Biomaterials
浙江大学脑科学与脑医学学学院汪浩教授、系统神经与认知科学研究所奚望副研究员以及哈佛大学锁志刚院士团队合作开发了一种基于PVA-ACSF水凝胶为离子导电体,PDMS为绝缘层的新型硬脑膜下皮层电极——hydrogel-elastomer neural interface (HENI)。相较于传统的金属电极,HENI电极具有高度的生物相容性,核磁兼容性以及与光成像技术联用的多模态性特征。相关成果以标题为“Subdural Neural Interfaces for Long-term Electrical Recording, Optical Microscopy and Magnetic Resonance Imaging”发表在Biomaterials。
图一:水凝胶皮层电极的基础特性
硬脑膜下皮层电极(ECoG电极)是一种重要的神经记录接口,现如今已经广泛应用于癫痫病灶定位、意识控制义肢等临床,以及科研领域。但如今以金属作为导电材料的ECoG电极生物相容性差,极易损伤脑表面;还因其不透光等特性限制了ECoG电极的多模态应用(如和光遗传学,双光子成像和MRI成像等)。
为了解决以上问题浙江大学汪浩教授团队与浙江大学奚望副研究员以及哈佛大学锁志刚院士团队合作开发了一种新型PVA-ACSF水凝胶电极。该电极具有力学性能与化学性质和脑组织高度相似,高透光性以及核磁兼容性等特点,因此具有广泛的临床和科研应用价值。
图二:水凝胶电极记录到的电信号质量和金属电极高度相似
该PVA-ACSF水凝胶电极可记录到具有高度时空分辨率的高质量皮层神经电信号。
图三:金属和凝胶电极埋置98天后电极及周围血管形态变化
经过98天的长时间埋置后评估,该电极及其周围区域的血管增生形变以及胶质细胞增生情况要显著少于金属电极。
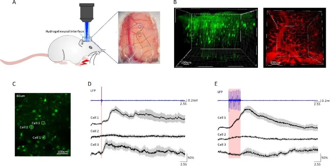
图四:水凝胶皮层电极可实现双光子成像和电信号同步记录
结合PVA-ACSF水凝胶在光学成像常用波长的高度透光性,通过双光子显微镜采集电极点下方神经元钙信号和血管信号的同时也在体记录了神经元活动的电信号,这种多模态联合实验可以从多维度同时观察解析小鼠不同生理或者病理状态下的神经元活动和血管的动态变化,对于研究脑区互作或者神经血管互作的机制等提供了新的思路与方法。
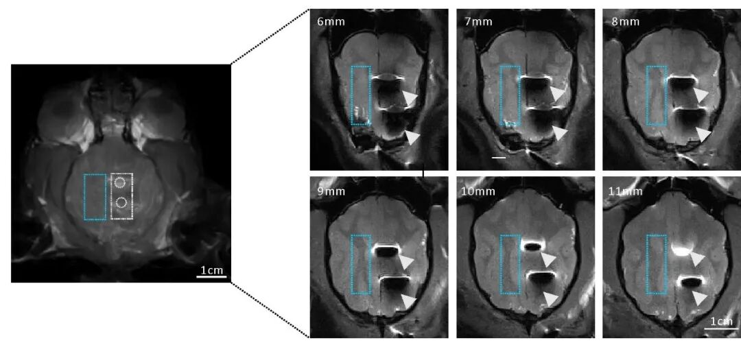
图五:水凝胶皮层电极不影响MRI成像(不会像右方的金属电极产生很大的伪影)
最后基于PVA-ACSF水凝胶的化学构成和脑组织高度相似性,显示水凝胶电极不影响MRI核磁成像。综上这种新型的PVA-ACSF水凝胶电极不仅有巨大的临床应用潜力,它的高度透光性以及核磁兼容性等特点使它可以和光学成像,核磁成像以及光遗传学等先进技术相配合,为基础研究提供更多的选择与可能性。本文的第一作者为浙江大学医学院博士后王晓萌,共同第一作者为浙江大学医学院博士生王梦琪和哈佛大学博士生盛昊。浙江大学生仪学院博士生朱亮为本文做出了重要贡献。浙江大学医学院教授汪浩、浙江大学系统神经与认知科学研究所奚望副研究员以及哈佛大学锁志刚教授为本文的共同通讯作者。原文链接 https://doi.org/10.1016/j.biomaterials.2021.121352
课题组简介
浙江大学汪浩教授:汪浩教授为浙江大学脑科学与脑医学学院、卫生部医学神经生物学重点实验室PI,教育部长江青年学者,基金委“优青”项目获得者,浙江省“杰青”项目获得者,博士生导师。2006年毕业于中国科学技术大学并获神经科学专业博士学位,于2007年加入美国杰克逊实验室从事神经环路发育的神经机制研究。2012年全职回国加盟浙江大学医学院神经生物系。主要研究领域为本能行为的神经环路机制和基于水凝胶的多模态柔性电极研发。在先天性恐惧的神经环路机制研究上开创新的发现了外侧僵核到背外侧被盖区的通路对于嗅觉诱导的先天性恐惧起到至关重要的作用。最新的研究发现外侧下丘脑和终纹床核到中央导水管灰质区的GABA能通路在摄食调控中起到十分重要的作用。其研究结果以通讯作者身份多次发表在Nature Neuroscience, Biomaterials, Cell Reports和eLife等SCI杂志上,并被多家新闻媒体和相关学术杂志和网站评论报道。近年来获得国家自然基金委及科技部、教育部、浙江省多项基金资助。
浙江大学奚望副研究员:浙江大学系统神经与认知科学研究所副研究员,先后在南京大学和中国科学院神经所获得学士和博士学位。主要研究兴趣为应用多光子成像技术研究从啮齿类到非人灵长类的神经血管耦合相关机制,以及神经血管耦合机制在脑功能如睡眠、注意、意识等神经认知功能中的作用。相关工作以第一作者及通讯作者发表于Biomaterials、J. Nucl. Med.、Theronatics等国际知名杂志。主持与参与多项国家自然科学基金、浙江省自然科学基金等研究项目。
哈佛大学锁志刚教授:国际著名力学家,哈佛大学终身教授,美国科学院院士、工程院院士。1985年,本科毕业于西安交通大学力学系。1989年,在美国哈佛大学获博士学位。在力学与材料科学的诸多领域开展了广泛研究,在Nature, Science 等期刊上发表论文460余篇,Google引用67000余次,H因子136。近年来,在水凝胶等软材料领域做出了开创性贡献。
来源:汪浩团队
往期回顾
浙江大学
脑科学与脑医学学院
长按二维码关注我们