来源:熊猫放射
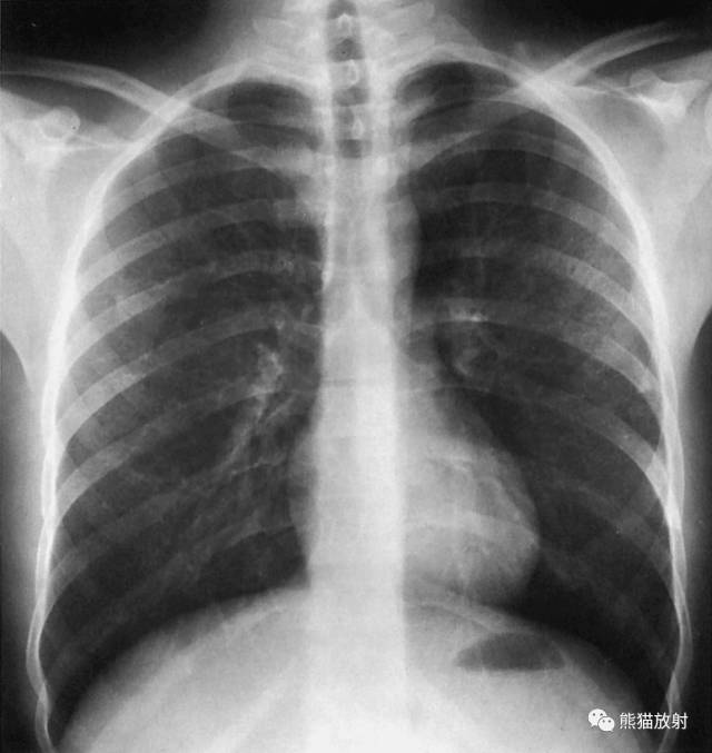
X线平片肺叶/段分布
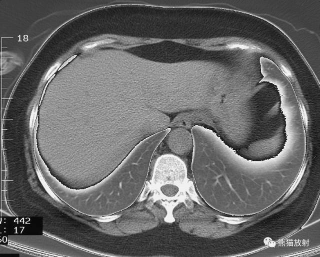
轴位断层肺段分布
右肺
上叶【S1:尖段、 S2:后段、 S3:前段】
中叶【S4:外段 、S5:内段】
下叶 【S6:背段、S7:内基底段、S8:前基底段、S9:外基底段、S10:后基底段】
左肺
上叶【S1+2:尖后段、S3:前段、S4:舌叶上段、S5:舌叶下段】
下叶【S6:背段、S7+8:前内基底段、S9:外基底段、S10:后基底段】
下图中:
阿拉伯数字为肺段
绿色结节为淋巴结
蓝色线段为肺段分界
红色线为心包。
(详细内容可参考此链接:【解剖】胸部CT断层(双语))
矢状断层肺段分布
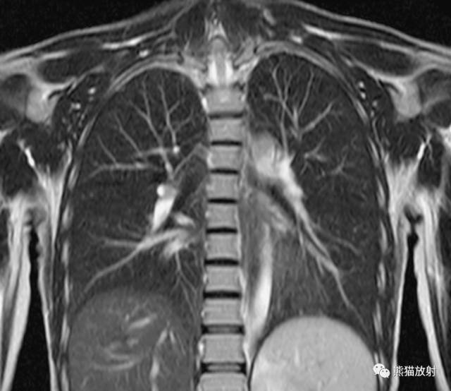
冠状断层肺段分布
推荐阅读:
——本期完——
我们(医世象,微信ID:medhealife)
致力于癌症、慢病、妇幼等领域的科研成果报道,以及科普知识的传播;
关注于肿瘤、妇幼、病理、检验、内科等科室的最新资讯及政策指导;
为医生、患者以及相关科研机构人员提供最新的实讯;
为医学惠民贡献一份力量。