本以为只是腹泻,却发现恶性肿瘤
M女士从未想过自己会得癌症,自己才刚33岁,一切美好刚开始,却不幸迎来这个噩耗。。。
起初因为炎性腹泻就诊,医生安排了结肠镜检查发现可疑肿块,最终病理活检显示中度分化腺癌,术前CEA水平为1.0 mcg / L。患者随后进行腹腔镜右半结肠切除术,病理分期为T4aN2a,也就是晚期。手术做的很成功,术后M女士又接受了12次FOLFOX方案辅助化疗,本以为万无一失了,不幸却在7个月后 CT复查示出现肝脏转移病灶,再次做了手术后, 6个月复查示新的淋巴结肿大以及新的转移性肝脏病变。临床医生已经没有更好的治疗方案。
基因检测错误?治疗后效果不佳
随后,M女士进行了肝穿刺,用组织切片在国内进行基因检测,结果显示存在KRAS突变。
M女士开始使用FOLFIRI和西妥昔单抗进行全身治疗,效果不佳出现严重的胸部和腹部疼痛,并进入医院进一步处理症状。
美国基因检测带来的生命奇迹!
抱着最后的希望,M女士又将切片寄到美国顶尖的Foundation Medicine进行组织病理学和全基因组测试。
结果检测到七个基因组改变:BRAFV600E以及MYC扩增,CDKN2A(p16INK4a)A57V,TP53R175H,SMAD4 R361C和两个APC移码插入/缺失(S1545fs * 1,T1556fs * 3)。
于是,基于BRAFV600E和TP53 R175H突变的存在,患者开始接受dabrafenib(达拉非尼)和trametinib(曲美替尼)以及奥沙利铂治疗。
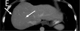
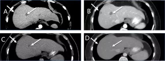
治疗1个月奇迹出现了,CT显示M女士纵隔淋巴结肿大缩小,没有新的肝或纵隔病变(图1A和B和2A和B与图1C和2C),并且在3个月时的影像学检查显示出纵隔淋巴结肿大和肝脏局部病变进一步缓解(图1D和2D)。8个月的影像显示纵隔淋巴结持续缩小,肝脏病变完全消退(图1E和2E)。患者目前仍继续进行治疗。
副作用:间歇性低度发烧,腹痛,持续但容易控制的皮疹。
图1:ABCDE
图2:ABCDE
提到Foundation基因检测,它的光环已经多到无法一一列举。
Foundation Medicine公司成立于2010年,拥有史上最豪华的专家团队和明星投资者。
其创始之一是埃里克·兰德尔(Eric Lander),他曾经是人类基因组计划(Human Genome Project)的领导成员,当之无愧的“走在基因研究领域最前端的人”。
2011年Google为其投资。
“对人类基因组的理解正在剧烈影响几乎所有的医学领域。Foundation Medicine正在利用基因组数据的力量来改善对癌症的治疗,这将是十分重要的一步。我很高兴能够成为它的支持者。”
这是2013年,比尔盖茨在Foundation Medicine结束B轮投资之后采访中说的话。
NCI(美国国家癌症中心)特指定与全球最顶尖的癌症基因测序公司Foundation Medicine合作,旨在协助NIC正在执行的癌症探月计划和癌症精准治疗研究计划。
2017年6月7日,Foundation与美国国家癌症研究院(NCI)达成协议,协助NCI-MATCH试验计划1100个临床实验基地进行基因检测,并宣布向美国NCI公开18000名癌症患者基因信息,这些信息来自FoundationCORE™ 数据库。这是迄今为止输送给NCI的最大的一次基因数据,是NCI现有数据库的两倍。
乔布斯患癌之后,也曾经使用过Foundation Medicine的基因检测技术,花费十万美元,但终究没有挽回生命。不过,乔布斯认为这样的检测很有意义。他在接受《麻省理工科技评论》采访时曾表示:“我要么是第一批以这种方式击败癌症的人,要么是最后一批死于癌症的人。”
2018年, FDA 批准了首个针对泛肿瘤的全面的伴随诊断检测FoundationOne CDx ,这个产品覆盖324个基因、两个可以预测免疫检查点抑制剂疗效的分子标记(MSI/TMB)、覆盖全部实体瘤(除肉瘤)、直接对应FDA批准的17个靶向治疗方案!
一,FDA批准的首个也是唯一一个泛癌种的伴随诊断!
对于多肿瘤靶标的综合突变分析产品,卓越地检测分析性能评估及前期大规模临床数据确认是必要的前提,数据库的构建和参考文献的组织管理,以及知识库的使用和升级应有明确关联性;测序数据分析处理及结果的综合分析能力也显得尤为重要。美国FDA授予Foundation Medicine该产品上市,充分说明美国FDA认可该产品检测性能的同时也认可了该机构对结果的综合分析能力。
二,拥有世界最高级别认证!
• CLIA 认证(Clinical Laboratory Improvement Amendments)
• CAP 认证(College of American Pathologists)
• MolDx技术评估 (MolDx Technical Assessment)
• 纽约州卫⽣署 (NY State Department of Health)
• 美国⻝品药物管理局 (FDA)
三,独有的数据库!
FoundationCore是目前世界上最大的癌症基因组数据库之一,拥有超过18万患者的数据记录;同时也与50家以上的生物制药企业合作,帮助加速新的靶向药物研发,科研成果汇总成340多篇科研论文。在全球肿瘤医生网查阅的大量文献中,一些新药物的临床试验涉及到的基因检测报告,均是由Foundation提供的,比如LOXO-101,甚至开发了专门针对该类药品的NTRK融合检测,想了解的患者可以致电全球肿瘤医生网医学部咨询。
四,分析认证和临床验证双保险,确保准确无误的检测结果!
我们都知道一个基因它存在很多个位点,每个基因突变形式四种,碱基替换,插入缺失,拷贝数变异,重排,小的公司为了节约成本或是受技术影响,只做热点检测,或者只检测碱基替换和插入缺失造成很高的漏检率,导致很多假阴性结果的出现,患者花了钱,却什么也没检测出来。
而foundation medicine经过了分析验证和临床验证双重验证,保证其检测结果不会多检或漏掉任何一个突变,出现假阴性假阳性,出具结果的准去和精确性经得起反复检测验证及其他实验室多次检测验证。并且,foundation的临床验证结果证实患者经过检测可获得生存获益(肿瘤缩⼩,⽆进展⽣存期,总⽣存期,⻛险⽐)。
五,全球权威癌症专家公认和推荐的基因检测项目!
由于foundation medicine对癌症临床治疗的指导意义,美国知名癌症中心如MD安德森癌症中心、纪念斯隆凯瑟琳癌症研究院、丹娜法伯癌症研究院、麻省总医院等全球知名癌症机构的专家都会推荐患者接受foundation的基因检测,并肯定foundation的检测结果!
无论是靶向治疗的方案指导,还是免疫治疗的疗效预测,Foundation Medicine检测都拥有非常大的优势。对于正在飞速发展的肿瘤精准治疗而言又迈上了一个新的台阶。
基因检测的重要性不言而喻,精准的基因检测是精准治疗方案的前提。作为国内权威的肿瘤患者诊疗服务平台,全球肿瘤医生网在过去几年协助国内众多癌症患者接受美国foundation基因检测,如今,国内患者想要接受检测更加便捷,通过全球肿瘤医生网申请,2周即可拿到权威基因检测结果。详情可致电全球肿瘤医生网医学部(400-666-7998)。
参考资料:
https://www.dovepress.com/a-metastatic-colon-adenocarcinoma-harboring-braf-v600e-has-a-durable-m-peer-reviewed-fulltext-article-OTT