搜索关键词,查看更多精彩内容。最新抗癌资讯,持续更新中...
在刚刚过去是世界肺癌大会上,这种叫Larotrectinib,代号LOXO-101,被誉为近两年肿瘤治疗领域“黑马”的传奇抗癌药,公布了非小细胞肺癌患者对larotrectinib的快速,稳健和持久反应的临床数据和案例。
相信关注全球肿瘤医生网的癌友们一定对这款火遍癌友圈的传奇抗癌药LOXO-101期盼已久,《新英格兰杂志》曾经发表了LOXO-101同时在进行的三项疗效和安全性研究,分别为成人I期研究,儿童I-II期研究,以及青少年和成人II期研究。
美国时间2月21日在线的新英格兰医学杂志(NEJM)上公布了传奇抗癌药larotrectinib(LOXO-101)同时进行的三项安全性和有效性研究结果,对于年龄为4个月至76岁的患者,针对17种不同癌症治疗总体应答率为75%!详情点击:权威发布!针对17种肿瘤的传奇抗癌药LOXO-101最新研究数据公布!有效率75%!
美国时间3月28日在线的权威肿瘤学杂志柳叶刀上公布了传奇抗癌药larotrectinib(LOXO-101)的最新研究数据!该药在部分儿童癌症患者达到了93%的治疗应答!详情点击:重磅新数据!针对17种肿瘤的传奇抗癌药LOXO-101公布新数据,这次有效率高达93%!
对三项正在进行的临床研究(NCT02122913,NCT02637687和NCT02576431)的联合分析的主要终点是确定larotrectinib的总生存期。
本次会议,报告了截至2018年2月19日,在初步分析组中的55名患者中的4例经过治疗的TRK融合非小细胞肺癌患者的详细信息和随访。
患者口服larotrectinib100 mg,每日两次(BID),直至疾病进展或缺乏临床获益。
结果
4例接受拉罗替尼治疗的NTRK基因融合的NSCLC患者中3例都出现持续反应(从8.21到> 20.27个月)
Larotrectinib在NSCLC患者中耐受良好,报告的主要是1级不良事件的发生,除了患者中发现的1级2级不良事件(中性粒细胞计数减少)。
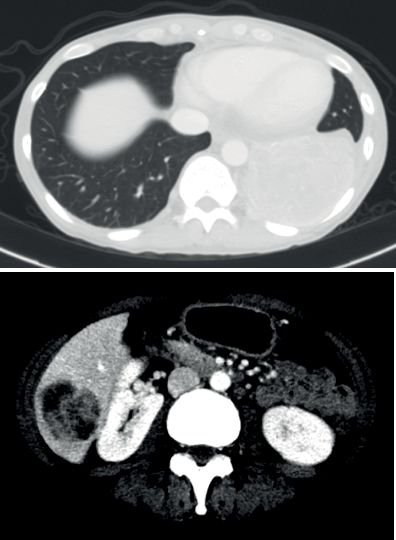
患者一:ETV6-NTRK3融合非小细胞肺癌的持久反应
76岁男性被诊断患有IV期肺腺癌,肝脏和骨转移。
患者接受了肺切除术联合放疗和未明确的化疗。 局部和全身复发后,接受了卡铂,培美曲塞,吉西他滨和nivolumab的全身治疗;
患者接受FoundationOne检测,发现NTRK融合基因,larotrectinib的起始剂量为每天两次100mg,在第2周期,厌食症有显着改善,反应持续时间(DOR)> 14.78个月,患者仍在接受治疗。
患者二:TPR-NTRK1融合非小细胞肺癌的持久反应
28岁男性被诊断为IV期NSCLC,伴有神经内分泌功能的腺癌,有脑和骨转移。
先前用顺铂和依托泊苷治疗,由于疾病进展(PD)而停药,随后进行放疗,疾病稳定。
FoundationOne检测发现NTRK融合基因,在开始使用larotrectinib后,患者在第29天时,咳嗽和背痛症状的显着改善,反应持续时间为8.21个月。
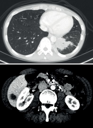
患者三:IRF2BP2-NTRK1融合非小细胞肺癌的持久反应
31岁女性被诊断患有IV期NSCLC腺癌,颈部左侧,腋窝和右乳内淋巴结转移,对腹部和锁骨上窝的放射治疗后,患者出现周围神经病变,颈部疼痛和粘膜炎,对所有先前的全身治疗均无反应,包括顺铂,培美曲塞和多西紫杉醇。
FoundationOne检测具有NTRK融合基因,接受larotrectinib 100 mg BID,在第56天确认完全反应,所有症状完全消除,反应持续时间> 20.27个月,患者仍在接受治疗,未报告严重不良事件。
患者4:SQSTM1-NTRK1融合非小细胞肺癌的持久反应
45岁女性被诊断患有IV期NSCLC腺癌,肝脏和纵隔转移以及肥厚性骨关节病(HOA)症状,她曾接受过以前的铂类和培美曲塞治疗。
基因检测发现,NTRK融合基因,接受larotrectinib100 mg每日两次,出现快速反应,表现为第1周期(研究第8天)HOA症状,咳嗽和疲劳的改善以及第3周期完全没有咳嗽。第54天出现部分反应。反应持续时间> 12.88个月。
我们看到Larotrectinib在NSCLC患者中耐受良好,未观察到进行性中枢神经系统事件; 这种安全性表明长期治疗是可行的。
1上市时间
2017年12月,Loxo Oncology向美国FDA 提交 larotrectinib新药申请(NDA),该申请于2018年3月完成;
2018年5月,FDA接受了该公司的NDA并授予了larotrectinib优先审查资格,用于治疗患有NTRK基因融合的局部晚期或转移性实体肿瘤的成人和儿童患者;
FDA已经将目标批准日期设定为2018年11月26日,这款针对17种肿瘤有效的新药终于要和广大癌症患者见面了!届时全球肿瘤医生网将会在第一时间跟踪报导,上市后,患者就可以通过全球肿瘤医生网医学部咨询购药流程了。
2哪些患者适合?
这个靶向药不仅疗效显著,还是广谱抗癌药物,对很多不同肿瘤都有效!这也这个药品这么吸引眼球的原因。
通常靶向药的使用是局限于某种器官类型的,比如EGFR靶向药易瑞沙主要治疗肺癌,HER2靶向药赫赛汀主要治疗乳腺癌。
那为什么LOXO-101能治疗这么多种不同肿瘤?
因为虽然这些肿瘤来源不同,表面看起来千差万别,但从分子生物学角度来看,其实它们很类似,因为都有一个共同特点:携带TRK融合基因突变,而且依赖这个突变基因提供生长信号。
正因为它们本质都依赖TRK基因,才会都对TRK靶向药物产生积极响应。
肿瘤分类方式正在发生革命性变化。我们不再仅按照组织来源分类,基因突变类型等信息也非常重要。
最近,PD1免疫药物刚被批准用于MSI-H分子类型的各种肿瘤,成为第一个“广谱免疫药物”。但是,LOXO-101很有可能后来者居上,应该会是第一个上市的“广谱靶向药物”。
这两个例子都证明,有些时候使用基因分型,比按照肿瘤组织分型更好,更能指导临床治疗,到达最佳效果。因此,只要你经过基因检测,存在
3关于NTRK基因
NTRK基因包含NTRK1、NTRK2和NTRK3,分别负责编码原肌凝蛋白受体激酶(TRK)家庭蛋白TRKA TRKB和TRKC的合成。
NTRK在多种肿瘤中都有发现,虽然在常见肿瘤肺癌、结直肠癌中的发病率低于5%,但该通路在各癌种致病中共享。larotrectinib是治疗TRK基因突变癌症患者的第一选择。
4耐药后怎么办?
面对任何靶向药物,总会出现的一个问题是:会不会出现耐药现象?
很不幸,多数患者会,因为肿瘤细胞也在不断进化。
事实上,已经有一些参与LOXO-101临床试验的患者出现了耐药。
面对耐药现象,目前只能把希望寄托在是新一代靶向药物。
可喜的是,现在靶向药物开发很早期,就会考虑耐药问题和解决方案。很多时候一代药物还没上市,二代药物就准备好了。
科学家经过研究,发现LOXO-101耐药机理和EGFR情况很像,主要是靶点本身(TRK基因)产生了新的突变,比如TRKA出现G595R突变,或者TRKC出现G623R突变。
根据这个发现,第二代TRK靶向药物LOXO-195已经出炉,专门来对抗耐药新突变。
结果十分乐观!
昨天关于第二代TRK靶向药物的论文刚刚发表,最初的两位耐药患者尝试新药后,肿瘤再次快速缩小。比如下面这位,用药一个月后,耐药的肿瘤就再次几乎消失!
耐药后 使用2代药一个月后
LOXO-195上个月已经被FDA批准正式开展临床试验,耐药患者有了新希望。
在科学指导下,合理换药,把癌症变成慢性病,是我们的目标。
5副作用有哪些?
对于肿瘤药物,一个大家很关注的问题是:毒副作用严重么?
药物的安全性和有效性同样重要,患者的生活质量和生存时间同样重要。
LOXO-101展现的疗效固然惊艳,但对于熟悉TRK基因,甚至开发过类似药物的科学家,这个药在临床展现出来的副作用十分轻微,这也给大家吃了一个定心丸。
TRK基因不仅对一些癌细胞重要,对神经的生长和功能也很重要。动物模型显示,抑制TRK功能,可能会带来明显的神经毒性,比如引起运动失调(共济失调),感觉异常,行为异常等。
正因为如此,虽然TRK基因对肿瘤的重要性很多人都清楚,很多大药厂却不愿意做。除了担心患者太少,主要就是担心毒副作用会让患者无法承受。考虑到很多适用TRK抑制剂的患者是儿童,后果很难预料。
LOXO-101带来了惊喜。这次的临床试验中,至少短期内,没有发现任何明显的严重毒副作用。
这很可能不是纯粹的运气,因在开发LOXO-101过程中,科学家就针对性地做了大量优化,希望保持对肿瘤疗效的同时,减少对神经的毒副作用。比如,他们让LOXO-101通过血脑屏障的能力减弱,这样对大脑影响小一些。
到底是优化起了主要作用,还是人和动物模型有本质区别,现在很难说清楚。
重要的是,现在LOXO-101看起来是个有效而且安全的好药!
6国内患者如何接受治疗
由于这款“抗癌神药”还未上市,对于走投无路的癌症患者来说,临床试验是一种很好的选择,Rossy找到了几项患者可申请的临床试验,但是入组的首要条件是先进行基因检测,确认存在NTRK基因突变!所以先去看看你的基因检测报告吧,
1、NTRK融合阳性实体瘤患者LOXO-101(Larotrectinib)的研究
这是一项针对携带NTRK1,NTRK2或NTRK3融合基因的晚期实体瘤患者的II期多中心开放标记研究。LOXO-101将以100mg每日两次(BID)口服给药,连续给药28天为1周期。
该研究将分析8个患有NTRK融合肿瘤患者的队列,包括非小细胞肺癌,甲状腺癌,肉瘤,结肠直肠癌,唾液腺癌,胆管癌和原发性CNS肿瘤。
实验地点:
1、加州大学洛杉矶分校
2、麻省总医院
3、斯坦福大学等
这是一项多中心,开放标签,1/2期研究,用于晚期实体或原发性CNS肿瘤的儿科患者。LOXO-101(larotrectinib)将每日两次口服(PO)(BID),剂量通过体表面积(BSA)调整。
实验地点:1、波士顿儿童医院
2、纪念斯隆凯特林中心
3、辛辛那提儿童医院医疗中心等
参考资料:
https://ir.loxooncology.com/press-releases/fda-accepts-larotrectinib-new-drug-application-and-grants-priority-review
http://www.thelancet.com/journals/lanonc/article/PIIS1470-2045(18)30119-0/references
http://www.nejm.org/doi/full/10.1056/NEJMoa1714448?query=featured_home
https://www.mdanderson.org/newsroom/2018/02/kinase-inhibitor-larotrectinib-shows-durable-anti-tumor-abilities-in-unique-cancer-diagnoses.html
https://www.fda.gov/downloads/AdvisoryCommittees/CommitteesMeetingMaterials/Drugs/OncologicDrugsAdvisoryCommittee/UCM516803.pdf
https://www.clinicaltrials.gov/ct2/show/study/NCT02576431?cond=Larotrectinib&rank=1&show_locs=Y#locn
https://meetinglibrary.asco.org/record/144598/abstract
file:///C:/Users/admin/Downloads/Targeting%20NTRK%20fusion%20in%20non-small%20cell%20lung%20cancer_%20rationale%20and%20clinical%20evidence.pdf
https://www.loxooncology.com/docs/press-releases/Loxo_ASCO_Data_Release_Embargoed_FINAL.pdf
https://www.loxooncology.com/docs/presentations/po.17_.00034_.pdf
了解更多抗癌最新治疗技术及资讯权威专家,可申请加入全球肿瘤医生网医患交流群