胰腺癌(PAC)是致死率最高的恶性肿瘤之一。PAC患者的五年生存率不足10%。自诊断之日起PAC的平均生存时间为6个月。胰腺导管腺癌(PDAC)大约占PAC患者总数的95%。截至目前化疗和靶向治疗并不能显著延长PAC患者的生存期。因为化疗药和小分子抑制剂不能区分癌症细胞和正常细胞,所以化疗药和小分子抑制剂也会进入正常细胞,并对正常细胞产生毒副作用。同时进入肿瘤细胞的药物浓度就会降低。这种现象在胰腺癌的治疗中尤其严重,原因是在胰腺中血液分布不良的间质细胞大量存在。
以往的研究证实在真核细胞中,酪氨酸磷酸化是细胞内信号传导最重要分子机制之一,参与多种生命过程。酪氨酸磷酸化异常是癌症发生的原因之一。目前在获批治疗癌症的多种靶向药,小分子抑制剂,或单克隆抗体中,一些就是酪氨酸激酶受体(RTKs)的抑制剂。但是厄洛替尼(一种上皮生长因子受体(EGFR)的小分子抑制剂)是唯一一种靶向转移性PDAC的靶向药。但是厄洛替尼的效果并不理想,仅可以使转移性PDAC患者的生存期延长两个星期左右。
2021年2月24日,Clinical and Translational Medicine期刊在线发表了武汉 Xuan Cao 教授团队的最新成果 “Aptamer-SH2 superbinder-based targeted therapy for pancreatic ductal adenocarcinoma”[6] ( 点击文末 “阅读原文” 下载PDF全文 )。
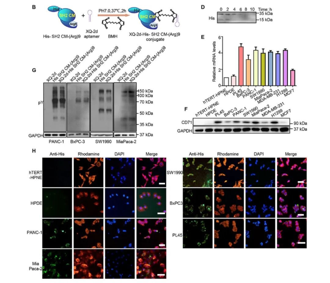
PDAC是预后最差的实体瘤之一。PDAC的五年生存率不足10%,自诊断之日起PDAC患者的平均生存期为六个月。目前人们研发了多种治疗PDAC的靶向药,希望可以延长PDAC患者的生存期。但是不幸的是开发的绝大多数靶向药物对PDAC无效,原因是胰腺间质细胞致密,以及PDAC复杂的信号通路。在本项研究中作者及其团队的研究表明适配子-SH2超结合子-(Arg)9 的共轭物对 PDAC治疗有效。在这种共轭物中,DNA适配子可以选择性地与PDAC细胞和激活的胰腺星形细胞(PSCs)特异性结合。能进入细胞的多肽 (Arg)9 可以促进细胞内融合蛋白的转运。SH2超结合子可以对肿瘤细胞中多种基于磷酸化酪氨酸(pY)的信号通路进行阻断。
作者通过生物信息学方法对PDAC相关的pY进行了再分析。使 XQ-2d 和SH2超结合子-(Arg)9 与BMH进行交联,以便形成XQ-2d-SH2 CM-(Arg)9 共轭物。用免疫荧光法评价如上共轭物进入细胞的能力。用MTT和伤口修复试验分别评价PANC-1 和 BxPC-3 细胞的增殖和迁移能力。Western blot 和 Pulldown 试验研究表明共轭物可以对多种基于pY的信号通路产生影响。荷瘤小鼠试验表明 XQ-2d-SH2 CM-(Arg)9 对癌症细胞的生长和转移有抑制作用。本文得出的结论是 XQ-2d-SH2 CM-(Arg)9 共轭物通过阻断多条pY相关的信号通路对PDAC细胞的增殖,侵袭和转移具有抑制作用。XQ-2d-His-SH2 CM-(Arg)9 可以消除PDAC中致密的基质,从而到达肿瘤组织。
总之本项研究表明在体外和体内试验中,XQ-2d-SH2 CM-(Arg)9 共轭物可以有效地实现对胰腺基质的破坏,显示出很强的抗肿瘤特性,对肿瘤细胞的增殖和转移有较强的抑制作用,同时毒副作用低。可见XQ-2d-SH2 CM-(Arg)9是 PDAC 靶向治疗的有效手段。
[1]. Bray F, Ferlay J, Soerjomataram I, et al. Global cancer statistics 2018: GLOBOCAN estimates of incidence and mortality worldwide for 36 cancers in 185 countries. CA Cancer J Clin. 2018;68(6):394-424.
[2]. Kleeff J, Korc M, Apte M, et al. Pancreatic cancer. Nat Rev Dis Primers. 2016; 2:16022.
[3]. Hidalgo M. Pancreatic cancer. N Engl J Med. 2010;362 (17):1605-1617.
[4]. Michl P, Gress TM. Current concepts and novel targets in advanced pancreatic cancer. Gut. 2013;62(2):317-326.
[5]. Olive KP, Jacobetz MA, Davidson CJ, et al. Inhibition of Hedgehog signaling enhances delivery of chemotherapy in a mouse model of pancreatic cancer. Science. 2009;324(5933):1457-1461.
[6]. Liu A-D, Zhou J, Bi X-Y, et al. Aptamer-SH2 superbinder-based targeted therapy for pancreatic ductal adenocarcinoma. Clin Transl Med. 2021;11:e337.
Clinical and Translational Medicine(CTM)是Wiley出版的英文学术期刊。根据科睿唯安2021年6月30日公布的期刊引证报告(JCR),CTM获得的2020年影响因子攀升至11.492,比2019年获得的第一个影响因子7.919高45%。在JCR的140本Medicine, Research & Experimental 期刊中位列第10,在242本Oncology期刊中位列第24,均处于Q1区。CTM刊登临床和转化医学方面的文章,旨在促进临床前研究向临床应用的转化,加强基础和临床科学家之间的交流。本期刊聚焦新生物技术、生物材料、生物工程、疾病特异性生物标记物、细胞和分子医学、组学科学、生物信息学、应用免疫学、分子成像、药物发现和开发以及监管和卫生政策。本期刊涵盖临床和转化医学的所有领域,但专注于以下几个主题:CTM竭诚欢迎临床医生、研究人员、决策者和业界人士免费阅读期刊内容并积极向期刊投稿。https://onlinelibrary.wiley.com/journal/20011326投稿链接(请用微信以外的软件打开):https://mc.manuscriptcentral.com/ctm2