去年底今年初,3则异种器官移植新闻引爆媒体:两个美国团队分别为脑死亡人类受体移植经过基因编辑的猪肾,移植器官存活2天以上;另一团队为一名终末期心脏病患者移植基因编辑猪心,患者生存长达两个月(详见《世界首例患者成功移植猪心,NEJM综述异种移植优势、难点、风险和进展》)。然而迄今仅一项研究经同行评议正式发表,这些被媒体称作“重大突破”研究的科学细节披露甚少。
北京时间今天清晨,《新英格兰医学杂志》(NEJM)发表了两例基因编辑猪肾移植到脑死亡人类受体病例。纽约大学团队通过事先计划的详细病理解剖、分子细胞学和免疫学等分析,证明猪肾在54小时观察期内存活且发挥排尿功能,而且未出现超急性排斥反应。值得注意的是,虽然3个团队均使用同一公司生产的基因编辑猪,纽约大学团队移植的猪肾仅敲除一个降低免疫反应的基因,研究人员采用猪自体胸腺组织移植方式进一步减轻排异反应,但未像其他两项研究一样敲除猪逆转录病毒基因。在NEJM同期配发的观点文章中,美国麻省总医院移植科学中心主任、心外科教授Richard N. Pierson Ⅲ认为猪内源性逆转录病毒引起的潜在感染在临床上可能并不重要,而且一旦发生感染,可应用针对HIV感染开发的抗逆转录病毒药物治疗。《NEJM医学前沿》特邀复旦大学附属中山医院泌尿外科教授、上海市器官移植重点实验室主任朱同玉解读此项研究。阅读全文翻译,请访问《NEJM医学前沿》官网、APP或点击微信小程序图片。
2022年5月18日出版的《新英格兰医学杂志》(NEJM)报道了猪肾到人的异种移植病例。两例脑死亡受体分别于2021年9月和11月在纽约大学朗格尼移植研究所(New York University Langone Transplant Institute)接受异种移植手术。供体猪预先经过基因编辑,敲除可引起强烈排斥反应的α-1,3-半乳糖苷转移酶基因。研究者还将猪自体胸腺组织移植到肾包膜,以减轻排斥反应。异种移植手术获得成功,受者在54小时观察期内未发生严重并发症和排斥反应。移植肾始终维持粉色,灌注良好且发挥了排尿功能。两例移植受体的估计肾小球滤过率上升,肌酐水平下降,每小时尿量达到原肾的两倍以上。这些结果让人们看到了异种移植临床应用突破的曙光[1]。![]()
图1. 平均每小时尿量和动态估计肾小球滤过率(eGFR)
异种移植是解决器官短缺的根本途径。近30年来,随着免疫学基础理论和基因编辑技术的突破,异种移植的研究取得明显进步,向人类临床应用前进的步伐也越来越快。今年1月,《美国器官移植杂志》(Am J Transplant)发表世界首例敲除/插入十个基因的猪供体肾异种移植到人类脑死亡受体的论文。阿拉巴马大学伯明翰分校(University of Alabama at Birmingham)团队在完成移植后观察72小时,未发现患者超急性和急性排斥反应,且未观察到猪病毒复制[2]。2022年1月7日,新闻媒体报道了第一例真正意义上的人类活体异种移植的临床应用。马里兰大学医学院(University of Maryland School of Medicine)Bartley Griffith团队给一位患有严重心脏病的患者移植了经过与阿拉巴马大学供体猪同样的基因编辑猪的心脏。该患者存活超过两个月,刷新了人类异种移植的记录。虽然移植的心脏未发生超急性和急性排斥反应,但发现猪逆转录巨细胞病毒的感染现象。异种移植首先需要找到与人类生理需求相匹配的动物。最早的入选者是与人类最为接近的灵长类动物如狒狒等,但采用狒狒等作为供体面临数量稀少、繁殖不易、价格昂贵、脏器体积偏小以及有逆转录病毒感染危险等一系列问题。现在人们倾向选择小型猪作为供体,因为从体型大小到生理指标,小型猪都与人类非常接近,且其繁殖速度快,饲养培育方便,不存在伦理问题,是较为理想的选择。从这些早期临床研究看,猪作为供体,基本可以匹配人类的心脏和肾脏等器官的生理需求。异种移植还需要确认异种器官植入人体在外科技术上的可行性。NEJM发表的这两例猪-人异种移植手术从取肾到移植等过程采取了与人类相同的手术方式。尽管猪的肾血管壁很薄,移植手术仍非常成功,无明显技术障碍,没有出现致命的并发症,移植的肾脏可以立即恢复排尿等正常功能。而猪-人活体异种心脏移植更为成功,患者存活更长。这些工作表明,异种移植物在外科技术是可行的。![]()
图2. 胸腺肾原位照片
图A显示受者1刚刚再灌注后的胸腺肾;输尿管在右侧。图B显示再灌注54小时后受者1的胸腺肾;胸腺肾呈粉红色,没有缺血或梗死的外在表现。图C显示受者2再灌注后即刻的胸腺肾,图D显示54小时后的肾。图E显示了输尿管与重力引流系统(用于分离从胸腺肾获得的尿液)的连接设置和塑料筒仓的设置。超急性排斥反应是异种移植的最大障碍。超急性排斥是由于人类体内在移植前就已经存在的抗α-1-3-半乳糖(简称α半乳糖)抗体,这类抗体约占人体总抗体量的1%。α半乳糖抗原分子不在人体表达,但在大多数的动物和微生物中表达,因此α半乳糖能够激发人体强烈排斥反应。通过敲除猪体内三条这类多糖基因,使移植器官内不表达这类抗原,可以成功避免超急性排斥反应的发生。我们看到,在心脏和肾脏异种移植中均未发生超急性排斥反应,这表明通过敲除α半乳糖相关基因可以跨越异种移植的最大鸿沟。急性排斥反应是异种移植物长期存活的主要障碍。参与急性排斥反应的因素众多,包含固有免疫、适应性免疫以及凝血系统等。为降低这类排斥反应因素,科学家利用基因编辑的方法,在供猪体内插入两条人补体抑制基因(hDAF、hCD46)抑制补体活化途径,插入两条抗凝基因(hTBM、hEPCR)抑制排斥反应中的凝血途径,还插入两条免疫调节基因(hCD47、hHO1)。为抑制猪器官的持续生长,适应人体大小,科学家还敲除了生长激素受体基因。由此产生了4个基因敲除和6个基因插入的10基因编辑猪,简称10基因猪,而10基因猪供体心脏和肾脏移植的短期成功为更加精确的基因编辑奠定了基础。诱导形成对供体的免疫耐受是克服异种移植排斥反应的另一选择路径。本文的研究团队在异种移植前的2个月把同一供体猪的胸腺组织移植到自体肾脏包膜下面,并使其成功生长形成独特的“胸腺肾脏”,因此异种肾移植相当于同时移植了胸腺组织。前期猴实验发现,这样移植的胸腺组织可以进行T淋巴细胞的克隆阴性和阳性选择,达到诱导免疫耐受的作用,显著延长移植肾的存活时间。本文采用了同样的移植策略,两例均未发现明显的排斥反应。这是一个令人鼓舞的免疫耐受诱导新策略,其机制值得我们进一步研究。![]()
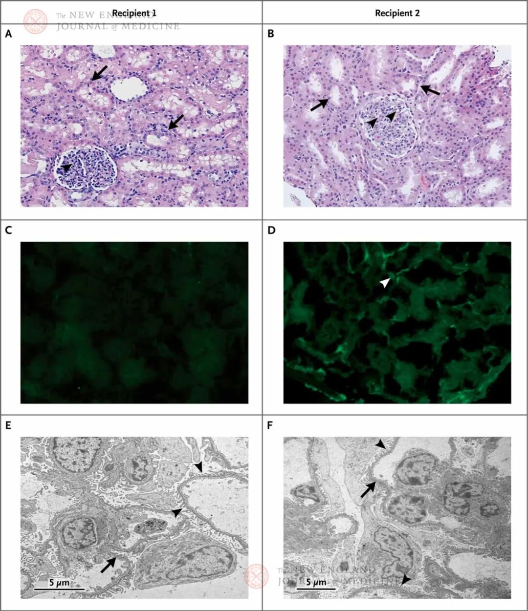
图3. 再灌注54小时后切除移植猪肾并进行活检的显微照片
苏木素伊红染色(图A和图B)显示正常的肾小球,有毛细血管袢,无微血管炎症表现(箭头),小管间质无明显的淋巴细胞浸润(箭形)。受体1标本的免疫荧光显微镜检查显示小管周围毛细血管无C4d染色(图C)。受体2标本的免疫荧光显微镜检查显示小管周围毛细血管局灶性C4d染色(图D,箭头)。同一时间点的超微结构成像(图E和图F)显示肾小球毛细血管袢与外观正常的肾小球基底膜(箭形)和完整的足细胞足突(箭头)。在异种移植进入真正的临床应用前,我们还需要对移植物进行更长时间的观察。移植后前半年是急性排斥反应的高峰时间,此后的慢性排斥反应将逐渐成为影响移植物存活的主要因素。一般情况下,脑死亡受体只能维持72小时左右的血液循环,这极大制约了脑死亡受体异种移植的观察时间。在有限的54小时观察期中,未发现超急性和急性细胞学排斥反应,但此病例中仍发现了可能引起体液排斥反应的蛛丝马迹,移植肾组织染色中发现少量C4d的沉积(通常用来评判体液免疫),这也许是体液性排斥的一个信号。排斥反应的参与机制复杂多样,除T细胞参与的细胞性排斥反应外,还有B细胞引起的体液性排斥。但人们对其关注还相对较少,而且也不能排除参与排斥反应的其他因素。这些都需要我们去深入研究。移植后病毒感染是必须关注的另一个重要问题。基因编辑供体猪在无菌环境中培育,研究人员在移植前对猪进行了全面的已知病原体筛查,显著减少了受者感染人畜共患病的传染风险,但这仍无法保证彻底消除病毒感染风险。例如,马里兰大学医学院团队在猪-人异种移植的心脏移植患者中发现了猪巨细胞病毒的感染迹象。我们不但要关注已知病原体感染,还要关注未知动物源病原体感染。在亿万年的进化过程中,不少病毒基因整合至宿主基因组中,成为动物的内源性病毒,在人类基因组中大约就含有8%的内源性病毒基因。这些内源性病毒是否会在新的环境中被重新激活?这一新的领域需要我们深入研究。异种移植物前路光明,但道阻且长。在真正进入临床应用前,仍需进一步优化编辑基因组合,探索更好的免疫耐受诱导策略,也需要关注内源病毒激活等一些列未知问题。两例猪肾人体异种移植的结果
Results of Two Cases of Pig-to-Human Kidney XenotransplantationMontgomery RA, Stern JM, Lonze BE, et al. DOI: 10.1056/NEJMoa2120238来自转基因猪的异种移植物已经成为解决人类移植器官短缺的最有希望的方法之一。这种策略的挑战在于超急性排斥反应。为了避免这一问题,我们将猪的α-1,3-半乳糖苷转移酶基因敲除,并在猪肾包膜下植入自体胸腺组织。
我们将此类转基因猪的肾脏移植到两个脑死亡的人体内,在研究期间,他们的循环和呼吸活动通过呼吸机维持。我们进行了连续的活检,监测尿量和动态估算的肾小球滤过率(eGFR),以评估肾功能和异种移植排斥反应。两名受者的异种移植肾在再灌注后迅速开始产生尿液。在54小时研究期间,在受者1和受者2中,动态eGFR分别从移植前的23 mL/(min·1.73 m2)增加至移植后的62 mL/(min·1.73 m2)和从55 mL/(min·1.73 m2)增加至109 mL/(min·1.73 m2)。在异种移植后,两名受者已经处于稳态的肌酐水平有所降低,受者1从1.97 mg/dL降至0.82 mg/dL,受者2从1.10 mg/dL降至0.57 mg/dL。移植的肾脏保持粉红色,灌注良好,在整个研究过程中继续产生尿液。在6、24、48和54小时进行的活检显示无超急性排斥反应或抗体介导的排斥反应的表现。异种移植肾的每小时尿量是原有肾的两倍多。来自猪的转基因异种移植肾在脑死亡的人体内仍能存活并发挥功能54小时,没有超急性排斥反应的表现(由Lung Biotechnology资助)。1. Montgomery RA, Stern JM, Lonze BE, et al. Results of two cases of pig-to-human kidney xenotransplantation. N Engl J Med 2022;386:1889-98.2. Porrett PM, Orandi BJ, Kumar V, et al. First clinical-grade porcine kidney xenotransplant using a human decedent model. Am J Transplant 2022;22:1037-1053.
作者介绍
![]()
朱同玉,医学博士,复旦大学附属中山医院泌尿外科教授,主任医师。现任复旦大学上海医学院副院长,上海市器官移植重点实验室主任,上海医学会器官移植分会主任委,中国医师协会器官移植分会常委,中华医学会器官移植学分会委员。
![]()
版权信息
本文由《NEJM医学前沿》编辑部负责翻译、编写或约稿。对于源自NEJM集团旗下英文产品的翻译和编写文章,内容请以英文原版为准。中译全文以及所含图表等,由马萨诸塞州医学会NEJM集团独家授权。如需转载,请联系nejmqianyan@nejmqianyan.cn。未经授权的翻译是侵权行为,版权方保留追究法律责任的权利。
![]()
![]()