脑卒中俗称中风,是肆虐中国的第一杀手,也是造成中国人寿命损失的第一大病因。脑卒中作为单病种致残率最高的疾病,不仅从身体上,而且从精神情感及经济上对患者及其整个家庭产生重大影响。
缺血性脑卒中主要是由一根或多根脑动脉阻塞引起的。血液供应不足会降低脑细胞所需的葡萄糖和氧气,并破坏细胞内稳态,最终导致神经元死亡,从而导致神经功能的缺失。
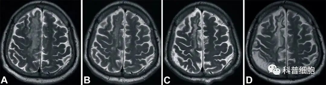
近日,中国台湾花莲慈济大学医学院报道了一个案例:一名缺血性脑卒中偏瘫患者在治疗后12个月内取得完全康复,结果发表在Cell Transplantation(细胞移植)期刊上。
慈济大学医学院 邱琮朗主任
结果表明,接受 HLA6/6匹配的脐静脉血液来源的单个核细胞输注之后,这名缺血性卒中成年患者在短时间内明显康复。
与成人外周血相比,围产期来源的脐血中含有更丰富的造血祖细胞和众多的内皮祖细胞,在体内外具有很强的增殖能力。
同时,围产期来源的脐血中大量的 EGF、VEGF、G-CSF 和 IL-10 等细胞因子不仅可以恢复免疫稳态,还可以增强受损大脑的修复能力。
脐带来源的干细胞已经被证明在中风急性期和亚急性期的动物模型中,能发挥强大的治疗作用。除了再生能力以外,这些细胞还具有免疫调节和抗炎作用。因此,它们可以保护脑组织免受中风后炎症引起的继发性损伤。这项研究还使用了甘露醇,帮助干细胞更好的穿透血脑屏障,增强神经营养因子和神经生长因子的表达。
这一案例中,患者的康复令人印象深刻,可能与中风后第8天就接受治疗有关。我们期待更多相关研究的积极结果,特别是大规模临床试验。
脑卒中,又称中风,同冠心病和癌症一起是当前影响人类健康的三大主要疾病。据统计,我国每年发生脑卒中患者达200万,发病率高达120/10万,致残率高达75%,每年脑卒中患者死亡120万。
推荐阅读:眼歪口斜、半身不遂,“疾病克星”干细胞能否恢复可怕的中风后遗症?
脑卒中被称为脑血管意外。其本质是发生了脑血管疾病,进而导致脑细胞功能受损。如果脑血管因各种原因阻塞,细胞供氧不足,就会引起脑梗塞,如果发生脑血管破裂,就会引起脑出血。这两种情况都是中风的典型表现。
干细胞具有自我复制和多向分化的潜能,可分化为神经元或其支持结构,为其移植治疗脑卒中提供了广阔的前景。
2019年,我国解放军总医院在《干细胞转化医学》(Stem Cells Translational Medicine)杂志上公布,神经干细胞移植有助于脑卒中偏瘫患者运动功能的恢复。9名年龄在30至65岁之间的偏瘫患者参与了这项临床研究,他们在中风后5-24个月接受人源神经干细胞NSI-566脑内移植,NSI-566被移植至脑内梗塞灶附近。结果表明,人源神经干细胞NSI-566治疗偏瘫性脑卒中拥有一定的临床益处。
2020年2月,治疗缺血性脑卒中的干细胞新药(缺血耐受人同种异体骨髓间充质干细胞)申请获得临床试验默示许可。
最近,国内又有一项干细胞治疗脑卒中传来好消息——上海交通大学医学院附属仁济医院启动了“人源性神经干细胞治疗缺血性卒中的单中心随机对照研究”,为广大脑卒中患者的康复带来了福音。
截止2020年4月,在http://clinicaltrials.gov网站上注册的干细胞治疗脑卒中的临床研究项目有88项,其中以临床Ⅰ期和Ⅱ期为主,所应用的细胞类型主要是神经干细胞和成体干细胞,其中成体干细胞主要包括间充质干细胞、造血干细胞等。
推荐阅读: “干细胞移植+运动”,可加快恢复脑卒中患者的运动功能!
目前,我国已开展大量采用干细胞疗法治疗中风的临床研究,干细胞移植治疗脑中风能有效改善患者的神经功能缺损,提高患者自主行为能力和肢体运动功能,干细胞对脑卒中的预后就有很好的改善作用。
神经损伤疾病