来源:熊猫放射
上腹部断层解剖
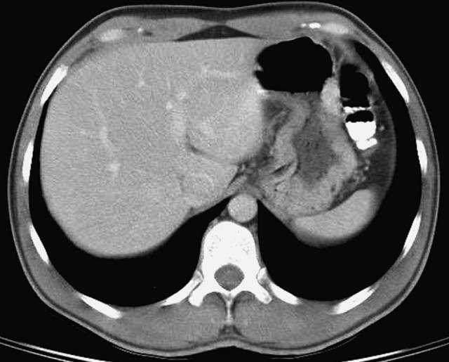
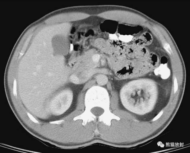
第一层
左上图中的阿拉伯数字提示“肝段”
1、肝右叶;2、腹外斜肌;3、下腔静脉;4、肝尾状叶;5、肝左叶;6、腹白线;7、腹腔干;8、胃左动脉;9、腹直肌;10、胃;11、结肠左曲;12、膈肌;13、椎弓;14、棘肌;15;棘突;16、胸腰筋膜;17、椎管和脊髓;18、胸椎;19、最长肌;20、髂肋肌(胸段);21、脾脏;22、胃后动脉;23、背阔肌;24、左肺;25、肋膈隐窝;26、右膈下隐窝;27、肝裸区;28、肋间淋巴结;29、贲门;30、膈上淋巴结;31、后纵隔;32、心切迹;33、膈下淋巴结;34、左侧结肠旁沟。
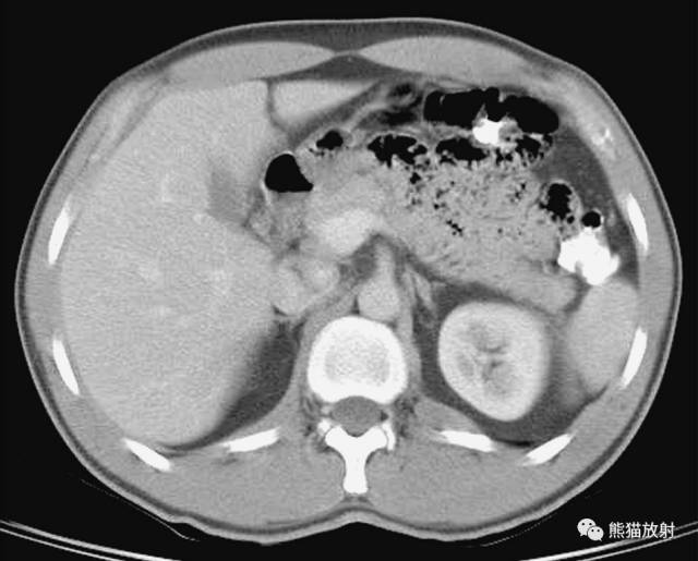
第二层
腹腔(粉色);腹膜后(黄色)
1、肝右叶;2、下腔静脉;3、肝尾状叶;4、肝门静脉;5、肝左叶;6、胃左动脉;7、腹直肌;8、膈肌;9、胃;10、结肠左曲;11、腹外斜肌;12、胸导管;13、奇静脉;14、腹主动脉;15;胸椎;16、最长肌;17、椎管和脊髓;18、棘肌;19、髂肋肌(胸段);20、脾脏;21、左肺;22、背阔肌;23、肋膈隐窝;24、右膈下隐窝;25、肝裸区;26、膈上淋巴结;27、肋间淋巴结;28、后纵隔;29、膈下淋巴结;30、左侧结肠旁沟。
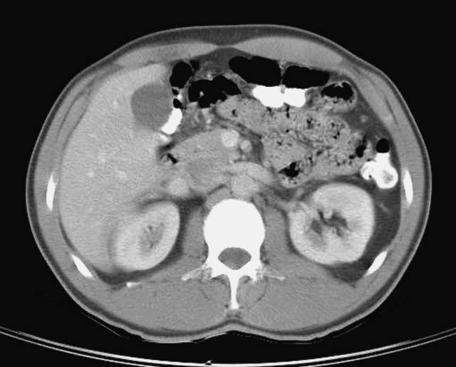
第三层
1、肝右叶;2、肝尾状叶;3、下腔静脉;4、肝门静脉;5、腹直肌;6、肝圆韧带;7、肝左叶;8、十二指肠降段;9、腹白线;10、肠系膜上动脉;11、腹腔干;12、胃;13、脾静脉;14、胰腺;15;空肠;16、横结肠;17、降结肠;18、左结肠静脉;19、腹外斜肌;20、膈肌;21、奇静脉;22、髂肋肌(胸段);23、胸导管;24、胸椎;25、棘肌;26、椎管和脊髓;27、腹主动脉;28、半奇静脉;29、最长肌;30、肾上腺动脉;31、左侧肾上腺;32、左肾;33、左肺;34、背阔肌;35、脾脏;36、肝门区;37、圆韧带凹痕;38、肝十二指肠韧带;39、网膜孔;40、网膜囊/大网膜;41、胰淋巴结;42、右膈下隐窝;43、肝淋巴结;44、腰淋巴结;45、膈上淋巴结;46、后纵隔;47、脾门;48、左结肠旁沟。
第四层
1、肝右叶;2、肝动脉;3、胆囊;4、胆管;5、十二指肠上段;6、肝圆韧带;7、肝门静脉;8、肝左叶;9、胃;10、脾静脉;11、腹直肌;12、胰腺(尾部);13、空肠;14、横结肠;15、降结肠;16、腹外斜肌;17、肝门静脉;18、下腔静脉;19、膈肌;20、胸椎;21、腹主动脉;22、最长肌;23、椎管;24、棘肌;25、肠系膜上动脉;26、左侧肾上腺;27、髂肋肌(胸段);28、左肾;29、左肺;30、脾脏;31、背阔肌;32、右膈下隐窝;33、圆韧带凹痕;34、十二指肠上隐窝;35、大网膜;36、上组肠系膜淋巴结;37、左结肠旁沟;38、肋膈隐窝;39、肝门区;40、肋间淋巴结;41、腰淋巴结;42、膈上淋巴结;43、主动脉裂孔;44、后纵隔;45、肾筋膜。
第五层
1、肝右叶;2、下腔静脉;3、胆囊;4、腹直肌;5、十二指肠降段;6、肝左叶;7、肝门静脉;8、脾静脉;9、左侧肾上腺;10、胰腺(体部);11、横结肠;12、空肠;13、内斜肌;14、降结肠;15、腹外斜肌;16、髂肋肌(胸段);17、膈肌;18、胸椎;19、脊神经;20、棘肌;21、椎管;22、腹主动脉;23、肠系膜上动脉;24、最长肌;25、左肾;26、肾锥体;27、肾窦;28、背阔肌;29、脾脏;30、肋膈隐窝;31、膈下隐窝;32、胆囊淋巴结;33、肋间淋巴结;34、网膜囊前庭;35、腰淋巴结;36、上组肠系膜淋巴结;37、肾筋膜;38、左侧肠系膜结肠沟;39、左侧结肠旁沟。
第六层
1、肝脏;2、下腔静脉;3、胆囊;4、腹直肌;5、十二指肠降段;6、胰腺(头部);7、肠系膜上动脉及静脉;8、左肾静脉;9、横结肠;10、空肠;11、内斜肌;12、降结肠;13、腹外斜肌;14、背阔肌;15、肾皮质;16、右肾;17、腰方肌;18、膈肌;19、椎管;20、棘肌;21、胸椎;22、最长肌;23、腰大肌;24、髂肋肌(胸段);25、腹主动脉;26、肾锥体;27、肾窦;28、肋膈隐窝;29、膈下隐窝;30、肝肾隐窝;31、肋间淋巴结;32、十二指肠下隐窝;33、腰淋巴结;34、大网膜,网膜囊(下隐窝);35、肾筋膜;36、左侧肠系膜结肠沟;37、左结肠旁沟。
第七层
1、肝脏;2、右肾静脉;3、下腔静脉;4、胆囊;5、结肠右曲;6、十二指肠;7、胰十二指肠下动脉及静脉;8、肠系膜上动脉及静脉;9、左肾静脉;10、肠系膜下静脉;11、横结肠;12、腹直肌;13、空肠;14、内斜肌;15、降结肠;16、腹外斜肌;17、右肾;18、肾锥体;19、髂肋肌(胸段);20、右肾动脉;21、腰方肌;22、腰大肌;23、膈肌;24、椎管;25、棘肌;26、胸椎;27、腰升静脉;28、最长肌;29、腹主动脉;30、左肾动脉;31、肾窦;32、肾盏;33、背阔肌;34、肝肾隐窝;35、肋间淋巴结;36、十二指肠下隐窝;37、腰淋巴结;38、大网膜;39、肾筋膜;40、左侧肠系膜结肠沟;41、左结肠旁沟。
第八层
1、肝脏;2、右肾动脉;3、胆囊;4、结肠右曲;5、十二指肠;6、下腔静脉;7、肠系膜上动脉及静脉;8、腹主动脉;9、左肾静脉;10、横结肠;11、腹直肌;12、空肠;13、降结肠;14、内斜肌;15、外斜肌;16、右肾;17、肾锥体;18、腰方肌;19、肾皮质;20、腰大肌;21、膈肌;22、胸椎;23、椎管;24、棘肌;25、腰动脉及静脉;26、最长肌;27、左肾动脉;28、髂肋肌;29、肾盂;30、背阔肌;31、肝肾隐窝;32、肋间淋巴结;33、腰淋巴结;34、大网膜;35、肾门;36、左侧肠系膜结肠沟;37、左结肠旁沟。
第九层
1、肝脏;2、右肾动脉;3、胆囊;4、结肠右曲;5、十二指肠;6、腹直肌;7、下腔静脉;8、肠系膜上动脉及静脉;9、横结肠;10、十二指肠空肠曲;11、腹主动脉;12、空肠及回肠动/静脉;13、左肾静脉;14、空肠;15、降结肠;16、内斜肌;17、外斜肌;18、肾皮质;19、肾盂;20、最长肌;21、膈肌;22、胸椎;23、棘肌;24、椎管;25、腰动/静脉;26、腰大肌;27、左睾丸动脉;28、腰方肌;29、左肾动脉;30、髂肋肌;31、肾锥体;32、背阔肌;33、肝肾隐窝;34、肾门;35、肋间淋巴结;36、腰淋巴结;37、大网膜;38、肠系膜根部;39、左侧肠系膜结肠沟;40、左侧结肠旁沟。
第十层
1、肝脏;2、右肾静脉;3、结肠右曲;4、回肠;5、下腔静脉;6、横结肠;7、十二指肠;8、右侧睾丸动脉;9、肠系膜上动脉及静脉;10、空/回肠动/静脉;11、左侧睾丸动脉;12、左肾静脉;13、空肠;14、腹横肌;15、内斜肌;16、降结肠;17、外斜肌;18、右肾;19、肾窦(脂肪组织);20、腰方肌;21、腰大肌;22、右侧腰静脉;23、膈肌;24、椎管;25、棘肌;26、腰椎;27、腹主动脉;28、最长肌;29、肾盂;30、髂肋肌;31、背阔肌;32、肝肾隐窝;33、网膜囊;34、肋间淋巴结;35、横结肠系膜;36、腰淋巴结;37、肠系膜;38、肾门;39、左侧肠系膜结肠沟;40、肾筋膜;41、左侧结肠旁沟。
推荐阅读:
——本期完——
我们(医世象,微信ID:medhealife)
致力于癌症、慢病、妇幼等领域的科研成果报道,以及科普知识的传播;
关注于肿瘤、妇幼、病理、检验、内科等科室的最新资讯及政策指导;
为医生、患者以及相关科研机构人员提供最新的实讯;
为医学惠民贡献一份力量。