编者荐语:
BME Frontiers是Science合作期刊(Science Partner Journal, SPJ),由Science/AAAS与中科院苏州生物医学工程技术研究所进行合作。
以下文章来源于生物医学工程前沿 ,作者BMEF编辑部
中国科学院苏州生物医学工程技术研究所(SIBET CAS)与美国科学促进会(AAAS)合作刊《生物医学工程前沿》(BME Frontiers)官方公众号。可提供期刊最新录用查询、过往刊目检索、发表论文导读等服务。
https://doi.org/10.34133/2022/9847962
近日,美国佐治亚理工学院的Francisco E. Robles教授团队在Science合作刊 BMEF 上发表题为" Deep UV Microscopy Identifies Prostatic Basal Cells: An Important Biomarker for Prostate Cancer "的文章。
前列腺癌 (Prostate Cancer,PCa) 是一种常见的恶性肿瘤。研究表明,50岁以上的男性中有一半以上患有某种形式的前列腺癌或高级别前列腺上皮内瘤变(High Grade Prostatic Intraepithelial Neoplasia, HGPIN)。病理学家通常会使用免疫组织化学(Immunohistochemistry,IHC)染色来进行诊断,常见的IHC染色包括对p63蛋白和高分子量细胞角蛋白(High-Molecular-Weight Cytokeratin,HMWCK)进行染色,它们可以选择性标记前列腺组织腺体和导管中的基底细胞,该细胞是前列腺癌的重要标志。然而,IHC存在局限性,包括昂贵、耗时、对染色技术要求较高、耗费组织切片多、容易出现假阳性或假阴性的结果等。因此,开发一个可以准确鉴定基底细胞从而诊断前列腺癌的可靠方法至关重要。
在本项研究中,Francisco E. Robles教授团队开发了一种基于多光谱深紫外(Multispectral Deep Ultraviolet)显微镜的无标记高分辨率分子成像的方法,该方法可以识别包括基底细胞在内的重要前列腺组织成分。相较于常规光学显微镜,深紫外显微镜有很多优势。比如,许多与细胞功能以及疾病发生相关的生物分子的吸收光谱位于深紫外光谱区,可以实现高对比度和定量的分子成像以及表型分析。不同于其它无标记分子成像方法,深紫外显微镜不需要昂贵的激光系统且波长较短,因此可以提供高空间分辨率。此外,深紫外光学显微镜不需要使用荧光剂或染料,大大简化了实验操作的步骤,降低了实验费用。
首先,作者详细介绍了深紫外显微镜系统。在该系统中,主成分分析(Principal Component Analysis,PCA)被用于降维和呈现空间分辨光谱信号。为了计算主成分,研究人员从腺体和基质中选择了约1.3亿个光谱(图1a)。为了利用光谱响应(Spectral Response)进行分子成像,研究人员将光谱投影到前三个主成分上,并从笛卡尔坐标体系转换到球坐标体系。经过转换,图像中每一个空间像素的光谱形状可以仅用方位角(θ)和仰角(ψ)来准确地描述(图1b)。球坐标体系中的半径可以作为浓度的相对测定指标,因此图像可以在色调饱和度值(Hue-Saturation-Value,HSV)颜色空间中表示,色调由角坐标决定(图1c)。图1d和图1e展示了利用上述几何表示方法对前列腺组织各成分进行表示的图像。
图1:数据处理步骤和平均光谱数据汇总
之后,研究人员对前列腺良性组织和癌症组织进行了H&E染色和p63蛋白染色,并制作了虚拟p63蛋白IHC图像(基于不同生物分子的吸收光谱进行像素着色)以及4-通道分子着色图,可以清楚地观察到染色结果和传统H&E染色和p63蛋白染色结果非常一致。
接下来,研究人员将该方法应用于解决一些具有挑战性的前列腺癌的诊断病例,在这些病例中,单独使用H&E染色或P63蛋白染色难以获得准确的诊断结果。在大多数前列腺癌病变中,有一些假良性腺体(Entrapped Benign Glands)没有显示出任何恶性肿瘤的迹象,因此很难识别。在该研究中,研究人员对相同区域假良性腺体进行H&E染色、p63蛋白染色、虚拟p63蛋白染色、以及4-通道分子图像着色(图3),4-通道分子图像清楚地鉴定出了一个被高级别(3级或4级)癌变腺体包裹的基底细胞,这与p63 IHC染色结果高度一致。
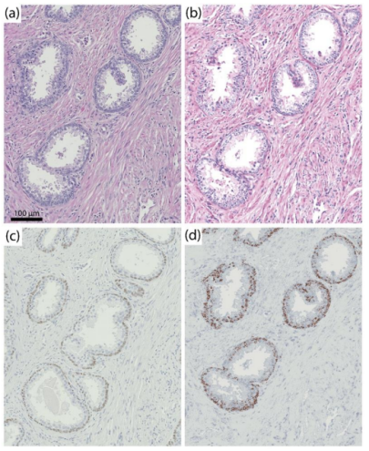
良性前列腺基底细胞增生(Benign Prostatic Basal Cell Hyperplasia,BCH)是一种常见的腺癌良性类似物,这种增生在前列腺组织中发生的概率很高而且很难进行诊断,深紫外显微镜技术可以用来帮助诊断BCH,无需染色并呈现与标准p63蛋白染色几乎相同的IHC图像(图4)。
图4:伴有基底细胞增生的良性前列腺四种方法染色结果图
前列腺癌诊断的挑战之一在于基底细胞标记物染色较弱或呈阴性,在这种情况下,缺乏染色可能会被诊断为恶性肿瘤,并导致假阳性结果以及过度治疗。图5展现了一些显示出阴性p63蛋白染色(表明恶性)结果的小型或萎缩的良性腺体,这很容易被误诊为癌症。同样,深紫外显微镜可以很好地解决这个问题,图5c、图5g清晰地显示出p63蛋白未能成功染色的基底细胞。
图5:p63假阴性良性腺体四种方法染色结果图
此外,该团队之前还证明过无标签深紫外显微镜也可以生成高保真的H&E图像。研究人员对带有小良性腺体病灶的前列腺区域进行H&E染色和p63蛋白染色,并利用深紫外显微镜进行成像,结果表明虚拟图像与H&E染色和p63蛋白染色图像非常一致(图6)。研究人员还对图6b和图6d中相同染色区域进行了进一步H&E 染色,结果与深紫外虚拟H&E染色保持一致,这也表明该方法不会损害或改变组织,在进行UV成像后,还可以进行额外的其它测试。
图6:带有小良性腺体病灶前列腺区域的H&E染色、p63蛋白染色以及虚拟H&E染色和p63蛋白染色结果图
总的来说,本研究证明多光谱深紫外显微镜是一种检测前列腺癌的快速、经济、有效、无标记的工具,可以鉴定前列腺组织中的关键结构,无需任何染色或化学过程。这种方法以及该团队之前使用的利用紫外显微镜进行的无标记虚拟H&E染色,在帮助病理学家诊断前列腺癌方面具有深远的意义。
作者介绍
撰稿:赵瑜涵、张宏
审核:孙敏轩、刘萍萍、邓旻
原文链接:
-----往期荐读-----
Emerging Advances to Transform Histopathology Using Virtual Staining
https://doi.org/10.34133/2020/9647163
A Deep Learning Approach for Detecting Colorectal Cancer via Raman Spectra
https://doi.org/10.34133/2022/9872028
About BMEF
点击下方“阅读原文”查看文章原文
点击“在看”,助力传播