小朋友总是对周围的事物充满了好奇
其中也包括了自己的身体
但有时好奇真的会坏了大事......
上个月,成妇儿妇科医生连续接诊了两个类似病例,让医生们头顶的天线一下就亮了起来。天气越来越热,再不给家长提醒一下可能就晚了!!!
“天气热起来了,孩子下面时不时会有臭味,而且越来越恼火,但是我们一直不知道原因。按道理来说,4岁的小朋友不应该有这种情况啊!”
6月13日,方女士(化名)带着4岁的女儿来到了成妇儿妇科门诊就诊。
“味道断断续续有一年多了,起初以为是正常的就没放在心上,最近味越来越大...”
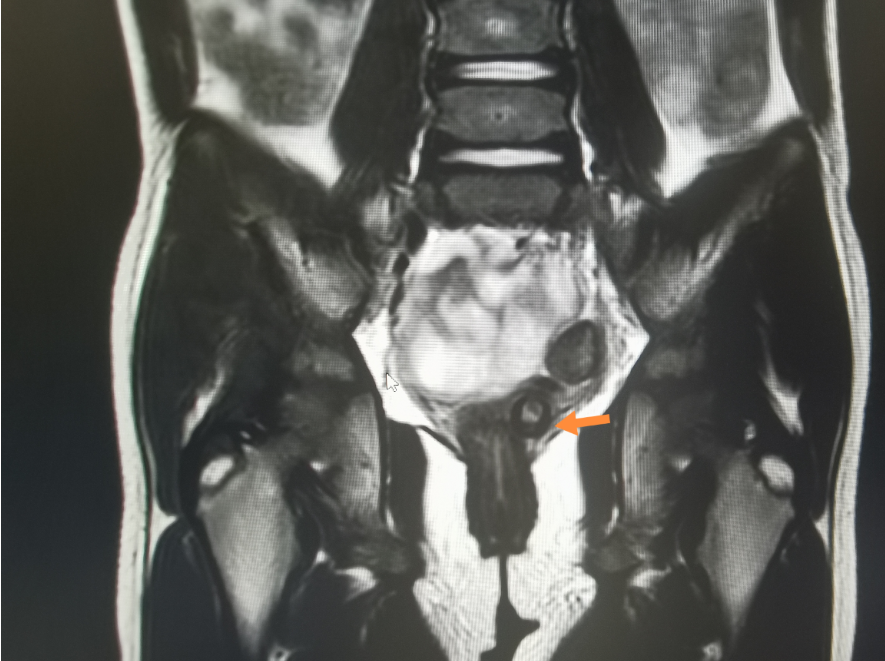
在给患儿完善了核酸检测及磁共振MRI检查后,医生发现报告结果提示阴道上段有两枚类圆形异物影。
在进一步肛查后,检查结果也显示可扪及阴道上段有两枚圆形的异物。
这是什么东西?怎么进去的?家长特别疑惑。面对不太会表达一直哭闹的4岁多的孩子,妇科医生当即决定进行阴道异物取出术。
手术在无菌的操作下进行,不到两分钟,这个可恶的“阴影”终于露出了真面孔,是两枚珍珠大小的珠子。
很难想象这两枚珠子竟在家长不知情的情况下在孩子阴道里藏了一年多,如果没及时取出来,后果不堪设想。
“孩子腹痛半个多月了,不知道是怎么回事。”6月底,林女士(化名)带着10岁的女儿来到成妇儿妇科门诊就诊。
引发腹痛的原因有很多,比如囊肿等,鉴于孩子腹痛已经挺长时间了,医生建议家长先带孩子做影像学检查,检查结果提示有尖锐的物品在阴道穹隆-宫颈区里,正是这个“尖东西”引起的腹痛,医生当即意识到有异物,给孩子做了手术。
手术前医生都不知道异物是什么,只知道是尖锐的物品,取出来之后大家都吓了一跳,居然是两枚图钉和一枚耳钉。
“孩子根本没有告诉我们她把东西塞进去了,我们根本不知道这个事,”林女士(化名)告诉医生。
医生推测孩子可能已经塞进去有一段时间了,由于日常活动,导致异物往身体里“跑”了不少。
什么是阴道异物?
所谓的阴道异物,就是指由于人为因素,或者是意外原因导致其他物体进入阴道,若异物在阴道留存时间过长,会造成阴道炎、阴道粘连等问题。这样的案例并不少见,特别是在炎热的夏天。
有的阴道异物如小发卡等尖锐物品,可能导致阴道壁裂伤、处女膜破裂等;一些腐蚀性强的异物如纽扣、电池等,更是会造成严重的影响。
主要一方面是由于孩子的好奇心所至
另一方面就是外阴发炎诱使
好奇心
阴道异物以4-10岁居多,此期间儿童开始接触社会,独立行动的机会较多,求知欲和好奇心增强。
在2-3岁的小宝宝身上也会发生类似事情,原因是孩子开始行走,与外界环境接触逐渐增多,模仿力不断增强,也可能因好奇心而将异物塞入阴道内。
外阴发炎诱使
幼女阴道上皮细胞薄,缺乏雌激素酸性杆菌,易受细菌感染,导致外阴瘙痒。
孩子痒得难受就可能往阴道里塞入异物刺激解痒,之后自己又很难取出,又不敢主动告诉家长,耽误治疗。
早穿满档裤
年龄较小的孩子,尽量不要离开家长的视线,尽早穿满档裤。
给予正确指导
孩子对身体的好奇心是正常的,家长要用平常心去看待并且给予正确的指导,根据孩子的年纪进行正确的性教育。如告诉男孩和女孩的不同之处,不能在陌生人前掉裤子,不能随便将异物塞入体内等。
培养卫生习惯
保证每天清洗外阴一次,勤换内裤,教孩子掌握卫生知识。如:便后应从前向后擦拭,以免粪便污染外阴。
预防呼吸道感染
外阴阴道炎也是引起阴道异物发生的诱因之一,部分是通过手指将身、咽部感染物质带入阴道引起的,因此要增强患儿体质,减少感冒的发生。
观察孩子外阴
有的孩子异物放入阴道后未告诉家长,异物在阴道时间较长,腐蚀刺激阴道粘膜,所以出现阴道有异味臭味,或有黑血流出,如发现孩子内裤有分泌物及血迹,请家长马上带孩子来医院就诊,以免耽误治疗。
关注孩子身边的物品
每天接孩子回家时仔细检查孩子的东西,如:发卡及学习用具等。
要选择适合年龄段的玩具,孩子好奇心重,模仿能力强,家长要根据孩子的年龄特点选择适合年龄段的玩具,以杜绝出现阴道异物的发生。
当阴道里有异物时,如处理不当,会严重影响幼女的身心健康。
如果家长在家发现孩子往下体塞了东西,千万不要用手去取。由于女童生理构造的特殊性,家长自己取极大可能导致女童出血、感染、处女膜破裂等情况,亦可能导致异物越来越深,加大取出难度,最好的办法就是立即就医。
专科医生大多可通过肛门指诊阴道异物推移法顺利取出,对于较深处的阴道异物,则需行宫腔镜检查取出,不放窥器,不钳夹宫颈,镜体纤细,取出异物同时检查阴道壁及宫颈,不会损伤阴道。
尤其是幼儿,在平时对于阴道有出血,分泌物增多,阴道异物感及有尿急尿痛等,家长应重视,认真查明原因,积极治疗防止并发症的发生。
邢丙真.幼女阴道内异物10例处理及体会【J】.中国社区医师(综合版)
宋鸿芳.116例幼女阴道异物护理指导【C】.281-282
宋鸿芳.幼女阴道异物分析与护理指导【C】.304-305
分享、在看与点赞
只要你点,我们就是胖友