编前语
乔人立医生是美国洛杉矶南加州大学医学院临床医学教授,2020年3月,他在洛杉矶疫情最黑暗的时候临危受命,一连10个月坐镇震央的洛杉矶总医院ICU,救治超过千名新冠危重症患者,把病死率降低到全国平均值一半以下。
今天我来讲讲「COVID-19急性期的管理」,用一个实际病例把目前指南之类的现有知识「捋」一遍。
因为这三年的经历,非常了解大家现在的处境,我们都是同一战壕里的战友,面对各种困难,不只是不退缩,每天上班都相当于是在逆行,我们都是这样的无怨无悔。
准备这个报告时,我想起2020年4月2日。当时作为ACCP国际事务总监,我牵头组织了由中国呼吸医师学会,美国胸科医师学会,以及中国驻洛杉矶总领事馆共同组织的连线会议。当时正是疫情刚开始在美国疯狂扩散的时候,四位身处武汉与上海的抗疫领军人物(王辰院士、瞿介明教授,曹彬教授、詹庆元教授),介绍了武汉的救治、理论等知识以及上海「压平曲线」的经验。当时好几万人听这个报告,包括CDC的人,实际上美国防疫模式的雏形就是根据这次报告做出来的。没想到三年以后,我们还在互相介绍着新冠经验。
南加州大学下有三个附属医院,我平时主要的工作地点是凯克医学院(私立医院),平时原本不常去公立的洛杉矶总医院。新冠吃紧,洛杉矶总医院成了震央大本营,我被专门安排到总医院管ICU,因为哪里的医生顶不下来。从2020年3月底开始,将近11个月的时间都在总医院ICU里驻扎,当时的阵势大概和大家现在的经历差不多。总医院有8个ICU,每个ICU有16-20张床,所有ICU全都改成气流负压的新冠ICU。即使这样还是住不下、人满为患。这10个月期间,洛杉矶总医院的ICU里有2236个病例,其中我曾经经手的至少三分之一。从2021年,情况明显开始好转。2022年1月到现在,ICU一共才17个病例,其中还包括偶然新冠(因为其他原因进了ICU,新冠筛查是阳性)的情况,当时大家以为疫情就「过去了」,实际最近美国的新冠病例又开始增加了,但还没到吓人的地步。
一、门诊过程
这是一个真实的病例:68岁男性,既往史有高血压、糖尿病、前列腺肥大,更主要的还有急性淋巴性白血病,经过化疗后缓解,2022年4月做了骨髓移植。2022年11月时,他打来电话,自诉近两天嗓子疼、干咳、痰很少,胃口和一般活动能力都和基线差不多。体温38.7摄氏度,血氧饱和度97%,COVID-19检测呈阳性。
作为医生,接到这位患者的电话,你应该想到什么?该怎么办?这里牵涉着处理门诊患者的基本原则。有4个选择,1、吃降体温的药,2、开Paxlovid回家服用;3、紧急送到急诊室抽血、做胸片;4、收住院。
哪个是大家的选择?患者如果年龄符合、危险因素符合、一般情况还好的话,回家服用Paxlovid应该是指南推荐的标准选择。但这是一位骨髓移植患者,血液科做骨髓移植的医生对他,就像我们对待做过肺移植的患者一样加倍小心,坚持把这位患者收到医院里来服药。
我们做各种选择的根据是什么?现有指南列出来了6条:
第一条:要评估一下病情轻重、有多急。需要关注的症状是「气短」,或「氧饱和度」。发烧、嗓子疼,全身痛都是很难受的症状,但却并不足以作为判断病情严重程度的指标。
第二条:要验证一下患者的症状是不是因新冠引起的。现在在大多数人都新冠阳性的情况下,基本上就需要考虑是新冠感染。但仍然要想想,患者会不会合并了细菌感染、会不会感染了肺结核?或是链球菌咽喉炎?至少要排除一些可能。
第三条:要判断下这位患者进展成危重症的危险因素,如并发症、年龄、是否肥胖等。
第四条:要不要抽血看看是否有炎症风暴?拍张胸片?在门诊上,患者如果一般情况还好,现在的指南建议是「用不着」。一方面,检查结果不会改变治疗方案;另一方面,反而给患者增加了活动范围与接触人数,无故使感染播散的几率增大。
第五条:要不要把这位患者收住院?还是在门诊服药就可以了?这里面含有非医学因素,需要考虑他的家庭环境的安全性,有没有人照顾他?如果病情加重,有没有人会把他送到医院来?在同样病情下,可以根据这点来决定患者是否应该直接收入院。(前文提到的患者的主治医就是因为这条原因将他收治入院了,住院的主要目的是「监测」,而不是进行输液等「治疗」)。
第六条:目前情况下,来就诊的患者都有点「人心惶惶」,一定要做一些咨询,以安其心。
这6条是门诊最主要需要重视的,具体怎么做大家都很清楚了。
虽然目前新冠的整个病理生理还不完全清楚,但根据现有的临床证据,新冠的处理大致可以分成早期和晚期。这样区分的意义在哪里?
早期一般是在5天,最多10天以内,这时「病毒的感染和复制」是主要需针对的问题。过了这段时间后,炎性反应就开始出现了,包括炎症因子风暴、包括造成的组织损伤,这些共同导致的一个核心环节就是「会不会形成缺氧」。缺氧并不是因为患者呼吸到的氧少了,而是因为肺损伤损伤了血气交换屏障,影响氧吸收。这里的基本概念是,缺氧反映的是炎症损伤对肺的损伤程度。这是处理急性新冠的一个关键点。
对于早期新冠的处理,要考虑的是要不要给予抗病毒药,有什么药物可供选择?1、Paxlovid;2、瑞德西韦;3、高滴度的恢复期血浆。在这种情况下不要用激素,因为激素不是抗病毒的药,而是抑制免疫的药。此时使用反而有可能使病毒的侵犯更加严重。
病情严重程度的评估评估主要依据年龄、危险因素,和病情严重程度这三条。每条都有切实的客观依据。
无症状患者就不用讲了。什么是轻度?关键是没有证据提示「缺氧」,例如没有喘不上气、没有活动性呼吸困难。什么是中度?无论是从检查、分析、影像上,只要发现患者已经有了「下呼吸道感染」,不单纯是上呼吸道感染就叫中度了。这时还没出现缺氧。
什么是重度?就是已经开始出现缺氧时。想给大家提示一下,缺氧不等于「患者不行了」、至少不至于立刻致命,其意义是表明患者体内的所有储备已经用尽,只有稍微有点变化,就会进入到危重症状态。所以发现重症时就应该住院,因为到这种情况时,病情很可能在几分钟内就发生不可预期的改变。
什么是危重症?首先是ARDS规模的缺氧。第二,血流动力学已经不稳定,缺氧损伤的第一步生理变化就是血压降低。此外,各种过度的炎症反应、血栓形成等等都属于危重症。还有基础病加重,比如慢阻肺病加重、哮喘加重、糖尿病发展为酮症酸中毒等等。
再次强调,对病情的判断,每一点都要依据客观证据,而不能仅凭我们的主观印象。
二、住院决定
回到这位患者。他被收住院了、吃了Paxlovid,很快好转,5天就回家了。可是一个月以后,他直接来到诊所。这时,高烧39.9摄氏度、氧饱和度在呼吸补氧下89%,新冠仍然是阳性……这时应该考虑什么?鉴别诊断是什么?你又应该做什么?
这里大家一定要学会清楚的区分两个概念。一个是「rebound」,反弹或病情反复,它的本质就是「上一次感染没好」,仍然是同一个病毒。反弹一般都应该在第一次发病10天之内出现,而且症状往往比较轻。如果判断是病情反弹,那不需要再吃药了,但因为还有传染性的,仍然应该隔离。服用Paxlovid的患者反弹很常见。但如果认为这是「二次感染」,情况就不一样了,二次感染就意味着是一个新的感染,就需要按照新的病例处理。
在这里稍微讲讲基础的科研数据,日本一项研究发表在《nature》(自然)杂志上,观察新冠感染后,血清里的免疫球蛋白的浓度变化。大家知道一般情况下,感染初期生出的抗体应该是IgM,大致持续三个月左右消失,然后IgG开始逐渐上升,但新冠患者的血清免疫球蛋白浓度曲线不完全这样,IgM和IgG都在5~7天就开始上升,维持到10天,10天以后才达到真正抗体浓度平台期。相对我们的传统认知而言,稍有意外的是IgG也在几天内就开始上升了,在7天到10天达到平台期。根据这一数据,在7天之内,要考虑反复;7天、尤其是10天以后,就应该考虑是第二次(新的)感染了,因为抗体已经对前一个病毒形成了足够浓度。
我们系里有一位fellow做科研,一直在测系里每一个人的抗体反应曲线。我自己在没打疫苗时,IgG、IgM都是阴性,接种了辉瑞的疫苗(21天两针),接种第二针后才7天,IgG就很明显了,可是IgM一直不明显。重要的是,打完第二针6个月以后,我原有的IgG没有了。很多人是继续有的,但我们系里三个华裔的IgG全都消失了,不知道这是不是受遗传、种族的因素影响。但这并不等于免疫力没有了,因为我们的免疫力存储在记忆细胞里。这个检测是粗糙的,没显示出来可能只是因为没达到它的阈值。后来,接种了第一剂Booster Shot加强针6个月后,IgG没有再消失,反而更加强了。可见加强针确实有「加强」的作用,一定要鼓励患者去打疫苗。
三、危重症处理
再回到这个病例,这位患者收到医院了,做体检:体温39.7摄氏度,脉搏109,血压107/47mmHg(虽然还正常,但这是位高血压病人,对他而言偏低了)。呼吸也加速了,80%的吸入氧才勉强将氧饱和度维持在94%。计算出的氧分压和吸入氧浓度的比值(PF值)才75(比值在300以下时就开始考虑是ARDS),是很严重的缺氧了。患者此时也明显开始呼吸困难、嘴唇和手指出现紫绀。血气分析,pH7.35,二氧化碳分压32mmHg,这时有点过度通气了。氧分压是67mmHg(80%吸入氧的情况下),计算下来,PF值是75。
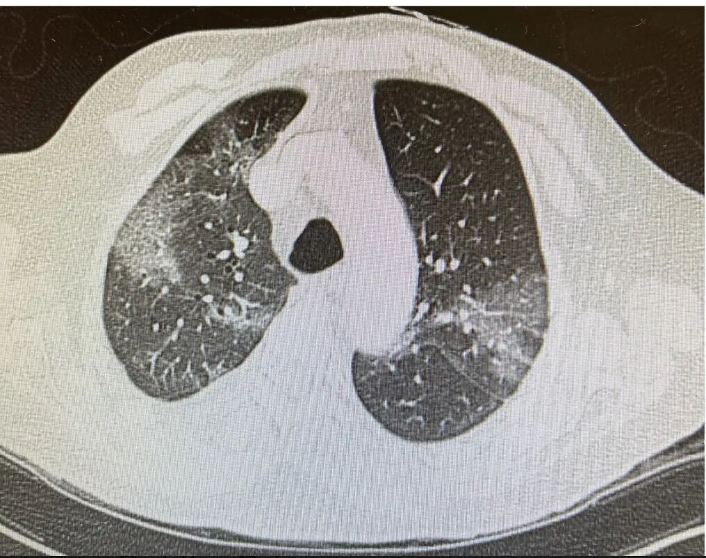
这时立刻做了CT(图1)。大家都应该很熟悉这样的图像,我再强调一下,新冠的CT图像特征是毛玻璃影,但毛玻璃影本身不是特征,关键它是片状的、外周分布型的毛玻璃。我选的这个截面偏高,因为要和后面的一张CT来做比较,实际患者的毛玻璃影从肺尖一直到肺底全都有,在肺底部更重一些。
图1:COVID-19 CT影像
血检查,D-二聚体3.66(正常值小于1),纤维蛋白原244,转铁蛋白1711(新冠中转铁蛋白作为一个炎性因子的指标,而不一定真的代表铁浓度)。患者其他的指标也都很高、高于正常值几倍。心肌酶0.237,偏高,我们认为这是缺氧导致的,并没做什么干预(大家记住这个数值,稍后分析病例下一步时会用到)。白细胞4.58,血小板19,血红蛋白7.5,这是不是因为新冠的影响呢?通常情况下,我们需要考虑是不是新冠影响了骨髓,但这位患者是一位白血病患者、骨髓移植术后患者,他的骨髓还没有完全达到正常人的水平,基线的血小板就在40以下,血红蛋白一直在8克左右。
真正和新冠比较有特异性关系的是「淋巴细胞比例偏低」,武汉疫情时,各种数据就提出,淋巴细胞偏低对判断预后有意义。另外,患者有轻微的转氨酶增高,乳酸5.3,有点升高,这纯粹是因为缺氧了。
做治疗决定时要保持基本概念清楚。这位患者显然是属于危重情况,所以才收进医院,收住ICU的。此时,治疗的主要目标必须瞄准抑制炎性反应,用地塞米松或甲强龙。指南上说,可以用瑞德西韦,但一定要在免疫抑制的基础上才能用。
新出来的还有两个免疫调节药可以可以考虑,JAK抑制剂和白介素6抑制剂。指南推荐危重症患者用地塞米松可以加用JAK抑制剂,或是白介素6抑制剂。因为这两个抑制剂价格昂贵、供应量偏小。如果无法获得,就单纯用地塞米松。这是指南特别强调的,而不能反过来,不能不用地塞米松而只有这两个抑制剂。实际上地塞米松完全可以达到这两个药的作用,费用还要更加便宜。
指南上还说,可以在免疫调节基础上可以加用瑞德西韦,因为瑞德西韦是针对病毒的抗病毒药,一定要在患者存在高危险因子时考虑使用,而且不要单独使用。现在我们都是循证医学,clinical trial的结果是什么就是什么,没有回旋余地。实际个人经验里瑞德西韦疗效微乎其微。
还有问题需要讨论,这位患者的D-二聚体比正常值高了差不多4倍,要不要用肝素呢?新冠抗凝的观念确实明显有变化。在疫情初期时,基本所有指南都是依据D-二聚体的浓度来决定肝素抗凝到什么程度,如果D-二聚体已经4倍高于正常值,当时推荐全剂量抗凝。现在不做推荐了,只推荐预防剂量的肝素。如果患者有其他胃肠道出血等等禁忌症的话则禁用,效果和害处的「益害比」已经有所变化。甚至指南专门提到,如果患者转入ICU前已经使用了治疗剂量肝素,就要考虑停掉它,除非有深静脉血栓等等指征。
这位患者收到ICU后,我们使用的是甲强龙、高流量鼻管吸氧、俯卧位、瑞德西韦。俯卧位是一直保持到现在的、认为对患者有好处的治疗手段。
四、详解激素应用
我们细致讨论下激素的选择。激素是个老药,尽管在新冠中启为新用,依据仍然是激素的药理。因此,给患者用激素时,不应该死板教条,自己首先要很清楚激素的药理作用、生理作用。我们在此把激素的基础知识先过一遍。静脉点滴可用的激素有三种,氢化可的松、甲强龙、地塞米松。作为药物使用和作为激素使用的区别在哪里?
如果它作为激素使用,作用是通过类固醇,和受体结合后再进入细胞核,进而影响细胞的代谢。而一旦作为药物使用,就比生理浓度高出几十倍,这时所有的受体都已经被饱和了。因此,虽然仍然称为「激素」,医师应该非常清楚,其药理是通过这些分子直接和细胞膜结合起到的药理作用,和「激素」作用已经基本无关。
三个ICU常用激素之间有所区别。首先,药物的强度不一样,按照大致的比例换算起来,以氢化可的松作为1的话,地塞米松是25倍,甲强龙是5倍;如果需要用100毫克的氢化可的松,那地塞米松应该才用4毫克、甲强龙用20毫克左右。还有一点更重要、和我们稍后的讨论非常有关的就是这些激素在药理「半衰期」。虽然生物半衰期可能很长,在危重情况的疗效要保持持续的血清浓度,使用氢化可的松需要一天三次、甲强龙一天三次、而地塞米松应该一天四次。
除了这些区别,各自的首选适应症也有不同。如果你是一位内分泌科大夫,患者出现肾上腺皮质功能不全、血压很低,首选用什么药?大家最先想到的肯定都是氢化可的松。
第二,如果患者出现创伤性的损伤,如脑损伤造成脑水肿、如耳鼻喉科的气管操作后的声门水肿。这时水肿虽然要属于炎症表现,但这些炎症不主要是细胞因子引起的,而是因为局部机械性损伤。对于神经外科医生而言,处理脑水肿该用哪个激素?大概人人都会选择用地塞米松。对于耳鼻喉科医生而言,患者声门水肿时,大家往往也会选择地塞米松。为什么会这样?因为这三种激素和细胞膜结合的亲密度不一样,所以造成的细胞反应有区别。
而我们作为呼吸科的医生,处理的肺内炎症反应多半都是细胞因子引起的,如过敏性肺炎、如NSIP,如肺移植急性排异、如狼疮肺炎,如类结节病,这些情况下要用激素,应该选什么呢?呼吸的教科书上一律指向甲强龙,而不是氢化可的松和地塞米松。
为什么要做这种讨论?现在面对新冠时该怎样选择激素用药?我们自己做过试验。激素的争论从SARS时就开始,却惜无定论。我曾经强力建议逆行武汉的同事一定抓紧测试激素效果,甚至写过专文,却仍然未得实施。所以我一接管ICU第一件事就开始测试激素效果。本来是有目的的想分组做试验,后来一看没法弄。一来,没有时间提交伦理批准进行正式试验。二来没有别人相信「激素对新冠有用」。这样,就顺其自然的形成了分组。
这项试验的主力是住院医和PCCM fellow,当然主意与设计是我拿。我们选的是甲强龙(甲强龙本身就是常规的临床用药,所以用了也没有人来找麻烦),因为我们觉得新冠的炎症因子风暴介导肺里的各种炎症细胞所致损伤应该是病理变化的核心。从2020年3月就开始坚持固定的激素方案。大概5月时,RECOVERY试验结果发表,证明地塞米松能降低新冠病死率,但改善后的病死率仍然超过20%。回想下我们对地塞米松的了解,它的强度虽然可以换算,但还有半衰期的问题、亲和力的问题,但是,既然现在要强力压制的是肺内的炎症因子风暴,地塞米松不应该是首选药,估计当时设计实验的不是呼吸科医生。不管怎么说,这个报告出来后,其他医生立刻全都给患者用上地塞米松了。反而有个好处,使得我们这项试验有了三组相对「齐头并进」的数据可以进行比较。
看看28天病死率,较之无激素的35%,甲强龙组降低到15%,而且较之地塞米松组有进一步改善。(图2)
图2:激素对新冠病死率的影响
刚接管ICU时,每天往外搬裹尸袋,我接管ICU后,直到一星期才出两个死亡病例,ICU护士们都已经开始欢呼了,大家确实看出差别了。所以即使RECOVERY发表并成为指南以后,我们延续使用甲强龙。从选用的剂量和时间上看,甲强龙方案的激素剂量换算后是地塞米松用量的两倍左右,RECOVERY研究中地塞米松用了10天,我们用的甲强龙是每3天测一次,如果有好转就立刻停药,最后甲强龙方案的平均疗程是7天。如果第7天时就停药,就可以直接停掉激素、不需要逐渐减量;但超过6天的话,就需要小心,逐渐减量更为稳妥。
五、并发症评估
再次回到这个具体病例:7天后,患者体温已经基本正常,生命体征、血压都好转。虽仍然需要吸50%的氧气,但是此时PFR比值为176,明显好转了。做了实验室检查,虽然炎症因子的指标还是较高的,但是比入院时全面降低了,心肌酶没有继续增高,肝功能也有所好转。血象等没什么变化,但我们认为影响血象的主导因素是「他是骨髓移植患者」,而不是因为新冠,所以没有多加关注。
结果两天后,12/18,世界杯决赛正在进行,肿瘤医院ICU打电话说,这位患者又开始出现缺氧,体温37摄氏度;心率139;出现了房颤;血压也不稳定了,收缩压97mmHg、舒张压57mmHg;呼吸频率30次/分,氧分压88%,吸入氧浓度90%;紫绀、气急。
这是怎么回事?现在的鉴别诊断应该想到什么?会不会出现并发症?突然缺氧会不会是因为出现了肺栓塞?会不会出现了细菌性肺炎,或各种脓毒血症?这两种情况大家都比较熟悉。在这里我给大家重点介绍另外两个概念,1、心肌炎;2、多系统炎症综合征(MIS)。
这位患者显然需要气管插管了(前几天用的一直是高流量氧疗)。肿瘤医院周末没有fellow值班,我必须老将出马。带着一位护士、一位呼吸治疗师准备好插管,当时的世界杯战况是阿根廷与法国3:3持平,患者这时不干了。他喘着气求我们:「等看完点球,再给我插管」。好在点球的结果很快出来了。
新冠患者的气管插管该怎么做?下图是现在的ICU里抢救的场景(图3),两位fellow在做气管插管。过去,我们做气管插管用直接喉镜,将患者下巴提起来后,医务人员的眼睛需要正对着患者的嘴来寻找声门、做气管插管。现在使用了新技术后,大大降低了医务人员被传播的危险。
图3:气管插管场景,操作者无需俯身
这是怎么做的?也许国内也有,这叫「滑镜」(Glide Scope)。滑镜加大了探柄的弯曲度、而且有录像探头,可以在屏幕寻找声门,不需要用眼睛直接看。这种镜子的好处包括,加大弯度的探柄不需要像原来做喉镜时那样大幅度上提患者的下颌、而且,操作者保持直立位就可以进行气管插管了。原先我们一直要求PCCM fellow常规使用直接喉镜,那是基本功。疫情中就完全不要求了,因为加大与患者口鼻的距离,可以大幅降低COVID-19下的暴露风险。
这时该怎么设置呼吸机呢?和ARDS的原则基本相同,就是低潮气量的肺保护,另外用俯卧位通气。具体给这位患者用的潮气量420ml、呼吸频率20、PEEP 8cmH2O、吸入氧浓度是70%。做完气管插管、呼吸机设置好后,第一件要看的、甚至比氧饱和度还重要的是要看患者的肺内机械(力学)指标。潮气量给了420ml,用的是容量通气,一定要注意看峰值压力有多高,如果超过30 cmH2O,就要赶紧调整,以免发生气胸或肺损伤。虽然这位患者的气道峰压29 cmH2O,肺顺应性换算下来虽然也偏高,但是远远不到强直性的肺损伤,例如肺纤维化那样的程度。这时就觉得可能不是新冠造成的。
特别谈一下「俯卧位通气」,俯卧位通气证明不仅可以改善缺氧状态,而且可以改善病死率。这是3年前做俯卧位的架势(图4),给患者使用旋转床。当时ICU里的景象是里面是旋转床、外面是输液泵,用管子把各种输的液引到门口来,至少护士进屋子的频率减少了很多、减少了暴露的可能性。一台旋转床大概是一辆高级奔驰车的价格,如果医院买不起那么多,就需要租用,一天的租金居然要价上千美元。
图4:疫情早期的新冠ICU场景
逼到各医院都没办法了。后来,从我们医院开始,每天交接班的第一件事就是先组织一个「俯卧小组」,八九位护士一起,一个人护住患者的头,其他人一起来给这位患者做俯卧,使用各种楔状海绵在体位两侧保护皮肤受压区,现在,哪个医院也不用旋转床了,想借旋转床发财的人竹篮打水一场空。
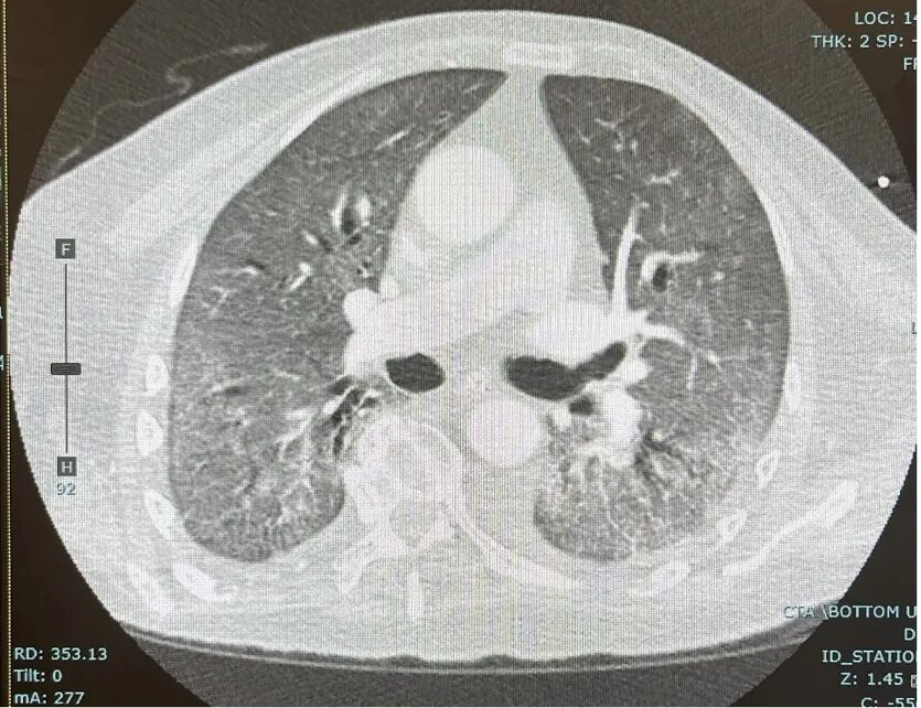
回到病例,突然缺氧患者必须要做CTPA,排除肺栓塞。栓塞倒是没有,可现在的肺野影像是这样的:(图5)
图5:肺水肿CT影像
与前面(图1)我所选的影像对比可以看到,现在的特征仍然是毛玻璃影,但是却是同质的毛玻璃影,不是片状的,而且整个两侧肺野都是这样,另外,在下肺野处明显有六角线出现,术语为小叶间隔增厚,表示淋巴液流量增加。在这种情况下,基本上可以根据这份CT确定是「肺水肿」的情况。肺水肿怎么来的?要做一些分析:1、前24小时的输入量和输出量,这位患者的输入量是1.7升,为了做CTPA、为了保护肾脏,又给了另外500毫升生理盐水点滴,整体的净输入量大概是2.2升。
另外,做重症的医生都得会做点超声。凭肉眼估计,这位患者的射血分数大概45%(患者基线为70%)。因此,患者带一点心源性原因、又有体液过度(水钠潴留),共同造成了肺水肿的发生。这时还做了血液检查,炎症指标并没有什么变化,心肌酶进一步降低了,淋巴细胞反而比原来正常了一点,其他的肝功能和乳酸也没有什么大区别。
怎么造成的肺水肿?心肌炎吗?目前还没有让人信服的证明,现在的倾向认为是「应激性心肌病」,要比心肌炎常见的多。处理应急性心肌病与心肌炎不同,预后也不一样。另外就是「多系统炎症综合征(MIS)」,MIS也是一种炎性反应,它的特征是发热,大血管炎,累及冠状动脉、主动脉、肾动脉,还有胃肠动脉,所以当患者表现出胃肠症状时,一定要判断是不是MIS。这位患者很显然可能性不大,因为没有明显胃肠症状,关键是没有发热,炎性反应因子相比原来有改善了,并没有增高。
这时,我们给他静脉注射了40毫克速尿,他一下排了差不多一升的尿,这也不用再做其他检查了,因为氧合很快改善了。做这个报告时,患者已经脱机了、不再气管插管,可见后面的病情反复是因为水液潴留,并不是因为新冠。
最近很多同行问,新冠康复后咳嗽,这是不是叫「长新冠」?已经有很多的文献证明,这叫「感染后气道高敏感性咳嗽,PIHA」。PIHA最早的报告是90年代,见于呼吸道感染痊愈后的持续性激惹性咳嗽。不仅见于新冠,不代表活动性感染,而是感染造成了气道上皮细胞破坏,使平滑肌细胞敏感,所以稍微一点冷空气都能引起咳嗽。最常见的原因就是各种病毒感染导致的,这并不是新冠特异的表现。
在上世纪90年代,刚开始报告这种情况时,根据气道分泌物DNA测试,曾经怀疑是不完整的百日咳杆菌感染,特征就是呼吸道感染痊愈4个星期后还在咳嗽。PIHA性质是良性的,最后都会恢复,一般需要4-6个月才能彻底恢复,这种咳嗽很令人难受,我们给患者的处理基本和哮喘相似,即使用支气管扩张剂。当时怀疑是百日咳时,曾经提倡采用红霉素。即使后来大家发现百日咳证据不足,我处理这种情况仍然觉得红霉素有效,为什么?因为红霉素具有非特异性的、抑制气道平滑肌炎症反应的作用。这一作用最早由日本人在限制性小支气管炎患者见到,现在连慢阻肺病,囊性纤维化等情况的患者都提倡用红霉素。其实不做治疗的话,患者自己也会好,但用点药,患者会很快见好。此时患者会觉得你「是有两下子」。
专家简介
乔人立
美国洛杉矶 南加州大学医学院临床医学教授,PCCM专科 美国内科学会,内科,呼吸疾病,危重症,睡眠医学四重认证专家,及 美国胸腔医师协会国际事务总监。中国协和,北医,301,湘雅,华西等14所医学院客座教授。中国PCCM专科培训教学大纲编写人,中国呼吸危重症专培教科书总编教材主编,医师报《小樵大夫在美国》专栏作者。
本文由《呼吸界》编辑 Jerry 整理、排版,感谢乔人立教授的审阅修改!
本文完
责编:Jerry
推荐阅读
1
2
3
关注我们
点击文末「阅读原文」,进入《呼吸界》直播间观看回放