20年前,肿瘤的治疗方式仅有手术,放疗,化疗。近十年,免疫疗法的出现已经成为癌症研究最热门的领域之一,从根本上改变了许多患者对疾病的治疗方式,它既让肿瘤患者看到了“治愈”的希望,也让肿瘤治疗步入全新的时代。
肿瘤浸润淋巴细胞疗法(TIL)是一种新型的过继细胞免疫疗法,近两年在国际各大肿瘤学会议上公布的临床试验数据璀璨夺目,振奋人心。并且TILs疗法有望在2022年获批,一旦上市,这将是全球首款针对实体瘤的细胞免疫疗法,也是有望攻克实体瘤的又一把利剑,将给无数晚期癌症患者带来全新的选择和希望。
全球肿瘤医生网医学部查阅了大量的文献,为大家详细整理了TILs疗法的详细信息和国内外的最新进展及接受治疗的方式,希望给大家带来战胜癌症的信心。
一,什么是肿瘤浸润淋巴细胞(TIL)?
二,为什么自己的TIL细胞无法杀灭肿瘤?
三,什么是TILs细胞疗法?
四,TILs细胞疗法和其他的免疫疗法有什么区别?
五,TILs细胞疗法的治疗流程是什么?
六,TILs细胞疗法适合哪些癌症患者?
七,TILs疗法有哪些副作用?
八,TILs细胞疗法的国际最新进展有哪些?
九,TILs细胞疗法的国内最新进展有哪些?
十,国内患者如何接受TILs疗法治疗?
在癌症的早期阶段,免疫系统试图通过动员淋巴细胞的特殊免疫细胞来攻击肿瘤。在手术切除的肿瘤组织中,我们发现大部分是肿瘤细胞,也有少部分淋巴细胞。这些淋巴细胞中有部分是针对肿瘤特异性突变抗原的T细胞,它们才是深入到敌军内部打击能力最强的免疫细胞,也是深藏在肿瘤中的宝藏!它们被称为肿瘤浸润淋巴细胞(TIL)。
TIL,全称肿瘤浸润淋巴细胞(Tumor Infiltrating Lymphocytes),是肿瘤间质中的异质性淋巴细胞,包括T细胞及NK细胞等。大多数情况下以CD3+、CD8+和T细胞为主,是机体淋巴细胞侵入到肿瘤组织中,并对肿瘤起识别、抵抗和攻击作用的细胞群体。
TIL产生的抗肿瘤效应主要是细胞免疫反应。TIL的作用机制是通过释放细胞毒素直接杀伤肿瘤细胞。此外,TIL还能调节机体免疫功能,提高机体对肿瘤细胞的杀伤能力。
主要有以下两个原因:
癌症细胞“智能隐身”:它们使用各种机制逃避免疫系统监测。换句话说,就像它们戴上了面具,看起来和正常细胞一样,让免疫系统无法识别和杀伤它们。
免疫细胞不堪重负:癌症患者属于免疫低下的人群,体内的免疫细胞数量和活性严重不足,无法战胜数量巨大的癌细胞。
TIL疗法是从肿瘤附近组织中分离出TIL细胞,加入生长因子IL-2进行体外大量扩增,再回输到患者体内,从而扩大免疫应答,治疗原发或继发肿瘤的方法。这种疗法利用能够识别并靶向患者肿瘤的T细胞作为攻克癌症的免疫大军回输到体内,是根据每个癌症患者量身定制的个体化抗癌疗法,具有多克隆化,可特异性识别多种新生抗原,个体化,高度特异性,持久性,输注后可形成免疫记忆等特点。
它的开创者是免疫界泰斗Rosenberg及其团队。
资料显示,老爷爷今年已经78岁了,是世界著名的癌症学和免疫学专家,也是美国癌症研究院(NCI)的外科主任。
Rosenberg认为,癌细胞入侵时,自身的免疫系统会试图打败体内蔓延的肿瘤。过去三十年间,他和他的团队一直在致力做一件事情:如何发现并放大“打败”工作做得最好的免疫系统细胞。
肿瘤的DC,NK细胞疗法已经为大家所熟知,而TILs与CAR-T,TCR-T是基于T细胞的三大疗法,是完全不同于传统细胞疗法的一类新型疗法。其中TILs疗法又是一种赶超CAR-T的新型实体瘤T细胞疗法,
首先,TIL的免疫细胞来自于肿瘤组织,而其他细胞免疫疗法大部分来取自血液。据估计,肿瘤里分离出的免疫细胞,有60%以上能识别肿瘤,而血液里面分离的免疫细胞,不到0.5%。这直接决定了免疫细胞识别肿瘤的能力。
其次,这种新型的疗法不是像传统的简单的扩增回输,而是要确定患者病例中特定的突变。之后利用突变信息找到能够最有效瞄准这些突变的T细胞,最后提取出专门患者肿瘤中细胞突变的T细胞,这些细胞具有精准识别癌细胞的能力。相比之下,CAR-T和TCR-T中用于治疗的T细胞是通过基因转染技术改造的外周血T细胞,是进行修饰而非筛选培养,因此,精准识别的能力与TIL细胞相差甚远。
最后一点,TILs疗法扩增数量庞大。TILs细胞经过分离筛选后,会加入白细胞介素2进行培养,增加免疫细胞存活的几率,最大限度的扩增免疫细胞,达到数百亿~数千亿级别,确保T细胞的有效性和活性后重新注入到患者体内,这意味着体内的抗癌“兵力”大大增强。
第一步,我们得到病人的肿瘤组织块,其中混杂着体积较大的肿瘤细胞(浅蓝色)以及体积小而圆的T淋巴细胞(红色,绿色,深蓝色);
第二步,肿瘤样本被运送到专有的GMP设施,在那里TIL被分离并繁殖,将不同种类的T淋巴细胞在细胞板上克隆化,并加入高浓度的IL-2来选择培养,在三周内产生数十亿TIL。
第三步,在IL-2的刺激下不同种类的T淋巴细胞都得到了克隆扩增,形成了细胞群;
第四步,用病人的肿瘤细胞和扩增后的T淋巴细胞反应,凡是能够发生杀瘤效应的T淋巴细胞群作为阳性TIL群留下(红色),其余的丢弃(绿色,深蓝色);
第五步,用负载了肿瘤特异性抗原的树突状细胞(DC)进一步扩增培养肿瘤特异性的TIL;
第六步,患者开始一周的预处理治疗(清髓)以准备接受TIL.TIL产品作为一次性疗法施用,在TIL输注后立即接受多达6剂白细胞介素2(IL-2),来支持患者体内TIL的生长和激活。
基于上述操作过程,该新疗法被认为是为患者“量身定制”。
TILs疗法目前在国内及国际上都处于临床试验阶段,通常用于以前接受过多种治疗且无效的转移性晚期癌症患者。目前的临床数据显示,TIL疗法非常令人兴奋,因为它对于预后很差且治疗选择很少的人群是一种新的选择和希望。
TIL疗法的初始研究都是针对黑色素瘤进行的,数据显示,这种疗法具有持续数十年的完全应答(CR)的潜力,这种长期的作用归功于记忆T细胞的持久性。
目前,TIL疗法正在针对广泛的实体瘤进行大量的临床试验并显示出了卓越的治疗潜力,其中包括:
此外,临床前研究表明,其他一些肿瘤,例如上皮性卵巢癌,也可能是这种治疗的良好候选者。
与目前其他的癌症治疗方法相比,TIL治疗相关的副作用是较少的,并且大部分副作用是进行TIL治疗前的化疗引起的。
回输TIL细胞后可能出现的不良反应主要为:
短时间发烧
寒战
气短
其他副作用包括:
近年来,TILs疗法攻破了一个又一个实体肿瘤,在国际上发表了众多重磅研究数据,成为治疗原发或继发肿瘤的新武器。
TILs疗法在黑色素瘤中的研究是最早也是最多的,并且取得的数据也是目前最好的。在今年的ASCO会议上,基于TILS细胞的创新型疗法LN-144(Lifileucel)更新了黑色素瘤的临床结果,再次引起了轰动。
66例接受过PD-1或靶向治疗进展后的极晚期黑色素瘤患者接受TILs治疗后,结果显示:
疾病控制率(DCR)高达80.3%;
客观缓解率达到36.4%。
更引人注目的是,患有PD-L1阴性的患者也有响应,这说明对免疫检查点抑制剂无效的患者仍能获益于TIL疗法。对于PD-1治疗后进展的患者,几乎没有其他治疗选择,这种治疗方案的效果几乎无与伦比。
基于这些数据,LN-144(Lifileucel)将在2021年提交上市申请,有望上市。
另外在2021年4月28日,FDA已授予另一款新型肿瘤浸润淋巴细胞疗法ITIL-168孤儿药称号,用于治疗IIB至IV期黑色素瘤。
在刚刚结束的2021AACR大会上,公布了ITIL-168回顾性的研究数据,结果也非常振奋人心。
21位晚期黑色素瘤患者入组了临床试验,接受TILs细胞回输,结果显示:
总体客观反应率(ORR)67%。
其中完全缓解率(CR)19%;
部分缓解率(PR)48%;
疾病控制率(DCR)高达86%!
值得一提的是,在14例有反应的患者中,有23%的患者接受TILs治疗后,持续时间超过30个月!并且在数据截止时,所有完全缓解的4名患者都还活着,并且没有癌症迹象。这说明晚期患者接受TILs疗法,也有可能让肿瘤完全消失,并且疗效非常持久,长达两年半!
晚期黑色素瘤患者完全缓解(CR)时间已经达到了85个月(> 7年)。
LN-145基于自体肿瘤浸润淋巴细胞(TIL)研发的另一款针对其他实体肿瘤的疗法。
第二阶段innovaTIL-04(C-145-04)积极的试验在2019年2月4日的数据截止时,有27名可评估的患者。平均注入280亿TILs细胞;6次白细胞介素-2。
结果显示:
2019年6月,FDA基于这项惊艳的数据,授予肿瘤浸润淋巴细胞(TIL)治疗方法LN-145为突破性的治疗指定,这是用于实体瘤的细胞免疫疗法首次获此殊荣。Iovance Biotherapeutics公司与FDA进行讨论之后宣布重大喜讯:FDA支持LN-145治疗晚期宫颈癌的监管申请。LN-145疗法将在2021年递交上市申请,加快其上市的进程,一旦FDA批准,这将是首款用于实体瘤的细胞免疫疗法,将给癌症患者带来巨大的生存获益。
肺癌是发病率和死亡率最高的癌症,临床中需要更多的治疗方式。研究人员猜想非小细胞肺癌患者通过将TILs和抗PD-1疗法的组合,是否也能出现持久的完全缓解?在今年的AACR会议上,这一组合初步数据公布,非常鼓舞人心。这项试验是由美国知名癌症中心莫菲特癌症研究中心(H. Lee Moffitt )开展的,Ⅰ期临床结果公布:在12名可评估的非小细胞肺癌患者中,TIL疗法可达到25%的总缓解率,其中2名患者达到持久的完全缓解。值得振奋的是,大部分患者在接受TILs治疗后,肿瘤病灶都有所缩小,在接受治疗后的第一次CT扫描时,肿瘤病灶直径平均缩小38%!
这项试验的主要研究者Markel教授说,TIL治疗在三名患者中引起了反应,这是“杰出的”。因为在PD-1治疗后,TILs疗法仍具有令晚期转移性非小细胞肺癌达到持久缓解的能力,这是非常了不起的,期待这款疗法能加大研究,早日获批上市,为晚期患者的生命持续续航!(目前国内相关临床试验正在招募中,想了解详情的病友可以致电医学部4006667998进行初步评估)。
近日,研究人员首次公布了TIL和抗PD1疗法联合治疗骨肉瘤的安全性和有效性,结果非常积极,给骨肉瘤患者带来了新的希望。
在这项研究中,有30例患者接受了nivolumab(百时美研发的一种PD-1)治疗,而其他30例接受了TILs疗法加nivolumab治疗。
结果显示:
截止到2020年6月1日。第1组的所有患者在最后一次随访评估中死亡,而第2组的30名患者中有10名存活,客观缓解率(ORR)达到33.3%,并且10例患者中有2位患者出现完全缓解,也就是说影像学检查显示病灶完全消失。
平均无进展生存期(mPFS):3.8 VS 5.4个月;
平均总生存期(mOS):6.6 VS 15.2个月,翻了一倍多!
(A)PFS曲线(B)OS曲线
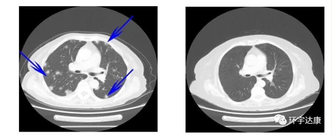
其中一位晚期骨肉瘤患者已经出现了双肺转移,TIL加抗PD1治疗后12周后双肺多个转移(蓝色箭头)完全缓解。
这些结果表明,TILs疗法联合PD-1显着提高了转移性骨肉瘤患者的治疗效果。
已经在多种实体肿瘤中获批的免疫检查点抑制剂疗法在卵巢癌(OC)中一直没有成功。因此,研究人员尝试将检查点抑制剂(ICI)联合肿瘤浸润淋巴细胞(TIL)进行治疗。
6例晚期转移性高级别浆液性OC的患者接受了ipilimumab后进行手术,接受TIL疗法,再接受低剂量IL-2和nivolumab。
结果显示,一名患者获得了部分缓解,其他五名患者经历了长达12个月的疾病稳定期。初步证实免疫检查点抑制剂与TILs疗法结合是可行和安全的。
接受LN-145+派姆单抗治疗的9例HNSCC患者的疗效:
– 完全缓解率(CR)为11.1%
– 客观缓解率(ORR)为44.4%
–疾病控制率(DCR) 为88.9%
除此之外,TILs疗法在结直肠癌,乳腺癌等恶性肿瘤中也显示出巨大潜力,请查看文末相关链接。已经发展的各项研究表明,TIL治疗将有待不断改进和发展,最终将成为人类抗癌的新武器。我们期待这款疗法能尽快上市造福更多的癌症患者。
近期,中国的研究人员宣布,已研发出一种新型的TIL疗法。
与美国传统的TILs疗法不同,新型TIL(Super TIL,STIL)是将肿瘤浸润T淋巴细胞(TIL)从患者血液中提取出来后,在体外进行改造,使得这部分TIL细胞获得攻克肿瘤微环境障碍的能力,以及在体内复制扩增的能力,这种新型的技术可以同时解决肿瘤识别、克服微环境和高效扩增的三大难题,实现强效抑癌效果。
据全球肿瘤医生网医学部了解,国内的TILs疗法是在美国的肿瘤浸润淋巴细胞(TIL)疗法基础上经过改良,并进一步给予基因修饰,提升其克服肿瘤微环境和增加自我扩增的能力,在前期的概念验证临床研究中已取得了非常积极的疗效和安全性验证,目前已获得批准正式开展人体临床试验招募患者,想申请的病友可以致电全球肿瘤医生网医学部4006667998进行评估。
招募癌症种类:肺癌, 肝癌, 食管癌, 卵巢癌, 宫颈癌,胆道肿瘤等各类实体肿瘤。
招募条件(部分):
1. | 年龄 ≥ 18 岁且 ≤ 75 岁 |
2. | 预期自然存活 3 个月以上 |
3. | ECOG评分 1 |
4. | 病理证实为研究靶向癌种, 常规治疗无效/或自愿接受细胞治疗 |
5. | 可测量癌性病灶最长径 ≥10 mm, 淋巴结病灶则短径 ≥15 mm |
6. | 外周血PD-1阳性细胞占T细胞 ≥18%; 接受PD-1单抗者 ≥12% |
7. | 接受化疗和/或全身应用肾上腺糖皮质激素后已过洗脱期 |
肿瘤浸润淋巴细胞疗法(TIL)无疑是一种令人兴奋的治疗选择,因为在临床试验中它显示出了卓越的之劳潜力,对于一些用尽所有治疗方案的极晚期患者,能够起效,甚至是完全而持久的缓解。并且这种疗法有治疗所有实体肿瘤的潜力!
随着更多治疗方案的发展,晚期肿瘤患者将迎来更多治疗选择和希望,我们期待人类攻克癌症的那一天早日到来。
参考资料:
https://www.verywellhealth.com/tumor-infiltrating-lymphocyte-therapy-5079767
本文为全球肿瘤医生网原创,未经授权禁止转载
扫描添加病友群
最新资讯|新技术|新药研发|权威专家
入群免费领取抗癌资料
扫描二维码 备注病种添加群主 | 各大药厂及临床 招募平台媒体合作 |