【今日为 2021 年大年初一】
【首先,祝大家新年快乐!】
【感谢一如既往的相伴坚持】
目前十堂课程内容已全部推送完毕,敬请关注:
▲点击以上链接可进入课程页面▲
【本公众号仅作为学习笔记使用】
【前言】
质子泵抑制剂(proton pump inhibitor;PPI)是目前消化系统疾病诊疗中不可缺少的重要药剂,PPI的使用量逐年增加,特别是在高龄者中这种倾向非常显著。近年来,胃炎的内镜诊断的重要性已广为人知,认识PPI所引发的内镜所见,在临床上也变得很重要。
有报告显示,在服用PPI后壁细胞变性,在组织学上显示被称为PCP(parietal cell protrusion)的形态;H.pylori未感染者中,胃底腺息肉因服用PPI而增加,特别是以水肿样的内镜图像为特征;另一方面,在H.pylori阳性者中可见的增生性息肉,由于PPI引起的继发性高胃泌素血症导致息肉增大。在体部可见的多发白色扁平隆起也在PPI服用例中可见,在组织学上可见小凹上皮的增生性变化。
今日就以上内容做简单梳理,以明确PPI对胃黏膜造成的内镜改变、病理改变,以及作用机理,方便大家在日后内镜图像上提高识别力。
1. 伴随壁细胞障碍的变化
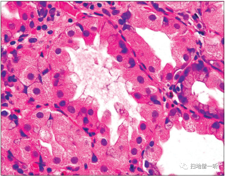
【病例1】
【铺路石样粘膜】
患者60多岁,男性。胃体上部的铺路石样粘膜所见。
▲组织学上发现壁细胞肿大,空泡变性。
PPI直接作用于胃壁细胞,在抑制胃酸分泌的同时,诱导胃壁细胞进入非生理状态。在病理组织学上,壁细胞肿大膨化,内腔侧呈锯齿状变化。这种病情在病理组织学上被称为PCP(parietal cell protrusion)。此外,在壁细胞中也可以看到增生性变化。上述变化并不反映特定的内镜观察结果,但在胃体部发现了铺路石样粘膜。
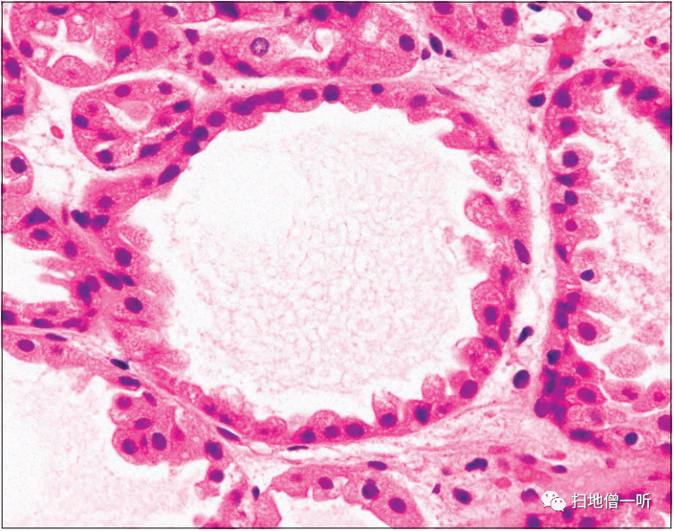
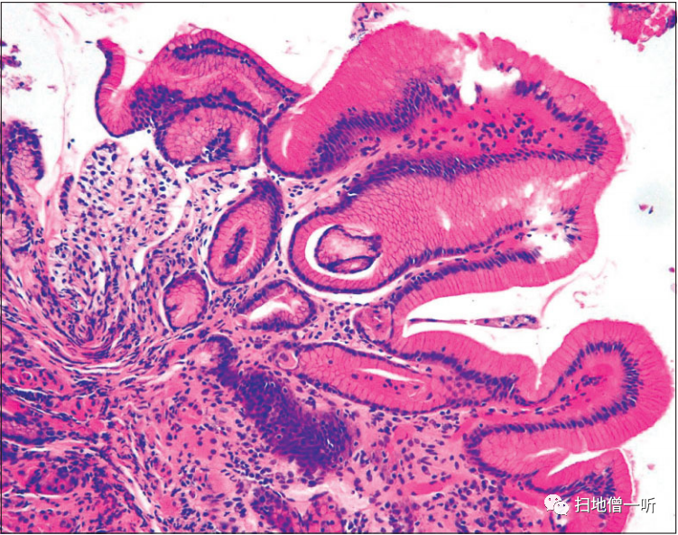
【病例2】
【胃底腺息肉】
患者70多岁,女性。呈水肿样外观的胃底腺息肉。
▲病理组织学上,主要由壁细胞构成的胃底腺囊胞状扩张以及壁细胞障碍。
胃底腺息肉是H.pylori阴性者的观察结果,国外的横向研究和队列研究表明,长期服用PPI者的胃底腺息肉增加。而且,在日本的队列研究中,表明了H.pylori阴性者的特征是使用PPI引起的胃底腺息肉增大。PPI中增大的胃底腺息肉的内镜特征是显示出水肿样膨化的多房样形态。在病理组织学上,主要由壁细胞组成的胃底腺有明显的囊胞状扩张所见,伴有类似PCP的壁细胞障碍。
2. 伴随小凹上皮增生的变化
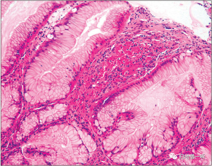
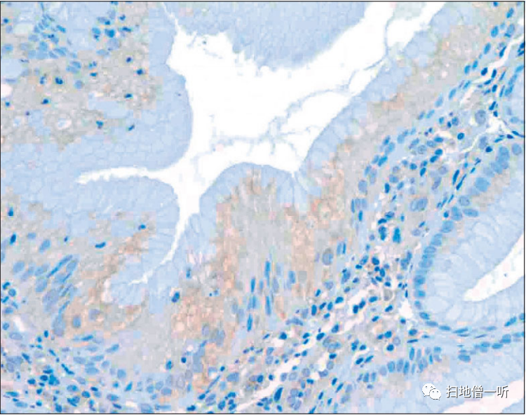
【病例3】
【内镜术后的瘢痕性增生性息肉】
患者70多岁,男性,内镜治疗后投用PPI,血清胃泌素显示出612.9 pg/ml的高值。投用PPI后,在溃疡瘢痕部发生增生性息肉。
▲在增生性上皮,发现了胃泌素受体。
〔Takamura A, et al. High expression of gastrin receptor protein in injured mucosa of Helicobacter pylori-positive gastritis. Dig Dis Sci 58:634-640, 2013より転載〕.
PPI抑制胃酸分泌,诱导继发性高胃泌素血症。在日本的队列研究中,报道了长期使用PPI通过高胃泌素血症与胃增生性息肉的发生有关。以前,笔者等人用免疫组织化学的方法证明了胃泌素受体在胃肿瘤内镜治疗后瘢痕产生的增生性粘膜上皮中表达。此现象对于说明使用PPI引起的增生性息肉的增大是合理的机制。
【PS:大家有没有联想一下幽门口胃窦的增生性息肉为啥越切越大...】
【病例4】
【胃增生性息肉的变化】
患者70多岁,女性。血清抗H.pylori抗体效价(E―plate)为阴性(不足3U/ml)。贲门部的增生性息肉的大小为5mm(红色箭头)。
▼使用PPI/P―CAB 2年后,增大到30mm。附近的红肿息肉也显示了增大的倾向(蓝色箭头),正色调的胃底腺息肉(黄色箭头)没有大的变化。
▼将P―CAB变更为PPI后,在第2周的内镜检查中确认了息肉的缩小。
▲在增生性息肉(红色箭头)的活检标本中,息肉表层的小凹上皮是增生性的,但是没有发现异型性。
▲在胃底腺息肉(黄色箭头)的活检标本中,确认了壁细胞的增生以及PCP样所见。
因使用PPI而发现胃增生性息肉增大的病例。通过投用PPI/P―CAB,贲门部的增生性息肉显著增大,使用Bonoprazan 20mg时,血清胃泌素值为2820 pg/ml,显示出显著的高值。将Bonoprazan变更为雷贝拉唑后,变更后2周内镜检查发现息肉缩小,血清胃泌素值降低到970pg/ml。在病理组织学上,在增生性息肉中发现了小凹上皮的显著增生性变化,但没有异型性。在附近的胃底腺息肉中,在组织学上发现了PCP样所见。
【病例5】
【多发白色扁平隆起】(春间·川口病)
患者70多岁,女性,白光观察发现散在性白色小扁平隆起。
▲在放大观察中,观察到了条纹状的微细粘膜图案。
▲在病理组织学上,表层的腺窝上皮出现了增生性变化。
另外,在长期服用PPI的人中,以胃体部为中心,有时会出现散在性的白色扁平小隆起。本病变被称为多发性白色扁平隆起(春间·川口病变),有报告称在PPI服用病例中出现频率较高。病理组织学上发现小凹上皮增生。
已知高胃泌素血症会引起 ECL(enterochromaffin―like)细胞的增生,但在最新的系统回顾中,没有神经内分泌肿瘤和胃癌的发生报告。
参考文献部分来源: