本文由新智元(ID:AI_era)授权转载, 新智元编译 ,来源: waitbutwhy,作者:熊笑、刘小芹
【导读】著名科技作家 Tim Urban 在 WaitButWhy 上发表长文,详解了 Elon Musk “脑机接口”的前世今生和 Neuralink 的宏伟蓝图,包含大脑研究的深入介绍。Elon Musk 对作者表示, 超级人工智能必将实现,人类只有一个选择:成为 AI。他认为脑机融合后的 AI 系统将以和人类的本能大脑与理性大脑同样的特性存在。人脑和计算机将融合无间,人类甚至无法察觉自己在运用 AI 思考。
“第一次听说 Neuralink 之后仅仅六周,我就确定其工程之大胆、使命之壮丽,简直让特斯拉和 SpaceX 都黯然失色。那两家公司在试图定义未来人类会做什么,Neuralink 则意在定义未来人类是什么。”
这是著名科技作家 Tim Urban 在WaitButWhy 上发表的近4万字长博客中的一段话。这篇长博客可让关注 Elon Musk 和他新公司 Neuralink 的人过足了瘾。文章从水母、原始人和神经元讲起,直讲到 Elon Musk 正在做的“脑机接口”和 Neuralink 的伟大抱负。全文贯穿着搞笑而又非常说明问题的图片,文风也是 Urban 一贯的深入浅出风趣幽默。倒是 Elon Musk 在文章最后才不紧不慢地出场,表达了 Neuralink 希望应用其技术帮助老年人维持他们的认知能力。不过,Elon Musk 对 Neuralink 的愿景如此举重若轻的描述,更让人期待这篇长文都写了什么。要知道,Tim Urban 这位最受“钢铁侠”欣赏的科技作者,可是把这篇文章的写作过程说成是“我感觉就好比坐着时间机器去了一趟未来,现在我要告诉你一些根本无从想象的怪事。”
也正因为这篇文章较长,同时大家最关注的和 Elon Musk 直接相关的部分又比较靠后,所以编者在这里调换了一下文章的顺序。同时由于篇幅限制,对原文做了一些删节。
1.人类只有一个选择:成为 AI——Elon 的宏图
亚伯拉罕·林肯想出下面这句话的时候很自得:“这个民有、民治、民享的政府永世长存。”自得也有道理,确实是金句。“民有、民治、民享“这一理念就是民主的核心。不幸的是,人民不满意,所以民主也落得不讨好。但比起其他选项,民主也算得上奋斗的目标。
Elon 如此说到:“我认为对集体的保护是重要的,丘吉尔曾说:‘民主制度是除去其他所有最糟的制度之外最糟的制度。’当然,如果我们拥有柏拉图提出的那种哲学家和国王合一的统治者,那就没什么问题了。但实际情况是,今日的当权者都糟糕得很。
换句话说,民主就相当于藏在下水道里躲避怪兽。
很多情况下,铤而走险以争取最好的结果不失为好的策略,但是当赌注过高时,还是谨慎行事为妙。权利也是如此。这就是为什么,尽管民主不出意外会导致平庸,但Elon认为,“尽管美国公众对总统有这样那样的意见,基本不会有人会鼓吹集权。”Elon视 AI 为终极的权利,因而也认为AI的发展尤其需要采取谨慎的态度。他所持的,最大程度降低AI对人类威胁的策略基本就等于使AI实现民有、民治、民享的理念。
为了在AI领域推行这一理念,Elon从不同角度做出了多种努力。
在“民治”和“民享”的部分,他和Sam Altman创立了OpenAI,自述为“一家非营利性的AI研究企业,致力于研发和制定实现安全的通用人工智能的路径”。
通常情况下,当人类创造新事物时,总是由一些具有创新意识的先行者引领。尝试成功后,随着一个产业的诞生,那些企业的巨鳄会参与进来并将先行者的努力全面发展壮大。
但是,如果那些先行者制造的是一根魔杖,这根魔杖会赋予掌握它的人无上的,坚不可摧的,凌驾于所有人之上的权利,甚至阻止任何其他人再制造魔杖的权利。这就有点儿棘手了,对吗?
Elon眼中今日AI发展的方向就是上面这种情形。既然无法阻止人类创造魔杖,他的解决方案就是创造一个开放、合作、透明的魔杖研发实验室。每当这个实验室中产生了新的研究突破,不同于其他会将此视为秘密严守的公司,他们会将这一突破公布给所有人去了解,或借鉴用于各自的研发。
一方面来讲,这么做也是有明显的缺点。邪恶势力也在努力制造魔杖,谁也不想第一根魔杖是从他们手中诞生。如今,坏人们的研究也能从这一实验室的创新成就中获益。着实令人担忧。
但是这一实验室也促进了成千上万其他人的研究,并对早期的小部分先驱者形成了巨大的竞争。一些人大幅先于其他人制造出魔杖已无可能。比较可能出现的情况是,当第一根真正意义上的魔杖最终被制造出来时,已经有成千上万类似的成品同时存在,即具备不同能力,被不同的人所创造,多种用途的其他魔杖。
如果地球上要诞生魔杖,Elon认为,至少让它掌握在全球的大部分人而非一位握有极权的魔法师手中。他自己这样表述:如果每个人都来自氪星球,那没什么问题了。但是如果只有一个超人,而这个超人还希特勒附体,麻烦就大了。更糟的情况是,某一位先行者的魔杖很可能是基于他满足自身的需求创造的。如若将未来的魔杖产业发展为集体智慧的结果,多种多样的需求和目的都应该有对应的魔杖去满足。应该使得全世界魔杖的能力都是首先反映了大众的需求。
你懂的,就跟民主类似。
尼科拉·特斯拉、亨利·福特,莱特兄弟和阿伦·图灵都一马当先引领了产业革命,这都没问题。但是当被创造的东西将拥有无法想象的极权时,我们不能袖手旁观,风险将难以掌控。
OpenAI就是为实现AI创造民主化所做的努力,目的是使得所有的产业巨头在AI的发展初期都致力于对民主化的研究。Elon总结道:AI必将大幅超越人类的能力。为了让它的存在与人类,尤其是绝大多数人类共同的意愿相连接,它应该是基于大多数人意愿产生的结果,因为它将服务于这些人的意愿。至此,我们就实现了人类同等水平或高于人类AI的民治和民享,降低了AI落入单一邪恶势力或垄断势力之手的风险。
剩下的就是“民有”部分。
这部分解决起来应该比较容易。别忘了那些产业巨头正在基于他们制造汽车、大型机械和计算机的同一个目的——创造超级智能AI,即拓展他们的疆域,并将其中将产生的工作外包。汽车是代步工具,大型机械是制造工具,而计算机解决了信息存储、管理及计算的问题。具有思考能力的计算机将是伟大的创造,它能使得人类将最重要及最高强度的工作实现外包。人类的一切都构建与思考之上,想象一下制造一个人类思考能力延伸的超级智能所将带来的巨大能量吧。而人类的延伸从定义上讲也属于人类,即“民有”。
只有一个问题:具有超级能力的AI不同于其他发明。其他的技术都擅长于它们自身的制造用途,但总的来说,它们仅仅是些具有非常有限智能的无意识的机器。但我们现在试图制造的AI将像人类一样聪明,且超级聪明。同样的规则怎么还可能适用?
人类自己创造的技术当然是属于人类的,这一观点如此显而易见,说出来都显得有点儿傻。但是如果我们创造了比我们自己还聪明的事物,它还能那么容易被控制吗?
有没有这种可能,一个被创造出来的事物,其智能高于任何人类,将不满足于仅作为人类的附庸而存在,即便它被制造的目的如此?
我们无法预知实现的场景,但保险的做法是现在承认,是的,这些可能性是存在的。一旦担心变为现实,我们的麻烦就大了。
人类发展的历史表明,地球上一旦出现智能远高于其他物种的物种,它必将对其他所有物种构成威胁。如果AI变成了这样一个最高智能物种,而它又不属于人类,它具有自我意识,那我们人类就被归入“其他所有物种”的类别了。
因而垄断AI就是问题所在,OpenAI就致力于解决这一问题。但与之相比,更严峻的问题在于防范AI失控。
Elon为此辗转反侧。在他看来,超级智能AI的崛起只是时间问题,在那一天到来之前,人类务必要避免自己不落入“其他所有物种”的境地。在AI与其他所有物种共存的未来,在他看来,人类只有一个选择,就是:成为AI。
Elon将人类大脑数字三生细胞壁(tertiary layer)比喻为巫师帽。概念是指全脑界面将变为如同将设备植入大脑,使大脑变为设备。
2.AI 系统将和大脑融合无间
你的设备赋予你半机器人的超级能力,并作为通往数字世界的窗口。巫师帽的电极阵列是一种新的大脑结构,与大脑边缘系统及大脑皮质并列。(对于大脑边缘系统、大脑皮质等基本结构的介绍,请见后文——编者)
但大脑边缘系统、大脑皮层质及巫师帽仅仅是硬件系统。当边缘系统在工作时,与你交互的并不是该物理系统,而是其间的信息流。这是一种物理系统内部的活动反映在意识中,使你感受到愤怒、恐惧、饥渴或饥饿。
大脑皮质是同样道理。包裹着你大脑的物质存储并管理信息,但是当你思考、观察、聆听或感受的时候,你体验到的是信息本身。视觉皮层本身对你来说没有任何作用,是其间的光子信息流给你带来一个视觉皮质的体验。当你挖掘你的记忆时,你不是在寻找神经元,而是在搜索存储在神经元的信息。
大脑边缘系统和皮质只是大脑灰质。是灰质间的活动流形成了你熟悉的内在特性,动物本能的大脑和人类理性的大脑。那么这对数字三生细胞壁又意味着什么呢?这意味着尽管大脑中存在的是物理设备,但是电极阵列本身,即你将体验及了解的三生细胞壁的组成部分,正是阵列间流动的信息。
正如边缘系统产生的感受及欲望以及大脑皮质产生的思想和低语在你感受来都如同你的一部分,你的内在,在巫师帽中发生的一切活动也将带来同样的感受。
Elon对于 Wizard Era 的展望只是巫师帽应用之一,其中一个核心的目的为将其作为大脑及基于云端的定制AI系统之间的交互界面。他相信这一AI系统将以和你的动物本能大脑和人类理性大脑同样的特性存在。
他这样讲:可以想象,是可能有种方式使得三生细胞壁令人感受到它是人的一部分。它不是卸载的对象,它就是你。
写下来看着挺有道理。你用大脑皮质完成大多数思考,但是当你饿了,你不会说“我的边缘系统饿了”,而是“我饿了”。同理,Elon认为,当你解决问题时,AI给出解决方案,你不会说:“我的AI想到了!”,而会说:“我想到了!”当你的边缘系统想偷懒,而你的大脑皮质想工作时(我经常有此经历),你感觉并不是在跟某些外部力量斗争,而是你自己想严格要求自己。同理,当你采取了某些策略,而你的AI反对时,真实的意见相左和争论就会发生了,但这感受起来也是一种自我的内心斗争,而不是在与你思考中产生的另一方在争论。这种争论感觉上和思考一样。
总之写下来看着确实挺有道理的。
但我最初听到Elon谈论这一概念时,总觉得不大对。不论怎么努力尝试理解,我总是忍不住用我比较熟悉的概念去套用,例如这就类似我脑中可以听到它说话,或者甚至可以一起思考的一个AI系统。在这些场景中,这个AI看上去还是一个与我交流的外部系统,并不像我。
之后有一天晚上,当我在重读Elon之前的一些论述时,我顿悟了。AI可以成为我,完完全全地。我明白了。
但之后我又搞不明白了。第二天当我试图向另外一个朋友解释我的顿悟时,我把我俩都搞晕了。我又回到持有“等等,这个AI不可能真的成为我,它还将是在和我交流“这种想法的境地。自那之后,我的想法反反复复,无一善终。这种状态就类似有那么一个瞬间,时间变成相对的,时空只是单一一层。似乎有那么一瞬有种直觉,时间变慢而你变得很快。然后我又迷失了。我在写下上述几句的时候,直觉又不存在了。
成为AI最难的一点在于它结合了两个无意识的概念:大脑界面和大脑界面可以赋予你的能力与通用人工智能。今天的人类还不具备理解其中任一项的知识。无论我们自认为想象力多丰富,我们的想象力仅仅是基于我们的生存经验,而上述概念对我们来说是全新的。这就如同尝试去想象一种从没见过的颜色。
这就是为什么当Elon谈论他的信念时,我在信服和盲从之间徘徊。不过考虑到他在七岁时就已经理解时空观,且懂得如何殖民火星,我倾向于多听听他怎么说。
3.带宽是脑机融合的关键
他谈到的是这一切都跟带宽有关。很显然,如果想让巫师帽能发挥作用,带宽意义重大。但Elon认为,如果要成为AI而不是使用AI,与AI连接时,带宽不是可供选择的,而是必备的。
他是这样考虑的:通信带宽速度非常慢,尤其在输出时,这是挑战所在。当你使用手机输出信息时,你两根拇指移动的速度非常之慢。如果带宽过低,与AI的互动程度就会非常之弱。基于低带宽的限制,这种互动基本是无意义的。AI基本就会我行我素,因为速度太慢没有沟通可言。沟通速度越快,融合程度越高,沟通速度越慢,融合程度越低。我们与AI分离程度越高,AI越偏离我们,最终倒戈相击的可能性就越大。如果AI与我们越来越疏离,智能水平又远高于我们,如何能确保他们不生成与人类利益背道而驰的优化机制?但是如果我们能实现一种紧密的共生关系,AI 就不是“非我”,而是我们自己的一部分,并将与我们形成类似皮质与大脑皮质和边缘系统之间关系近似的关系。
Elon 视通信带宽为决定人机融合程度的关键因素,同时将人机融合程度视为我们未来在AI世界中生存的关键因素:我们或者被远远抛在身后,全无用处,被当做宠物(如家猫)对待;或者最终找到某种与AI共生及融合的方式。之后他补充道:能被当做家猫还是算是不错的结局呢。
在完全无法想象未来充斥着 AI 的世界是什么样子的前提下,在超级智能时代到来之前,通过人机融合实现对人类物种的保护听起来挺靠谱。AI 时代人类可能会受到的威胁将来自于利用 AI 作恶的人类以及与人类利益相悖的AI。当绝大多数人类都能控制一部分AI,与AI共同思考,利用AI自我防御,或通过与AI融合,进而基本上能完全理解AI的想法,人类就处于不那么危险的境地了。
人类会变得从未有过的强大,也是很恐怖的一件事,但是如 Elon 所讲,如果人人都是超人,单个人就很难造成大面积伤害,会有很多限制和平衡加以制约。人类也因此不太可能对AI整体完全失控,因为AI将以多种目的广泛存在。
但时间是关键,Elon强调,向这一方向努力的进度至关重要。数字超级智能的发展程度不应该超过脑机融合界面实现程度太多。
我在考虑上述问题时,顾虑在于人类的全脑界面是否足以支撑这种人机融合的实现。我向Elon提出了这一顾虑,并指出人脑思考的速度和计算机的处理速度之间仍然存在着巨大的差距。
他答道:是的,但是根据数量级顺序增加带宽会改善这一情况。方向也是正确的。能解决所有问题吗?不能。但是方向对吗?是对的。如果一定要向一个方向走,为什么不选择这一个?
这就是Elon设立Neuralink的初衷。
4.Neuralink 团队:从1000人中筛选的9人
在写作过程中,我有机会采访到 Neuralink 创始团队一半的成员,下面给大家介绍一下 Neuralink 的创始团队。
Paul Merolla,过去七年里担任 IBM 首席芯片设计师,负责 SyNAPSE 项目,领头开发了 TrueNorth 芯片。Paul 说他专注的领域被称为神经形态学(neuromorphic),其目标是根据大脑结构的原理设计晶体管电路
Vanessa Tolosa,Neuralink 的微织造(microfabrication)专家,也是生物相容性材料(biocompatible materials)领域最重要的研究者之一。Vanessa 的工作设计根据集成电路的原理设计生物相容性材料。
Max Hodak,在杜克大学 Miguel Nicolelis 的实验室开发开创性的 BMI 技术,同时每周两次在大学和 Transcriptic 公司之间往返,Transcriptic 是他创立的“生命科学机器人云实验室”。
DJ Seo,二十多岁时在 UC Berkeley 设计了一种尖端的新型 BMI 概念,叫做“神经尘埃”(neural dust),是一种微型超声波传感器,为记录大脑的活动提供了新的方法。
Ben Rapoport,Neuralink 的外科专家,也是一名顶级的神经外科医生。他从麻省理工学院获得电气工程博士学位。
Tim Hanson,他曾是“地球上最好的全能工程师之一”,他自学了材料科学和微织造方法,开发了 Neuralink 将会使用的一些核心技术。
Flip Sabes,是 USCF 实验室的主管研究员,他结合“皮质生理学(cortical physiology),计算与理论建模,以及人类心理物理学和生理学”,开创了 BMI 的新领域。
Tim Gardner,它此前是 BU 的主管研究员,他的实验室对鸟类植入 BMI 进行研究,以了解“基本神经单元如何组合创造复杂的歌曲”,以及“不同时间尺度神经活动模式之间的联系”。
然后就是 Elon Musk,他既是 Neuralink 的CEO,也是团队的一员。在谈到神经科学时,马斯克显然是团队中专业知识最少的一员。但他也创立了 SpaceX,他同样也没有多少航天知识,但是通过阅读和咨询专家团队迅速成为一名受到认可的航天科学专家。在 Neuralink,这很可能再次发生,因为,他说:“没有深刻的技术理解,我认为很难做出正确的决策”。
我问马斯克,它是如何找到这个团队的。他说,他起码见了超过1000人,最后形成了这样一支团队。最大的挑战是公司需求的完全独立的专业领域太多,例如神经科学,脑外科,微电子技术,临床试验等等。他想找到跨专业的专家。你可以看到,这支团队里每个人都将自己独特的交叉领域带到一起,组成一个共同的大的专业领域(mega-expert)。这不是一个简单的组合。
5.我想给大脑造顶巫师帽
上个月,我接了个电话。
好吧,可能不是这么回事,他没那么说。但听了 Elon Musk 正在搞的新公司后,我知道他要干的就是这个。
我之前写特斯拉和SpaceX 的时候明白了一件事:要想了解某些公司,你得像缩放图片那样,放大又缩小地反复看。缩小,看看那些工程师们面对的技术难题;放大,审视我们种族面临的生存挑战;再放大,看看这个世界的模样;又缩小,鸟瞰我们从哪里来向哪里去。
Elon 的新公司也是如此,第一次听说Neuralink六周后,我就确定其工程之大胆、使命之壮丽,简直让特斯拉和 SpaceX 都黯然失色。那两家公司在试图定义未来人类会做什么,Neuralink 则意在定义未来人类是什么。
Neuralink 令人脑洞大开的宏大使命,加上人类大脑迷宫般的错综复杂,让我心中装满了一堆最难的概念和疑惑。但,像我刚才说的那样,经过一番放大缩小之后,忽然间一切都豁然开朗。我感觉就好比坐着时间机器去了一趟未来,现在我要告诉你一些根本无从想象的怪事。
不过,在我带你也坐上这趟时间机器之前,我们又要搞一下那个放大缩小的把戏。因为亲身经历告诉我,不搞清楚往哪儿看,就别想理解 Elon 的巫师帽计划。
所以,忘了你自己那些关于大脑和大脑未来的知识吧。穿舒服点儿,咱们上路了。
6.人类巨人
6亿年前,什么都做不了。
问题在于大家都没有神经。没有神经,你就不能动,也处理不了任何信息。你就那么默默存在着,直到死去。
但,这时,水母出现了。
水母是第一种活明白了的动物。它们发现必须要有神经。水母拥有了世界上第一套神经系统——神经网络。
水母的神经网络使它可以从周围世界里收集重要信息——比如哪里有掠食者和食物——然后把这一信息像打电话一样传到身体的各个部位。能够接收和处理信息意味着水母可以应对环境的变化来提高生存几率,而不仅仅是漫无目的漂着,祈求好运。
过了一段时间,一种新的动物出现了,还带来了一个更酷的想法。
扁虫想明白一件事:如果有一个boss在神经系统中掌管一切,能做的事情就更多。神经系统的boss住在扁虫的头部,制订了一个规则:身体内的所有神经得到的任何新信息,都要直接向他汇报。因此,扁虫的神经系统都围绕在boss和其他人之间的中央高速公路周围,而非各自为战。在这条路上,神经信使来回传递着消息。
扁形虫的boss和公路是世界上第一个中枢神经系统,在扁虫头部里的boss是世界上第一个大脑。
神经系统boss这一思路很快流行起来,地球上出现了成千上万带有大脑的物种。
随着时间的推移,地球上的动物发明了新的复杂的身体系统,boss们也越来越忙。
又过了一段时间,哺乳动物来了。对于动物王国的新一代来说,生活很复杂。是的,他们的心需要跳动,他们的肺部需要呼吸,但哺乳动物在很多方面超越了生存本身,他们拥有爱情、愤怒和恐惧这些复杂的感情。
爬行动物和其他更简单的动物有个爬行动物脑就够了,但哺乳动物的要求很多。因此,哺乳动物开发了第二个boss,来和爬行动物大脑配对,并满足所有这些新的需求,世界上第一个大脑边缘系统诞生了。
在未来100万年间,哺乳动物的生活变得越来越复杂,有一天,两位boss注意到,他们的座舱里来了个新居民。
这个看上去似乎是随机出现的婴儿实际上是大脑皮层的早期版本,虽然他一开始不起眼,却造就了灵长类动物,然后是巨猿,然后就是早期的原始人类。这个新boss从婴儿成长为一个孩子,并最终成长为对事情该如何进行有自己独立想法的少年。
新boss的想法被证明是有用的,他让原始人学会了工具制造、狩猎策略以及与其他原始人类的合作。
接下来的几百万年,新boss渐渐更成熟更智慧,他的想法越来越好。他想出了如何不再赤身裸体。他想出了如何控制火。他学会了如何使矛。
但他最酷的把戏是思考。他把每个人的头脑变成了这个人自己的小世界,使人类成为能够有复杂想法、推理决策并作出长期计划的第一种动物。
然后,也许大约10万年前,他取得了一个突破。
人类的大脑已经发展到可以理解,即使声音“rock”不是岩石本身,它还是可以被用来作为岩石的一个符号。它是一个指向岩石的声音。早期的人类于是发明了语言。
不久,万事万物都有了词语表示。公元前50000年,人类相互之间已经开始用复杂的语言进行充分的对话。
新皮层已将人类变成魔术师。他不仅使人的头脑成为一个充满复杂思想的奇妙的内部海洋,其最新突破也已经找到了一种将这些想法转化成象征性声音的方法,并将它们通过空气振动传送到其他人类的头脑中,这些人就可以解码声音并将想法吸收到自己的内部思想海洋中。人类的大脑皮层考虑事情考虑了很久,现在他终于有人可以谈论这些事情了。
随后新皮质也发生变化了。新皮质共享彼此的一切——从过去的故事,到他们想到的有趣的笑话,再到他们形成的意见以及未来的计划等等。
但最有用的是分享他们学到的东西。如果一个人通过尝试和错误了解到,某种类型的浆果导致他过去48小时腹泻不止,他就可以使用语言与其他人分享这一来之不易的教训。就像把教材复印分享给每个人一样。部落成员使用语言将该教训传递给他们的孩子,他们的孩子再把它传给自己的孩子。一个人“远离那种浆果”的智慧,可以穿越时间和空间,让许多不同的人避免犯下同样的错误,不再有类似糟糕的体验。
当一个人想出了一个好点子,同样的事情也会发生。一个非常聪明的猎人特别观察了星座和每年野生牛羊迁移模式的联系,他就可以分享他设计的使用夜空来确定牛羊还剩多少天回来的方法。尽管能够自己想出这个方法的猎人屈指可数,但现在部落所有未来的猎人都将受益于一个祖先的独创性,因为一个猎人的顶尖发现是每个未来的猎人的知识起点。
知识的进步使得狩猎季节更有效率,也使得部落成员有更多的时间改良他们的武器——几个世代以后,一个超级聪明的猎人发现一种可以更精确地抛出更轻、更密集的矛的方法。就像这样,部落内每一个现在和未来的猎人都会用更有效的矛来追捕。
语言为最聪明的人达成顿悟提供了可能,并把知识积累到一个由部落知识构成的塔中。每一个知识的诞生都伴随着一位祖先的醍醐灌顶。新一代都将这个知识塔安装在他们的头脑中,作为他们生活的起点,大脑带领他们基于祖先的经验,做出新的更好的发现,部落的知识由此不断扩大。语言是下面二者的分水岭:
轨迹的提升主要有两个原因。每一代人,都可以利用谈话、比较记录的方法,再结合他们的个人学习经历(这就是为什么蓝色的柱形在第二个图表中高得多),来学习更多的新东西。而且每一代人都能够将更高的学习成果传递给下一代,所以知识会随着时间的推移越来越好。
知识的共享就像一个盛大的、集体的,代际间的合作。数百年后,避开某种浆果的建议已经变成种植成排的浆果、并每年收获一次的复杂系统。关于牛羊迁徙的天才发现已经变成了一种牲畜驯化制度。长矛,通过数百年数百次的调整,变成了弓箭。
语言为人类群体带来远远超过个人智力的集体智慧,并允许每个人从集体智慧中受益,就像他自己想出来的一样。我们知道弓箭是一种原始技术,但在其发明之前,就是把爱因斯坦强拉到森林里,让他想出最好的狩猎装置,他也不可能那么聪明,发明出弓箭来。只有集体的努力才能让弓箭诞生。
能够彼此交流也允许人类形成复杂的社会结构,随着农业和动物驯化等先进技术的发展,部落人群随着时间的推移开始定居在某些地点,形成有组织的超级部落。当发生这种情况的时候,每个部落积累的知识塔可以和更大的超级部落共享,形成一个超级塔。合作提高了每个人的生活质量。公元前10000年,第一批城市形成了。
根据维基百科上所说,有一种名为Metcalfe 定律的东西,其中指出,“电信网络的价值与系统的连接用户数量的平方成正比。”旁边还附着这个旧电话构成的小图。
人群间的沟通也同理。两个人可以有一个对话。三个人有四个不同的对话组(三个不同的双人对话,加上三人之间的对话)。五人有 26 个对话。二十人有1,048,554个对话。
所以不仅一个城市的成员受益于作为基础的巨大知识塔,而且Metcalfe’slaw 意味着谈话可能性的数量急剧上升,出现前所未有的多样性。更多的对话意味着更多的想法相互撞击,会导致更多的发现和顿悟,使得创新的步伐飙升。
人类很快就掌握了农业,这解放了许多人,让他们可以有各种各样的其他想法。不久之后,他们取得了一个新的巨大突破:书写。
历史学家认为人类最初大约在5 - 6,000年前开始写下文字。在那以前,集体知识塔只存储在人们的记忆网络中,只能通过口头传播进行访问。在小部落中,这个系统效果不错,但是在一大群人分享的知识体积大得多的时候,记忆本身就很难支持这一切,而且大部分都会失败。
如果语言让人们将思想从一个大脑传递到另一个大脑,写作就可以把理念维系在一个物理对象上,比如一块石头上。当人们开始用薄薄的羊皮纸写作时,需要几周时间通过口头传播的大量知识可以被压缩成一本书或你可以握在手中的卷轴。人类集体知识塔现在就整齐地码放在城市图书馆和大学的书架上。
这些书成了人类在一切事物上的宏伟指导。他们引导向新的发明和发现,而这些反过来又成为书架上的新书。该指导教会我们贸易和货币的复杂性,还有造船、建筑,医药和天文学。每一代人开始用于生活的知识和技术都比上一代更高,进步不断加快。
但精心手写的书都像珍宝一样被看待(在15世纪中期,当时全欧洲只有30000书)。这时另一个突破来了:印刷机。
15世纪,大胡子Johannes Gutenberg 想出了一个方法来创建同一本书的多个相同的副本,比以往任何时候都更快更便宜。(或者,更准确地说,Gutenberg 诞生时,人类已经了解了发明印刷机的前 95 %,而Gutenberg 以以前的知识为出发点,发明了最后的5%)。
总之,不管Gutenberg 的印刷机怎样简陋,这仍是人类传播信息的能力的巨大飞跃。在未来的几个世纪,印刷技术迅速提高,机器从Gutenberg 一个小时可以打印的约25页,到19 世纪初已上涨100倍,变为2,400张。
大规模生产书籍成为可能,这一信息不胫而走,成本降低,不再是精英的特权,百万大众现在可以进入书籍的世界,识字率继续提高。一个人的想法,现在可以到达数百万人。大众传播的时代已经开始。
书籍的雪崩使知识超越国界,全球各区域的知识塔终于合并、扩展,成为一个各种知识全面汇聚的知识塔。
我们作为整体沟通得越好,我们的物种就越能够发挥作用,就像一个单一的有机体。集体知识塔是它的大脑,每个人的大脑就像一个神经或它身上的肌肉纤维。随着我们时代大众传播的兴盛,人类的集体形态——人类巨人,出现了。
随着集体知识塔的发展,人类巨人开始发现和发明个体人类无法想象的东西。
它把我们的牛车马车变成了闪亮的汽车,把灯笼变成电灯泡。它使我们飞过天空,进入太空。它给我们带来了广播电视,开放了一个世界,将某人头脑中的一个思想瞬间投射到十亿人的大脑中,重新定义了“大众传播”的意义。
如果个人存在的核心动机是通过其基因,保持物种的延续。宏观经济学则指明,人类巨人的核心动机是创造价值,这意味着它倾向于发明更新更好的技术。
而在20世纪中叶,人类巨人开始研究其最雄心勃勃的发明。
巨人早就知道,创造价值的最好办法是创造价值、创造机器。机器在做多种工作时都比人类更好,这产生了大量可以用于创造价值的新资源。也许更重要的是,机器劳动释放了人类大部分的时间和精力——即巨人本身的巨大部分——可以专注于创新。它已经将我们手臂的工作交给机器去做,将我们双腿的工作交给机器去做,现在它是否会以某种方式将大脑本身的工作也交给机器去做?
20世纪40年代,第一台数字计算机出现了。
脑力劳动计算机可以做的是信息存储的工作——他们是记忆机器。但是,我们已经知道如何使用书籍来储存我们的回忆,就像我们已经将我们的腿部劳动外包给马,而后汽车提供了更好的解决方案。计算机只是一个记忆的外包升级。
信息处理则不同,这是一种我们从未想过如何外包的脑力劳动。人类巨人一直不得不自己去做这样的事。但计算机的出现改变了这一情况。
工厂里的机器代替我们进行了一个物理过程——我们把材料放入,机器进行物理处理并给出成品。计算机可以做同样的事情,它进行信息处理。软件程序就像一个用于信息处理的机器。
这些新的信息存储/组织/处理机器被证明是有用的。计算机在公司和政府的日常运营中开始发挥核心作用。到八十年代后期,个人拥有自己的计算机变得很常见。
然后,又出现了一次飞跃。
90年代初,我们教会了数百万个孤立的机器如何相互沟通。他们组建了一个全球计算机网络,一个新的巨人诞生了——计算机巨人。
计算机巨人和它形成的伟大网络就像人类巨人的大力水手版。
如果个人的大脑是人类巨人的神经和肌肉纤维,互联网给了巨人第一个合法的神经系统。它的每个节点现在都与所有其他节点互连,信息可以以光速行进通过系统。这使人类巨人成为一个更快、更流畅的思想者。
互联网为数十亿人类提供了即时、自由、易于搜索和访问的整个人类的知识塔(现在已经有月亮那么高了)。这使人类巨人成为一个更聪明、更快的学习者。
如果个人计算机是个人、公司或政府的大脑延伸,计算机巨人就是整个人类巨人大脑的延伸。
人类巨人凭借其第一个真正的神经系统,一个升级的大脑和一个强大的新工具,达到了一个全新的水平。巨人注意到新的计算机朋友有多么有用,于是它将大部分工作集中在推进计算机技术上。
它弄清楚了如何使计算机更快更便宜。它使互联网更快,变成无线的。它使计算芯片越来越小,直到每个人的口袋里都有一台强大的计算机。
每个创新就像是大力水手的又一罐菠菜。
但今天,人类巨人想要的比菠菜更多。计算机改变了游戏规则,它使人类把与大脑有关的许多任务外包出去成为可能。但有一种任务,计算机还是无法胜任——思维。
计算机可以计算、组织和运行复杂的软件,甚至可以自己学习。但他们不能以人类的方式思考。人类巨人知道,它所建立的一切都源于其创造性和独立性的能力,它知道最终的大脑扩展工具将是一个真正可以思考的工具。无法想象当计算机巨人可以自己思考的时候——当它有一天打开眼睛,成为一个真正的巨人——会发生什么,但既然核心目标是创造价值和推动技术到极限,人类巨人决心找到答案。
这个话题我们一会儿会接着聊。首先,有些东西要学。
正如我们之前讨论的,知识就像一棵树。如果你尝试学习的分支或主题的叶子在你的脑袋里没有坚实的理解之树干,学习就无法进行。
我们已经知道,Elon Musk 希望为大脑造一顶巫师帽,理解他为什么要做这件事,关键是理解Neuralink,并理解我们的未来是什么。
但除非我们理解了巫师帽到底是什么,涵盖哪些概念,戴上以后会怎样,以及如何造出这样一顶帽子——否则没有太大的意义。
讨论的基础是理解什么是脑机接口,它们是如何工作的,该技术目前发展如何。
最后,BMI本身只是一个没有树干的大分支。为了真正了解 BMI 以及它们是如何工作的,我们需要了解大脑。理解大脑如何工作,这是我们的树干。
所以我们将从大脑开始讨论,这将使我们更多地了解BMI,这将教会我们造一顶巫师帽需要什么,为未来的疯狂讨论做好准备。会让我们的视线投向正确的地方,这有助于理解为什么 Elon 认为一个巫师帽对我们未来很关键。当我们再讨论到这儿时,整个事情应该就豁然开朗了。
7.大脑:可能是关于大脑工作原理最详细的图解
这个帖子很好地提醒了我,为什么我愿意跟如此美丽可爱的大脑一起工作。
因为真正的大脑非常不可爱,长得也难看。
但是,过去一个月,我一直生活在充斥着红色血管的 Google 图像的地狱里,所以现在你也得忍着点儿。
我们从外往里看吧。生物学有时似乎非常让人满意,比如你的头上有一个真正的俄罗斯套娃。
你有头发,然后是头皮,你认为下面就是你的头骨了——但实际上头骨之上还有19样东西。
你的头骨下面,又是一大堆东西,之后才是你的大脑:
在你的头骨下面,大脑周围有三个膜,将大脑环绕:
在外面,有硬脑膜,坚固耐用,防水。硬脑膜与颅骨齐平。我听到有人说,大脑中没有疼痛感觉区,但硬脑膜实际上能感觉疼痛,且和你的面部肌肤一样敏感,硬膜上的压力或挫伤往往造成了人们严重的头痛。
然后下面是蛛网膜,这是一层皮肤,然后是带有弹性的纤维的开放空间。我一直以为我的大脑只是漫无目的地漂在我大脑中的某种液体里,但实际上,脑外和颅骨内壁之间的唯一真正的空间差距是这个蛛网膜。这些纤维稳定了大脑的位置,因此不能动作太大,他们充当减震器,当你的头撞到东西。这个区域充满了脊髓液。
最后,是软脑膜,和脑外融合的很精巧的皮肤层。你知道,当你看到一个大脑,它总是覆盖着恶心的血管。但这些并不是真正在大脑的表面上,它们埋设在里面。
下面是完整的样子,使用的样品可能是猪的大脑:
从左到右是皮肤(粉红色),然后是两个头皮层,然后是头骨,然后是硬脑膜,蛛网膜,最右边是只由软脑膜覆盖的大脑。
一旦我们把其他部分都剥离下来,我们留下了这个傻孩子:
这个荒谬的东西是宇宙中最复杂的已知物体,重约三磅,神经工程师蒂姆·汉森(Tim Hanson)称之为“最具信息密度、结构化、自组织化的物质之一”。所有这一切只有20瓦的功率(类似计算机的功率为2400万瓦特)。
这也是麻省理工学院教授Polina Anikeeva 所说的“你可以用勺子舀出的软布丁”。大脑外科医生Ben Rapoport将它更科学地描述为“布丁和果冻之间的某种形态”。他解释说,如果你将大脑放在桌子上,重力会使它失去形状,变得很平坦,像一个水母。
但这就是我们。你看着镜子,看看你的身体和你的脸,你认为这是你——但这只是你的机器。你实际上是一个贪玩的果冻。我希望你不介意。
Krishna Shenoy 教授将我们对大脑的认识与十五世纪初的世界地图做比较。
另一位教授Jeff Lichtman 甚至更加苛刻。他在课程开始问他的学生:“如果你需要知道的关于大脑的一切是一英里,我们走了几英里?”他说,学生们给出了四分之三英里、二分之一英里或是四分之一英里的答案,但他认为真正的答案是“大约三英寸”。
第三个教授,神经科学家Moran Cerf ,跟我分享了一个神经科学中由来已久的说法,指出试图理解大脑有点 22 条军规的感觉:“如果人类的大脑这么简单,能够让我们理解,那我们将会因为如此简单,而不能理解大脑。”
也许,在我们正在建设的伟大的知识塔的帮助下,我们可以在某个时候理解大脑。现在,让我们看看我们对头脑里面的这只水母目前有哪些了解。
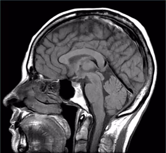
大脑,缩小看看
让我们使用半球横截面看看大脑的主要部分。因此,这是你脑袋里大脑的样子:
现在,让我们把大脑取出来,并删除左半球,这让我们能看清楚内部。
神经学家 Paul MacLean 做了一个简单的示意图,说明我们前面谈到的爬行动物大脑在进化中的第一次出现,然后是在哺乳动物兴盛阶段形成的古生哺乳动物脑和新哺乳动物脑。
也可以这么表示
让我们来看看每个部分:
脑干及小脑(The Brain Stem and Cerebellum)
这是我们的大脑最古老的部分:
我们的大脑横截面中青蛙大脑的残留。事实上,青蛙的整个大脑与我们大脑的低水平部分相似。
当你了解这些部分的功能,它们很古老这件事就说得通了:一切这些部分能做的事情,青蛙和蜥蜴都可以做。以下是主要部分:
延髓(The medulla oblongata)
延髓真的只是让你不会死。它控制非自主的事情,比如你的心脏速率、呼吸和血压。当它认为你中毒了,就会让你呕吐。
脑桥(The pons)
脑桥的工作是,做点这个,做点那个。它涉及吞咽,膀胱控制,面部表情,咀嚼,唾液,眼泪等等。
中脑(The midbrain)
中脑与视觉,听觉,动作控制,警觉性,体温控制有关,还有一堆其他的事情。大脑被分为了前脑、中脑和后脑。
有一件我要感谢脑桥和中脑的事是,它控制你的眼球自主运动,如果现在你在转眼球,就是你的脑桥和中脑在搞事情。
小脑(The cerebellum)
这个看起来像你大脑阴囊的东西是你的小脑,它使人保持平衡、协调和正常移动。
边缘系统(The limbic System)
大脑的边缘系统在脑干上,就是它让人类如此疯狂。
边缘系统是一种生存系统。如果你在做你的狗也会做的事情,比如吃,喝,交配,战斗,躲避等等,可能就是你的大脑边缘系统在驾驭你。无论你喜欢与否,你做的那些事情,就是处在原始的生存模式。
边缘系统也是你的情感所在,最终,情绪也都是为了生存——情感是更高级的生存机制,对于处在一个复杂的社会结构中的动物是必须的。每当你发生思想斗争时,你的边缘系统很可能会让你做出你会后悔的事情。
我敢肯定,控制你的大脑边缘系统,既意味着成熟,也是一种人性的挣扎。这并不是说没有边缘系统,我们会过得更好。边缘系统在让我们人类如此独特中起到了一半的作用。生活的大部分乐趣来源于你的情绪和需要得到满足。只是你的边缘系统不知道你活在社会文明中,如果你让它做主太多,它很快就会毁了你的生活。
无论如何,让我们再仔细看看。边缘系统有很多小部分。
杏仁核(The amygdala)
杏仁核有点儿像是大脑结构的情感遗骸。它涉及焦虑,悲伤,以及我们的恐惧反应。有两个杏仁核,奇怪的是,左边的已被证明更平衡,有时会产生一些幸福的感觉,而右边的永远心情不好。
海马体(The hippocampus)
你的海马体就像记忆的一块板子。当老鼠开始记忆迷宫的方向,记忆在海马体上编码。大鼠的两个海马体的不同部分将在迷宫的不同部分起作用,因为迷宫的每个部分被存储在自己的海马体部分。但是,如果学习一个迷宫后,大鼠被给予其他任务,一年后,被带回原来的迷宫,就会很难回忆起它,因为海马体记忆板上的大多记忆已经被抹去,释放给新的记忆。
丘脑(The thalamus)
在大脑的中心位置,丘脑也作为中间人,从你的感官接收信息,并将其发送到你的皮质处理感官。当你睡觉时,丘脑也一起上床,这意味着感官中间人下班了。这就是为什么在沉睡中,一些声音或轻轻的触摸往往不会让你起来。如果你想唤醒深度睡眠的某人,你必须展示出足够的侵略性来唤醒他们的丘脑。
唯一的例外是你的嗅觉,这是绕过丘脑的一个感觉。这就是为什么嗅盐可以用来唤醒一个晕倒的人。不像其他的感官,嗅觉位于边缘系统,这就是为什么气味和记忆与情感如此紧密地联系在一起。
皮层(Cortex)
最后,我们到达了大脑皮层。
大脑皮层(本文主要指新皮层,文中统称皮层)基本上负责所有事情:看,听,触觉,语言,动作,思维,规划和个性。
它分为四叶(lobe):
它们每个都做了很多事情,且有很多重叠:
额叶(Front lobe)处理个性,以及我们认为的许多“思考”——推理、规划和执行能力。特别是,您的许多想法发生在额叶的前部,称为前额叶皮质。额叶负责你的身体运动。额叶的顶部条是您的主要运动皮质。
在其它功能中, 顶叶控制你的触觉,特别是在初级躯体感觉皮层。
运动和躯体感觉皮层紧挨着对方,它们很有趣,因为它们已经被良好的映射出来了。神经科学家确切地知道每个部分连接到你身体的哪一个部分。于是就有了下面这张令人毛骨悚然图:侏儒。
由先锋神经外科医生怀尔德·彭菲尔德创建的侏儒,在视觉上显示运动和躯体皮层如何被映射。
如果你把皮层从大脑中剥下来,你会得到一张2mm厚,2,000-2,400cm2 大小(48cm x 48cm square)的餐巾纸。
这块餐巾是大脑发生大部分动作的地方,这就是为什么你可以思考,移动,感觉,看,听,记,说话和理解语言。真是有史以来最好的餐巾纸。
还记得我之前说你是一个果冻吗?你现在知道,感谢你的皮层,你实际上是一块餐巾纸。
当我们将另一个大脑放在我们剥离的皮层上时,可以看出皮层折叠的神奇效果。
大脑,放大看看
即使我们知道大脑很久以前就坐在智慧的宝座之上,直到最近,科学才发现大脑是由什么构成的。科学家们知道身体是由细胞制成的,但是在19世纪末期,意大利医生Camillo Golgi 才想出如何使用染色方法来看到什么是脑细胞。结果令人惊讶:
这不是一个细胞本来的样子。Golgi 发现了神经元。
科学家们很快想通了,神经元是组成大脑和几乎所有动物的神经系统的核心单元。
有很多不同类型的神经元。
我们来讨论一下简单且被人说滥了的神经元锥体细胞,你会在你的运动皮层发现这么个家伙:
然后如果我们给他一些额外的腿,一些头发,把他的胳膊拿掉,再把它抻长,我们就得到了一个神经元。
现在再添加几个神经元
因此,这些家伙的躯干——神经元的轴突都具有一个负“静息电位”,这意味着当它处于静止状态,它的电荷是轻微的负。在任何时候,一堆人的脚和这些家伙的头发——神经元的树突——保持接触。他们的脚把化学物质——神经递质——传到他的头发。
神经网络
大脑材料可分为叫做 灰质 和 白质两类。灰质看起来颜色较深,且由大脑神经元的体细胞及其轴突和树突组成。白质是白色的,因为这些轴突通常包裹在髓鞘中,呈脂肪白。白质之间的大块主要由皮层神经元的轴突组成。大脑皮层是像一个伟大的指挥中心。
我见过的反映这一概念最酷的插图,由Dr. Greg A.Dunn and Dr. Brian Edwards.完成,让我们看看灰质皮质的外层和它下面的白质结构之间的显著差异:
这些皮层轴突可能将信息带到了大脑下部皮层的另一部分,或通过脊髓经神经系统的高速公路到了躯体的其余部分
让我们来看看整个神经系统:
神经系统分为两个部分:中枢神经系统–你的脑和脊髓,和外周神经系统——由从脊髓向外辐射到身体其他部分的神经元构成。
大多数类型的神经元是与其他神经元沟通的interneurons。
其他两个种类的神经元是 感觉神经元和运动神经元 –它们顺着你的脊髓而下,组成了外周神经系统。这些神经元可长达一米。以下是每种类型的一个典型结构:
8.脑机接口
让我们回到公元前50000 年,绑架一个叫 Bok 的人并把他带回到2017年。
“这位是Bok。Bok,我们真的很感谢你和你的朋友们发明了语言。”尽管 Bok 震惊地发现了很多神奇的事情,但他发现,人们彼此交谈的方式,和他那个时代没什么区别,仍然在使用50000年前的技术。
Bok 可能也有些惊讶,我们这些做出了各种神奇机器的人,在生物外形上跟他也没什么区别。怎么会这样呢?
这就是为什么脑机接口,神经工程的一个子集,是这样一个诱人的新产业。我们已经用我们的技术征服了世界多次,但是当它涉及到我们的大脑——我们最重要的工具,技术世界有太多的气馁和挫败。
这就是为什么我们还在使用的 Bok 发明的技术沟通,这就是为什么和大脑相关的疾病还如此致命。
但是,5万年后,可能终于要改变了。大脑下一个伟大的前沿战线也许就是它自己。
有许多种潜在的脑机接口(BMI),可以提供许多不同的功能。但是,每个人都在努力解决这两个问题中的一个或两个:
1)如何从大脑中获取正确的信息? 2)如何将正确的信息发送到大脑?
第一个是关于捕获大脑的输出——记录神经元所说的话。
第二个是关于将信息输入大脑的自然流或以其他方式改变自然流——这是关于刺激神经元。
这两件事情一直在你的大脑里自然发生。现在,你读这句话时,眼睛正在做一个特定的水平移动。大脑的神经元将信息输出到机器(您的眼睛),机器接收命令并进行响应。当你的眼睛以正确的方式移动时,屏幕上的光子进入你的视网膜并刺激您的皮质枕叶中的神经元,以允许单词的图像进入你的眼睛。然后,该图像会刺激大脑另一部分的神经元,使你能够处理图像中嵌入的信息并吸收句子的意义。
输入和输出信息是大脑神经元做的。所有的BMI 都想做的就是加入这一过程。
初看上去,这似乎不是那么困难的任务?大脑只是一个果冻,对吧?而皮质 - 我们想要做大部分的记录和刺激的大脑的部分只是一张餐巾纸,位于大脑外侧,方便您访问。皮层内约有200亿个发射神经元,如果我们能够搞清楚运作方式,那么200亿个流动的小晶体管将会给我们一个全新的对生命、健康和世界的控制。我们不能弄清楚吗?神经元很小,但我们知道如何分裂原子。神经元的直径约为原子的十万倍,如果原子是大理石,则神经元将跨越一公里,所以我们应该可以处理的,对吧?
那么这里有什么问题?
一方面,基于以上这些事实,有观点认为这是一个可以发生巨大进步的行业。我们做得到。
但只有当你了解大脑中究竟发生了什么,你会意识到为什么这可能是世界上最难的事情。
所以在我们谈论自己的BMI 之前,我们需要仔细看看试图让BMI在这里处理的人。我发现说明事情的最好办法是将大脑放大1000倍,看看发生了什么。
还记得我们的皮质餐巾纸吗?
如果我们把它放大1000倍,那么每条边约48cm 的皮质餐巾纸,现在有六个曼哈顿街区(或两个街区)的长度。大概需要25分钟的时间才能走一圈。而整个大脑整体现在可以紧贴在两个街区之间,就像麦迪逊广场花园(Madison Square Garden)的大小(这个长度和宽度的大小相当于MSG的两倍)。
因此,让我们在实际的城市里摊开来。我敢肯定,住在这里的几十万人能够理解。
我选择1,000X作为我们的乘数有几个原因。一个是我们可以立即转换我们头脑中的尺寸。每毫米的大脑现在是一米长。而在更小的神经元世界,每一微米现在都是一个易于概念化的毫米。其次,它方便地将皮质带到人体尺寸 - 其2mm厚度现在是两米 - 高(6'6“)的高度。
所以我们可以走到第二十九街,到我们巨大皮质餐巾的边缘,轻轻的看看那两米厚的内部发生了什么。为了示范,我们拉出一立方米的巨型皮质来检查,这将告诉我们在一个典型的立方毫米的真实皮质中发生了什么。
我们在这一立方米里看到的将是一团糟。我们把它清空出来。
首先让我们把体细胞放进去——立方体内所有神经元的体细胞。
体细胞的大小是一个范围,但我聊过的神经科学家说,皮质神经元的体细胞通常直径约为10或15μm(μm=微米,1/100毫米)。那意味着,如果你把7或10个体细胞排成一行,这条线就是人头发的直径。在我们的规模下,这使得体细胞直径为1 - 1.5厘米。大理石啊。
整个皮层的体积在50万立方毫米的场内,在这个空间大约有200亿个体细胞。这意味着平均每立方毫米皮质含有约40,000个神经元。所以我们的立方米盒子里有4万个大理石。如果我们将盒子分成约4万立方米的空间,每边都有3厘米(或大约一立方英尺)的一边,这意味着我们每个人的大理石都在自己的小3厘米立方体的中心,其他的体细胞在各个方向上距离它大约3厘米。
怎么样?这40,000个漂浮的大理石能不能帮你可视化我们的立方体?
这是一个在实际皮质中的体细胞的显微镜图像,使用了阻挡其周围其他东西的技术:
好吧,到目前为止还不太疯狂。但是,体细胞仅仅是每个神经元的一小片。从我们的每一个大理石大小的体细胞中散发出来是曲折分岔的树突,在我们按比例增加的大脑中能在许多不同方向伸展三四米,从另一端的轴突可以超过100米长(横向于皮质的另一部分),或一公里长(向下进入脊髓和身体)时。他们每个都只有一毫米厚,这些线把皮层变成密集纠结的电子意大利面。
意大利面里面也不消停。每个神经元有多达1000——有时高达10,000——和其他神经元突触的连接。皮层中有约200 亿的神经元,这意味着皮质中有超过20 万亿 的个体神经元的连接(整个大脑中有高达千万亿个连接)。在我们每个立方米中,将有超过2000万的突触。
更复杂的是,立方体中40000个大理石中不仅每一个都有许多意大利面穿走出来,同时还有从皮质其他部分穿出的数以千计的意大利面穿过立方体。这意味着,试图记录信号或在这个特殊的立方区域内刺激神经元,有很多困难,因为在意大利面的烂摊子里,很难找出哪些面条属于我们的体细胞大理石。
当然,还有神经可塑性的事情。每个神经元的电压是不断变化的,多达每秒数百次,同时数以千万计的突触连接会在我们的立方体内更改大小、消失、重新出现。
如果只是这样就好了。
原来大脑中还有被称为神经胶质细胞的其他细胞,有许多不同的品种,具有多种功能,如清扫释放到突触的化学物质、在髓鞘包装轴突、作为大脑的免疫系统等等。下面是一些常见的神经胶质细胞:
有多少神经胶质细胞在大脑皮层?和神经元数量相同。所以再加40000个这样的怪胎到我们的立方体里吧。
最后,还有血管。在每立方毫米的皮质,共有一米的毛细血管。在我们的规模下看,这意味着在我们的立方米内,有一公里长的血管。这样大小的空间内,血管是什么样子?
BMI工具
在目前正在进行的工作中,评估一种记录工具的利弊时,有三个广泛的标准似乎脱颖而出:
1)规模 - 可以记录多少个神经元
2)解析度 - 工具收到的信息有多详细 - 有两种类型的分辨率:空间(你的记录有多接近能告诉你单独的神经元如何被触发)和时间(当你记录的活动发生时,你记录的有多好)
3)侵略性– 操作是否需要,如果是,有多需要?
长期的目标是把所有三个蛋糕都吃完。但现在,总有一个问题:“这些标准你愿意放弃哪个?”从一个工具到另一个工具不是一个整体的升级或降级,而是一种权衡。
我们来研究当前使用的工具类型:
fMRI(功能磁共振成像)
规模:高(它显示整个大脑的信息)
解析度:中低空间,非常低的时间
侵入性:非侵入性
fMRI通常不用于BMI,但它是一种经典的记录工具,提供了有关大脑内部发生情况的信息。
fMRI使用MRI 磁共振成像技术。 MRI在20世纪70年代发明,是基于X射线的CAT扫描的演变。 MRI不是使用X射线,而是使用磁场(以及无线电波和其他信号)来产生人体和脑的图像。
而这一整套的横截面,让您穿过头去看到里面。
fMRI 使用MRI 技术来跟踪变化的血流量。为什么?因为当大脑区域变得更加活跃,他们使用更多的能量,所以他们需要更多的氧气,使血流增加该区域的氧气供应。
fMRI的有很多医疗用途,其最大的缺点是分辨率。
fMRI 成像体素的尺寸不断缩小,随着技术有所改善,使空间分辨率可达立方毫米。大脑有大约1200000毫米体积,所以fMRI 成像扫描将大脑划分约一百万小立方体。问题是,对神经元的规模来说,这仍然是相当巨大的,每一个像素包含的神经元数以万计。更大的问题是时间分辨率,fMRI跟踪血流,既不精确,且有延迟。
EEG(脑电图)
规模: 高
解析度:空间上非常低,时间上中高
侵入性: 非侵入性
近一个世纪以来,EEG(脑电图)把电极阵列罩在你头上。你知道,就是这样:33
EEG 对于一个2050年的人来说,绝对是一个非常原始的技术,但现在,它是可以BMI中完全无创的唯一工具。脑电图记录大脑不同区域的电活动,显示出如下结果:34 34
脑电图可以揭示有关医疗问题的信息,如癫痫症等。与fMRI不同,EEG从脑中获取电信号具有相当好的时间解析度,——尽管头骨大大地模糊了时间精度(骨骼是坏导体)。
主要缺点是空间解析度。每个电极仅记录来自数百万或数十亿神经元电荷的广泛平均矢量和。
想象一下,大脑是一个棒球场,它的神经元是人群。我们想要的信息,不是电子活动,而是声带活动。在这种情况下,脑电图就像一组麦克风,放在体育场外面,靠在体育馆的外墙上。你可以听到人群的欢呼声,也许可以预测他们正在欢呼的事情。你可以听到指示牌变化的迹象。你可能会发现一些异常。但也就这样了。
除了以上两种大家比较熟悉的以外,又有ECoG、LocalField Potential、Single-UnitRecording等等工具。
9.Neuralink Formula:全脑接口与神经织网
我曾经写过马斯克的另外两家公司——Tesla 和 SpaceX——因此我觉得我挺了解他的公司的模式。如下图这样:
马斯克对一家新公司的初步想法总是从右边开始,但公司工作的方式是从左边开始的。他认为,某些特定的变化将增加人类的未来向最好的方向发展的可能性。
所以当马斯克成立一家新公司时,其核心的最初策略通常是造成一场能够引发行业竞争,让人类共同推进这个事业的竞赛。反过来,马斯克也认为这将促进人类的未来向最好的方向发展。但是,你必须从微观的角度看他的公司,才能看到这些。否则,你可能注意不到他们在做的事情。
我在写 Tesla 和 SpaceX 的文章时,我问马斯克为什么他搞起了工程,而不是做科学研究。他解释说,在涉及到人类进步的问题上,“工程是一个限制因素”。换句话说,科学的进步,商业,以及工业等等的进步,全都是工程进步所带来的。回溯历史,也是这样,人类历史上最伟大的革命是工程上的突破。
所以,要理解马斯克的公司,你需要了解他想要创造的竞赛,下图是包含变量的马斯克公司的图解:
因此,在我试图弄清楚 Neuralink 的机制时,我需要把那些变量填上去。最初,我对这家公司只有非常模糊的认识,即其中的一个变量(GOAL)——该公司的目标是“加速全面脑机接口(whole-brain interface)时代的到来”,我把这画成一顶精灵帽子。
就我的理解,全脑接口是一个理想世界里脑机接口的形式,这是一个超前的概念,其中大脑的所有神经元都能够与外部世界进行无缝通信。这来源于 Iain Banks 的科幻小说《文明》系列中描绘的“神经织网”(neural lace)的概念——一个无缝、稳定、可以直接与大脑通信的全脑接口。
原文地址:http://waitbutwhy.com/2017/04/neuralink.html
一网打尽系列文章,请回复以下关键词查看: |
创新发展:习近平 | 创新中国 | 创新创业 | 科技体制改革 | 科技创新政策 | 协同创新 | 成果转化 | 新科技革命 | 基础研究 | 产学研 | 供给侧 |
热点专题:军民融合 | 民参军 | 工业4.0 | 商业航天 | 智库 | 国家重点研发计划 | 基金 | 装备采办 | 博士 | 摩尔定律 | 诺贝尔奖 | 国家实验室 | 国防工业 | 十三五 | 创新教育 | 军工百强 | 试验鉴定 | 影响因子 | 双一流 |
预见未来:预见2016 | 预见2020 | 预见2025 | 预见2030 | 预见2035 | 预见2045 | 预见2050 | |
前沿科技:颠覆性技术 | 生物 | 仿生 | 脑科学 | 精准医学 | 基因 | 基因编辑 | 虚拟现实 | 增强现实 | 纳米 | 人工智能 | 机器人 | 3D打印 | 4D打印 | 太赫兹 | 云计算 | 物联网 | 互联网+ | 大数据 | 石墨烯 | 能源 | 电池 | 量子 | 超材料 | 超级计算机 | 卫星 | 北斗 | 智能制造 | 不依赖GPS导航 | 通信 | MIT技术评论 | 航空发动机 | 可穿戴 | 氮化镓 | 隐身 | 半导体 | 脑机接口 |
先进武器:中国武器 | 无人机 | 轰炸机 | 预警机 | 运输机 | 战斗机 | 六代机 | 网络武器 | 激光武器 | 电磁炮 | 高超声速武器 | 反无人机 | 防空反导 | 潜航器 | |
未来战争:未来战争 | 抵消战略 | 水下战 | 网络空间战 | 分布式杀伤 | 无人机蜂群 | 太空站 |反卫星 |
领先国家:俄罗斯 | 英国 | 日本 | 以色列 | 印度 |
前沿机构:战略能力办公室 | DARPA | Gartner | 硅谷 | 谷歌 | 华为 | 俄先期研究基金会 | 军工百强 |
前沿人物:钱学森 | 马斯克 | 凯文凯利 | 任正非 | 马云 | 奥巴马 | 特朗普 |
专家专栏:黄志澄 | 许得君 | 施一公 | 王喜文 | 贺飞 | 李萍 | 刘锋 | 王煜全 | 易本胜 | 李德毅 | 游光荣 | 刘亚威 | 赵文银 | 廖孟豪 | 谭铁牛 |
全文收录:2016文章全收录 | 2015文章全收录 | 2014文章全收录 |
其他主题系列陆续整理中,敬请期待…… |
“远望智库”聚焦前沿科技领域,着眼科技未来发展,围绕军民融合、科技创新、管理创新、科技安全、知识产权等主题,开展情报挖掘、发展战略研究、规划论证、评估评价、项目筛选,以及成果转化等工作,为管理决策、产业规划、企业发展、机构投资提供情报、咨询、培训等服务,为推动国家创新驱动发展和军民融合深度发展提供智力支撑。