With summer well underway and the temperatures climbing steadily, our kids will be spending more and more time outdoors. While this allows them to get their daily dose of vitamin D, it will also increase their risk of injury. This can be anything from scrapes and bruises to broken bones.
When parents suspect that their child has suffered a broken bone, they usually follow a set procedure for an at-home diagnosis. If the child is howling with pain and can’t move the affected area, it’s time to see the doctor. If the child doesn’t seem to be in too much pain and can continue to play, they can’t have broken anything and further investigation is unnecessary. But, according to Beijing United Family Hospital’s (BJU’s) Pediatric Orthopedic Surgeon Dr. Zhangping Gu, these parents would have it all wrong.
In order to help parents learn how to tell if their child has broken a bone – and what their first reaction should be if they do – we asked Dr. Gu to answer a few questions. How do the bone structures of children and adults differ?
First, I’d like to make one thing clear: Children are far from just miniature adults. It’s not just that they are smaller in terms of height and weight – their bodies are also very different from ours and far less developed. This includes their cardiovascular systems and their skeletal systems, as well as other areas.
Children’s bones contain lots of collagen and are coated with an extra thick layer of periosteum (a protective membrane that covers the bones). This allows their bones to grow quickly and heal faster than adults’. Whereas an adult will take two or three months to recover fully from a broken bone, a child will take only two or three weeks.
Are there any types of fractures that only children can get?
Yes – in fact, there are four types.
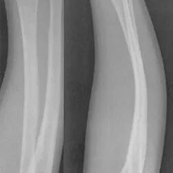
First, there is the fairly common greenstick fracture. This occurs when trauma to one side of the bone causes the other side of the bone to crack. The severity of a greenstick fracture can be very light – hard to see with the naked eye – or very severe, like the one in the image below.
The second type, a buckle fracture, is also fairly common in children. It causes a small protrusion on the edge of the bone, as can be seen in the image below.
The third type is called a bowing fracture or a plastic fracture. It happens when the bone becomes bent but does not break, as seen in the image below.
Finally, there are epiphyseal injuries. These refer to injuries to a bone structure unique to children: their growth plates.
(Editor's note: Growth plates are the areas of growing tissue at the ends of long bones of children and adolescents. When kids finish growing, their growth plates become deactivated and turn to bone. Because of the role of growth plates in a child’s vertical growth, parents may worry about keeping their child’s growth plates healthy. Other than growth plates, genes, nutrition, and exercise also help determine how tall your child will grow.)
Kids fall over and hurt themselves all the time. How can parents determine when it’s time to see the doctor?
After hurting themselves, if your child continues to cry for more than five minutes, it’s likely that there is a relatively serious issue and that they should go to the hospital right away. Also, if your child doesn’t cry much and you can’t see a clear sign of an injury but your child complains of tenderness and a limited range of motion, it might be a good idea to go see the doctor just to make sure everything is alright. Because children are naturally very active, it’s possible for them to sustain a bone fracture while still being able to move the affected area. If a fracture like this goes unnoticed, it may worsen to the point that it requires surgery rather than requiring a simple cast to heal.
Parents need to watch their children closely. Look out for a change in your child’s range of motion or strength and try to pay attention to whether they start to move or walk differently, perhaps as a result of an injury.
If parents are concerned that their child might have broken a bone, what is the first thing they should do?
If your child has a sprain or fracture, using an ice compress is a great way to relieve their pain. If they get injured at school or at home and it appears to be quite serious, you can try to make a splint to stabilize the injury and seek medical attention immediately. If the injury appears relatively mild, you can keep your child under observation for 24 hours before deciding whether they need to see the doctor.
If my child suffers a broken bone, what will their treatment be like? Will it affect them in the long term?
The treatment will depend on the severity of the fracture. For a mild fracture, the bone will be reset and your child will be given a brace. For a fracture of medium severity, a cast may be required. For severe fractures (as seen in older children, if the trauma causes significant bending of the bones, or if the fracture occurs in a key functional area of the body) then your child may require surgery or even the use of surgical pins or wiring.
As long as the injury is dealt with in a timely manner, your child shouldn’t suffer from long-term issues in the affected area. It’s important for your child to undergo checkups soon after their injury (within two weeks) and three to six months after.
What can parents do if they’re worried about exposing their child to radiation during X-rays?
There is no need to worry about this. First of all, nowadays we use digital X-rays, which give off very little radiation. According to the most recent medical reports, moderate and necessary radiation contact won’t be harmful to your child. The effects are so mild that even pregnant women can get them. Furthermore, doctors take special precautions to protect children’s fragile areas, like their thyroids and perianal regions. Finally, doctors will only order X-rays if they’re absolutely necessary. In general, depending on the severity of the injury, your child may have to get up to four X-rays.
Why would my child need to get more X-rays six months after their injury? Aren’t all these X-rays a little excessive?
When children break their bones, getting checkups three to six months after the event is incredibly important, especially when the fracture occurs near a growth plate. This is because we can only tell whether the injury has affected the child’s growth plate after a certain amount of time has elapsed. Should you wait for your child’s injury site to visibly show signs of distortion or disrupted growth rather than getting the checkup after three to six months, it will be too late to do anything about it.
Because children naturally are very active, they may still be able to move an injured area as long as the pain is lightly relieved – and this can cause their cast to become displaced. That’s why your doctor may order an X-ray in the early stages of your child’s recovery. In my experience, around 20% of fracture cases need to be retreated, as the injury may have been disrupted by the cast being displaced. This can happen even as soon as the day after the cast is set.
Dr. Gu received his medical degree from Shanghai’s Second Military Medical University in 1987. He was later awarded a medical master's degree in 1993 from Military Postgraduate Medical School. Dr. Gu researched and practiced Pediatric Orthopedics at the Children’s Hospital in Seattle (USA), the Texas Scottish Rite Hospital for Children Hospital (TSRH, USA), and the Kandang Kerbau (KK) Women’s and Children’s Hospital in Singapore.
Before joining Beijing United Family Hospital, Dr. Gu practiced in Nanjing BenQ Hospital’s orthopedic department as a chief doctor and expert in Pediatric Orthopedics. His primary focus was on the non-operative and operative treatment of bone and joint injuries, the conservative and surgical treatment of congenital deformities of hip dysplasia, clubfoot, and tibial pseudarthrosis, and the resection of bone and soft tissue. He also specialized in minimally invasive intramedullary nailing, surgical bone screws, and pedicle screw fixations.
In addition to over 20 years of clinical experience, Dr. Gu is published in several prominent medical journals including The Orthopedic Journal Of China, the Chinese Journal of Emergency Medicine, and Molecular Oncology.
Department of Orthopedics Clinic Hours: 9 am-5pm
To make an appointment with Dr. Gu, please call the Department of Orthopedics at 5927 7060 or the BJU Service Center at 4008-919191.
We're all made of skin and bone. Now that you know about keeping your children's bones healthy, here's what you can do to help protect their skin.
Are you a grownup with bone issues in your hips? Watch this clip to learn about SuperPATH minimally invasive hip replacements.
Have you had a great experience with your BJU nurse? Tell us all about it and win prizes!