脊柱的损伤及病变属于很常见的问题,在了解解剖的基础上,才能在临床工作中更好的服务于患者。
今天重点给大家介绍脊柱的相关解剖知识,值得学习借鉴!
应用解剖
(一)基本概述
1. 综述:
人类幼年时椎骨共有33块(颈椎7块,胸椎12块,腰椎5块,骶椎5块,尾椎4块)。随年龄增长5块骶椎合成一块骶骨, 4块尾椎合成一块尾骨。
借韧带、关节及椎间盘连接而成。脊柱上端承托颅骨,下联髋骨,中附肋骨,并作为胸廓、腹腔和盆腔的后壁。脊柱内部自上而下形成一条纵行的脊管,内有脊髓。
2. 功能:
支持人体
传导负荷
运动
维持稳定
保护脊髓的功能
六个自由度的灵活运动
3. 解剖位置
冠状面 (额状面) – 将身体分成前后两部分
矢状面-将身体分成左右两部分
正中矢状面 – 将身体分成左右相等的两部分
横断面 (水平面或轴面) – 将身体分成上下两部分
前面观:椎体自上而下渐加宽,第2骶椎最宽。
侧面观:可见颈、胸、腰、骶四个生理性弯曲,颈和腰曲凸向前,胸和骶曲凸向后。
后面观:颈椎棘突短而分叉,近水平位。胸椎棘突细长,斜后下方。腰椎棘突呈板状水平向后。
(二)椎骨的基本形态及结构
颈椎前凸 20°~40°
胸椎后凸 20°~ 40°
腰椎前凸 30°~ 50°
骶骨后凸倾斜
骨组织类型:
A.皮质骨:
坚硬,主要位于骨的表面
提供骨的强度,良好的固定点
哈佛氏系统
B.松质骨:
较软,大部分位于骨的内部
提供强度和细胞储存的场所
骨小梁,海绵状或蜂窝状
脊椎结构:
关节突
脊椎峡部
间盘
终板
-软骨终板
-骨性终板
骨突环
椎弓根切迹
椎间孔,神经根出口
(三)各段椎骨的特征
1.颈椎
根据解剖形态的差异,颈椎被分为上颈椎 (C1~2) 下颈椎 (C3~7)
椎体小、有横突孔、棘突分叉、上下关节突近似水平位、椎孔较大且多呈卵圆形
A.上颈椎:
颈枕关节——无间盘
寰椎 (C1)——与颅骨 (C0) 和枢椎 (C2)形成关节
寰枢关节——无间盘
枢椎 (C2)——与C1和C3形成关节
寰椎:
呈环状,无椎体
第2~6颈椎的棘突较短,末端分叉,第7颈椎棘突长,末端不分叉
寰枢关节:
在寰枕连接部,大部分运动功能为前屈—后伸和侧屈
在寰枢关节,近50%的头部旋转运动发生于此
寰枢关节稳固性的结构:关节囊、寰枢前膜、寰枢后膜、覆膜、寰椎十字韧带、齿突尖韧带、翼状韧带等。
枢椎 :
齿状突——寰椎的旋转中心
横突——横突孔、椎动脉、神经根沟
侧块,较大
关节面
棘突 (分叉)
B.下颈椎(C3~C7):
一般前凸 20°~40 °
每个患者单独评估
所有节段都有间盘
关节(过渡)C5-6-7
-高运动性
-损伤风险增加
3~7颈椎椎体上面外侧缘的椎体钩与相邻椎体形成钩椎关节,增加颈椎稳定性,防止上一颈椎及椎间盘移位。
椎骨突起 (C7):
大而长的棘突
解剖标志
2. 胸椎
椎体——T1 到 T12体积递增
椎弓根——直径小
椎板——垂直 “叠瓦”排列
棘突——长,重叠,突出向下
椎间孔——大,降低神经受压风险
关节突
肋骨横突关节面
肋骨和胸椎构成胸廓的骨性结构,限制胸椎运动
连接部 :
-C6 - T2
-T11 - L2
-邻近节段更易损伤
浮肋在 T11 -T12
3. 腰椎
椎体:L1 ~L5 体积递增
椎弓根:比胸椎长和宽,椭圆形
棘突:水平,方形
横突:比胸椎小
椎间孔:大,但神经根受压风险增加
椎孔:大得能够容纳马尾和神经根
腰段椎管的形状:从上而下为卵圆形----三角形---三叶形
4. 骶椎
5. 骶尾椎
6.髂骨
自体骨移植取骨部位
髂嵴后部可用于棒结构的附加支持和固定 (骶髂固定)
(四)椎骨间连接
1.韧带:
坚韧,纤维组织连在骨、软骨或其他结构
当应力加大到移动的最大范围后起作用
高弹性保护关节
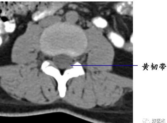
在相邻椎骨的椎弓之间的叫椎弓间韧带,由弹性结缔组织构成,呈黄色,故又称黄韧带。
在各棘突之间、各横突之间,分别生有棘间韧带和横突间韧带。
在椎骨前面的是前纵韧带,上连枕骨大孔前缘,下达骶骨(S1或2)前面,紧贴椎体和椎间盘前面,厚实而坚韧。椎体后面的后纵韧带长度与前纵韧带相当,与椎体相贴部分比较狭细。
在棘突尖上还有一条上下连续的棘上韧带,在胸、腰、骶部紧贴棘突末端,至颈部则呈板片状,为项韧带。
2. 椎管及内容物
1)椎管:由椎骨的椎孔、骶骨的骶管和椎骨之间的骨连接共同构成的骨纤维管,上接枕骨大孔与颅腔相通,下达骶管裂孔而终。其内容有脊髓、脊髓被膜、脊神经根、血管及少量结缔组织等。
椎管壁的构成:
前壁:椎体、椎间盘、后纵韧带
侧壁:椎弓根、椎间孔
后壁:椎板、黄韧带
椎管形态:在横断面上椎管各段的形状及大小存在差异
颈段:呈三角形
胸段:呈圆形,以第4~6胸椎处最为狭窄
腰段:形态不一
-第1、2腰椎处 多呈圆形或卵圆形
-第3、4腰椎处 多呈三角形
-第5腰椎处 多呈三叶形
椎管分区:根据椎管的形状和椎管内容物的配布是相关的,一般将椎管分为两部分即中央椎管和神经根管。
A.中央椎管由脊髓及其被膜所占位置。
B.神经根管:指椎管外侧部脊神经根所占部位,临床上又称侧隐窝。其前壁椎体和椎间盘后外侧,后壁为上关节突、黄韧带,外侧壁为椎弓根和椎间孔。
腰段神经根管与下述结构的关系:
腰段椎管侧隐窝明显。
盘黄间隙即椎间盘 与黄韧带之间的间隙。
上关节突旁沟。
椎弓根下沟。
2)脊髓
脊髓节段与椎骨对应关系:
上段颈髓(C1~4)与同序数椎骨同高
下段颈髓(C5~8)和上段胸髓(T1~4)较同序数椎骨高一个椎体
中段胸髓(T5~8)较同序数椎骨高2个椎体
下段胸髓(T9~12)较同序数椎骨高3个椎体
腰髓(L1~5)平对第10、11胸椎
骶、尾髓(S1~5、Co)平对第12胸椎和第1腰椎。
脊髓被膜及被膜间隙:
脊髓被膜(外→内):硬脊膜、蛛网膜和软脊膜
被膜间隙(外→内):硬膜外隙、硬膜下隙、蛛网膜下隙
3)脊柱静脉
椎静脉系的静脉结构特征是壁薄、无瓣、吻合很多。
椎外静脉丛:椎外前静脉丛和椎外后静脉丛
椎内静脉丛:椎内前静脉丛和椎内后静脉丛
椎间静脉
椎体静脉
脊髓静脉
3.椎间盘
占脊柱全长约1/4,颈、腰段最厚
运动节段的纤维软骨连接
出现在 C2-C3 到 L5-S1
可以压缩,拉伸和旋转运动
体内最大无血结构
前柱承担80%的应力,中柱和后柱承担20%应力 。
1983年Denis提出三柱分类概念,提出脊柱的稳定性有赖于中柱的完整,而并非决定于后方韧带复合结构。Denis提出三柱分类,将脊柱分为前、中、后三柱:
前柱:前纵韧带、椎体前二分之一、椎间盘的前部。
中柱:椎体后二分之一、后纵韧带。
后柱:关节突、黄韧带、棘间韧带、棘上韧带。
髓核:
位于中央部分
黏液胶冻样物质
含水量高
抵抗轴向压力
纤维环:
间盘的外边部分
薄片组成
多层胶原纤维
-30°倾斜
-邻近层反向
对抗各方向剪力
最大的无血管组织
营养来自终板的扩散
扩散障碍导致椎间盘退变
寰椎与枢椎之间,骶椎尾椎之间不存在椎间盘,所以全身的椎间盘只有23个。它们均位于两个椎体之间。胸椎间盘最薄,腰部的椎间盘最厚,约为9毫米。
4.关节突关节
颈段关节突关节面近似水平位。
胸段关节突关节面近似冠状位。
腰段关节突关节面近似矢状位。
枕颈关节:
寰枢关节:
关节面:
钩椎关节:
肋横关节:
腰骶关节:
骶髂关节:
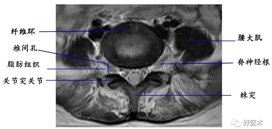
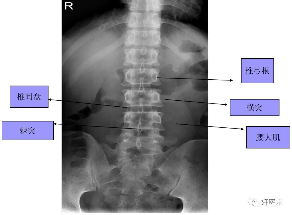
影像解剖
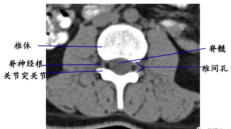
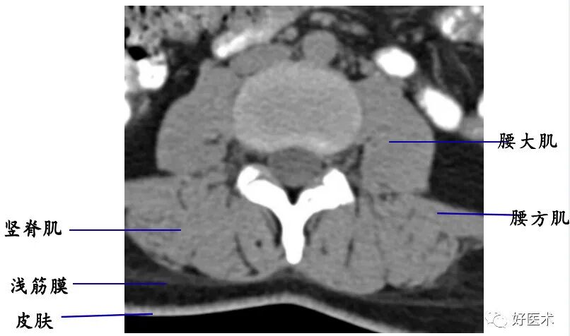
1. 经椎弓根的横断层面:
断面经过的部位:椎弓根
主要特征:椎管为完整性骨环,由椎体、椎弓根和椎弓板构成
2. 经椎体下部的横断层面:
断面经过的部位:椎弓根下方的椎体。
主要特征:椎管为不完整的骨性环,其断开处为椎间孔上部。
经过不同部位的椎间孔上部的结构不同,颈段主要为椎间静脉,胸、腰段主要为脊神经根。
3. 经椎间盘的横断层面:
断面经过的部位:椎间盘
主要特征:椎管呈不完整的骨性环,其断开处为椎间孔下部,不同部位椎间孔下部经过的结构不同,颈段主要为脊神经根,胸腰段主要为椎间静脉。
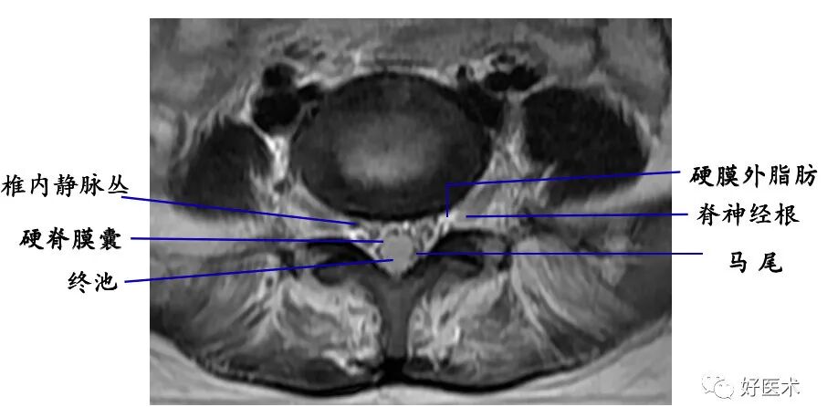
4. 椎管及内容物
硬膜外脂肪:低密度影
硬脊膜囊:呈圆形或椭圆形软组织密度影。CT平扫不能区别硬脊膜囊、脑脊液和脊髓。
椎内静脉丛:位于硬膜外间隙内,在CT平扫上不能单独显示,增强扫描呈点状高密度影。
脊髓:位于椎管中心呈中等信号影
脑脊液:
T1WI上呈低信号;
T2WI上呈高信号影。
脊神经根:中等信号条状或圆点状影。
硬膜外脂肪组织:
T1WI上呈连续条状或带状高信号;
T2WI上呈中高信号。
椎内静脉丛:呈网状略低信号影。
椎间孔:位于椎管前外侧,其内的脊神经根呈软组织密度,周围有低密度的脂肪组织环绕
充填椎间孔的脂肪组织呈高信号;
行走于其中的脊神经根呈圆形、长圆形低或等信号影
椎间盘:呈软组织密度影,CT值为70±5HU,不能区分髓核和纤维环
髓核:T2WI上呈较高信号
纤维环:T1WI和T2WI上均显示为低信号
sharpey纤维:T1WI和T2WI上均显示为低信号
透明软骨板:T1WI和T2WI上均显示为低信号
脊椎韧带:
前、后纵韧带均较薄,CT上不能单独显示。
黄韧带较厚(正常时≤3 mm),位于椎板和关节突的内侧面,密度高于硬脊膜囊和硬膜外脂肪,显示较清晰
棘上韧带和棘间韧带也呈细条状软组织密度影。
椎旁软组织:CT上均表现为软组织密度结构,CT值约40HU~50HU
推荐阅读:
——本期完——
我们(医世象,微信ID:medhealife)
致力于癌症、慢病、妇幼等领域的科研成果报道,以及科普知识的传播;
关注于肿瘤、妇幼、病理、检验、内科等科室的最新资讯及政策指导;
为医生、患者以及相关科研机构人员提供最新的实讯;
为医学惠民贡献一份力量。