CAR-T是近两年涌现出的“治愈性”抗癌疗法。目前,已被FDA批准的两种CAR T细胞疗法Yescarta和Kymriah分别用于治疗白血病和淋巴瘤。这些治疗方法已经证实可以诱发的显着反应 - 即使是生存期仅仅几个月的晚期癌症患者也可以完全根除,在某些情况下强烈响应持续数月甚至数年。
这种疗法从患者体内分离出免疫T细胞,并在体外对这些细胞进行基因改造,给它们装上识别癌细胞表面抗原的“嵌合抗原受体”(CAR)。随后,这些改造之后的细胞在实验室中经过大量扩增,再被输注回患者体内。在那里,它们就像是一支装备了最新武器,训练有素的军队,对癌细胞展开无情的攻击。详情点击:一文总览癌症的CAR-T细胞疗法
然而,CAR T细胞具有重要的局限性。由于CAR T细胞不像传统药物,它们可以在身体中释放出可以杀死许多细胞的强大免疫反应。因此,CAR T细胞疗法有可能会产生严重的副作用--细胞因子和神经毒性,甚至可导致死亡。必须由经验丰富的专家来管理。
近日来自北京大学肿瘤医院的朱军教授与南加州大学的陈思毅教授近日研发出了一种新型的CAR-T。在保证出色疗效的同时,可以大幅降低副作用,提高CAR-T的安全性,这一突破性进展也将有望变革CAR-T细胞的治疗格局。这项研究成果发表在《自然》子刊《Nature Medicine》上。
包括诺华上市的Kymriah,目前大多数的CAR-T产品都是以B细胞的CD19为靶点,经大量扩增后回输至患者体内。而大量增殖的T细胞将导致人体内释放大量细胞因子,从而引起发热或发烧,肌痛,低血压,呼吸衰竭等症状。
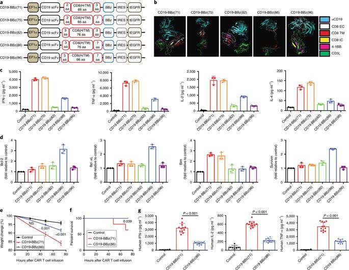
但是来自北京大学肿瘤医院的朱军教授及其团队找到了一种新的嵌合抗原受体CD19-BBz(86)。经过小鼠实验,研究人员发现,由CD19-BBz(86)制成的CAR-T细胞,同样能够靶向B细胞,拥有强效的抗肿瘤作用。
不同是,CD19-bbz(86)的CAR T细胞的增殖速度更慢!
正是由于较慢的增殖速度,当CAR-T回输至体内时,并不会立即产生大量的CAR-T,也就意味着不会导致大量的细胞因子释放。这正是他们所苦苦寻找的特性。
CD19-BBz(86)转导的CAR T细胞具有较低的细胞因子产量和较高的抗凋亡分子表达。
正如参与该研究的陈思毅教授说道:“我们设计了一种新型的CAR分子,它在杀死癌细胞上一样有效,但作用速度没有那么激烈,毒性也更低。”
朱军教授及其团队招募了25名难治性B细胞淋巴瘤患者并分成三组,分别使用低剂量、中剂量以及高剂量的新型CAR-T疗法。右下角的统计图是25位患者接受治疗后的疾病情况,其中CR代表完全缓解; PR部分缓解; SD病情稳定; PD进行性疾病。在随访结果显示,在低剂量和中等剂量组中,均有一半患者出现临床缓解。而接受最高剂量的11名患者中,有6人达到完全缓解(54.5%),2人达到部分缓解(18%),这表明这款经过改良的CAR-T疗法,疗效没有打折扣。
6位接受治疗的患者完全缓解,红色箭头指示的为肿瘤组织。CAR T细胞治疗前后6名患者的代表性PET-CT扫描显示持久完全缓解。红色箭头表示淋巴瘤的部位。
还有两名患者获得持久缓解。
最值得大家关注的是,新型CAR-T几乎完全杜绝了副作用的发生。
作为CAR-T细胞最常见也是最严重的两个副作用:细胞因子和神经毒素,在25名接受治疗的患者中,竟然没有任何一位患者出现神经毒素!同时,也没有一位患者出现1级以上的细胞因子风暴!
要知道,在目前获批的CAR-T疗法中,接受治疗的患者有超过一半都将出现细胞因子风暴、有近25%的患者会受神经毒素的困扰。
而这次来自国人改良的新型CAR-T,在副作用方面,完全大获全胜!
一旦来自北京大学肿瘤医院的这项新型CAR-T走上临床,则意味着患者只需在普通医院甚至是门诊就可以进行治疗,无需住院。
为了实现这一目标,研究人员也计划开展2期临床试验,在更多的患者中进行试验,验证CAR-T的有效性和安全性并进一步探究其背后的机制。
我们可以看到,近年来,不论是两种总体缓解率都能达到80%以上CAR-T疗法,还是新一代CAR-T疗法,以及靶向治疗和免疫治疗,都在加大对实体肿瘤的研发,也取得了很大进展,给更多晚期癌症带来新的希望!
Rossy需要提醒大家的是,目前对于这类新的疗法,并不是适合所有的癌症患者,大家需要理性对待,标准治疗失败的患者可以根据自己的综合情况考虑,另外,关于实体肿瘤的CAR-T疗法的最新进展,国内权威肿瘤医院及国际知名癌症中心都在进行大量临床研究,有些尚未在国际上发表,只能通过与国内一流的肿瘤专科医院以及国际知名的癌症中心专家沟通才能了解,感兴趣的肿瘤患者可以先请权威的肿瘤专家进行会诊,咨询自己的病情有没有更好的治疗方案,是否有新的有效药物临床试验可以参加等。关于更多实验信息,大家可以致电全球肿瘤医生网医学部咨询(400-666-7998)。
丹娜法伯癌症研究院
丹娜法伯免疫效应细胞疗法项目医学总监
参考资料:
https://medicalxpress.com/news/2019-04-advance-car-t-cell-therapy-severe.html
https://www.nature.com/articles/s41591-019-0421-7
https://www.nature.com/articles/s41591-019-0421-7