本文由AEIC学术交流中心原创,原创作者:大勺子,未经允许禁止转载、洗稿,如需转载请后台联系。
近日,通讯作者为西安交通大学附属第一医院肝胆外科涂康生副研究员的一篇发表在期刊Molecular Cancer上的论文遭受多处质疑。该论文图片有6处与另外5篇论文图片有不同程度的雷同。
通讯作者涂康生副研究员在PubPeer网站上的回应“我们拥有所有图片的原始数据,这是一起实验图片被盗用事故”,并且指出其中4篇图片雷同论文与三作刘志奎泄露实验数据有关。
事情的经过是怎样的?究竟是谁剽窃了谁的实验结果?
问题稿件题目及发表信息:Xu, Q., Liu, X., Liu, Z. et al. MicroRNA-1296 inhibits metastasis and epithelial-mesenchymal transition of hepatocellular carcinoma by targeting SRPK1-mediated PI3K/AKT pathway. Mol Cancer 16, 103 (2017). https://doi.org/10.1186/s12943-017-0675-y
问题稿件作者信息:Qiuran Xu, Xin Liu, Zhikui Liu, Zhenyu Zhou, Yufeng Wang, Jianfeng Tu, Lijie Li, Hangxing Bao, Liu Yang & Kangsheng Tu
通讯作者:涂康生,西安交通大学附属第一医院
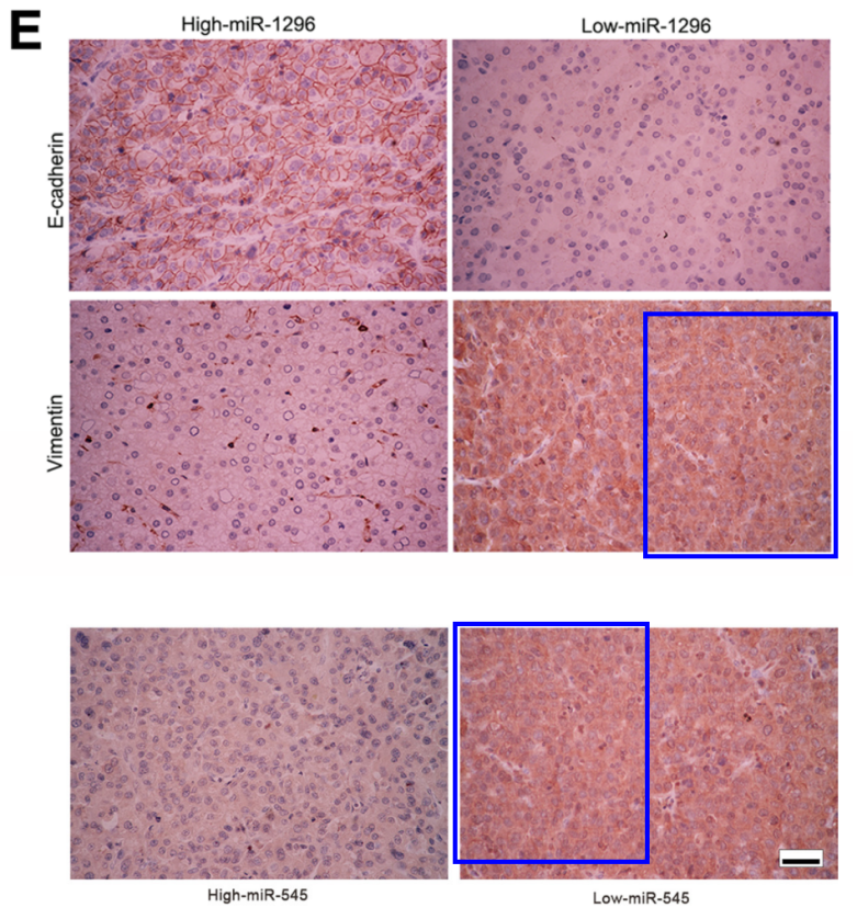
图片来源:西安交通大学医学部涂康生导师个人主页
质疑点一:左图 Fig 2D(Long non-coding RNA TPT1-AS1 promotes cell growth and metastasis in cervical cancer via acting AS a sponge for miR-324-5p" (Jiang et al 2018))与右图Fig 8B图片相同。
作者回复:
我确认Fig 2D是来源于我们的实验研究,并且拥有原始图片可以查证。我们正在调查图片被窃取的原因,并会和另一篇作者取得联系。
质疑点二: 论文Fig 3E(上图)与其他论文Fig 6G(下图)图片相同(Liu et al 2016);
作者回复:
我们有论文的原始图片。经调查,确认是共同一作刘志奎剽窃了我们的图片并用于自己的论文。作者已同意将稿件撤回:
① Ftx non coding RNA-derived miR-545 promotes cell proliferation by targeting RIG-I in hepatocellular carcinoma;
② Methylation-mediated repression of microRNA-129-2 suppresses cell aggressiveness by inhibiting high mobility group box 1 in human hepatocellular carcinoma
质疑点三:Fig 5B(左图)与其他论文(Liu et al 2016)中Fig 5D(右图)相同;
Figure 2C(左图)与其他论文(Liu et al 2016)中Fig 2C(右图)相同;
质疑点四:Fig 9C(右)与其他论文Fig 6C(左)图片相同。
在这两组图中,有部分图片重叠,两篇论文作者似乎都拥有原始大图,因为这两张图片均是从大图中截取的。
作者回复:
根据实验操作流程,每Transwell Chamber都会随机拍5张照片,因此图像很有可能出现重叠,这不会影响论文结果,我们仅选取了最具代表性的图片进行发表。经调查,共同一作Zhikui Liu违反数据保密原则,导致图片盗用,我们将向事故责任人问责。
质疑点五: Fig 8B(左)与其他论文(Liu et al 2016)中Fig 8D(右)相同。
质疑点六: Fig 9D(右)与其他论文(Liu et al 2018)Fig 7G(左)图片相同。
作者回复: 另一篇论文共同一作Zhikui Liu操纵图片,将图片用于其他两篇论文。
目前来看,通讯作者涂康生始终坚称自己手中握有原始图片。
而对于有作者刘志奎参与的3篇论文,通讯作者涂康生表示,两篇一作为刘志奎的稿件已决定撤稿,第三篇正在协商中。据了解,刘志奎与涂康生都曾师从刘青光教授,让人没想到的是,为了实验数据,竟然出现了同室操戈、两败俱伤的结果。
虽然,涂康生指责刘志奎剽窃自己的实验结果,但是仔细观察不难发现这几篇论文的作者列表涂康生自己的名字也赫然在列,刘志奎是如何瞒天过海盗用论文图片、顺利发表,我们还不得而知。
真相究竟是怎样?6篇论文牵扯出怎么样的实验室“爱恨纠葛”?具体的调查结果,还有待第三方证实和出版社回应。
近些年,经常有学生爆料,自己的实验被同门做手脚,实验进度被耽误,为防止“同门迫害”悲剧再次发生,小编提醒一定要看管好自己的实验材料、实验数据,同时各位科研人也要坚守道德底线。
附录:涉事论文信息及稿件状态
参考来源:
https://pubpeer.com/publications/076590E400EFA82DD71B618093350A#11
西安交通大学医学部涂康生:http://medgs.xjtu.edu.cn/info/1264/10763.htm
【西医学子榜样】2018年研究生国家奖学金获得者(第一期):http://www.med.xjtu.edu.cn/info/1013/9600.htm
【标兵风采】刘志奎:从平凡中蜕变的医学探索者:http://www.med.xjtu.edu.cn/info/1014/9690.htm
Xu, Q., Liu, X., Liu, Z. et al. MicroRNA-1296 inhibits metastasis and epithelial-mesenchymal transition of hepatocellular carcinoma by targeting SRPK1-mediated PI3K/AKT pathway. Mol Cancer 16, 103 (2017). https://doi.org/10.1186/s12943-017-0675-y
阅读推荐:
1、“水龟”当青椒、名校“土博”当辅导员?网友:这太不公平!
2、行业圣经?诺奖摇篮?这个发文难度堪比CNS,年发刊量不过百的超难期刊凭啥这么强?
3、“建筑老八校”险因“赝品博物馆”翻车,本身双一流却被双非拒绝合并,难怪说它是最委屈高校