以下文章来源于中华结核和呼吸杂志 ,作者中华医学会杂志社
关注中华结核和呼吸杂志,随时获取本杂志的相关资讯
摘要
变应性支气管肺曲霉病(ABPA)是曲霉过敏引起的一种变应性肺部疾病,表现为支气管哮喘和反复出现的肺部阴影,可伴有支气管扩张。该病并不少见,但由于该病临床表现多样,诊断标准不一,且需要特殊的实验室检查,临床上存在诊断不及时、治疗不规范等情况。为了提高ABPA的诊断和治疗水平,推动相关领域的临床研究,中华医学会呼吸病学分会哮喘学组有关专家于2017年制定了《变应性支气管肺曲霉病诊治专家共识》。第一版共识发表后,引起了国内同行的关注,对于提高ABPA的诊治水平发挥了作用。近5年来有关ABPA的研究和诊治取得了一些新的认识和进展,包括对发病机制的新认识,对诊断标准的探讨,以及有关糖皮质激素、抗真菌药物和生物制剂治疗的研究证据;专家组在充分掌握上述新进展的基础上,结合我国的临床实践,对共识进行了修订。
变应性支气管肺曲霉病(allergic bronchopulmonary aspergillosis,ABPA)是烟曲霉过敏引起的一种变应性肺部疾病,表现为支气管哮喘(简称哮喘)和反复出现的肺部阴影,可伴有支气管扩张。该病并不少见,但临床上常被误诊或漏诊[1];而早期诊断、及时给予恰当治疗,可控制病情,防止不可逆性支气管肺部损害的发生[2, 3]。事实上,其他真菌也可引起与ABPA相似的表现,统称变应性支气管肺真菌病(allergic bronchopulmonary mycosis,ABPM)。近年来,针对因气道内真菌定植诱导的IgE相关的嗜酸性粒细胞肺部浸润性疾病,有人提出了一个涵盖范围更广的疾病概念,即变应性真菌性气道疾病(allergic fungal airways disease,AFAD),其中包括ABPA/ABPM、真菌致敏性重症哮喘(severe asthma with fungal sensitization,SAFS)等[4]。
多年来,ABPA逐步引起我国临床医师的重视,病例资料不断见诸报道[5, 6, 7, 8, 9],但由于该病临床表现多样,诊断标准不一,且需要特殊的实验室检查,临床上存在诊断不及时、治疗不规范等情况。为了提高ABPA的诊断和治疗水平,推动相关领域的临床研究,中华医学会呼吸病学分会哮喘学组有关专家于2017年制定了《变应性支气管肺曲霉病诊治专家共识》[10]。第一版共识发表后,引起了国内同行的关注,对于提高ABPA的诊治水平发挥了作用。近5年来有关ABPA的研究和诊治取得了一些新的认识和进展,包括对发病机制的新认识,对诊断标准的探讨,以及有关糖皮质激素(简称激素)、抗真菌药物和生物制剂治疗的研究证据;专家组在充分掌握上述新进展的基础上,结合我国的临床实践,对共识进行了修订。
一、发病机制
ABPA的发病机制至今尚未完全明确,相关研究涉及个体易感性、病原特点及病原-宿主相互作用几个方面。即使具有相同的环境暴露,也仅有一部分哮喘患者会发生ABPA,提示宿主的遗传易感性在ABPA发病中具有重要作用[11]。曲霉定植有很强的遗传基础[12];有关研究提示,人类白细胞抗原(HLA)DR-2、HLA DR-5为ABPA人群的易感基因[13, 14]。此外,表面活性蛋白A2基因多态性、白细胞介素(IL)-10 1082GA启动子多态性、IL-4α链受体多态性、Toll样受体(TLR)3基因多态性[15, 16, 17]、囊性纤维化跨膜电导调节器(CFTR)基因突变[18] 和rs35699176基因变异[19]等,也与ABPA的发病相关。
烟曲霉分生孢子进入气道后,生长繁殖,发出菌丝,表面的病原体相关分子模式与宿主上皮细胞上的模式识别受体如TLR、C型凝集素(CTL)等结合[20],从而激活信号级联放大反应,产生炎性细胞因子、前列腺素和活性氧[21]。另外,真菌产生的初级和次级代谢产物、外蛋白酶等[22],导致真菌清除受损,气道上皮细胞破坏,固有免疫应答和适应性免疫应答被激活。肺泡巨噬细胞介导固有免疫应答,可吞噬吸入的分生孢子并阻止其萌发为菌丝。肺树突状细胞是抗曲霉分生孢子和菌丝的早期效应细胞,可激活适应性免疫反应[23]。曲霉特异性IgE介导的Ⅰ型超敏反应和特异性IgG介导的Ⅲ型超敏反应在ABPA的发病机制中起核心作用[24]。致敏的CD4+T淋巴细胞激活Th2细胞介导的炎性反应,释放白细胞介素IL-4、IL-5、IL-13等[25, 26],诱导多种趋化因子释放[27];B细胞产生大量IgE和IgG抗体,肥大细胞和嗜酸性粒细胞脱颗粒,释放炎症介质及细胞因子,后续级联效应进一步促进抗体的产生和气道内嗜酸性粒细胞浸润。管腔内的嗜酸性粒细胞直接与烟曲霉孢子相互作用,产生嗜酸性粒细胞胞外陷阱细胞死亡、细胞外陷阱(ETosis/ETs),从而介导气道黏液嵌塞[28]、支气管上皮细胞损伤、支气管扩张以及气道重塑等病理过程[29]。
二、临床表现
ABPA较常发生于哮喘患者,研究显示ABPA在哮喘中所占比例为1.0%~3.5%[30]。国内研究发现在连续就诊的哮喘患者中2.5%为ABPA[31]。一项系统性综述结果显示,在就诊于呼吸专科或哮喘专科的哮喘患者中,ABPA的比例可达12.9%[32]。除哮喘外,ABPA还可见于其他疾病。在欧美国家,肺囊性纤维化并发ABPA相对多见,病例汇总后所得患病率为8.9%[33]。此外,ABPA还可发生于其他肺部疾病患者,例如支气管扩张症[34]、慢性阻塞性肺疾病(简称慢阻肺)等[35, 36, 37]。
ABPA常表现为控制不佳的哮喘、中央性支气管扩张或肺部反复感染。值得注意的是,有的患者可无典型的哮喘样症状。由于临床对该病认识不足,易被漏诊或误诊,往往发展至晚期出现不可逆性结构改变才得以确诊。
与其他过敏性疾病常见于儿童不同,ABPA发病率在成年人更高[2]。主要表现为慢性咳嗽、咳痰、喘息、胸闷等,痰可为胶冻样黏痰或伴棕褐色黏冻样痰栓,还可见低热、消瘦、乏力或胸痛等。存在支气管扩张时,可有不同程度的咯血或血性痰。急性加重时出现较明显的咳嗽、喘息、咯血、咳大量黄黏痰等。缓解期上述症状可消失或明显减轻。
体检时肺部可闻及湿啰音或哮鸣音。由于黏液嵌塞可引起肺不张,体格检查可发现呼吸音减弱或闻及管状呼吸音。肺部浸润累及肺外周时,可发生胸膜炎,吸气时可伴胸壁活动受限和胸膜摩擦音。晚期患者可出现杵状指和发绀。
三、实验室检查
(一)皮肤试验
皮肤试验是诊断烟曲霉致敏的传统方法,检测方法简单、快速,包括点刺试验和皮内试验,皮内试验比点刺试验更敏感。对烟曲霉抗原的皮肤超敏反应提示患者体内存在烟曲霉特异性IgE抗体。皮肤试验的局限性在于质控要求高、患者耐受性较差、存在一定的过敏反应风险等。单独采用皮肤试验作为筛查工具亦存在漏诊的风险,建议同时进行血清特异性IgE(sIgE)测定。
(二)血清学检查
1. 血清总IgE测定:血清总IgE水平升高是ABPA诊断的主要标准之一,也是随访中观察治疗效果和疾病复发的关键指标。就诊前接受治疗、尤其是全身激素治疗,可导致血清总IgE下降。因此,一旦怀疑ABPA应尽早在治疗前进行总IgE测定,在治疗过程中应动态监测总IgE的变化以指导药物调整。关于诊断ABPA的血清总IgE界值,目前大多数学者建议为>1 000 U/ml(1 U/ml=2.4 ng/ml)[11,38]。ABPA经治疗后,血清总IgE水平可降低,但在大多数患者不会降至正常范围,因此需要多次随访并确定其个人的基线值。如果总IgE水平出现明显回升,提示疾病复发。如果在未经全身激素治疗时血清总IgE处于正常水平,一般可除外活动性ABPA。
2. 特异性IgE测定:血清曲霉sIgE是ABPA的特异性诊断指标,用于诊断曲霉致敏和ABPA的界值为>0.35 kUA/L(A为变应原)[11]。目前可用于检测sIgE的方法有多种,其中以ImmunoCAP系统的荧光免疫法最为可靠,推荐使用该方法同时检测血清总IgE、烟曲霉sIgE和(或)其他变应原sIgE。
3. 烟曲霉特异性IgG(sIgG)测定:采用酶联免疫法、荧光免疫法等均可检测血清sIgG。50%~90%的ABPA患者可出现曲霉sIgG阳性[11,39],sIgG虽然对于ABPA的诊断特异度不高,但作为辅助诊断指标之一,有助于提高ABPA的诊断率[39]。用于诊断ABPA的血清sIgG界值因不同检测方法而异,ImmunoCAP荧光免疫法检测的界值为>27 mgA/L(A为变应原),敏感度高且重复性好,也可用于治疗过程中sIgG水平的动态监测[11]。如果ABPA患者出现高滴度的曲霉sIgG抗体,同时伴有胸膜纤维化或持续性肺部空洞形成,则提示合并慢性肺曲霉病。传统的琼脂凝胶双扩散法检测血清沉淀素已不常用。
(三)血嗜酸性粒细胞计数
ABPA患者常有外周血嗜酸性粒细胞计数升高,但对于诊断ABPA的敏感度和特异度不高[2];由于外周血嗜酸性粒细胞与肺部嗜酸性粒细胞浸润程度并不平行,即使外周血嗜酸性粒细胞计数正常,亦不能排除ABPA。目前建议将血嗜酸性粒细胞增多作为ABPA辅助诊断指标,诊断界值为>0.5×109个/L[11]。
(四)痰液检查
痰液(特别是痰栓)显微镜检查可发现曲霉菌丝,偶而可见到分生孢子,嗜酸性粒细胞常见,有时可见夏科-莱登(Charcol-Leyden)结晶。ABPA患者痰曲霉培养阳性率为39%~60%[11],考虑到痰培养中曲霉易于造成污染,需重复进行,多次出现同一真菌才有意义。虽然曲霉培养阳性对于ABPA的诊断并非必需,但考虑到耐药问题,建议在使用抗曲霉药物前进行痰培养,可根据药敏试验结果选择用药。
(五)胸部影像学表现
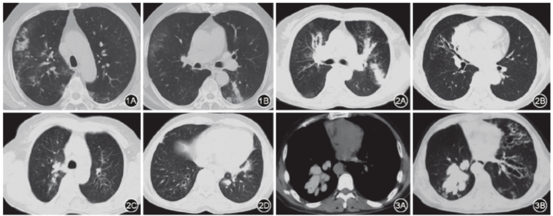
ABPA的影像学表现为肺部浸润影和实变影,肺浸润呈均质性斑片状、片状或点片状,不伴叶间隙移位,上中下肺部均可分布。可以表现为一过性、反复性、游走性异常及永久性异常(图1, 2, 3)。在急性加重期可表现为一过性影像学异常,而疾病缓解或控制后肺部浸润减少,但可见基础肺部病变。在疾病后期可出现持久的影像学异常。
ABPA具有一定特征性的其他影像学表现,包括黏液嵌塞(图1)、支气管扩张(图2)、小叶中心结节、马赛克征等。
气道黏液嵌塞在ABPA很常见,在胸部高分辨率CT(HRCT)上可表现为「牙膏征」或「指套征」[3]或「树芽征」(图1,图2C)。当黏液嵌塞发生在扭曲的支气管中,呈现出的阴影称为「牙膏征」;「指套征」的形成是由于支气管扩张并远端闭塞,扩张支气管腔内充满黏液导致的[40];外周细支气管黏液嵌塞可导致「树芽征」。气道黏液栓通常为低密度影,但约20%可表现为高密度影[30],即气道内黏液栓密度高于脊柱旁肌肉的HRCT值(图3A、3B)。高密度的气道黏液栓对于诊断ABPA具有较高的特异度,并且已经被证实与初始免疫反应的严重性以及急性加重的频率相关[41]。高密度黏液栓不同于「钙化」,需注意鉴别。
中心性支气管扩张曾作为ABPA的诊断标准之一,但其敏感度仅为37%,鉴别诊断价值有限[42]。支气管扩张常见于肺上叶,约在1/3患者可延伸至周围支气管,因此认为支气管扩张只是ABPA的表现之一,而非诊断所必需。但是在临床上表现为支气管扩张症的患者,需进行ABPA的排除诊断。
个别ABPA患者在疾病后期可合并慢性肺曲霉病,影像学表现为胸膜纤维化、肺部空腔、曲霉球形成,部分可出现上肺纤维化。
图1 1例变应性支气管肺曲霉病(ABPA)患者胸部CT表现 1A:双肺片状渗出影、树芽征,右上肺为著;1B:左下肺黏液嵌塞征(指套征或牙膏征)
图2 ABPA患者胸部CT的支气管扩张表现 2A:左上叶舌段和左下叶黏液栓;2B:右中叶中央性支气管扩张;2C:右上叶指套征;2D:右下叶囊状支气管扩张和左下叶黏液栓
图3 ABPA患者胸部CT的气道黏液栓表现 3A:胸部CT纵隔窗表现为高密度影的黏液栓;3B:同一层面肺窗显示右下肺黏液嵌塞征,左肺支气管扩张
(六)肺功能检查
肺功能测定有助于ABPA的诊断及评估肺功能损害的严重程度,常作为治疗效果的评价指标。在轻度或早期ABPA中,部分可逆性气流阻塞是常见的表现,不可逆性气流阻塞和肺容量降低常提示疾病的进展。典型的阻塞性通气功能障碍表现为FEV1/FVC<70%,FEV1占预计值<80%。伴有肺纤维化、严重的支气管扩张,合并空腔性病变及慢性肺曲霉病等,可表现为混合性通气功能障碍。
(七)病理学检查
ABPA的诊断一般不需要进行肺组织活检,但对于不典型的病例,肺活检有助于除外其他疾病例如肺结核、肺部肿瘤等。ABPA的病理学特征包括:(1)支气管腔内黏液嵌塞,嗜酸性粒细胞等炎症细胞浸润(图4A),可见夏科-莱登结晶(图4B);(2)富含嗜酸性粒细胞的非干酪性肉芽肿,由淋巴细胞、浆细胞和嗜酸性粒细胞包围的组织细胞组成,伴或不伴有真菌菌丝,主要累及支气管和细支气管;(3)嗜酸性粒细胞肺炎;(4)支气管扩张。有时病变肺组织中可见曲霉菌丝(图4C、4D)。
图4 ABPA患者肺组织病理学表现(病理组织图片由广州呼吸疾病研究所病理科顾莹莹主任医师提供)4A:肺组织可见大量嗜酸性粒细胞浸润 HE 中倍放大;4B:夏科‐雷登结晶 HE 高倍放大(箭头所示);4C:烟曲霉菌丝 六铵银染色 高倍放大(箭头所示);4D:烟曲霉菌丝 过碘酸雪夫染色 高倍放大(箭头所示)
四、诊断、鉴别诊断和疾病分期
(一)诊断
诊断ABPA应根据相应的临床特征、影像学表现和血清学检查结果,主要包括:(1)哮喘或慢性咳喘病史;(2)血清总IgE升高,通常>1 000 U/ml;(3)血清曲霉sIgE升高,或皮肤试验曲霉速发反应阳性;(4)血清曲霉sIgG升高;(5)胸部影像学检查显示支气管扩张。其他有助于诊断的临床特征或辅助检查还包括咳黏液栓、外周血嗜酸性粒细胞增多、胸部影像学检查显示片状游走性阴影和(或)黏液嵌塞征、痰培养曲霉阳性等[38,43, 44, 45]。
2013年国际人类和动物真菌学会(ISHAM)专家组提出了ABPA诊断标准[30],简洁实用,有助于及时或早期诊断ABPA,及时治疗,改善疾病预后。因此在这一诊断标准的基础上,结合我国的疾病分布特点和临床实际情况,提出以下诊断标准。诊断ABPA须具备第1项、第2项和第3项中的至少2条(表1)。
1. 相关疾病:(1)哮喘,特别是难治性哮喘或重症哮喘;(2)其他疾病:支气管扩张症、慢阻肺、肺囊性纤维化等。
2. 必需条件:同时具备:(1)血清烟曲霉sIgE水平升高(>0.35 kUA/L)或烟曲霉皮肤试验速发反应阳性;(2)血清总IgE水平升高,通常>1 000 U/ml,但如果满足其他条件,≤1 000 U/ml也可考虑诊断。
3. 其他条件:(1)外周血嗜酸性粒细胞>0.5×109个/L;使用激素者可正常,以往的检查结果可作为诊断条件;(2)影像学与ABPA一致的肺部阴影:一过性病变包括实变、结节、「牙膏征」或「指套征」、游走性阴影,早期轻度的支气管扩张经治疗后可恢复;持久性病变包括支气管扩张、胸膜肺纤维化等;(3)血清烟曲霉sIgG抗体升高。
在具有相应的临床或影像学表现的患者,如外周血总IgE水平明显升高(例如>500 U/ml),即需警惕ABPA可能,应进行血清曲霉sIgE检测(或皮肤试验)、曲霉sIgG检测等。在缺乏上述检测条件的情况下,应转至具有条件的医院进一步诊治。
ABPA的临床表现缺乏特征性,尤其是在疾病的早期,可被误诊或漏诊多年,但哮喘是最常见的临床表现。建议对所有哮喘患者进行血清曲霉sIgE检测和(或)曲霉变应原皮肤试验,以明确曲霉致敏情况。对于曲霉致敏的患者,应行进一步检查以及时明确是否存在ABPA。对于存在曲霉致敏,但尚未达到ABPA诊断标准的患者应定期随访,以便在出现支气管扩张或肺功能明显受损之前获得及时诊断。
(二)鉴别诊断
曲霉和其他真菌在呼吸道和肺部引起的反应,临床上可有多种表现形式,包括真菌过敏性支气管炎、气道定植、SAFS、ABPA/ABPM、侵袭性肺真菌病等。ABPA也极易误诊为其他具有相似表现的呼吸道疾病,例如过敏性肺炎(外源性变应性肺泡炎)、嗜酸性粒细胞肉芽肿性多血管炎(eosinophilic granulomatosis with polyangiitis,EGPA)、伴发哮喘的肺嗜酸性粒细胞浸润症等。在我国,ABPA因其影像学表现多样,加之上肺野病变多见,常被误诊为肺结核[1,6,46]。有时ABPA的团块状阴影(黏液栓)可被误诊为肺部肿瘤。
SAFS是因真菌致敏导致的严重哮喘,其与ABPA在临床表现和实验室检查方面多有相似之处,不易鉴别,尤其是血清型ABPA。SAFS的诊断标准包括:(1)重症哮喘;(2)真菌致敏:真菌sIgE升高或真菌变应原皮肤试验阳性,但血清总IgE水平<1 000 U/ml[47]。SAFS患者血清真菌sIgG不升高(阴性),无肺部浸润和支气管扩张等影像学表现。
(三)疾病分期
根据临床表现、血清学和影像学检查,ABPA的自然病程可分为Ⅰ~Ⅴ期[2],对于评价患者个体的疾病状况和转归有帮助。Ⅰ期:新发的、活动性ABPA;Ⅱ期:临床和血清学缓解期;Ⅲ期:复发性活动性ABPA;Ⅳ期:慢性激素依赖性哮喘;Ⅴ期:进行性炎症和气道扩张引起的纤维-空洞病变,可导致进展性呼吸衰竭和死亡。需要指出的是,ABPA的病程不一定按照上述顺序演变;在患者就诊时,也难以预料其是否会进入缓解期,是否会复发,抑或持续进展。一般认为早期诊断和治疗可降低未来疾病进展的风险。
五、治疗
ABPA的治疗目标包括控制症状,预防急性加重,防止或减轻肺功能受损,预防支气管肺结构出现不可逆性损害。ABPA患者应尽量避免接触曲霉等变应原,脱离过敏环境对于控制症状、减少急性发作非常重要。药物治疗在抑制机体曲霉变态反应的同时,清除气道内曲霉定植,防止支气管及肺组织出现不可逆损伤。
(一)激素治疗
口服激素是ABPA的基础治疗,能有效抑制过度免疫反应,并减轻曲霉引起的炎症损伤。早期应用口服激素治疗,可防止或减轻支气管扩张及肺纤维化。大部分患者对口服激素治疗反应良好,短时间内症状缓解、肺部阴影吸收(图5)。口服激素的剂量及疗程取决于临床分期[2]。有研究提示,中等剂量激素与高剂量激素在治疗效果上相当,同时不良反应更少[48]。对于并发哮喘急性发作期的ABPA患者,推荐中等剂量口服激素,以尽量减少激素带来的不良反应。高剂量激素并不能为患者带来进一步疗效获益,也不会延缓其进展为激素依赖性ABPA的时间[30]。Ⅰ期和Ⅲ期患者使用的泼尼松起始剂量推荐为0.5 mg/kg,1次/d,2周;继以0.25 mg/kg,1次/d,4~6周;然后酌情减量,建议每2周减5~10 mg,可隔日给药[2,30]。治疗时间依据疾病严重程度不同而有所差异,总疗程因人而异。Ⅳ期患者可能需要长期口服小剂量激素维持治疗。合并糖尿病的患者应尽可能减少激素的剂量,并密切监测血糖,及时调整降糖药物[49]。
图5 1例ABPA患者口服激素治疗前后肺部CT影像学变化 5A:治疗前黏液嵌塞征;5B:另一层面显示治疗前黏液嵌塞征;5C:口服泼尼松治疗8周后显示黏液嵌塞征消失,遗留局部支气管扩张;5D:另一层面显示治疗后黏液嵌塞征消失
关于单用口服激素和口服激素联合抗真菌药物的疗效比较,国内的回顾性研究表明联合治疗可延缓ABPA患者首次出现急性加重的时间[50],而印度的1项随机对照试验也发现联合治疗组患者急性加重减少的趋势[51]。在口服激素与伊曲康唑(itraconazole)联用时,需注意其相互作用可能导致糖尿病控制的恶化[52]。
激素静脉冲击疗法可能对于难治性、长期使用激素但病情恶化的ABPA患儿有益[53];对于部分囊性纤维化合并ABPA的Ⅳ期患者,急性发作且对口服激素和抗真菌药物无反应时,短时间(3 d)激素静脉冲击疗法可有效[54, 55]。
单独使用吸入激素(ICS)并无临床获益[56, 57]。但全身激素减量至≤10 mg/d(泼尼松当量)时联合使用ICS可能有助于哮喘症状的控制,并减少全身激素用量。
(二)抗真菌药物
抗真菌药物通过减少气道真菌定植、减轻炎症反应而发挥治疗作用。抗真菌药物可以改善症状,减少口服激素的剂量,减少反复急性加重[58, 59],对于具有中心性支气管扩张患者的初始治疗,口服激素依赖或激素治疗后复发的患者,建议使用抗真菌药物。伊曲康唑可减轻症状,减少口服激素用量,同时降低血清总IgE水平、减少痰嗜酸性粒细胞数目[58,60, 61]。有研究发现伊曲康唑单药或泼尼松单药治疗ABPA急性加重,均显示出明显疗效[58,62],但伊曲康唑具有更少的不良反应[62]。伊曲康唑联合泼尼松治疗ABPA,治疗后1年内急性加重率较泼尼松单药治疗组低,且1年内急性加重率可降低10%以上[51]。成年患者伊曲康唑常规用量为200 mg/次,口服,2次/d,疗程4~6个月;如需继续用药,可考虑减至200 mg/次,1次/d,4~6个月[58]。伊曲康唑有口服胶囊和口服液两种剂型。服用胶囊制剂需要胃酸以利吸收,可与食物或酸性饮料一起服用,应避免同时服用质子泵抑制剂和抗酸药;而口服液则需空腹时服用。由于口服伊曲康唑生物利用度的个体差异大,有条件者建议进行血药浓度监测[63]。伊曲康唑的不良反应包括皮疹、腹泻、恶心、肝毒性等[63]。因此,建议用药期间监测肝功能。
其他唑类如伏立康唑(voriconazole)、泊沙康唑(posaconazole)也具有同样的疗效[64, 65]。研究发现伏立康唑单药与泼尼松单药治疗ABPA急性加重,具有相似的效果[66]。伏立康唑的用法用量为:200 mg/次,口服,1次/12 h(体重 ≥ 40 kg),或100 mg/次,口服,1次/12 h(体重<40 kg)[67];疗程同伊曲康唑。伏立康唑的不良反应包括肝功能损害、肢端水肿、皮疹、恶心、呕吐,均比较少见;视觉异常相对多见,停药后可很快恢复[63]。应用伊曲康唑、伏立康唑无效或无法耐受者,亦可试用泊沙康唑。
(三)生物制剂
1. 奥马珠单抗(omalizumab):奥马珠单抗是重组人源化抗IgE单克隆抗体,通过与IgE的Cε3区域特异性结合,降低游离IgE水平,同时降低效应细胞表面IgE高亲和力受体FcεRI表达而发挥作用。近年的临床研究显示奥马珠单抗治疗ABPA可改善症状,减少口服激素剂量,减少急性加重和住院次数,并改善肺功能[68, 69, 70, 71]。安全性良好,不良作用少见(主要表现为支气管痉挛、低血压、晕厥、荨麻疹、喉或舌的血管性水肿等)。对于激素依赖性或长期激素治疗有禁忌的患者可考虑使用。奥马珠单抗的治疗剂量需根据基线血清总IgE和体重,利用剂量表来确定给药剂量和给药频率(每2周或4周给药1次),最大的治疗剂量为600 mg,每2周1次。建议治疗16周后综合评估疗效,有效者建议继续用药,疗程至少12个月[72]。考虑到ABPA患者血清总IgE可明显升高,奥马珠单抗的最佳剂量选择仍需进一步研究明确。
2. 其他生物制剂:如美泊利单抗(mepolizumab)、瑞利珠单抗(reslizumab)、贝那丽珠单抗(benralizumab)、度普利尤单抗(dupilumab)等,通过阻断2型炎症反应而发挥治疗作用。有个例或小样本研究报道,用于常规治疗无效的ABPA患者,可改善症状,减少急性加重次数[73, 74, 75],不良反应少,但目前不作为常规推荐。
六、病情监测和预后
ABPA患者接受治疗后,最初每6~8周随访1次,评估症状、血清总IgE水平、X线胸片、肺功能等。症状缓解,肺部阴影消失,外周血嗜酸性粒细胞降低,血清总IgE降低并稳定,可视为病情缓解。
总IgE水平是反映ABPA疾病活动性的重要指标,但通常难以恢复到正常范围,治疗目标是使患者总IgE水平下降50%以上。Ⅰ期或Ⅲ期患者每6~8周监测总IgE,达到治疗目标以后,每2个月复查1次;完全缓解后,每6个月至1年复查1次。临床缓解期患者个人的总IgE最低值可视为基线水平,若总IgE较基线水平升高>2倍,即使没有出现临床症状及肺部浸润影等改变,也提示疾病复发。
血清曲霉sIgG虽然用于ABPA诊断和鉴别诊断,但在监测治疗反应方面无明显价值[76]。部分ABPA患者癌胚抗原(CEA)水平升高可能与嗜酸性粒细胞水平呈正相关,但是能否作为病情监测的指标,仍需要多中心的前瞻性研究进一步验证[77]。ABPA患者的血清胸腺活化调节趋化因子(TARC)显著升高,参与过敏性炎症的持续过程,并与真菌致敏、疾病严重程度和临床表现相关,是有潜在价值的治疗应答相关生物标志物[78]。
ABPA如能早期诊断并规范治疗,病情可缓解并长期控制,预后较好。即使大多数Ⅴ期患者,其病情也可以稳定数年,但肺功能受损严重(FEV1<0.8 L)的患者预后较差。肺功能检查可以评估患者肺通气功能受损程度,建议每年至少复查1次。ABPA远期并发症包括严重气流受限、肺不张、侵袭性肺曲霉病及肺纤维化。
七、有待研究的问题
当前我国哮喘患病率呈明显上升趋势,但临床控制率不容乐观,重症哮喘仍属常见[79]。在欧美专业学会联合发布的一份共识报告中,ABPA/ABPM被视为哮喘的一种内型,亦即具有独特发病机制的哮喘亚型[80],是重症哮喘或难治性哮喘的重要原因。但我国尚缺乏ABPA的临床流行病学资料。建议对我国不同地区哮喘人群特别是重症哮喘人群进行ABPA诊断检查以明确其患病率和危险因素。建议利用我国的病例资源优势开展大样本的队列研究,明确ABPA的自然病程和预后。
ABPA的发病机制目前仍不明确,主要涉及免疫机制和遗传易感性,建议进一步探索真菌致敏激活免疫反应的信号通路,筛选可能的治疗靶点。
从国内文献报道可以看出ABPA存在较高的漏诊率和误诊率[1,5, 6, 7, 8,46],治疗方案亦缺乏规范可循。因此有必要对我国ABPA的诊治现状进行调查,结果对于针对性地传播ABPA诊治知识、提高临床诊治水平、制订适宜性诊治规范有重要意义。
目前采用的ABPA诊断标准多为专家观点和共识意见,诊断所需的指标如曲霉皮肤试验、血清曲霉sIgE和sIgG检测等,很多医疗机构尚未开展;曲霉皮肤试验存在一定局限性,血清曲霉sIgG对于ABPA诊断特异度不高[11];重要诊断指标如血清总IgE临界值尚未统一;建议开展ABPA诊断标准的研究,为制订适宜我国人群的诊断标准提供科学依据。
口服激素是ABPA的基础治疗药物,但对于初始剂量、剂量调整、疗程等,均缺乏一致意见;建议开展相应研究予以明确。单独使用ICS并无临床获益[56, 57],但在ABPA患者激素减量时联合使用ICS是否有助于哮喘症状的控制,减少全身激素用量,并延迟首次出现急性加重的时间,仍需更多临床研究证据。抗真菌药物是ABPA重要的辅助治疗,由于疗程长,药物费用高,限制了临床应用,关于抗真菌药物的使用时机、推荐剂量和疗程,初始治疗口服激素联合抗真菌药物能否具有更多的临床获益,仍缺乏高级别的循证医学证据,建议开展相应研究,以探索适合我国国情的抗真菌药物治疗方案。近年临床研究显示奥马珠单抗治疗可改善症状,减少口服激素剂量,减少急性加重和住院次数,并改善肺功能。其他生物制剂如IL-5单抗、IL-5R单抗、IL-4Rα单抗等,可以改善症状、减少急性加重次数,但目前只有个例或小样本研究报道,期待未来开展更多的大样本临床研究以提供循证医学证据。
编写组成员:
沈华浩(组长,浙江大学医学院附属第二医院)、孙永昌(北京大学第三医院)、刘辉国(华中科技大学同济医学院附属同济医院)、黄克武(首都医科大学附属北京朝阳医院)、赖克方(广州医科大学附属第一医院)、张旻(上海市第一人民医院)、应颂敏(浙江大学医学院附属第二医院)、华雯(浙江大学医学院附属第二医院)、常春(北京大学第三医院)、李靖(广州医科大学附属第一医院)、金美玲(复旦大学附属中山医院)、董亮(山东第一医科大学第一附属医院)、陈如冲(广州医科大学附属第一医院)、蔡绍曦(南方医科大学南方医院)、马艳良(北京大学人民医院)
参加审定专家(按姓氏拼音排序):
包婺平(上海市第一人民医院)、董航明(南方医科大学南方医院)、酆孟洁(深圳市人民医院)、冯俊涛(中南大学湘雅医院)、郭雪君(上海交通大学医学院附属新华医院)、郭禹标(中山大学附属第一医院)、华树成(吉林大学白求恩第一医院)、黄华琼(浙江大学医学院附属第二医院)、霍建民(哈尔滨医科大学附属第一医院)、蒋毅(山西医科大学第一医院)、刘昀(西安交通大学第二附属医院)、莫碧文(桂林医学院第二附属医院)、邱忠民(同济大学附属同济医院)、宋颖芳(解放军福州总医院)、苏楠(中日友好医院)、苏新明(中国医科大学附属第一医院)、孙铁英(北京医院)、汤葳(上海交通大学医学院附属瑞金医院)、王刚(四川大学华西医院)、王平(解放军总医院)、王炜(首都医科大学)、王彦(重庆市新桥医院)、吴月清(天津医科大学总医院)、向阳(中南大学)、谢华(北部战区总医院)、杨冬(复旦大学附属中山医院)、姚红梅(贵州省人民医院)、姚欣(南京医科大学第一附属医院)、于化鹏(南方医科大学珠江医院)、云春梅(内蒙古自治区人民医院)、张清玲(广州医科大学附属第一医院)、赵丽敏(河南省人民医院)、赵云霞(河北医科大学第三医院)、甄国华(华中科技大学同济医学院附属同济医院)
参考文献(略)
作者:中华医学会呼吸病学分会哮喘学组
通信作者:孙永昌,北京大学第三医院呼吸与危重症医学科 北京大学医学部慢性气道疾病研究中心;沈华浩,浙江省呼吸疾病诊治及研究重点实验室 浙江大学医学院附属二院呼吸与危重症医学科
引用本文: 中华医学会呼吸病学分会哮喘学组. 变应性支气管肺曲霉病诊治专家共识(2022年修订版) [J] . 中华结核和呼吸杂志, 2022, 45(12) : 1169-1179. DOI: 10.3760/cma.j.cn112147-20220708-00579.
本文转载自订阅号「中华结核和呼吸杂志」(ID:cmjlung)
* 文章仅供医疗卫生相关从业者阅读参考
本文完
责编:Jerry
推荐阅读
1
2
3
关注我们
点击文末「阅读原文」,进入《呼吸界》官方网站