疗依据,仅依照本文而做出的行为造成的一切后果,由行为人自行承担责任。专业医学问题请咨询专业人士或专业医疗机构
根据阿斯利康和默沙东刚刚宣布的III期POLO试验结果, 与安慰剂相比,使用olaparib(Lynparza)一线维持治疗显着降低了患有生殖系BRCA突变(g BRCA m)转移性胰腺癌的患者的死亡风险,并显著延长了患者的无进展生存期。差异具有临床意义,安全性和耐受性与既往研究保持一致。详细结果将在即将举行的医学会议上发表。
阿斯利康肿瘤学研发执行副总裁Jose Baselga博士:
这是PARP抑制剂在BRCA突变转移性胰腺癌中首个取得阳性结果的III期试验!
在这项项随机、多中心、双盲、安慰剂对照的III期临床试验,旨在评估奥拉帕利在携带BRCA胚系突变(gBRCAm)的转移性胰腺癌患者中作为一线维持治疗的作用(这些患者在一线以铂为基础的化疗中没有疾病进展)。入组的145名患者被随机3:2分组,服用奥拉帕尼300毫克,每天两次,作为维持治疗,或者每天两次安慰剂。随机分组发生在最后一次化疗后的6周内,奥拉帕利/安慰剂治疗在最后一次化疗的4 - 8周内开始。主要终点是无进展生存期,次要终点是总生存期、从随机分组到第二次进展或死亡的时间、客观反应率、疾病控制率、安全性和耐受性。
默沙东研究实验室的高级副总裁兼全球临床发展主管Roy Baynes
这项试验的临床意义重大,可以潜在支持转移性胰腺癌患者进行胚系BRCA突变检测的价值。
【通用名称】奥拉帕尼
【英文商名】Lynparza
【英文药名】Olaparib
【生产厂家】阿斯利康
【作用靶点】BRCA1/2
【国内价格】48580/月
奥拉帕利是首个口服多聚二磷酸腺苷核糖聚合酶(PARP)抑制剂药物,作用机理是基于DNA修复损伤机制(DNA damage response,DDR)。已被批准用于四线治疗晚期BRCA+卵巢癌,成为全球首个上市的PARP抑制剂。以及携带BRCA胚系突变的HER2阴性转移性乳腺癌,以及HR阳性的已经进行过内分泌治疗或不适合内分泌治疗的患者。2018年10月,奥拉帕利被FDA授予胰腺癌患者的孤儿药称号。2018年8月23日,奥拉帕利正式在中国上市,被批准用于铂敏感复发性卵巢癌的维持治疗,无论 BRCA是否突变。
提到BRAC基因,我们第一时间想起的往往是乳腺癌和卵巢癌,但是约9%胰腺癌病人也会携带BRAC1/2胚系突变,事实上,关于进行brac突变检测对胰腺癌患者的价值,或许这个精准治疗生存奇迹能给我们更好的解释。
在2015年秋天,44岁的年轻人Doron Broman被诊断患有胰腺癌 - 并且惊讶地发现他的胰腺癌已经转移到肝脏上一个大肿瘤。 面对只有几个月的生存期,Broman前往美国著名的癌症中心丹娜法波癌症研究院进行治疗。
Broman在44岁被诊断患有转移性胰腺癌
他的医生Kimmie Ng,MD,MPH,胃肠癌治疗中心临床研究主任,推荐FOLFIRINOX方案,这是最强的胰腺癌联合化疗方案。
确诊时
令人感到惊讶的是,他的胰腺和肝脏恶性肿瘤开始迅速缩小,随后几个肿瘤几乎完全消失。 要知道,对这种化疗方案完全响应的患者非常少。他们被称为“特殊应答者”。
在精确医学时代,对特殊应答者癌症的DNA进行基因测序可能会确定罕见突变,使患者的肿瘤对特定药物异常敏感,获益于更有效的药物治疗。
于是,Kimmie Ng博士检测了Broman的肿瘤DNA的全部外显子序列,显示BRCA2基因的突变。大家都知道,当这种突变被女性遗传时,会大大增加其乳腺癌和卵巢癌的风险。但是Broman并没有遗传BRCA2突变 - 只是在他生命的某个时刻,胰腺细胞随机发生了这种突变。
BRCA2突变会干扰细胞修复DNA损伤的能力,导致细胞自我破坏。 具有BRCA2突变的癌细胞对基于DNA损伤的铂类化疗药物是特别敏感的,这也是为什么布罗曼的癌症能如此成功地被治疗的原因。
在使用FOLFIRINOX进行13个周期的治疗之后,Broman对治疗的响应很好,但由于出现脱发和神经损伤等副作用,他的医疗团队决定将其转化为靶向Brac突变的药物,称为PARP抑制剂的olaparib(Lynparza) ,可以阻碍DNA损伤修复。
所以,Broman停止了FOLFIRINOX,现在每天服用12粒olaparib,他说不会有副作用。 在他使用奥拉帕尼六个月后,MRI和CT扫描显示没有癌症复发,生物标志物水平保持在正常范围。 Ng说,只要癌症得到控制,他可以无限期地服用奥拉巴利,因为副作用很小。
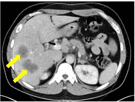
FOLFIRINOX治疗5个月病灶明显缩小 vs olaparib治疗21个月病灶全部消失
Broman说:“我真的很幸福”。他自己诊断以来每天都在祈祷。 他最近前往欧洲和他出生的以色列旅游。 “我做得比我预想的好多了。 我感觉很好 ,我的头发回来了,我很健康,我每天走12英里,一周六天。 我的朋友说他们简直不敢相信。“
胰腺癌一直被公认为“癌症之王”,对于这种预后极差的癌症,患者通常无法选择手术,因为大多数原发肿瘤被诊断出来时已经发生转移,这也就解释了为什么胰腺癌患者五年存活率只有8%。新一代基因检测技术已经在肺癌等癌症治疗方面取得了显著的成绩,全球肿瘤专家对于基因检测指导胰腺癌靶向治疗抱有极高的期望,各项临床试验正在全球实验室进行。肿瘤学家们希望通过对大量胰腺癌患者标本的测序,找到胰腺癌患者常见的基因突变,帮助患者找到合适的靶向药物和临床试验。
近期,Dana-Farber癌症研究所的一项研究表示,71例转移性胰腺癌患者中大约有三分之一的胰腺癌患者中可能有影响治疗决策的基因突变,可能指导医生为癌症患者制定个体化精准治疗方案。这项研究在线发表在国际著名期刊《癌症研究》上。
很多患者看到这样振奋人心的新闻可能会想进行基因检测尝试靶向药物,但事实上,丹娜法伯进行的研究以及案例中患者所使用的检测技术和国内普通的基因检测公司是截然不同的,全球肿瘤医生网为癌症患者推荐的五家知名的检测机构,供癌症患者参考:
中国
泛生子(NGS全基因检测:组织825基因+TMB+MSI+PD-L1、血液179基因+TMB+MSI;单癌种);
世和基因(NGS全基因检测:组织422基因+TMB+MSI+PD-L1,可以选择一次消费,终身免费检测);
思路迪(NGS全基因检测:组织417基因+TMB+MSI+PD-L1、血液189基因+TMB+MSI+HLA-A;单癌种:乳腺癌and妇科肿瘤BRCA1/2、结直肠癌17基因、全部遗传性肿瘤44基因);
美国
凯瑞思(NGS全基因检测:组织592基因+TMB+MSI+PD-L1、血液无法邮寄至美国,采用多平台检测方法,交互印证,保证结果更精准:免疫组化、显色原位杂交、荧光原位杂交、焦磷酸测序等9种检测技术)
Foundation Medicine(NGS全基因检测:组织324基因+TMB+MSI+PD-L1)
申请电话:400-666-7998
参考资料:
https://www.onclive.com/web-exclusives/frontline-olaparib-maintenance-improves-pfs-in-brca-pancreatic-cancer
添加下方微信,迅速解决抗癌疑问!
搜索关键词,查看更多精彩内容。最新抗癌资讯,持续更新中...
声明:
本公众号内容仅作交流参考,不作为诊断及医疗依据,仅依照本文而做出的行为造成的一切后果,由行为人自行承担责任。专业医学问题请咨询专业人士或专业医疗机构