北京时间2020年2月1日凌晨,《新英格兰医学杂志》(NEJM)在短篇报告栏目(Brief Report)报道了美国首例确诊新型冠状病毒肺炎患者成功治愈的病例。读者亦可访问www.nejm.org/coronavirus,阅读英文;或访问nejmqianyan.cn,阅读中文。这是NEJM中文版《NEJM医学前沿》第5篇全文翻译NEJM发表的2019-nCoV文章。我们希望通过官方全文翻译让读者全面了解论文信息。疫情当前,更需要冷静分析,独立判断。了解更多相关权威信息,请阅读文末“新型冠状病毒肺炎特集”。此外,关于本研究所用抗病毒药物,其生产商吉利德公司的官方声明指出,remdesivir尚未在全球任何地区获得许可或批准,也尚未证明其任何用途的安全性或疗效,此例治疗是在无任何已批准治疗方案前提下的紧急方案。致敬奋战在抗击疫情一线的医护、疾控和后勤保障人员!祝你们平安凯旋!
![]()
美国首例新型冠状病毒病例
First Case of 2019 Novel Coronavirus in the United States
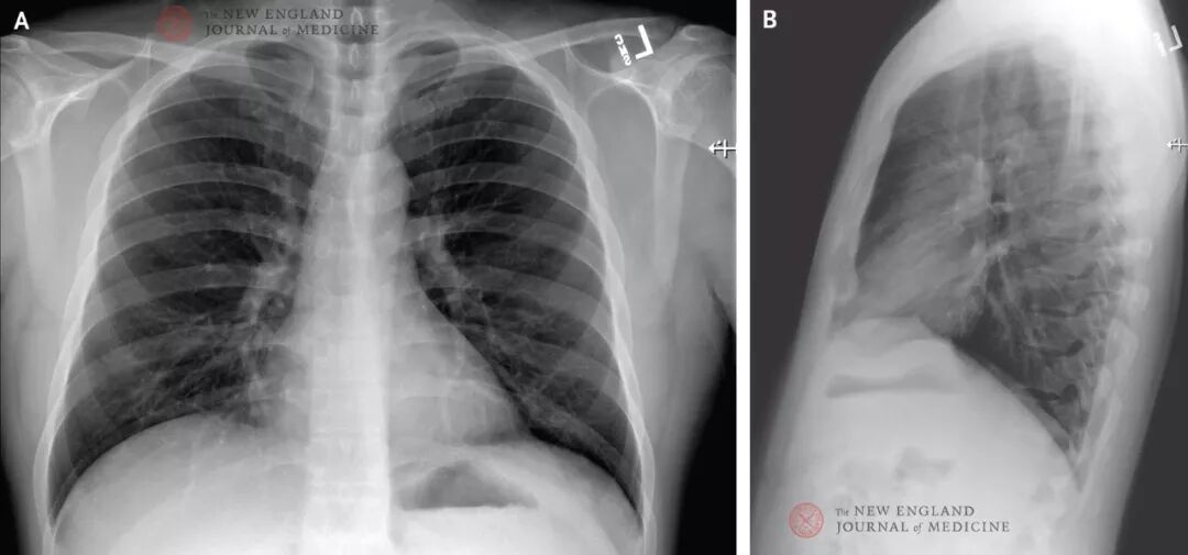
一种新型冠状病毒(2019-nCoV)在中国武汉暴发,传播迅速,目前已在多个国家出现确诊病例。我们报告了在美国确诊的第一例2019-nCoV感染病例,并描述了该病例的鉴别、诊断、临床病程和治疗,包括此患者最初的轻微症状及在发病第9日进展为肺炎。这一病例突出了临床医师与当地、州和国家各级公共卫生机构密切协调的重要性,以及快速发布突发感染患者相关临床信息的必要性。2019年12月31日,中国报道了一个与湖北省武汉市华南海鲜批发市场相关的肺炎病例集群[1]。2020年1月7日,中国卫生机构确认此病例集群与一种新型冠状病毒2019-nCoV相关[2]。虽然最初报告的病例与武汉海鲜市场暴露相关,但目前的流行病学数据表明,2019-nCoV正在发生人际传播[3-6]。截至2020年1月30日,至少21个国家已报告了9976例确诊病例,其中包括美国在2020年1月20日报告的第一例2019-nCoV感染确诊病例[7]。目前正在全球范围内展开调查,以便更好地了解其传播动力学和临床疾病谱。本报告描述了美国第一例2019-nCoV感染的流行病学和临床特征。2020年1月19日,一名35岁男性来到华盛顿州斯诺霍米什县的急诊诊所,他有4天咳嗽和自觉发热病史。患者一进诊所,就在候诊室里戴上了口罩。等待大约20分钟后,他被带进了检查室,并接受了医师评估。患者透露,他曾在中国武汉探亲,于1月15日返回华盛顿州。患者说,他看到了美国疾病控制和预防中心(CDC)关于中国新型冠状病毒暴发的健康警报,鉴于他的症状和最近的旅行史,决定来看医师。图1.后前位和侧位胸片,2020年1月19日(发病第4日)。无胸部基础疾病。
除有高血脂病史外,该患者不吸烟者且平素健康。体格检查:体温为37.2°C,血压为134/87 mm Hg,脉搏为110/分,呼吸为16次/分,患者呼吸环境空气时的氧饱和度为96%。由于肺部听诊出现干啰音,故进行胸片检查,结果为未见异常(见图1)。快速核酸扩增检测(NAAT)显示甲型和乙型流感抗原呈阴性。取鼻咽拭子用NAAT进行呼吸道病毒的病原体检测;48小时后报告所有检测病原体结果为阴性,包括甲型和乙型流感病毒、副流感病毒、呼吸道合胞病毒、鼻病毒、腺病毒和4个可以致人类发病的冠状病毒(HKU1、NL63、229E、OC43)。基于患者旅行史,医生立即上报地方和国家相关卫生管理部门。汇同急诊医师,华盛顿卫生健康部立即报告了美国CDC应急管理中心。尽管患者表示没有去过武汉海鲜市场且在华旅行期间也没有接触过任何病患,但CDC工作人员依据目前的CDC“需调查人员”病例定义,一致同意对该患者进行2019-nCov检测[8]。我们按CDC指南对患者进行了样本采集,包括血清、鼻咽拭子、口咽拭子样本。样本采集后,对患者进行了在当地卫机构的监控下的居家隔离。2020年1月20日,CDC证实通过采用实时逆转录酶聚合酶链检测方法(rRT-PCR),该患者鼻咽拭子和口咽拭子2019 新型冠状病毒(2019-nCov)检测结果为阳性。通过与美国CDC相关专家,国家和当地的健康官员,急诊医疗中心,医院管理层和员工的通力合作,该患者被收治进入普罗维登斯医疗中心的隔离病房进行医学观察,医务人员按照CDC建议进行了相应防护(包括眼部防护),以防止接触,飞沫,气溶胶等污染[9]。收治入院后,患者出现了持续性干咳,恶心和呕吐2天;患者自诉无呼吸困难和胸痛,且生命体征都在正常范围内。体格检查发现患者出现粘膜干燥,其他检查没有明显异常。住院后,对患者进行了支持治疗,包括2L的生理盐水静滴和昂丹司琼缓解恶心症状。图2. 按照患者发病及住院日期(2020年1月16日至2020年1月30日)列出的症状和最高体温。
住院第2至5日(发病第6至9日),除出现间歇性发热并伴有心动过速之外,患者生命体征基本平稳。患者仍有干咳,乏力。住院第2日下午,患者排稀便,腹部不适。夜间再次排稀便;采集的粪便和上呼吸道样本,以及鼻咽和口咽拭子经rRT-PCR检测2019-nCoV均呈阳性,血清检测为阴性。自此期间,主要对患者实施支持性治疗。对患者给予对症治疗:根据发热情况给予退热药,包括每4小时650 mg对乙酰氨基酚和每6小时600 mg布洛芬;口服600 mg愈创甘油醚缓解持续咳嗽;住院后6天内大约给予6 L生理盐水补液。由于患者隔离病房最初只允许用床旁设备进行样本检测,患者住院第3日才开始全血细胞计数及血清化学检测。在患者住院的第3日开始进行血常规和生化检测。患者住院第3日和第5日(发病第7日和第9日)实验室结果显示:白细胞减少,轻度血小板减少以及肌酸激酶(CK)水平升高(表1)。此外,肝功能指标也出现异常:ALKP(68 U/L),ALT(105 U/L),AST(77 U/L)和LDH (465 U/L)的水平都在住院的第5日所有升高。鉴于患者反复发热,在住院第4日进行了血培养检测,截至目前未有细菌生长。患者住院第3日(发病第7日)的胸片检查显示没有肺部浸润或其他异常(图3)。然而,在住院第5日晚上(发病第9日)的第二次胸片显示左下肺叶有肺炎迹象(图4)。以上影像学的发现与患者住院第5日晚上开始的呼吸症状改变相吻合,该患者当日呼吸环境空气时的氧饱和度下降至90%。住院第6日给患者行2 L/分鼻导管吸氧。考虑到临床表现的突然变化和发生医院获得性肺炎的可能性,给予万古霉素(1750 mg,然后每8小时静脉注射1 g)和头孢吡肟(每8小时静脉注射一次)治疗。将钙值转换成mmol/L需乘以0.250。将血尿素氮值转换为mmol/L需乘以0.357。将肌酸酐值转换为μmol/L需乘以88.4。将总胆红素值转换为μmol/L需乘以17.1.![]()
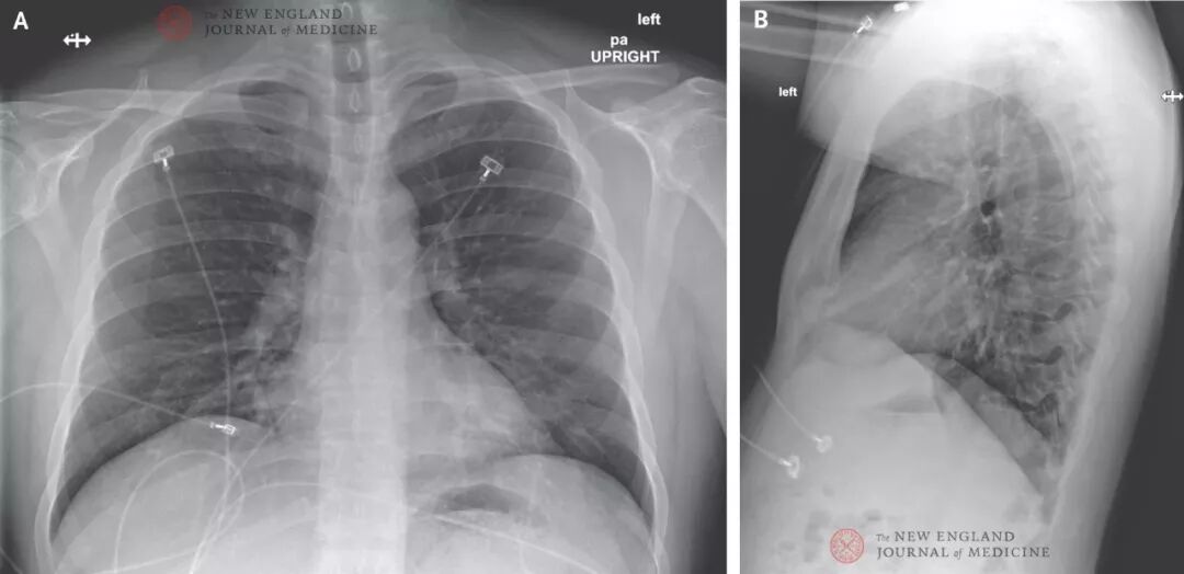
图3. 后前位及侧位胸片,2020年1月22日(发病第7日,住院第3日)。胸内片平扫无异常提示。
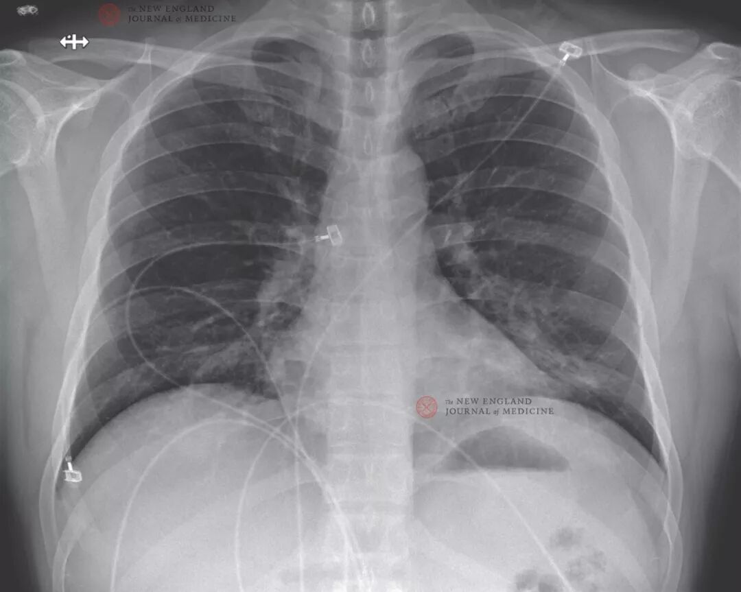
在患者住院第6日(发病第10日),第4次胸片检查显示双下肺条索状阴影。胸片结果与不典型肺炎诊断吻合(图5),双肺听诊提示有水泡音。根据患者的影像学检查结果,开始吸氧的治疗决策,患者的持续发热,多个样本的2019-nCoV RNA持续阳性结果,以及有报道指出其他患者在与该患者的影像学肺炎一致的时间段发生重度肺炎[3,4],因此临床医师将一种试验性抗病毒药进行了特许用药。住院第7日晚上,这名患者接受了remdesivir(一种处于研发阶段的核苷酸类似物[10,11])静脉输注,无明显副作用。第7日晚上,得到连续阴性的降钙素原水平和耐甲氧西林金黄色葡萄球菌PCR阴性结果后,停用万古霉素,第8日停用头孢吡肟。图4. 2020年1月24日后前位胸片(发病第9日,住院第5日)。左肺下叶毛玻璃样改变加重,提示肺炎可能。
图5. 正位胸片和侧位胸片,2020年1月26日(发病第10日,住院第6日)。肺叶底部呈持续毛玻璃样斑点,提示可能为非典型肺炎;毛玻璃样改变随时间推移不断增强。
在住院第8日(发病第12日),患者临床症状得到改善。停止了吸氧治疗,患者呼吸环境空气时的氧饱和度也提高到94~96%。之前双下肺的水泡音也消失。患者食欲也出现好转,除了间歇性干咳和流涕外,无其他临床症状。截止2020年1月30日,患者还在住院治疗。但无发热,除咳嗽改善比较缓慢外,所有其他临床症状均消退。用于2019-nCoV诊断检测的临床样本是依照美国CDC指南采集[12]。鼻咽和口咽拭子样本是采用合成纤维拭子采集;每个拭子被放入装有2~3 ml病毒运送培养液的单独无菌试管中。血清被采集到血清分离管中,然后依照美国CDC指南离心。尿液和粪便样本分别采集到无菌样本容器内。运送到美国CDC之前,样本在2°C~8°C保存。用于重复2019-nCoV检测的样本是在发病第11和12日采集,包括鼻咽和口咽拭子、血清、尿液和粪便样本。
2019-nCoV的诊断检测
临床样本是通过根据公开病毒序列开发的rRT-PCR检测法进行检测。与之前严重急性呼吸综合征冠状病毒(SARS-CoV)和中东呼吸综合征冠状病毒(MERS-CoV)的诊断检测法相似,2019-nCoV的诊断检测法包括3个核衣壳基因靶点和一个阳性对照靶点。关于该检测法的说明[13]及rRT-PCR引物和探针[14]的序列的信息参见关于2019-nCoV的美国CDC实验室信息网站[15]。
基因测序
2020年1月7日,中国研究人员在美国国立卫生研究院GenBank数据库[16]和“全球流感数据共享计划”(Global Initiative on Sharing All Influenza Data,GISAID)[17]数据库共享了2019-nCoV的完整基因序列;之后又发表了关于分离2019-nCoV的报告[18]。核酸是从rRT-PCR阳性样本(口咽部和鼻咽部)提取出,并在桑格和二代测序平台(Illumina和MinIon)进行了全基因组测序。序列组装采用的是5.4.6版Sequencer软件(Sanger);2.17版minimap软件(MiniON)和1.3.1版freebayes软件(MiSeq)。将完整基因组与已发布的2019-nCoV参考序列(GenBank登录号NC_045512.2)进行了比较。
表2. 2019新型冠状病毒(2019-nCoV)的实时逆转录酶聚合酶链反应检测结果。** 循环阈值(Ct)较低表示病毒载量较高。NT表示未检测。
结果
2019-nCoV的样本检测
于该患者发病第4日采集的初始呼吸道样本(鼻咽拭子和口咽拭子)呈2019-nCoV阳性(表2)。疾病第4日的循环阈值(Ct)低(鼻咽样本为18~20,口咽样本为21~22),因此提示尽管患者的初始症状轻,但这些样本中的病毒载量高。发病第7日采集的两份上呼吸道样本仍呈2019-NcV阳性,并且鼻咽拭子样本的病毒载量仍然高(Ct值,23~24)。发病第7日采集的粪便样本也呈2019-NcV阳性(Ct值,36~38)。两个采样日期采集的血清样本均呈2019-nCoV阴性。发病第11日和第12日采集的鼻咽和口咽样本显示出病毒载量下降趋势。发病第12日采集的口咽样本呈2019-nCoV阴性。我们仍在等待上述日期采集的血清样本rRT-PCR结果。
基因测序
口咽和鼻咽样本全基因组序列完全相同,并且与已发布的其他2019-nCoV序列几乎相同。在该患者的病毒和2019-nCoV参考序列(NC_045512.2)之间,只有位于开放阅读框8的3个核苷酸和1个氨基酸存在差异。该序列参见GenBank(登录号MN985325)[16]。我们报告的美国首例2019-nCoV确诊病例说明这一新暴发的疫情有几个方面尚未完全明了,包括传播动力学和临床疾病的全疾病谱。该患者曾前往中国武汉,但自诉在武汉期间未去过海鲜批发市场,未去过医疗机构,也未接触过任何患者。尽管其2019-nCoV感染的来源不明,但有关人际传播的证据已经发布。截至2020年1月30日,尚未发现与该病例相关的2019-nCoV继发病例,但对其密切接触者的监测仍在继续[19]。我们在患者发病第4日和第7日的上呼吸道样本中检出2019-nCoV RNA,且Ct值低,因此提示病毒载量高,有传播潜力。值得注意的是,我们还在患者发病第7日采集的粪便样本中检出了2019-nCoV RNA。虽然该患者血清样本的2019-nCoV检测结果反复呈阴性,但中国重病患者血液内已检出病毒RNA [4]。然而,肺外检出病毒RNA不一定意味着存在传染性病毒,目前尚不明确呼吸道外检出病毒RNA的临床意义。目前,我们对2019-nCoV感染的临床谱了解非常有限。中国已报告了重度肺炎、呼吸衰竭、急性呼吸窘迫综合征(ARDS)和心脏损伤等并发症,包括致死病例[4,18,20]。然而,需要注意的是,这些病例是在其肺炎诊断的基础上确定的,因此报告可能偏向更严重的结局,存在偏倚。我们的患者最初表现为轻度咳嗽和轻度间歇性发热,发病第4日胸片并无肺炎迹象,之后在发病第9日时进展为肺炎。在2019-nCoV感染的临床病程早期,轻度疾病的这些非特异性症状和体征在临床上与许多其他常见传染病可能无法区分,尤其是在冬季呼吸道病毒感染季。此外,该患者在发病第9日进展为肺炎,这一时间与最近一篇论文中报道的呼吸困难迟发相符(中位时间为发病第8日)[4]。尽管我们因患者临床状况恶化而决定特许使用remdesivir,但我们需要通过随机对照试验来确定remdesvir及用于治疗2019-nCoV感染患者的其他试验性药物的安全性和疗效。我们在本文中报告了美国报告的首例2019-nCoV感染患者临床特征。该病例要点包括患者看到关于疫情的公共卫生警告后决定就医;当地医务人员了解到患者近期曾前往武汉,之后当地、州和国家公共卫生工作人员彼此协调;识别出可能有2019-nCoV感染,因而可以迅速隔离患者,由实验室确认2019-nCoV感染,并将患者收入院,进行进一步检查和治疗。此份病例报告突显出临床医师面对因急性病症状而就诊的患者时,询问清楚近期旅行史或与其他患者接触史的重要意义,这样才能确保正确识别和迅速隔离可能有2019-nCoV感染风险的患者,从而减少疾病进一步传播。最后,此份报告还突显出我们需要确定与2019-nCoV感染相关临床疾病的全疾病谱和自然史、发病机制以及向体外排出病毒的持续时间,从而指导临床治疗和公共卫生决策。
Michelle L. Holshue, M.P.H., Chas DeBolt, M.P.H., Scott Lindquist, M.D., Kathy H. Lofy, M.D., John Wiesman, Dr.P.H., Hollianne Bruce, M.P.H., Christopher Spitters, M.D., Keith Ericson, P.A.-C., Sara Wilkerson, M.N., Ahmet Tural, M.D., George Diaz, M.D., Amanda Cohn, M.D., LeAnne Fox, M.D., Anita Patel, Pharm.D., Susan I. Gerber, M.D., Lindsay Kim, M.D., Suxiang Tong, Ph.D., Xiaoyan Lu, M.S., Steve Lindstrom, Ph.D., Mark A. Pallansch, Ph.D., William C. Weldon, Ph.D., Holly M. Biggs, M.D., Timothy M. Uyeki, M.D., and Satish K. Pillai, M.D. for the Washington State 2019-nCoV Case Investigation Team*
1. World Health Organization. Pneumonia of unknown cause — China. 2020 (https://www.who.int/csr/don/05-january-2020-pneumonia-of-unkown-cause-china/en/. opens in new tab).
2. World Health Organization. Novel coronavirus — China. 2020 (https://www.who.int/csr/don/12-january-2020-novel-coronavirus-china/en/.).3. Chan JF-W, Yuan S, Kok K-H, et al. A familial cluster of pneumonia associated with the 2019 novel coronavirus indicating person-to-person transmission: a study of a family cluster. Lancet 2020 January 24 (Epub ahead of print).4. Huang C, Wang Y, Li X, et al. Clinical features of patients infected with 2019 novel coronavirus in Wuhan, China. Lancet 2020 January 24 (Epub ahead of print).5. Centers for Disease Control and Prevention. 2019 Novel coronavirus, Wuhan, China: 2019-nCoV situation summary. January 28, 2020 (https://www.cdc.gov/coronavirus/2019-nCoV/summary.html.).6. Phan LT, Nguyen TV, Luong QC, et al. Importation and human-to-human transmission of a novel coronavirus in Vietnam. N Engl J Med. DOI: 10.1056/NEJMc2001272.7. Johns Hopkins University CSSE. Wuhan coronavirus (2019-nCoV) global cases (https://gisanddata.maps.arcgis.com/apps/opsdashboard/index.html#/bda7594740fd40299423467b48e9ecf6.).8. Centers for Disease Control and Prevention. Interim guidance for healthcare professionals: criteria to guide evaluation of patients under investigation (PUI) for 2019-nCoV. 2020 (https://www.cdc.gov/coronavirus/2019-nCoV/clinical-criteria.html.).9. Centers for Disease Control and Prevention. Infection control. 2019 Novel coronavirus, Wuhan, China. 2020 (https://www.cdc.gov/coronavirus/2019-nCoV/infection-control.html.).10. Mulangu S, Dodd LE, Davey RT Jr, et al. A randomized, controlled trial of ebola virus disease therapeutics. N Engl J Med 2019;381:2293-2303.11. Sheahan TP, Sims AC, Leist SR, et al. Comparative therapeutic efficacy of remdesivir and combination lopinavir, ritonavir, and interferon beta against MERS-CoV. Nat Commun 2020;11:222-222.12. Centers for Disease Control and Prevention. Interim guidelines for collecting, handling, and testing clinical specimens from patients under investigation (PUIs) for 2019 novel coronavirus (2019-nCoV). 2020 (https://www.cdc.gov/coronavirus/2019-nCoV/guidelines-clinical-specimens.html.).13. Centers for Disease Control and Prevention, Respiratory Viruses Branch, Division of Viral Diseases. Real-time RT-PCR panel for detection 2019-novel coronavirus. 2020 (https://www.cdc.gov/coronavirus/2019-ncov/downloads/rt-pcr-panel-for-detection-instructions.pdf.).14. Centers for Disease Control and Prevention, Respiratory Viruses Branch, Division of Viral Diseases. 2019-novel coronavirus (2019-nCoV) real-time rRT-PCR panel primers and probes. 2020 (https://www.cdc.gov/coronavirus/2019-ncov/downloads/rt-pcr-panel-primer-probes.pdf.).15. Centers for Disease Control and Prevention. Information for laboratories. 2019 novel coronavirus, Wuhan, China. 2020 (https://www.cdc.gov/coronavirus/2019-nCoV/guidance-laboratories.html.).16. National Institutes of Health. GenBank overview (https://www.ncbi.nlm.nih.gov/genbank/.).17. GISAID (Global Initiative on Sharing All Influenza Data) home page (https://www.gisaid.org/.).18. Zhu N, Zhang D, Wang W, et al. A novel coronavirus from patients with pneumonia in China, 2019. N Engl J Med. DOI: 10.1056/NEJMoa2001017.19. Washington State Department of Health. Novel coronavirus outbreak 2020 (https://www.doh.wa.gov/Emergencies/Coronavirus.).20. Chen N, Zhou M, Dong X Jr, et al. Epidemiological and clinical characteristics of 99 cases of 2019 novel coronavirus pneumonia in Wuhan, China: a descriptive study. Lancet 2020 January 30 (Epub ahead of print).
本文由《NEJM医学前沿》编辑部负责翻译、编写或约稿。对于源自NEJM集团旗下英文产品的翻译和编写文章,内容请以英文原版为准。中译全文以及所含图表等,由马萨诸塞州医学会NEJM集团独家授权。如需转载,请联系nejmqianyan@nejmqianyan.cn。未经授权的翻译是侵权行为,版权方保留追究法律责任的权利。
![]()
![]()