预存参会储值卡,享好礼
详细咨询何老师17717827961
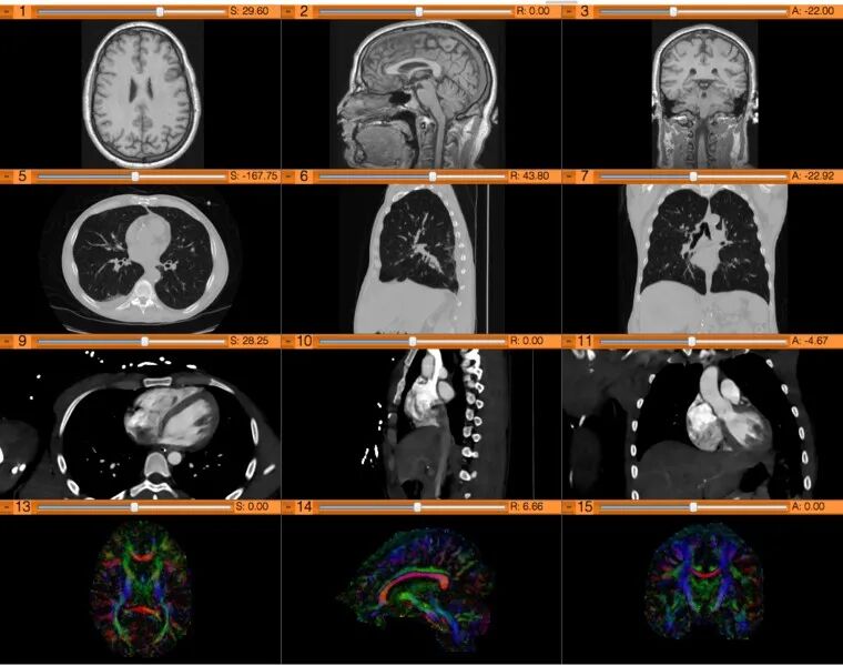
做点影像干实验居然能快速发论著,神器3D Slicer值得拥有
2022.10.29-30
网络精讲班:腾讯会议直播授课,非录播
会议背景
如果你经历过因为疫情被封,自己的细胞实验、动物实验全部喊停;如果你时常怀疑信号通路探索的意义;如果你早就想脱离被遥遥无期的“湿”实验却无可奈何;那么,这篇推送也许能帮到您。我们推出了全网首发的以神器3D Slicer为基础的影像分析会议,走过路过不宜错过!
会议特色
1. 课程详解结合3D Slicer快速发文章的套路,注重案例实践教学,跟医学影像沾边的临床各专业都适用。
2. 基础湿实验周期又长又臭,何不把握影像分析领域的科研蓝海,未来申请国自然等基础课题也易如反掌。
3. 讲师团有丰富的三甲医院的临床经验和研究经历,深耕医学影像分析多年,发表相关SCI论文十余篇,支持国自然、省自然等课题多项,深谙3D Slicer相关研究的设计及实操。
会议目标
会议内容
第一天上午:8:30-12:00
1.Slicer基础
a. 案例解读
b. 图像分割
c. 图像配准
d. 图像重建
e. 模型可视化
第二天上午:8:30-12:00
3.Slicer统计形状分析
a. 案例解读
b. 配准对齐
c. 网格划分
d. 点云映射
e. 主成分分析
第二天下午:13:00-17:00
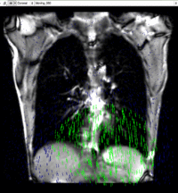
4.Slicer与能量场模拟
a. 案例解读
b.放疗规划
c.电场模拟
d.模块拓展
讲师团介绍
格鲁特,助理研究员,知名三甲医院外科医师,发表SCI论文十余篇,主持国自然、省自然等课题多项,多地巡讲医学课题设计与SCI论文。
V先生,毕业于知名985高校,深耕影像研究多年,发表SCI论文多篇,擅长统计形状分析。
图表示例
会务信息
时间地点:
2022年10月29日-30日 使用腾讯会议客户端进行在线讲课(非录播)
注册费用:3200元/人
缴费账号:
方法一:企业银行转账
收款单位:上海荆麦信息科技中心
开户行:中国建设银行(上海泗泾支行)
银行账号:3100 1983 0100 5002 2781(转账去除空格)
备注:写明姓名+Slicer影像分析 以便于核实
少数单位需银行行号:105290080036
方法二:支付宝转账
支付宝收款账户:mosuhu@163.com
核对姓名是:上海莫速乎教育投资有限公司
备注:写明姓名+Slicer影像分析 ,便于核实
方法三:信用卡或公务卡支付
微信或支付宝扫描二维码支付,通过信用卡/公务卡扣款
报名后发送付款二维码
付款备注:写明姓名+Slicer影像分析 ,便于核实
备注:某些单位需提前借款的可先报名并索取pdf版邀请函,打印后用于向单位借款。缴费后请将汇款凭据截图或拍照,并发送邮件到mosuhu@163.com告知详情以备核实。
主办单位:
莫速乎科研会议平台(上海莫速乎教育投资有限公司);上海荆麦信息科技中心
报名咨询:
19821036515 莫速乎夏老师;4000-709-739 莫速乎客服热线
参会须知:
为了Slicer等软件运转顺畅,建议电脑配置:
1、独立显卡,最好GTX 1060以上配置,显存建议4G以上。
2、内存推荐16G以上。另外,上课时建议有分屏装置,比如多一个屏幕或用ipad观看,自己电脑跟着操作。
报名方法
加微信发送以下信息:
姓名;邮箱;手机;单位;发票信息(发票抬头、税号、开票内容、邮寄地址);在哪里看到学习班信息,以免弄错。
如有多人参加,逐个说明即可。
有任何疑问,也可直接拨打会务组电话4000-709-739或19821036515 莫速乎夏老师
其他培训
更多培训班信息,请扫码关注公众号:
| 1 | SCI插图规范化操作研讨班 |
| 2 | 科研图表专题研讨班 |
| 3 | 用R语言做统计分析初高级班 |
| 4 | 用生信热点从零基础手握3-5分热点文章发表 |
| 5 | 独创“金字塔式”SCI论文写作研习班 |
| 6 | 国家自然基金撰写经验分享会 |
| 7 | 国自然基金写作话术手把手指导提高班 |
| 8 | 国自然基金撰写一对一指导训练营 |
| 9 | 临床数据预测模型类论文专题研讨班 |
| 10 | Python与临床公共数据挖掘 |
| 11 | 机器学习生存分析20:深度学习生存分析专题班 |
| 12 | 公共数据库将单细胞与空间转录组发表5分以上SCI |
| 13 | 系统评价与meta分析实战速成班 |
| 14 | R语言混合效应模型高级研讨班 |
| 15 | 中药网络药理学、分值对接进行数据挖掘发表SCI |
| 16 | CRISPR/Cas9基因编辑技术专题班 |
| 17 | 综述可以当论著发表,文献计量学专题班 |
| 18 | SNP相关数据分析、论文写作和课题设计 |
| 19 | 肠道菌群机制研究及国自然课题设计专题班 |
| 20 | 零基础快速上手影像组学与Python |
| 21 | 肿瘤微环境、免疫浸润分析公共数据库生信挖掘实操班 |
| 22 | 数据分析之SPSS统计思维实战专题班 |
| 23 | 医学专利申请及转化细节精讲班 |
| 24 | 肿瘤微环境和免疫治疗课题思路及热点分析专题班 |
| 25 | 临床科研设计高级研讨班 |
| 26 | 外泌体与非编码RNA课题设计及数据分析工具实操班 |
| 27 | 肿瘤耐药机制研究及热点方向思路设计专题班 |