上篇我们介绍了26种腹部消化系统重要影像征(上篇)中的15种,接下来我们继续介绍其他11种。
16、漩涡征
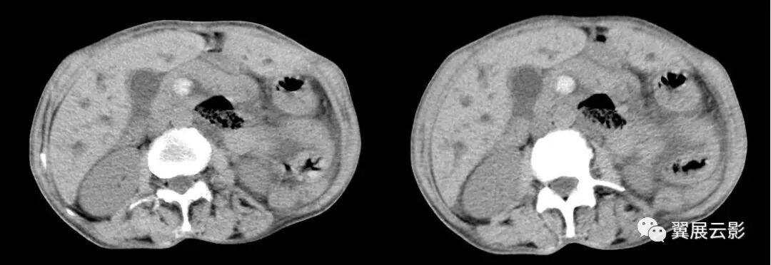
在CT扫描时,多个条带状影围绕一个中心结构呈旋涡状排列,形成一软组织团块影。该征象高度提示小肠扭转时输入和输出肠管围绕一固定梗阻点旋转,并导致肠系膜绕轴旋转,是肠扭转的特异性征象,该征象包括肠管"漩涡征”及肠系膜血管“旋涡征”两个方面。当扭转小肠的输入襻和输出襻围绕着固定的梗阻点旋转时,肠系膜也随之沿旋转轴扭曲并紧密缠绕在肠襻之间,这些扭曲的肠襻和肠系膜血管分支形成了旋涡征中软组织密度的飘带状影,其背景是由肠系膜脂肪形成的低密度,由此形成了类似于气象图上旋风图样的外观,称为漩涡征。
当CT扫描与小肠的扭转轴相垂直时,漩涡征更清楚。肠扭转是一段肠袢沿其系膜长轴旋转而造成的闭袢型肠梗阻,同时肠系膜血管受压,也是绞窄性肠梗阻。常常是因为肠袢及其系膜过长,系膜根部附着处过窄或粘连收缩靠拢等解剖上的因素,并因肠内容重量骤增,肠管动力异常,以及突然改变体位等诱发因素而引起。肠扭转部分在其系膜根部,以顺时针方向旋转为多见,扭转程度轻者在360度以下,严重的可达2-3转。常见的肠扭转有部分小肠、全部小肠和乙状结肠扭转。
表现为突然发作剧烈腹部绞痛,多在脐周围,常为持续性疼痛阵发性加重;腹痛常牵涉腰背部,病人往往不敢平仰卧,喜取胸膝位或蜷曲侧卧位;呕吐频繁,腹胀不显著或者某一部位特别明显,可以没有高亢的肠鸣音。腹部有时可扪及压痛的扩张肠袢;病程稍晚,即易发生休克。另外,还可见空肠和回肠换位,或排列成多种形态的小跨度蜷曲肠袢等特有的征象。乙状结肠扭转:多见于男性老年人,常有便秘习惯,或以往有多次腹痛发作经排便、排气后缓解的病史:临床表现除腹部绞痛外。有明显腹胀,而呕吐一般不明显。
肠扭转时相应的肠系膜血管发生旋转,在CT图像中出现旋涡状改变通常称为“漩涡征”,表现形式有以下三种:肠管漩涡、肠系膜漩涡及以肠系膜血管为主的漩涡。因大部分病例肠系膜及系膜血管走行较复杂多不在一个平面上显示,因此肠系膜血管漩涡征以增强轴位CT 观察较好。 肠扭转后供给肠管血供的肠系膜血管发生扭曲,肠道血供障碍,肠管缺血缺氧而坏死形成绞窄性肠梗阻。因此,必须尽快准确判断患者的病情以选择哪些适合非手术治疗,哪些需要尽快手术探查。CT在判断肠梗阻患者中的作用,其敏感性达到83%,特异性为93%,准确率为91%。 小肠扭转虽然少见,但却是威胁生命的外科急症。
根据小肠扭转的原因可以分为2种类型,一种是原发性小肠扭转,此型没有引起扭转的斛剖学异常,属特发性;另一种为继发性小肠扭转,此型患者多因先天或后天性肠管解剖异常而导致肠扭转。继发性肠扭转最常见的原因是术后粘连,粘连处的小肠被固定在一个点形成一个桩导致腹内疝。发生肠粘连时为防止发生肠坏死必必须认真进行检查、评估,以确定是否需要于术解陈粘连。
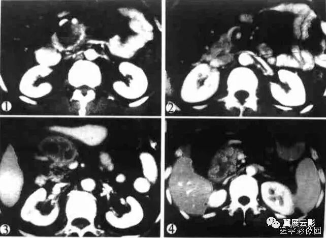
急腹症中的肠扭转、肠粘连、内抓疝等在很多情况下肠系膜及其血管同时发生旋转,并在CT图中显示,只要出现旋涡状改变,都可称之为漩涡征。漩涡征表现可有以下形式:肠管漩涡,肠管漩涡必有水肿系膜伴随,才能将肠管显示,多为静脉,可分为主干或分盘,前者常是扩张的肠系膜r静脉( SMV)围绕肠系膜上动脉(SMA)旋转后者系膜静脉分支构成漩涡状。Fisher所描述的CT上出现的漩涡征一个肠扭转的病例,该例涡轮的中心是肠系膜上动脉,涡轮样的外观是由环绕的扭曲肠襻所形成。Fishe提出漩涡征以后的文章中,许多作者描述了肠扭转的不同形式。Shaff等将漩涡征的定义延伸到乙状结肠扭转,此处漩涡征中的涡轮是由输入襻和输出襻所形成,中心部分由麻花状扭曲的肠管和肠系膜所构成,其指出涡轮的紧密度与肠扭转的程度成正比。Frank等提出漩涡征也可出现在自肠扭转,此处涡轮的构成包含了扭曲的肠系膜,塌陷的盲肠以及末端回肠襻。扩张的肠段在漩涡征出现处突然中止,高度提示肠扭转,且多为急性发生或者提示液体流入或分泌减少。
李文华等指出,漩涡征出现的位置有可能提供引起漩涡的病因。上腹部出现漩涡征,肠管又固定于定位置者,要考虑是否并发于内疝,如小网膜囊内疝、十二指肠旁疝等,应注意识别其解剖关系;中腹部出现漩涡征,多为单纯小肠扭转,而下腹部出现漩涡征,可能与乙状结肠扭转有关。 CT上漩涡征的出现能够提示肠扭转的发生,但是如果扫描平面与扭转轴不相垂直的话,漩涡征可能显示得不明显,其他有关小肠扭转的CT征象也有文献描述,比如扩张肠襻的放射状分布或U形结构,或者在扭转处肠管的纵切面形成的三角状或逐渐变细,上述这些CT征象在小肠闭襻性肠梗阻也可以观察到,依照闭塞段的长度、肠管扩张的程度、闭襻的位置方向以及CT扫描时切面的相对位置不同,显示也有所差异。 Blake和Mendelson报道部分手术如结肠部分切除术后患者,出现漩漏征并不具有特异性。尽管这些下术可能使肠管及肠最膜旋转述180度,但极少出现360度或更大角度旋转形成的漩转形成的漩涡征,因此在这些术后患者中出现漩涡征时,肠扭转仍然是一个排除性诊断。 总之.漩涡征的出现高度提示小肠扭转.但需要注意排除闭襻性肠梗阻。
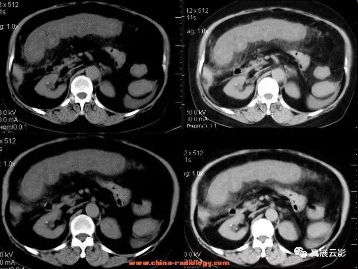
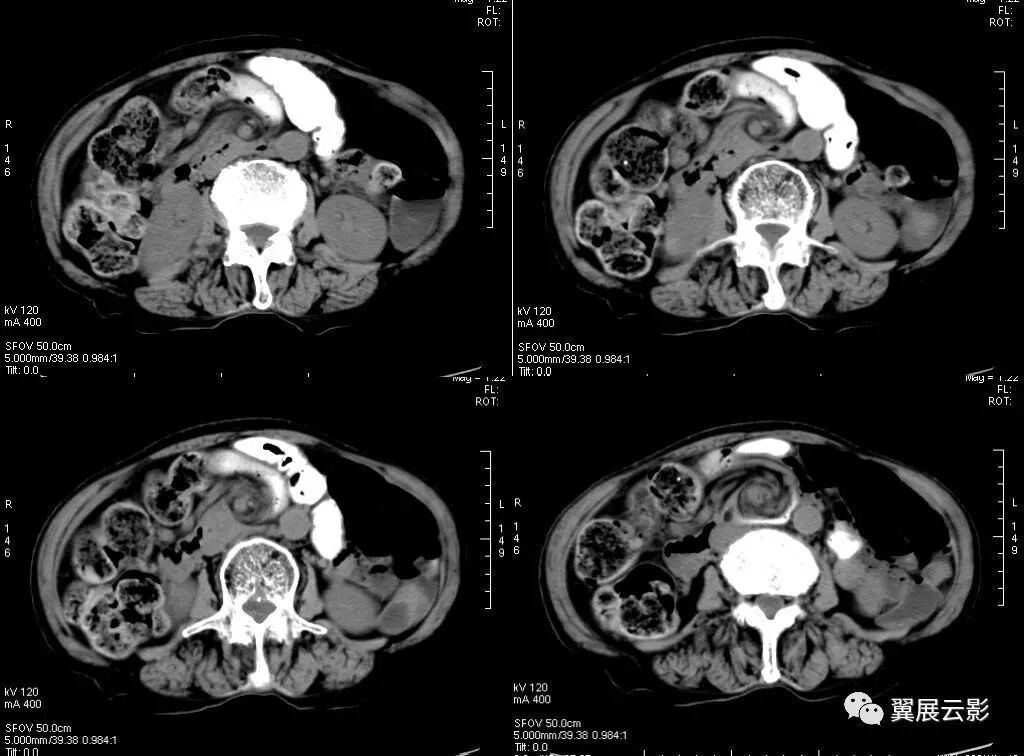
下图肠扭转病例:
下图是闭襻性的肠梗阻
闭袢型肠梗阻
17、脂肪环征
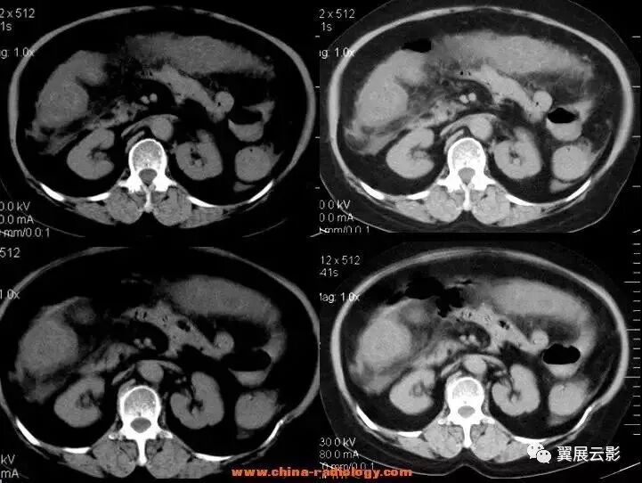
肠系膜脂膜炎的CT表现。肠系膜脂肪组织密度增高(-40–60H。),呈边界清楚、密度不均匀的单个或多个软组织密度肿块,肿块围绕系膜大血管但不累及血管,肠系膜血管周围可有脂肪存在,形成脂肪环征。
肠系膜脂膜炎以慢性毙比细胞浸润,脂肪坏死和纤维组织形成“假肿瘤结节”为特征,包绕但不侵犯肠系膜血管,肠系膜曲静脉血管位于病变内,邻近血管脂肪密度正常,形成脂肪环征。
肠系膜脂膜炎名称较多:有回缩性系膜炎、肠系膜脂肪营养不良以及肠系膜脂膜炎等。不同的命名强调疾病中占优势的组织学特点,缩窄性肠系膜炎以肠系膜纤维化为主,肠系膜脂肪营养不良以肠系膜脂肪坏死为主,肠系膜脂膜炎以肠系膜慢性炎症为主。
缩窄性肠系膜炎是病因不明的特发性疾病。多数学者认为,本病与腔部手术、外伤、感染(除外胰腺炎)、溃疡和局部缺血等所引起肠系膜损伤后非特异性反应有关。有研究者根据儿病理变化推测术病为自身免疫性疾病。也有研究报道奉病还与多种良恶性疾病,如淋巴瘤、卵巢癌、结肠癌、肺癌、乳腺癌、肝细胞癌、特性腹膜后纤维化、多发性软骨炎、系统性红斑狼疮、WeberChristian病及Gardner综合征等有关。
本病临床上较少见,可发生于任何年龄,最常见于50~60岁,病变主要发生于小肠系膜根部,偶见于大肠系膜。症状轻重不一,缺乏特异性,患者可有不同程度腹痛,不发热或低中度发热,恶心、呕吐、乏力、消瘦,有时腹泻及便血,偶见急性腹膜炎,肠梗阻表现。部分患者无症状。体征主要为腹部触及深在的、位置固定的、边界不清的肿块,有压痛。
CT是诊断肠系膜脂膜炎的有效方法。典型CT表现为与腹膜后脂肪密度相比肠系膜脂肪组织密度增高(-40~-60Hu).呈边界清楚、密度不均匀的单个或多个软组织密度肿块,其内可见脂肪密度和低密度囊变区。肿块围绕系膜大血管但不累及血管,肠襻向四周移位。部分表现为肠系膜根部围绕肠系膜血管以脂肪成分为主的肿块,内有散存放射状、条索样、结节样软组织密度区。有时表现为有包膜的密度不均匀肿块,内有脂肪、水样或软组织密度区。少数表现为多房囊性肿块(由于淋巴管和血管阻塞引起的淋巴管扩张)。
国内外文献报道缩窄性肠系膜炎有如下特征性表现:
① 脂肪环征,肠系膜血管周围可有脂肪存在,形成脂肪环征,其出现率为85%~88.8%;
② 假包膜征,肿块周阿有条带状软组织密度影环绕,病理上为纤维组织,其厚度一般为3mm,小超过iOmm,出现率为50%–66.6%,
③ 软组织结节,为肠系膜淋巴结散在分布于肿块中,多数<5mm,80%的患者有此征象;
④ 增强前后无明显密度改变,而其内肿大淋巴结可出现增强,可能与淋巴结的炎性改变有关。
MRI表现虽无特异性,但显示脂肪、软组织成分和血管受累优于CT,是诊断肠系膜脂膜炎存价值的影像学检查方法,主要表现在两方面:
① 显示小同组织的信号特点,如以纤维组织为主的肿物,T2WT呈低信号;
② 显示主要血管( SMA、SMV)及其分支是否受累,血管正常表现为流空效应。 总之,肠系膜脂膜炎是种临床上较少见、病因不明的特发性、非肿瘤性、瘤样肠系膜炎性疾病。其影像表现有一定的特征性,脂肪环征对本病的诊断具有重要价值。
图1,2 肠系膜脂膜炎。
图1 为 MSCT平扫,显示肠系膜密度增高,CT值为 – 47 HU,与腹腔正常脂肪有清楚分界 (箭头) ,且显示肠系膜血管(箭)周围无受累,呈“脂肪环征”。
图2 为MSCT门静脉期,显示肠系膜无明显强化,CT值为 – 45 HU,与腹腔脂肪有清楚界限,形成假包膜征 (箭头) ,邻近肠管有推移改变。
18、靶样征或新月征
在CT图像上,结石位于扩张的胆总管腔内中心呈致密或较组织影,周围被水样密度胆汁影环绕所形成的影像,称为靶样征;胆总管结山嵌顿且紧靠一侧壁,水样密度的胆汁位于对侧呈新月状,称为新月征。 靶样征和新月征是胆总管结石的直接CT征象。显示靶样征或新月征的结石多为高密度、软组织密度和混合密度结石。结石周围的环形水样密度影为胆汁环绕所形成,与胆总管内壁炎性水肿可能也有一关系。 胆石症作为一种常见病,占胆系疾病的60%,发病率较高。CT作为一种影像检查手段,其成像原理较简单,成像主要决定于物质对X线的吸收率,影像上表现为高密度、等密度灶低密度影。CT是胆结石最有效,最敏感的影像学检查疗法。
胆结石的CT分类:
① 高密度结石,主要是含各种钙盐的胆色素结石,CT值>60Hu,高于周围软组织密度;
② 软组织密度结石,含少量钙盐的胆固醇结石,CT值20~60Hu,呈软组织密度;
③ 低密度结石,主要含胆固醇,CT值<20Hu,表现为低于胆汁密度的透亮影;
④ 混合密度结石,CT图像显示结石密度不均匀,呈典型的,是胆管结石特征性表现之一。
CT值与胆固醇含量呈负相关,与胆色素和钙盐含量呈正相关。
胆总管结石的直接CT征象:
① 胆总管腔内高密度结石充满整个管腔,周围无低密度胆汁影。
② 靶样征是1987年由Baron首次提出的,被认为是胆总管结石的直接征象。显示靶样征的结石多为高密度、软组织密度和混合密度结石。结石周围的环形水样密度影为胆汁环绕所形成,与胆总管内壁炎性水肿可能也有一定关系。典型的靶样征可表现为均匀环形或上宽下窄、左宽右窄或左上宽右下窄。
③ 另外有一些胆总管结石,结石周围的水样密度影不构成完整的环形,而呈新月形,称之为新月征。新月形水样密度影多位于结石的左上方或左侧,可能与结石的重力作用及胆总管下端胆汁自作上向右下流动的动力学作用有关。 靶样征和新月征是诊断胆总管结石的特征性征象,尤其在增强图像上更易显示。靶样征、新月征的显示与CT扫描层面、结石形状、结石在胆总管内的位置有关。
胆总管结石的间接CT征象:
① 梗阻段以上胆总管轻度或中度扩张;
② 胆总管壁高密度环形增厚,这是胆总管结石合并胆总管炎的表现。 CT诊断胆总管结石的准确性为50%~90%,其准确性的高低与结石成分有关。资料表明,CT对色素类结石及高密度结石、混合密度结石敏感度高,诊断准确率选90%以上。 文献报道,CT对诊断近似胆汁密度的胆固醇结石存在困难。随着MRI技术的发展,其扫描序列、扫描参数越来越多,使其对胆百的诊断具有了重要价值。胆石MRI上信号的改变,与结石中脂质和大分子蛋白等有关,而与结石的密度无关,这有效地补充了CT诊断胆系结石的不足。特别是MRCP,立体地显示胆道系统全程图像,对胆石的显示有独特的优势。
新月征
靶样征
19、靶征
有多个名称,分别是:环靶征;双靶征;环征;双环征;三环征等。肝脓肿CT增强扫描的典型表现,因呈靶环状而得名。表现为肝内囊样低密度肿块病灶,边缘多数较模糊,脓肿周围往往出现不同密度的环形带(环征或靶征),增强扫描脓肿壁呈不同程度的环状强化,脓肿壁可为单环、双环或二环。
靶征是肝脓肿的典型征象,是脓肿形成期的表现。此期脓腔液化坏死彻底,脓肿壁可为单环,双环或三环,单环代表了脓肿壁,其周围水肿不明显;双环的内环代表脓肿壁,外环代表周围水肿带;三环表明脓肿壁由三层构成,外层(中环)为纤维肉芽组织,强化最明显,内层(内环)由炎性组织构成,强化不如外层纤维肉芽组织。肝脓肿靶征的出现代表着一定阶段病变的病理过程,为肝脓肿的特征性表现,对诊断很有价值。
肝脓肿是肝内常见的炎性病变,临床表现起病急,进展快,常合并有炎性中毒症状,如高热、寒战、肝区痛或多脏器衰竭等。血化验细胞计数明显增高。
肝脓肿的形成大致可分为化脓性炎症期、脓肿形成初朝和脓肿形成期。化脓性炎症期病理改变为肝组织的局部炎症、充血、水肿,脓肿形成初期肝组织开始坏死,部分液化;脓肿形成期脓腔坏死液化彻底,脓肿难形成,脓肿壁由纤维肉芽组织或炎症充血带形成,脓肿周围肝组织往往伴有充血水肿。
大多数学者把肝脓肿的脓肿形成期CT表现认为是典型表现,表现为肝内囊样低密度肿块,病灶边缘多数较模糊,脓肿周围往往出现不同密度的环形带(环征或靶征),增强扫描脓肿壁呈不同程度的环状强化;少数患脓肿内出现气体,此时可肯定诊断。
CT平扫肝脓肿可发生于各肝叶,但以右叶多见,可单发或多发,大小不等。肝内低密度占位,CT值10~35Hu,边界多不清楚或部分模糊,脓肿周围壁较厚。病变组织坏死越完全,其密度越低、越均匀。如慢性肝脓肿,边缘清楚,CT值接近于水肿的密度,而且有时周围可见一圈高于脓腔低于正常肝组织的低密度水肿环,因而易于诊断。若脓肿内有气一液平面,表示液化比较完全,伴产气菌感染所致,通常被认为是诊断肝脓肿的特异性征象。
增强扫描使病灶内部结构、病灶边缘与正常肝组织的关系显示得更清楚。门脉期可显示肝脓肿较典型的CT征象,为典型三层病理改变增强后的CT表现,中心坏死区无强化,中间层为介于液化坏死区与正常肝组织之间的低密度带晕带环,外围层与正常组织分界模糊。慢性期由于脓肿周围形成血管丰富的结缔组织包膜,脓肿壁显著环形强化,其密度高于肝组织。环绕脓腔的为强化环,可以是单环、双环甚至三环。3个环相当于脓壁的3种病理结构:水肿、纤维肉芽组织和炎性坏死组织。如果3种结构存在则出现三环,否则出现双环或单环。
值得注意的是上述靶征并非肝脓肿特有,但环靶征对肝脓肿的诊断仍具有重要意义,因为肝癌、转移性肿瘤等出现环靶征的可能性很小。
双环征
三环征
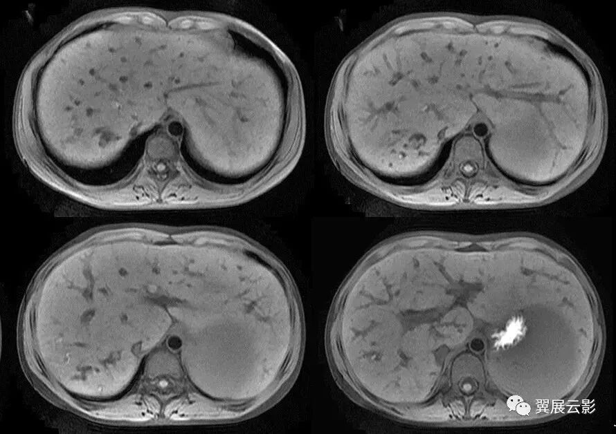
20、棒棒糖征
棒棒糖征见于横断面增强CT或MRI图像上,可见到多个较大的不强化或结节状边缘强化的肿块,肝静脉或门静脉行向这些病灶时逐渐变细并终止于这些病灶边缘,形成类似棒棒糖样的外观。棒棒糖征被认为是肝脏上皮样血管内皮瘤的典型表现。此征可以帮助医师在横断面影像上更好地识别肝脏上皮样血管内皮瘤。棒棒糖征主要包括2个结构:一是在增强片上呈低密度边界清楚的肿块,代表棒棒糖中的糖果;二是在组织学上闭塞的静脉,包括肝静脉和门静脉,代表棒棒糖中的棒子。边界不清楚的肿块、肿块均不符合棒棒糖征的特点。如果病灶中央出现瘢痕样强化或肿块明显或水规则强化,也不能判定为棒棒糖征。强化的静脉应该终止于病灶边缘或仅仅伸到病灶的强化环内,如果血管穿过病灶或被肿块推移,以及形成侧支血管等,均不能考虑棒棒糖征。
肝脏上皮样内皮细胞瘤以富含上皮样或组织细胞样内皮细胞为特征。绝大多数肿瘤起自中等直径或较大直径的静脉,被命名为上皮样血管内皮瘤。该肿瘤通常发生在成年人,女性明显多于男性。肝脏上皮样血管内皮瘤通常无症状而偶然发现,有症状时主要表现为频繁发作的右上腹部疼痛以及体重减轻,也有些患者表现为肝衰竭、布加综合征或门静脉高压。
上皮样血管内皮瘤是一类以上皮样和组织细胞样内皮细胞为特征的血管瘤,这类肿瘤通常难以进行穿刺诊断。结节肉眼观察通常呈白色,质硬,或呈橡胶状。肿瘤的外表面通常呈红色花斑状,伴有充血的征象。组织学上肿瘤由树突状细胞、间质细胞或类上皮细胞组成。
肝脏上皮样血管内皮癌的组织学特征是浸润肝窦及肝内静脉系统,肿瘤围绕肝静脉、门静脉或小静脉并使其狭窄或闭塞。受累的静脉宥2种表现,一是受累肝静累脉或门静脉在肿瘤周围逐渐变细,边缘光滑;二是静脉到达肿瘤边缘时完全闭塞或截断。
CT枪查方法应包括平扫和增强扫描静脉期,平扫是必要的,目的是为了显示有没有钙化,而增强扫描是为了更好地显示肿瘤的强化方式以及肿熘与周围血管的关系。MRI检查应包括T1和T2加权。CT三维重建或MR多平面成像能更清晰地显示血管的立体结构。
肝脏上皮样血管内皮瘤的CT表现主要包括大小不等的多灶性低密度结节,这些结节可以逐渐长大并融合成大的肿块,多分布在肝脏的边缘,增强扫描可见这些结节呈周边环状强化。通常可见到钙化、中心低密度以及包膜内陷。有25%~45.1%的患者观察到有转移,转移部位通常在肺、淋巴结、脾、哥和其他实质性器官。
MRI T1加权像上结节多表现为低信号,T1增强呈边缘强化,正常肝实质强化较肿瘤强化明显,肿瘤中心部分与 CT扫描类似呈低信号。T2加权像肿瘤多表现为不均匀高信号,肿瘤内信号成分较CT更复杂,中心部分信号减低可能与癌内出血、凝固性坏死及钙化有关。
肝脏多发结节的鉴别诊断多种多样,包括先天性婴儿性毛细血管熘、囊肿、脓肿、肝紫癜、局灶性结节性增生、腺瘤、再生结节、肝细胞肝癌及转移癌等。转移瘾的影像学表现与肝脏L皮样血管内皮瘤租相似,区别要点主要足看有没有原发灶,其次,棒棒糖征的提出提高了诊断上皮样血管内皮瘤的特异性,因为其他的结节通常没有类似的强化模式以及静受累表现。
CT(棒棒糖征)
CT(棒棒糖征)
MRI(棒棒糖征)
21、串珠征
原发性硬化性胆管炎,内镜逆行胰胆管造影( ERCP)及磁共振胆道造影(MRCP)表现肝内外胆管多发较短的(1~2cm)环行狭窄,并伴正常或轻度扩张的胆管,形成典型的申珠状改变。
原发性硬化性胆管炎(primary sclerosing cholangitis,PSC)亦称狭窄性胆管炎、闭性胆管炎或纤维化性肌管炎,是一种原因不明的少见疾病,以肝内和(或)肝外胆管炎症、纤维化为特征的慢性胆汁淤积性肝病,最终发展为肝硬化。肝内胆管几乎总是受累,且往往较肝外胆管明显。
曾经提出过几种病因学假设,诸如慢性门静脉菌血症、肠道细菌毒素或胆汁酸的毒性作用、慢性病毒感染、缺血性血管损伤、免疫调节和遗传的异常等。目前认为,该病可能主要与免疫和遗传因素有关。PSC常常合并炎性小肠疾病,65%~70%台并溃疡性结肠炎,有时合并克罗恩病。PSC有明显的恶变倾向,15%并发胆管癌。
大多数患者肝脏组织学改变为非特异性,故肝活检对PSC的诊断价值并小大,但可提示PSC及其组织学分期。本病的组织学改变包括胆管周围纤维化、汇管区炎症、不同程度的汇管周围性肝炎和肝实质改变。随着疾病进展,汇管区纤维化增加,小叶间胆管减少,小叶间隔形成,以及最终出现胆汁淤积性肝硬化表现。根据异常的程度,组织学上可分为I~IV。第Ⅳ期为胆汁淤积性肝硬化。
PSC特征性的放射学表现为肝内外胆管不规则的多发局部狭窄和扩张,胆道弥漫性狱窄伴正常扩张段形成典型的串珠状改变。肝外胆管的不规则憩室样突出。受累的肝内胆管呈分支变细、减少的剪枝样改变。肝内胆管的狭窄占优势。欧洲5个医学中心对394例病人进行研究,其中73%累及肝内和肝外胆管,仅有肝内胆管改变者<1%,仅有肝外胆管改变者为20%。 PSC的CT表现包括肝内胆管的扩张、狭窄、剪枝样、串珠样改变;肝外胆管琏结节、胆管壁增厚、黏膜强化。肝叶的萎缩往往见于肝脏最先受累的部分。扩张的胆管在MRI的T2WI显示较清。在快速内旋同波序列阿像巾,小血管往往信号较高类似胆管的表现。门静脉周围T1WI中等信号强度、T2WI高信号,这是由炎症造成的。 ERCP是诊断PSC的金标准,但是一种有创性检查,可发生多种并发症。经皮肝穿刺胆道造影(PTC) 一般用于内镜检查失败者。磁共振胆道造影(MRCP)是一种无创性检查,较ERCP价格便宜。Vitellas等报道MRCP显示肝外胆管的异常与 ERCP有相似的准确性,但对肝内胆管的显示优于ERCP。这是因为MRCP成像是依赖于T2WI胆管内的水形成天然的显影剂,胆管狭窄、壁增厚、结石等不会影响胆管树的显示;而ERCP是依靠注射对比剂显示胆管,胆管狭窄、壁增厚、结石等影响对比剂的通过,使远处的胆管显示不清。
原发性硬化性胆管炎的MRI表现
原发性硬化性胆管炎的CT表现
原发性硬化性胆管炎的MRCP表现
22、葱皮样征
脾、肾等实质性脏器外伤破裂后,会明显增大,包膜下裂隙状分层样高低密度影,与周围组织间隙模糊,表现为葱皮样。葱皮样征是腹部实质性脏器钝挫伤驶包膜下出血的CT征象,此种出血常为钝挫伤后慢性反复多次出血,导致血液有沉积分层现象。脾脏是最常发生创伤的腹部脏器,钝性伤最多见,常伴有其他器管损伤,20%并有左侧肋骨骨折,25%并有左侧肾损伤。
CT对实质性腹腔脏器钝性损伤是一种高效、迅建、方便.准确的检查方法。CT诊断脾破裂为首选且优于其他影像学检查,其准确率可达95%。脾脏是腹部内脏中最容易受损伤的器官,有慢性病理改变的脾脏更易破裂。根据损伤的范围可以分为脾包膜下血肿和脾内血肿及脾撕裂,其中以脾撕裂最常见。脾损伤后出现延迟破裂(即首次扫描正常,一段时间后破裂),故应引起注意,需要及时复查。
脾破裂分为中央型破裂(脾实质深部)、包膜下破裂(脾实质周围部分)和真性破裂(破损累及包膜)三种。前两种因包膜完整,出血量受到限制,故临床上不易被发现,这种出血常为钝挫伤后慢性反复多次出血,导致血液有沉积分层现象,表现为葱皮样征。
CT平扫明确诊断钝性脾破裂需具备:
a. 明确的外伤史;
b. 脾实质密度不均匀,脾包膜中断或呈葱皮样改变;
c. 哨兵血块征;
d. 腹腔积血;脾大;
e. 脾附近软组织挫伤,肋骨骨折。
肾轻度挫伤也可形成包膜下血肿,同样可出现本征。
23、簇形征
在腹部CT平扫或增强时,肝内可见局灶性、多个较小的环状强化,且相互靠近堆积成簇或呈蜂窝状。
此征象多见于细菌性肝脓肿形成初期。病灶直径通常<2cm,且彼此相通或不相通,较小的低密度灶成簇集合。感染的细菌多为大肠杆菌,真菌或分枝杆菌感染则少见此征象。 据统计,85%的肝脓肿是化脓性的,9%的是真菌性的,6%的是阿米巴性的。在免疫功能低下的患者,往往容易合并打多种病原菌的感染,尤其是真菌。
有关真菌引起肝脏脓肿的CT表现文献报道比较多,一般认为其引起肝内的播散性病灶呈弥漫分布的小粟粒状低密度灶,细菌性化脓性感染不同。Jeffrey等认为,簇形征是化脓性感染的一个特征性表现。
化脓性肝脓肿的CT表现可以分成三大类:
①多发的<2cm的小脓肿,呈多个圆形或卵圆形结节状低密度,相互靠近堆积成簇(即簇形征);
②单房脓肿,大小一般为3 cm或稍大,呈圆形,边界规整,内部无分隔;
③复杂脓肿或多房分隔性脓肿,多较大(一般>3cm),边界不规则,内部有分隔形成多个小腔(即花瓣征)。
典型的花瓣征表现为病灶不均匀强化,病灶内分隔出现较明显的强化,几个相邻分隔组成花瓣状表现,中间夹杂增强不明显的低密度区。花瓣征和簇形征有相似的病理基础,见于细菌性肝脓肿形成初期。簇形征为多个细小脓肿(≤2cm)聚集成团或融合,花瓣征为多房脓肿,脓腔之间的分隔未坏死液化,残存的分隔有炎性反应。
簇形征中多发的小脓肿直径比较小,所以由于部分容积效应的关系,CT值测量存在一定的差异,但一般≤25Hu。在窄窗宽的图像中病灶的边缘无强化环或充血现象。病灶可以跨叶分布,也可以局限在一个叶。
国外有学者提出肝内小的化脓性病灶呈簇状分布提示感染病原菌为大肠杆菌,在其所观察报道的10例真菌及分枝杆菌感染的患者均未出现此征象。簇形征也可能是脓肿发展过程的早期阶段。如果不进行治疗的话,这些小化脓灶大多数会融合形成多房状分隔的大脓腔,也有一些会融合成1个大的单房脓肿。
也有人报道12例多房分隔状肝脓肿用单一导管行经皮脓肿引流,结果11例效果良好,经导管注人对比剂行CT窦腔造影显示各分隔小腔之间自由沟通。该研究提示小脓腔可能趋向于相互融合。
有学者对由肺炎克雷伯杆菌和非肺炎克雷伯杆菌所引起的肝脏微脓肿的CT表现进行研究,结果发现簇形征多见于由非肺炎克雷伯杆菌所引起的肝脏微脓肿,而肺炎克雷伯轩菌所导致的肝脏微脓肿则无此征象。
总之,簇形征多见于细菌性肝脓肿形成初期,是肝脓肿的一个特征性表现。
24、泪滴状肠系膜上静脉征(肠系膜上静脉变形征)
在横断面腹部增强CT及MRI,正常圆形的肠系膜上静脉受肿瘤组织挤压而变成泪滴状、线状或椭圆形。
门静脉由脾静脉和肠系膜上静脉在胰头后方汇合而成,在CT横断面上,正常胰头或其钩突与肠系膜上静脉之间有脂肪组织相分隔。当发生胰头癌时,肿瘤可向周围侵犯,突破脂肪层并向周围血管浸润。当肠系膜上静脉受到癌组织直接浸润或受到周围被累及的纤维结缔组织牵拉时,正常肠系膜上静脉的圆形断面可变为泪滴状、线状或椭圆形,肿瘤与肠系膜上静脉间的脂肪间隙消失,此征象被称为泪滴状肠系膜上静脉征。该征象的出现是判断胰头癌不可切除的可靠指征。
胰腺癌是贫血供无包膜的实性肿瘤,其特点是浸润性生长,容易向周围扩展而累及邻近器官和血管,也可产生淋巴结及远隔脏器的转移。迄今为止,胰腺癌的手术切除被认为是唯一的根治手段。但很多原因使得剖腹于术中难以切除癌组织,包括术前未发现的肝脏转移,膜膜种植、淋巴结转移以及局部血管侵蚀等。
通常情况下,在肠系膜上动脉受累之前,胰头癌先侵蚀门静脉或肠系膜上静脉。多数外科医生认为门静脉或肠系膜上静脉受侵是胰十二指肠联合切除的禁忌证。CT检查尤其是螺旋薄层增强被认为是胰腺癌首选的影像学方法,在检查胰头癌方面的敏感性接近100%。但是在评价胰头癌是否可切除方面的敏感性却仅有70%左右。这就意味着有很多患者在术前评价认为是可以切除的,但是在手术中却发现难以切除。因此,胰周静脉结构的受侵程度在评价胰头癌可切除性方面的作用逐渐引起了人们的重视。
胰头癌手术切除方式多种多样,有些医师甚至在做胰头癌广泛切除的同时进行血管重建。但无论如何,最根本的胰十二指肠联合切除是最成功和有效的方法,这要求周围血管完好无损。
在CT估价血管受侵方面,众多学者使用不同方法并从不同角度进行了研究,各有优缺点。
根据薄层动态CT的表现,可以将胰腺癌与邻近血管的关系分为6型,并分析了各型与可切除性的关系,其中肿瘤阻塞或包绕血管是不可根治切除,肿瘤与血管相连则有切除可能,但需要做血管切除、静脉移植或补片的准备。有人等对54例胰腺癌采用双期螺旋CT扫描,进一步根据肿瘤与血管相贴程度,建立了血管受侵的5级评分标准,认为当肿瘤包绕血管周径>l/2时,判断胰腺癌不可根治切除的阳性、阴性预测值分别为95%和93%。国外有学者研究显示,当肿瘤组织与门静脉的接触面>90度时,预测术中门静脉受侵的准确性达89%。
一组对泪滴状肠系膜上静脉征的研究显示,在其分析的92例患者中,该征在预测胰头癌不可切除性方面显示出高度的特异性(98%),其阳性预测值为95%。而且,在其他手段认为是可以切除的胰头癌患者中,该征预测不可切除性的敏感性达76%。
应用泪滴状肠系膜上静脉征估价胰头痛的不可切除性时,应注意如下几点:
第一、当明显的进展性胰头癌挤压肠系膜上静脉呈环形狭窄或完全闭塞时,可呈现为假阴性,因此必须结合其他不可切除征象,才能提高敏感性及准确性。
第二、不要把血管走行所致的部分容积效应误认为泪滴状肠系膜上静脉征,尤其是在肠系膜上静脉与门静脉的移行处,此处肠系膜上静脉由XY平面向Z轴平面过渡,要小心判断。
有学者研究认为,CT上显示的泪滴状肠系膜上静脉征在MRI上也可见到,他们回顾性分析了18例被证实的腴腺癌患者,探讨在MRI上肠系膜上静脉形态的改变,其中有16例为不可切除(胰头13例,胰体2例,胰尾l例)。在横断面MRI上,7例显示肠系膜上静脉变形,其中3例肠系膜上静脉呈泪滴状,2例呈线状、2例呈三角形。肠系膜上静脉变形在脂肪抑制T1WI增强扫描时显示最佳,所以其认为在缺乏肠系膜上静脉包埋或栓塞表现时,结合其他表现,肠系膜上静脉变形被认为是胰头癌不可切除的有用征象。
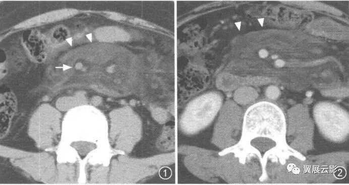
(该图来自《CT泪滴状肠系膜上静脉征评价胰头癌不可切除性的意义》一文, 中国医学影像技术2001年第17卷第2期)
图1 动态增强CT 示胰头部肿块紧邻 SMV、SMA,周围正常脂肪间隙消失,SMV受压呈泪滴状。
图2 螺旋增强CT 示胰钩突部一低密度肿块,SMA包绕受侵,SMV受压呈线形改变
图3 动态增强CT 示胰头部一密度不均匀肿块,与 SMV脂肪间隙消失,SMV受压呈椭圆形改变。
图4 螺旋增强CT 示胰头部一密度不均匀肿块,与 SMV脂肪间隙模糊但仍存在,三角形的 SMV为容积效应所致。
25、肝包膜凹陷征(肝包膜退缩征)
腹部CT扫描时,位于肝脏表面的恶性肿瘤,肝包膜内陷,失去原有的弧度,并与其相续的肝包膜构成一个完整的大弧度,谓之肝包膜凹陷征。
肝恶性肿瘤的发展过程中,小血管,小胆管阻塞引起局限性肝萎缩,肿瘤中央坏死、瘤周纤维组织增生并侵犯肝包膜等多种因素,致使肝包膜向肝内方向收缩,共同导致包膜凹陷征。
虽然肝包膜凹陷征在肝脏恶性肿瘤中出现率并不高,但邻近肝脏肿块的肝包膜凹陷征在许多种恶性肿瘤中都可以出现,包括肝细胞性肝癌、纤维板层性肝、肝内胆管细胞癌、肝转移瘸(原发肿增多为结肠癌、乳腺癌、类癌、肺癌、胆囊癌、胃癌、胰腺癌等)。其病理基础是瘤体中心由于代谢旺盛,血供相对不足,易发生坏死囊变,邻近肝表面的病灶坏死后埸陷,牵拉被膜进而形成脐样凹征。国外学者有认为肝包膜凹陷的机制是由于肿瘤内存在着纤维细胞,尤其肿瘤坏死区纤维细胞增生活跃,当肿瘤细胞侵犯肝包膜后,纤维细胞小均匀的收缩和牵拉,从而可产生肝包膜向内侧方的凹陷。
根据影像学特点将肝包膜凹陷征分成两型:
Ⅰ型,肝包膜凹陷征范围较小,呈反弓状或脐凹状,表面光滑,肝包膜无增厚,凹陷区少有腹腔积液;
Ⅱ型,肝包膜凹陷征范围较广,呈凹坑底状,表面欠光整,肝包膜常不规则增厚,凹陷区多伴腹腔积液。
据文献报道,除巨大肝脏血管瘤偶尔出现肝包膜凹陷征外,良性肿瘤一般不会出现此征,这是由于良性肿瘤一般不存在这种病理改变,所以此征象对肝脏恶性肿瘤的诊断具有特异性,但对鉴别恶性肿瘤的细胞来源并无特异性。此外,肝包膜附近的肝脏炎性病变,尤其是肝脓肿也可出现肝包膜表面凹陷征;同时要注意与肝硬化进行鉴别诊断,典型肝硬化肝表面凹凸不平,呈波浪状或驼峰状,肝包膜凹陷多发且较表浅,CT平扫再生结节可呈多发等密度或高密度影,但增强扫描门脉期和延迟期结节影呈等密度,使凹陷区与邻近肝实质密度基本一致。
以下两例均是胆管癌,可以看出有明显的肝包膜内陷:
26、指压痕征
指压痕征即黏膜及黏膜下层水肿及出血使黏膜呈息肉样突入肠腔内造成的充盈缺损,似拇指压出来的一样。
缺血坏死性肠炎的典型表现即指压痕征。
缺血性结肠炎是由于肠系膜血管闭塞,狭窄或由于全身性低血压导致结肠供血不足或回流受阻而使肠壁缺血坏疽继发感染而引起的结肠炎。其发病率占所有消化道缺血改变的50%~60%,是消化道出血的原因之一,好发于50岁以上中老年人,女性多余男性。
病因
缺血性结肠炎的病因国内主要将其归纳为三大原因:
(1)动脉硬化或血栓形成;
(2)动脉栓塞;
(3)动脉痉挛或低灌注状态。
国外学者则强调多种严重疾病相关的低血压状态,为引起肠系膜动脉供血不足的常见原因。当患者存在高血压、高脂蛋白血症、糖尿病等基础病时,在某一诱因下可触发动脉痉挛乃至小动脉的血栓形成,从而引起病变肠段供血不足,出现缺血性结肠炎症状。由于结肠缺血而出现的病变,可由于腹部手术、感染、肿瘤、心血管疾患等引起的结肠血管栓塞、损伤或梗塞等病变引起结肠缺血改变。
缺血型改变可以是节段性的或更弥漫一些。血容量减少时,乙状结肠与直肠交界处和横结肠接近结肠脾曲处尤其容易缺血老年患者,左半结肠缺血性改变往往与血流灌注不足有关,而右半结肠缺血改变发生于年轻人比较多,往往跟锐器或钝器伤导致的出血性休克有关。直肠缺血性改变少见,原因是直肠的侧枝循环丰富。
缺血性结肠炎的病程,有可逆性改变和进行性发展两种转归,因而临床表现亦有不同。可分为3型。
(1)急性型;
(2)慢性型;
(3)坏疽型:
钡灌肠检查:
肠壁水肿—-黏膜皱襞粗大,结肠袋变形或消失,肠管痉挛;
严重者黏膜下层或肌层内出血—花边状或指压状外缘,指压状缺损常出现在肠壁两侧,常不对称,在肠管中间可出现横行增粗的黏膜皱襞,即“横脊征”;
血肿排出,黏膜出现溃疡—表现为多数突出肠腔轮廓外的龛影,如刺状或埋藏的纽扣状;
修复愈合期肠壁纤维化使肠壁的系膜侧变平直、僵硬,在肠系膜对侧出现囊袋状突起如假憩室状,继续进展肠管长管状向心性狭窄。
缺血坏死性结肠炎病情发展迅速,有逆转可能或停留在某个阶段。
CT表现:
肠壁节段性增厚,常见于左半结肠,肠腔不规则狭窄出现类似X线造影的指压痕征病变呈阶段分布病变与非病变界限清楚;
肠壁内、肠系膜静脉内及门静脉内积气;
肠系膜上动、静脉内血栓;
肝内门脉分支出现气体;
增强扫描病变不强化,或黏膜层和浆膜层强化明显而黏膜下层强化不明显。提示黏膜下层有明显的增厚。
内容来源:医学影像园论坛、翼展云影
推荐阅读:
——本期完——
我们(医世象,微信ID:medhealife)
致力于癌症、慢病、妇幼等领域的科研成果报道,以及科普知识的传播;
关注于肿瘤、妇幼、病理、检验、内科等科室的最新资讯及政策指导;
为医生、患者以及相关科研机构人员提供最新的实讯;
为医学惠民贡献一份力量。