最近雨下得多
小编的家具都要发霉了
不过,漳州有一位李先生
他发霉的不是家具
而是耳朵
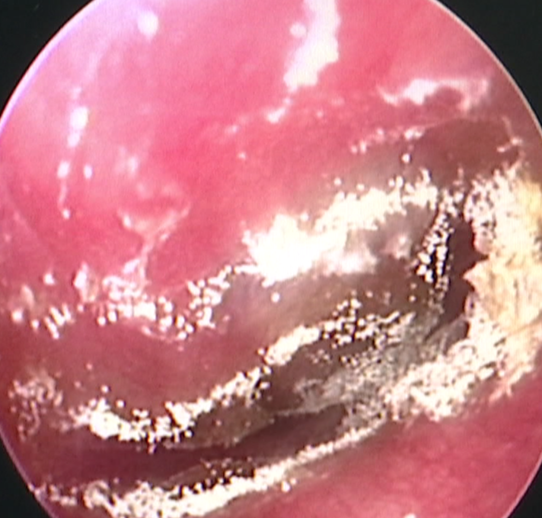
俗话说,“掏耳朵一时爽,一直掏一直爽”。市区的李先生平时也喜欢掏掏耳朵。然而,近期他觉得耳朵反复瘙痒、流脓、听力下降,听声音还闷闷的,就到医院做了耳内镜。不看不要紧,一看发现,李先生外耳道不仅水肿、有脓性分泌物,表面竟还长出了黑色的霉菌丝!
九〇九医院五官科副主任医师伍小琴医生诊断,李先生患上了真菌性外耳道炎,又称霉菌性外耳道炎。
伍医生表示,近期漳州雨水多,加上天气潮湿闷热,真菌性外耳道炎患者明显增多。而不洁物挖耳、抵抗力低下等是主要病因。
而随着气温的升高,不少人选择游泳健身。医生提醒,游泳前如发现耳朵不适,最好先到正规医院检查治疗,游泳的时候适当用耳塞,预防感染。
预防耳朵“发霉”,一是要提高自身的抵抗力;二是要改掉不良的挖耳习惯,不要到不正规的地方采耳;三是不抽烟喝酒,不吃辛辣刺激的食物。