By 超神经
场景描述:本期 arXiv 论文精选我们挑选了五篇九月份提交的 AI 方向论文,内容涉及机器人开发、人工智能安全、图像分类等多方向,涵盖实现方法、原理梳理、未来预期等,供大家学习参考。
关键词:arXiv 最佳论文
前段时间,我们曾汇总过五篇 arXiv 当月精选 AI 方向论文,点击以下链接查看以往文章↓
今天我们再一次收集了 9 月 arXiv 精选论文,在假期的中段,希望大家在玩耍之际不要忘记学习哦~
《A Framework for Data-Driven Robotics》
数据驱动机器人技术的框架
论文链接:https://arxiv.org/pdf/1909.12200.pdf
该框架基于机器人开发经验的大型数据集,展示了如何应用此框架,在真实的机器人平台上完成三个不同的对象操作任务。
作者通过特殊形式的人类注释,来监督机器学习奖励机制,从而处理无法直接获取奖励信号的现实任务。学习奖励值与来自不同任务的大型经验数据集结合使用,以批量 RL 学习离线机器人策略。
数据驱动工作流示意
《Superintelligence Safety: A Requirements Engineering Perspective》
超智能的安全性:从需求工程出发
论文链接:https://arxiv.org/pdf/1909.12152.pdf
「人工智能的安全性」向来是一个热门议题,一旦人类需求表达不明确,或者出现歧义,「超人工智能」极有可能对人类造成威胁。
作者看来,减少人类表达不清对机器的误导,还需要在需求工程方面进行很多努力,比如基于 AI 的复杂软件密集型系统的建设。
智能机器到达人类级别的预估实现时间
《Two-stage Image Classification Supervised by a STSS Model》
通过 STSS 模型指导 two-stage 图像分类
论文链接:https://arxiv.org/pdf/1909.12111.pdf
two-stage 策略已广泛应用于图像分类,但是,这些方法在第二预测阶段并没有考虑第一阶段的分类标准。在本文中,作者提出了一种新型 two-stage representation 方法(TSR),并将其转换为 two-stage 图像分类框架中的 Single Teacher Single Student (STSS)问题。
图像数据集: (a) COIL-100, (b) MNIST,(c) MUCT, (d) FEI, (e) YouTubeFace.
《Towards Explainable Artificial Intelligence》
可解释的人工智能
论文链接:https://arxiv.org/pdf/1909.12072.pdf
近年来,机器学习(ML)已成为科学和工业的关键支持技术。由于嵌套的非线性结构,深度学习模型的预测准确性难免会受到影响。
为了提高深度学习模型的准确度,作者采用可视化方法,并梳理了该领域的最新发展和应用,呼吁在实践中广泛使用可解释的学习算法。
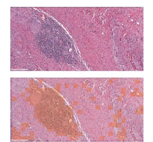
《Exascale Deep Learning to Accelerate Cancer Research》
Exascale 深度学习可加速癌症研究
论文链接:https://arxiv.org/pdf/1909.12291.pdf
在本文中,作者演示了可自动生成、针对特定应用量身定制的神经网络架构。该架构的衡量标准为预测的准确性和预测速度。
新架构整体速度较原始方法提升了近 16 倍,可以高效、准确地预测癌症发展阶段,方便医务人员跟进病情,及时调整治疗方案。
顶端图片为原始图片,底部图片通过橙色叠加层
突出了 TIL 出现的位置
以上就是 arXiv 9 月精选论文,大家可以复制链接在浏览器打开查看。
更多 AI 干货,敬请关注 HyperAI超神经公众号历史文章哦~
—— 完 ——
更多精彩内容(点击图片阅读)