今天,5月31日是世界无烟日(World No Tobacco Day)。
为什么是这一天呢?因为第二天(6月1日)是国际儿童节,希望下一代免受烟草危害。
一、烟草的历史
烟草的使用虽然有悠久的历史,但在1492年以前,一直不被世人知晓。随着1492年西方大航海时代的兴起,船员在东印度群岛上携带烟草归来,此后烟草才逐渐成为全球最流行的瘾品而被世人知晓。
1492年10月12日,意大利著名的探险家哥伦布率船队抵达了东印度群岛,在那里他们发现当地的土著民印第安人使用一种长管工具吸食着一种不知名的干叶,把另一端含在嘴里吸,然后从嘴或鼻子呼出烟雾。烟草很快被船员带回欧洲传播到社会底层群众及各个港口旁边的酒馆之中,随着需求量日益增大,这个商机很快被人们察觉,从此欧洲的商业船上又多了一件货物。
1575年,西班牙人开始经营烟草生意,除了欧洲,他们还在亚洲的殖民地菲律宾销售,很快烟草就成了当地非常赚钱的商品。
1578年,当时是中国明朝神宗万历年间,通过福建的水手和商人间的运作,由菲律宾将烟草传入我国,明朝称菲律宾为“吕宋国”,因此称烟草为“吕宋烟”或“淡巴菰”。进入崇祯年间以后,吸烟风气已经蔓延并败坏全国,明崇祯皇帝曾两次全国大举禁烟,清入关后延续明朝严厉禁烟的理念,其禁烟强度较明朝有过之而无不及,具体有多严苛,清朝法律明确规定:“文武百官、吸烟者革职,鞭100,戴枷锁关2个月;百姓吸烟刑40大板,流放3000里地”。
1875年,杜兰德发明了世界第一台“自动卷烟机”,于1878年在法国世界博览会上展出,其生产速度为25~30支烟/每分钟。
自动卷烟机的发明,引起了商人们的兴趣,西方国家卷烟厂首先崛地而起,开始大量生产外观精美的“现代商品卷烟”远销海外,不久便传入中国,当时进口烟价高昂,只有富家子弟及社会名流能够稳定消费,所以人们才视吸烟为“身份地位的象征”,正是在那时不少国人跟风染上烟瘾。
为拒绝海外天价卷烟,中国于1902年迅速在哈尔滨兴建了中国第一家卷烟厂名为“哈尔滨卷烟厂”。
直至1982年,中国烟草总公司成立;1983年,国家烟草专卖局成立。现代商品卷烟历史由此而来。
20世纪50年代,当科学研究证明了吸烟有害健康之后,美国联邦政府很快就展开了轰轰烈烈的禁烟运动。
21世纪初,当人们意识到吸烟危害及烟草中含尼古丁、尼古丁具成瘾性的事实真相后,尼古丁(俗名“烟碱”)被世界各国纳入毒品行列。
二、中国烟草依赖的患病率与影响因素
5月3日,中日友好医院国家呼吸医学中心、世界卫生组织戒烟与呼吸疾病预防合作中心王辰院士、肖丹教授团队,联合中国健康教育中心李英华研究员团队在《柳叶刀-区域健康》(西太平洋)上在线发表了《中国烟草依赖的患病率与影响因素:基于2018年全国居民健康素养监测调查结果》。
该调查结果显示:我国吸烟者总数约3.08亿,其中约1.835亿吸烟者患有烟草依赖。男性患者人数1.775亿,女性患者人数710万。
其中,不同省份,吸烟率存在差异。
从我国吸烟成瘾地图可以看到:
吸烟率与烟草依赖患病率均较低:北京、上海;
吸烟率与烟草依赖患病率均较高:海南、吉林、内蒙等;
吸烟率较低但烟草依赖患病率较高:山东、新疆、西藏等;
吸烟率较高但烟草依赖患病率较低:贵州、云南、四川等。
三、烟草依赖
烟草依赖本质上是一种致命的慢性非传染性疾病,是导致吸烟者持久吸烟、影响戒烟成败的极重要原因。
如何判定是否患有烟草依赖?根据中华人民共和国国家卫生和计划生育委员会。中国临床戒烟指南(2015版),在过去1年内体验过或表现出下列6项中的至少3项,可诊断为烟草依赖:
1.强烈渴求吸烟
2.难以控制吸烟行为
3.当停止吸烟或减少吸烟量后有时会出现戒断症状
4.出现烟草耐受表现,即需要增加吸烟量才能获得过去吸较少烟获得的吸烟感受
5.为吸烟放弃或减少其他活动及爱好
6.不顾吸烟的危害坚持吸烟
四、吸烟有害健康(真实病例)
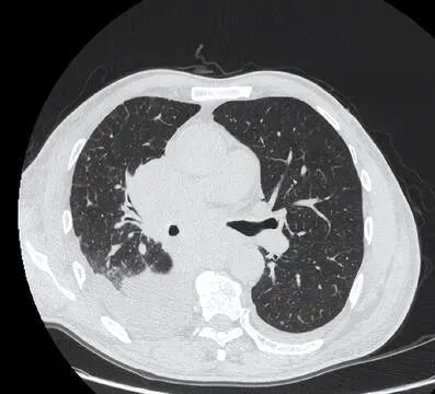
案例一:
59岁患者,男,干部,吸烟史30年,平时体检胸片,一直未见异常。1年前因咳嗽半月到医院查胸部CT,考虑肺门占位性病变。直接行纤支镜检查,病理确诊小细胞肺癌。
行放化疗治疗,病情曾短期控制,但仍在确诊5月左右死亡,生命最后阶段因为肿瘤压迫大气道、胸腔积液限制膈肌运动,呼吸困难躺不倒特别痛苦。
案例来源:北京中医药大学东方医院呼吸热病科 主治医师 李扭扭
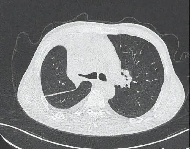
案例二:
68岁患者,男,自由职业者,吸烟史50年,因喘憋咳嗽就诊,胸部CT提示肺癌,胸腔积液,淋巴结转移,非常遗憾失去手术机会,病情进展迅速,从发病到去世不足1个月。
案例来源:北京中医药大学东方医院呼吸热病科 主治医师 李扭扭
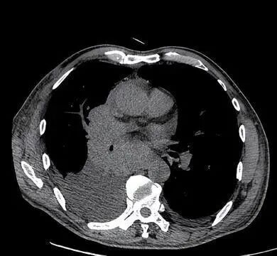
案例三:
患者,男,58岁。病史非常简单,上腹部间断不适半月。但患者的吸烟史很长,吸烟40多年,每天2包烟,除此之外,患者无其他不良嗜好。患者父母其余兄弟姐妹4人均身体健康,无肿瘤病史。
患者先做了肿瘤标志物,有三项略增高,CA125明显增高,这与生殖系统肿瘤有关;CA125轻度增高,与炎症、积液有关。神经元特异性烯醇化酶(NSE),在小细胞肺癌(SCLC)患者血清NSE明显增高,神经内分泌肿瘤NSE也会明显升高,少数非小细胞肺癌(NSCLC)、甲状腺髓样癌、嗜铬细胞瘤、转移性精原细胞癌、黑色素瘤、胰腺内分泌瘤等也会明显升高,本例只略升高一点,不能根据这项结果就定成肿瘤患者。细胞角蛋白19片段是NSCLC的首选标志物,一般比较高,本例只略升高一点,不能根据这项结果就定成肺癌患者。
再看患者的腹部B超,发现了肝脏多个占位病变,B超没有定性,但根据经验,肝脏内病变可能是转移性病变。
五、烟草的危害
如果一个人选择吸烟,那TA就有50%的可能,会因为烟草最终丧失自己的生命。
烟草的烟雾由7000多种化合物组成的复杂混合物,其中最危险的三种化学物质:焦油,尼古丁和一氧化碳。
吸烟对健康的危害:
1.导致慢性成瘾性疾病,危害心身健康;
2.损伤血管内膜,导致血液黏滞度增加。从而导致冠状动脉粥样硬化型心脏病,导致血栓。如:脑梗死、脑出血,冠心病,血栓性疾病,高血脂等;
3.导致免疫力低下;
4.导致恶性肿瘤;如:肺癌、食道癌、膀胱癌等;
5.导致慢性呼吸系统疾病如:慢性阻塞性肺疾病、肺气肿;
6.导致血压、血糖升高,甚至高血压、糖尿病;
7.导致胃粘膜屏障损害,导致慢性胃炎,胃溃疡、胃癌等;
8.导致性功能下降,导致胎儿畸形,不孕;
9.导致记忆功能下降及老年性痴呆。
这张世界卫生组织罗列的危害图可以看的更全面:
参考资料:
1. 呼吸界:王辰院士团队《柳叶刀》子刊发文:我国约有3.08亿吸烟者,其中1.835亿人依赖成瘾,成瘾吸烟者地区分布有明显差异
2.@西京PET老王 微博:每天2包、吸烟40多年 | 一张震撼的全身PET/CT图像
3.北京中医药大学东方医院:【世界无烟日】抓紧戒烟,长痛不如短痛
内容梳理及撰写:医世象 春雨
推荐阅读
3.肺癌专家支修益:80%以上的肺癌死亡因为吸烟,中老年人抓紧预防!
4.每天2包、吸烟40多年 | 一张震撼的全身PET/CT图像
7.2022年中国癌症统计数据 & 十大常见癌症的早期症状及筛查方法
——本期完——
我们(医世象,微信ID:medhealife)
致力于肿瘤领域的科研成果报道,以及科普知识的传播;
关注于肿瘤预防、早筛早诊、治疗以及康复管理等肿瘤全生命周期管理
为医生、患者以及相关人员提供最新的实讯;
为医学惠民贡献一份力量。