点击上方 ▲ 关注「欧茜医生」了解更多育儿知识
最近医院门诊量暴增,到处都是发烧的患儿,和焦虑的家长。
据悉,近日国家流感中心报道的流感病例数呈现剧增趋势,至少福建、广东、广西、湖南和江西等南方地区,流感都呈现流行态势。
图源:中国国家流感中心监测周报(2022年4月4日—6月12日)注:一起疫情指一处局部流感爆发事件,并非一个病例
流感一年四季都有可能发生,但通常在秋冬季高发,像近期这样盛夏时节大规模流行的情况并不常见,需要引起足够重视。
流感本身具有一定的自限性,家长们最担心的通常是流感可能出现的严重并发症。这也是很多家长察觉孩子可能患了流感就赶紧送医院的原因。
美国儿科学杂志的研究显示,约三分之一的流感样疾病的儿童可能出现并发症,有神经或神经肌肉基础疾病的儿童发生并发症的风险最高。常见的并发症包括肺炎(26.1%)、呼吸衰竭(7.1%)和癫痫发作(5.8%),神经系统并发症少见但严重,预后不良。
据一位某医科大附属医院的同行说,仅他所在的医院一家,最近2周遇到流感相关脑病8例,还有不少案例为重症肺炎、流感相关脓毒症休克、多器官功能不全和横纹肌溶解综合征等,甚至有死亡病例,形势不容乐观!
因此,如何早期识别重症流感预警信号,尤为值得关注。
01
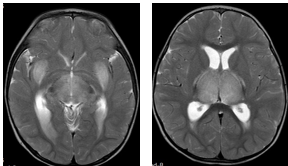
一例流感相关的急性坏死性脑病
图:患儿的头颅MR显示典型的急性坏死性脑病表现
02
哪些人容易得重症流感?
流感的高危人群,是指得流感后可能出现病情较重、病死率较高的人群,包括:
年龄<5岁的儿童,尤其是<2岁更易发生严重并发症;
年龄≥65岁的老年人;
伴有以下疾病或状况者:慢性呼吸系统疾病、心血管系统疾病(高血压除外)、肾病、肝病、血液系统疾病、神经系统及神经肌肉疾病、代谢及内分泌系统疾病、免疫功能抑制(包括应用免疫抑制剂或HIV感染等致免疫功能低下)等慢性病者;
肥胖者(体重指数>30);
妊娠期妇女。
03
如何早期识别重症流感?
■ (一)关注早期症状,突然高热要警惕
首先,儿童流感多突然起病,发病前症状不明显。许多感冒发病前会先表现出鼻塞、流涕、咳嗽等症状,而流感则更多是突然发热,且以高热为主,体温可达39~40℃高热。所以,在流感季节,突然高热,要首先考虑流感的可能性。
其次,相比感冒而言,流感的全身症状更明显,如畏寒、寒战、头痛、全身肌肉疼痛、乏力和食欲减退等。
当然,这里要注意3点:
① 小婴儿不能准确表达自己的不舒服,可能表现为嗜睡、胃口变差和活力低下为主,需要警惕;
② 流感也可以像感冒一样,表现为咳嗽、咽痛、流涕、鼻塞等呼吸道症状;
③ 儿童流感的消化道症状比成人更常见,可以表现为腹泻、呕吐和腹痛,这种情况多见于乙型流感。目前流行甲型流感,也有少数乙型流感。
最后,在流感流行季,如果孩子所处区域刚好正盛行流感,而孩子又出现了体温超过38℃,伴有咳嗽、咽痛或其他全身症状,医生通常会先按流感的可能性来排查诊治。若真是流感,早期给予抗病毒治疗,可以改善预后。
■ (二)流感并发症不只是肺炎
和感冒不同,流感容易出现并发症,容易发展为重症。重症流感病例,多与并发症的发生有关系。因此,了解流感常见的并发症,有利于早期识别重症流感。常见的并发症包括:
肺炎:最常见的并发症。如果伴有气促、喘息、发绀、呼吸困难,要考虑合并肺炎可能性,多发生于起病后2~3天,必要时拍X片或CT检查。
神经系统并发症:流感可以导致脑病、脑炎、脑膜炎、脊髓炎、吉兰-巴雷综合征和急性坏死性脑病等。其中,急性坏死性脑病有较高的致残和致死率,需要特别警惕,多发生在流感起病后的12-72小时。
心脏损伤:流感患儿可出现心肌酶升高、心电图改变,少数甚至会发生病毒性心肌炎和爆发性心肌炎。注意,此类患儿未必表现为胸痛,有时候表现为呕吐、腹痛!
肌炎和横纹肌溶解:如果患儿小腿肌肉疼痛,压痛明显,要注意肌炎的可能性。严重病例可能出现横纹肌溶解,甚至继发肾衰竭!
其他并发症:中耳炎、肝脏损害、免疫紊乱、低钾血症、肾脏损伤以及合并细菌感染等。
■ (三)重点关注孩子呼吸与精神状态
大多数没有并发症的流感,在发病后的3-7天缓解,但咳嗽和体力恢复常常需要1~2周。因此,无论轻症还是重症,早期都可能出现发热、乏力等表现。
重症患儿病情发展迅速,常常在发病后的前5天加重(多数前3天)。根据2020年版的《儿童流感诊断与治疗专家共识》,出现以下表现,要考虑重症流感的可能性:
呼吸频率增快或呼吸困难:新生儿~2月龄,呼吸>60次/分钟;2月龄~1岁,呼吸>50次/分钟;1~5岁,呼吸>40次/分钟;5岁以上,呼吸>30次/分钟;
神志改变:反应迟钝、嗜睡、烦躁不安、惊厥和肢体抖动等;
脱水表现:出现严重消化道症状,如呕吐和腹泻导致的中重度脱水;
少尿:儿童尿量<0.8ml/(kg.h),或者婴幼儿,尿量<200ml/m2;学龄前儿童,尿量<300ml/m2;学龄儿童<400ml/m2,14岁以上儿童,尿量<17ml/h,或出现急性肾衰竭;
合并肺炎;
原有基础疾病明显加重;
需要住院治疗的其他临床情况。
重症患儿病情发展迅速,呼吸道重症较为多见,多在5-7天出现肺炎,体温经常在39℃以上,呼吸困难,甚至吸氧也很难改善。
重症流感最常见的死亡原因为呼吸道并发症,可快速进展为急性呼吸窘迫综合征(ARDS)、呼吸衰竭、心力衰竭和多器官功能衰竭等。
此外,虽然抗生素对流感无效,但部分流感合并细菌感染,需要用抗生素。
04
如何防止流感并发症及变为重症?
呼吸加快或呼吸困难;
肤色改变,如花斑或苍白;
液体摄入不足或胃口很差;
不清醒或不与您互动;
非常不开心以至于不愿让人抱;
先前流感症状缓解,再次出现发热或咳嗽;
发热伴皮疹;
流感高危人群。
end
参考文献:
推荐阅读