近日,大阪大学相关研究人员发现[1]:免疫检查点抑制剂被广泛用于治疗多种癌症,但其存在着一个严重的副作用,便是1型糖尿病的发作。现在,大阪大学的研究人员发现干细胞疗法可以防止这种副作用。
糖尿病是一种不可忽视的慢性疾病,虽然刚开始时可能不易察觉,但病情逐渐发展下去便可能造成失明、肾衰竭、心脏病、中风、下肢截肢甚至死亡。
尤其糖尿病的发病人群十分广泛,全球以数亿计。近期,北京大学邓宏魁教授在以《干细胞技术治疗糖尿病》为题的分享中提及,糖尿病是威胁人类健康的主要疾病之一,中国的糖尿病占全球的三分之一。世界卫生组织预测,2030年,糖尿病将成为人类的第七位主要死因。
糖尿病现有的治疗方式有胰岛素的注射,但无法根本上逆转糖尿病;胰岛移植可以从生理上调节血糖,但器官来源、免疫排斥等都是问题。所以到现在为止,糖尿病也没有很好的根治方法。
我们糖尿病分为一型糖尿病和二型糖尿病,一型糖尿病主要是胰岛β细胞被人体的自体免疫系统所破坏;二型糖尿病简单说来是胰岛β细胞产生的胰岛素量不足。二型糖尿病更为常见,占糖尿病患者的90%以上。
机体中,大多数早期肿瘤可以通过免疫监视消除,而成功逃避免疫系统反应的肿瘤细胞会发展为癌症。例如,程序性死亡配体1(PD-L1)上调时与免疫系统T细胞上的受体(PD-1)结合增加,从而抑制T细胞活化,阻碍T细胞参与肿瘤杀伤。使用免疫检查点抑制剂可以逆转这些影响,恢复免疫系统监视和肿瘤细胞杀伤,在治疗多种恶性肿瘤方面取得了成功。
间充质干细胞(MSCs)是最常用的细胞疗法人体成体组织持续再生和功能维持主要依赖于间充质干细胞,其被广泛用于人类各种疾病的治疗。
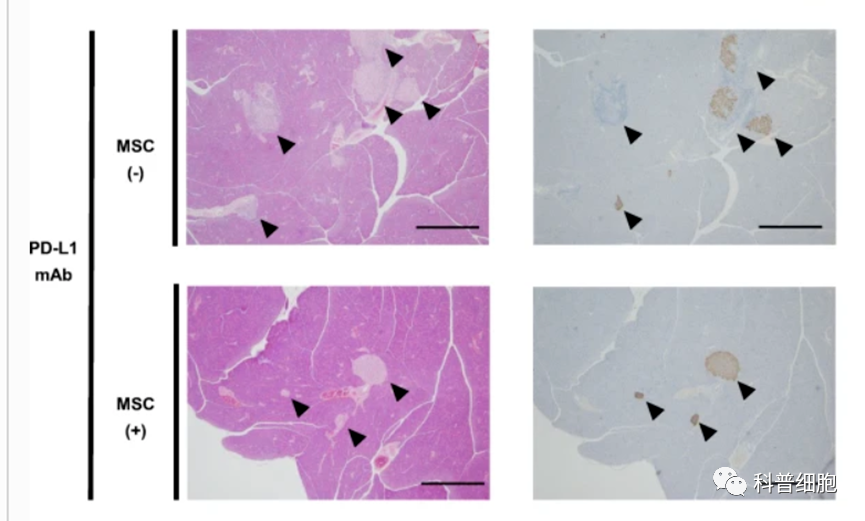
来自文献2
大阪大学Emi Kawada-Horitani[2]等研究人员构造了贴近免疫抑制剂副作用1型糖尿病的小鼠模型,将人脂肪来源的间充质干细胞通过尾静脉注射入小鼠体内,分析小鼠模型体内胰岛β细胞情况,还研究了注射的间充质干细胞的组织定位、血浆外泌体水平。证实了间充质干细胞对于胰岛以及胰岛β细胞的保护、修复作用。
来自文献2
运用间充质干细胞来抑制癌症药物副作用时还可以收获一个好处,便是间充质干细胞及其分泌因子同时也会对于癌症起着一定的治疗作用,一举两得。
当前已有多项临床试验将间充质干细胞用作直接抵抗实体肿瘤进展的治疗药物。
图片来自文献[3]:
间充质干细胞在一些临床试验中被用作直接抵抗实体癌进展的治疗产品。
发表于《scientific reports》[4]的一篇文章展示了脂肪间充质干细胞外泌体抑制耐药三阴性乳腺癌(TBNC)生长的潜在治疗作用,研究人员首先获得了干细胞外泌体,在体外实验证实当外泌体浓度超过20 mg/ml时,耐药三阴性乳腺癌细胞会被显著杀死。之后构建了TNBC小鼠模型,证实了干细胞外泌体对于耐药三阴性乳腺癌的抑制作用。
图片来自文献4
研究表示间充质干细胞外泌体是一种潜在的乳腺癌生物疗法,可以作为其他标准治疗的补充疗法,以提供更好的疗效,而不会出现不良反应。
临床发展机遇与挑战并存
糖尿病巨大的临床治疗需求给间充质干细胞的临床研究与发展带来了机遇,陆续发表的研究证实了间充质干细胞在糖尿病及其并发症领域的应用前景。
间充质干细胞疗法已经在越来越多临床试验中被应用。其不仅可以用来治疗癌症,还可以抑制癌症药物副作用,为间充质干细胞疗法带来了新的机遇,相信在后续不断研究中,间充质干细胞治疗抗癌药物副作用将会逐渐走向临床。
本文转载自:“博雅生命”。