![]()
胃肠道间质瘤(gastrointestinal stromaltumor,GIST)是一组独立起源于胃肠道间质干细胞的肿瘤,实质上由未分化或多潜能的梭形或上皮样细胞组成,属于消化道间叶源性肿瘤。
近年来,随着免疫组织化学、分子生物学及电镜技术的不断发展和应用,对其有了新的认识,该肿瘤的病理诊断日益增多。
1983年Mazur发现,曾经诊断为胃平滑肌瘤或神经鞘瘤的胃间质性肿瘤也缺乏雪旺氏细胞的免疫组化特点(S-100蛋白阴性),而且在电镜下无平滑肌细胞的特征,因此,首次提出了在组织发生上中性的名称,即胃间质瘤(gastric strunaltumor,GST)。
此后,又将该名称应用于肠道的类似肿瘤。从此,GIST作为一种特殊的胃肠道间叶性肿瘤逐渐得到认可与广泛应用。
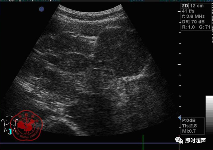
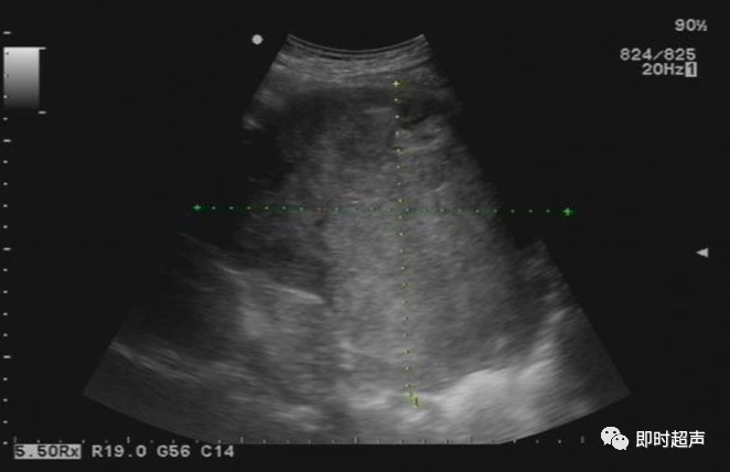
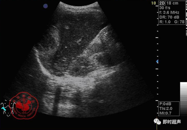
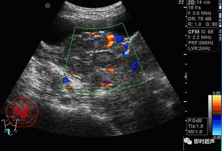
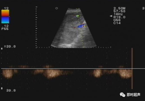
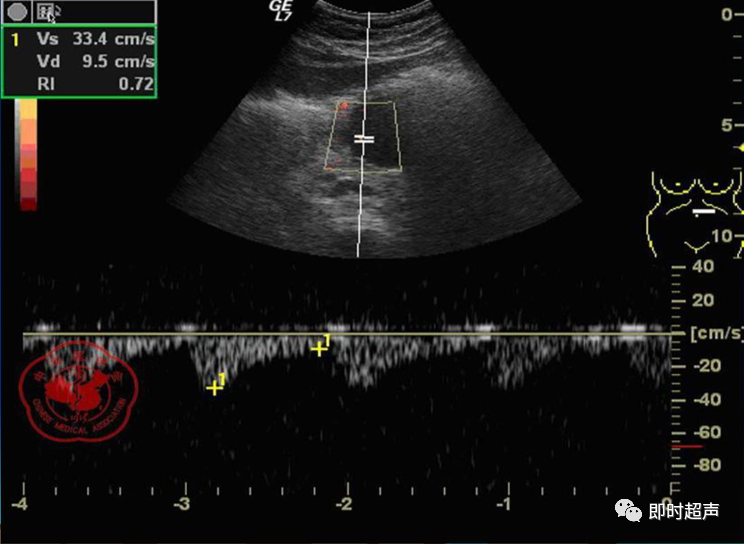
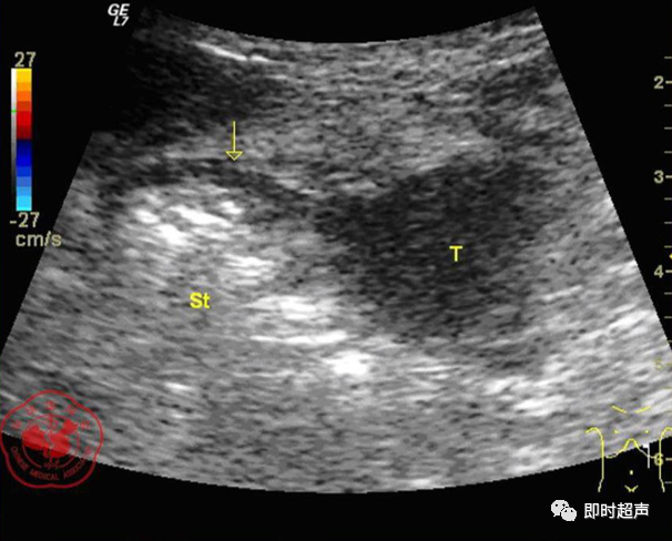
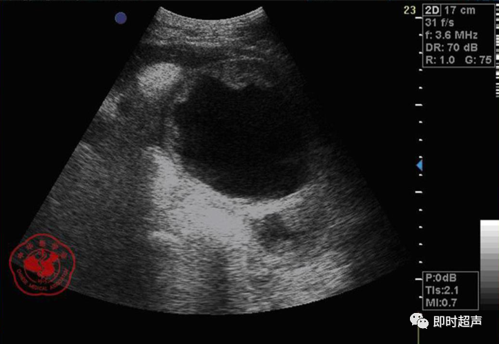
• GIST的发病机制与KIT信号通路的激活有关。• KIT是一种酪胺酸激酶跨膜受体蛋白,未经“装配”过的KIT蛋白是一种非活化的单体,参与细胞膜形成。几乎所有GIST都表达了KIT蛋白,而且大多突变的KIT基因保留了表达KIT蛋白的特性。c-kit内的突变主要见于恶性病例,特别是外显子11的点突变,还有外显子9、13和17,可以导致本质的或配体独立的c-kit激活,引发细胞的无序增殖和凋亡。这些具有功能的突变是GIST发病机理的关键,并且与肿瘤的恶性程度和预后较差相关。• GIST约75%发生于50岁以上老年人,中位年龄为58岁,无明显差异。• 可以发生在消化道从食道到肛门的任何部位,偶尔可原发于网膜、肠系膜和腹膜后,约50%发生在胃,25%发生在小肠,不足10%发生于食管、结肠及直肠。大体观察:肿块多境界清楚,类圆形,结节状,部分有假包膜。切面灰白、灰红,质韧,部分质嫩呈鱼肉状,伴有出血、坏死、囊性变。• 肿瘤组织主要由两种细胞组成,一种为长梭形细胞,细胞质丰富,嗜酸性,细胞核呈梭形或杆状;另一种为上皮样圆形或多角形细胞,细胞肥胖,胞质少。两种瘤细胞常呈束状、编织状或旋涡状排列。• 部分病例细胞异型明显,核分裂象增多,可见病理性核分裂象和瘤巨细胞。梭形细胞界不清楚,胞质丰富,淡染,轻度嗜伊红或略嗜碱,可有纤细、长梭形、短梭形或胖梭形、卵圆形,可见核仁。细胞核两端钝圆,部分病例胞质呈空泡状,位于核一端形成核端空泡胞,多呈交叉束状、旋涡状、席纹状及栅栏状排列。上皮样细胞胞浆丰富或透亮,多呈弥漫片状、束状或巢状排列。肿瘤间质可有出血、囊性变、坏死及黏液变,可见炎性细胞浸润。CD34抗原是一种115kd的糖基化蛋白,50%~80% GIST的CD34表达为阳性,CD34对鉴别GIST和典型的平滑肌瘤,神经鞘瘤还是非常有用的标记物,因后两者的CD34一般是阴性的。但CD34在诊断GIST上其特异性受到限制,一般情况下CD34多与CD117联合应用,方能提高GIST的诊断率。• 与肿瘤大小、发生部位、肿物与肠壁的关系以及肿瘤的良恶性有关。• 肿瘤较小者(直径小于2cm)常无症状,往往在体检和其它手术时无意中发现。• 肿瘤发生于胃肠道腔内时大多表现为呕吐、腹痛及消化道出血,而发生于胃肠道腔外的则主要表现为腹部包块。• 最常见的临床症状是中上腹部不适、腹部肿块及便血。• 对于临床发现的消化道(包括肠系膜、网膜、后腹膜)实体肿瘤,在排除其他常见肿瘤后,才考虑GIST。目前,诊断GIST有三条标准:③肿瘤组织具有梭形细胞和上皮样细胞两种基本细胞成分的病理学特征。这是诊断GIST金标准。CD117阳性者或CD117阴性而CD34阳性者,且伴平滑肌和神经双向分化或无分化者,可诊断为GISTs;以Desmin和SMA强阳性,而CD117阴性诊断为平滑肌肿瘤;以S-100阳性,CD117、Desmin、SMA均阴性诊断为神经鞘瘤。• GISTs的分型与组织学良恶性的关系:研究证实GISTs非单一分化的肿瘤,具有多向分化。• 当前GISTs的良性、交界性和恶性判断标准多参照Amin等提出的标准:②交界性:核分裂<5/50HPF,但肿瘤>5cm;• 另外研究显示,平滑肌型大多数为良性,少数为交界性和恶性,神经源型为恶性,双向分化亚型和未分化型为交界性和恶性,提示GISTs的分化型与其良恶性之间有一定关系。• 胃间质瘤早期多局部侵犯,后期出现肝转移和腹腔内种植,小肠间质瘤早期即可出现转移• 主要有超声扫描(检出率30%左右)、纤维内镜、超声内镜、CT、MRI、普通X• 线检查(胃肠钡餐造影、小肠插管气钡双重造影)、选择性血管造影检查等。• 不同部位的GIST,各种检查方法的敏感性不同。以CT检查为佳,尤其是螺旋CT,分辨率最高,可以三维重建,直接显示肿瘤大小、形态、密度、内部结构、边界,对邻近组织的侵犯也看得很清楚,同时还可观察其他部位的转移灶,有利于分期、鉴别与诊断。• MRI具有多轴成像及反映肿瘤内部成分的优点,尤其是动态扫描及各种新的扫描系列的出现更使其可以普及应用。• DSA检查对于GIST,特别是有消化道出血的患者更有价值。• 上述影像学检查表现并非特异性,与胃肠道平滑肌肿瘤、神经源性肿瘤鉴别困难。明确诊断要依赖病理免疫组化等手段。• 超声图像特征 肿物体积较小者(直径< 5. 0 cm )多为实性病变, 呈类圆形, 边界清晰, 内部回声多为较均匀的低回声。• 肿物体积较大者(直径> 5. 0 cm ) 多为混合性病变,呈不规则圆形或分叶状, 多数边界尚清晰, 以实性为主的病变内部为不均质中低回声伴不规则液性区及斑点状强回声; 以囊性为主的病变囊壁较厚,有分隔, 部分囊腔内可见点状、团状低回声。CDFI显示肿物实质回声内血流均较丰富。病例1:患者男, 62岁。自扪腹部包块2月余,包块增大20天就诊。查体:腹部平坦,无腹壁静脉曲张,无胃肠型及蠕动波,腹肌软,剑突下5cm处及左肋缘下可触及一质韧包块,大小约15*12cm,活动度差,边界尚清,包块深压痛,全腹无反跳痛。化验检查AFP:3.66(1.09-8.04)ng/ml,CEA:2.85(0-5)ng/ml。体格检查:一般情况良好,全腹软、平坦,腹部无压痛。超声检查:患者仰卧位时左上腹于胰尾前方可见一大小约6. 1 cm ×5. 8 cm ×5. 3 cm实性均质低回声,形态规则,包膜完整,边界清晰,活动度大;右侧卧时,肿块移至胰头右前方(图1) ;于其内探及丰富血流信号。体格检查:一般情况良好,腹丰满,上腹部有轻压痛,未扪及明显肿块。超声检查:患者仰卧位时左上腹于胰尾前方、脾门处可见一大小约10. 0 cm×8. 8 cm×7. 6 cm 实性低回声(图2) ,形态规则,包膜完整,边界清晰,肿块活动度大;右侧卧时,肿块移至左肝下间隙,回声尚均质;于其内探及较丰富血流信号(图3) 。图3 腹腔低回声肿块位于左肝下间隙,于低回声肿块内探及较丰富血流信号向壁外生长的胃肠道间质瘤, st为胃腔,箭头所指为胃壁, T为向外生的肿瘤• 胃间质瘤的定位准确率要高于十二指肠及小肠间质瘤,这主要是因为胃的解剖位置相对固定,且通过饮水使胃腔充盈,可清晰的显示胃壁的各层结构及肿块与胃壁的关系。肿块多表现为粘膜下、肌层或浆膜下低至中等回声团块,可向腔内、腔外或腔内外生长。但当肿瘤较大或浸润周围脏器时,超声定位仍有困难, 因此,超声如发现上腹部肿块且怀疑来源于胃者,应尽可能嘱其饮水充盈胃腔,并多角度、多切面观察肿块与周围脏器的关系,以提高定位的准确性。• 十二指肠间质瘤的定位亦较准确,但降部的外生性肿块常与胰头粘连而误诊为胰腺肿瘤回声均匀且位置较深的间质瘤亦可能误为胰头周围淋巴结。• 空、回肠间质瘤常因肿块较大,多发,位置不固定而难以定位,往往误诊为腹、盆腔或腹膜后肿瘤,超声检查如发现肿块局部肠壁增厚,肿块与肠道随呼吸同步运动时可作出定位诊断。• GIST的声像图表现有助于其良、恶性的鉴别:良性肿瘤多体积较小,圆形或椭圆形,回声均匀,边界清晰。恶性肿瘤多较大,呈不规则分叶状,回声不均匀,内部易出血、坏死、囊变。• 肿瘤长径与肿瘤内部是否出现无回声区在良、恶性病变之间的差异有统计学意义,是判断良恶性的有效征象。• 如以肿瘤长径>5cm为诊断恶性标准,其敏感性、特异性及准确性均较理想。超声可为临床提供胃肠道间质瘤的部位、大小、边界、回声等较多有用信息,一部分病例可作出定位、定性诊断,并可在术后或复发患者药物治疗期间对其进行动态观察;CDFI方便快捷、无需造影剂即可对间质瘤周边及内部血流进行观察,可为临床医师提供肿瘤血供情况。但未发现腹腔或肝脏转移时,超声判断胃肠道间质瘤性质有一定难度。• 目前临床上对GISTs的治疗效果并不十分满意。治疗仍以手术为主,对无法手术切除或已有转移的GISTs患者进行甲磺酸伊马替尼化疗。• 手术方式取决于肿瘤大小、部位和术中冰冻切片结果等。• 发生在胃的间质瘤,可首选胃大部切除术;发生在十二指肠的间质瘤可行保留胰头的十二指肠切除术或胰十二指肠切除术;发生在小肠的间质瘤可行肿瘤肠段切除术;发生于结肠的间质瘤可行左半或右半结肠切除术;发生于直肠的间质瘤可行肿瘤局部切除术。一般情况下无需淋巴结清扫。• 术后随访监测,复发者单个病灶可考虑手术切除;多发或转移特征者应试行甲磺酸伊马替尼化疗,并监测肿瘤大小及数目的改变。• 随着分子靶点药物进入肿瘤临床,一种小分子化合物———酪胺酸激酶受体抑制剂,美国称为Gleevec,欧洲叫做Glivec(格列卫),在治疗GIST和慢性粒细胞白血病方面有其独特的作用。已知细胞膜表面上皮生长因子受体酪胺酸激酶抑制剂大致分为两大类:一类是小分子化合物;另一类是特异性抗体。利用抑制酪胺酸激酶的活性,对处于增殖期状态的病变具有治疗的作用。Glivec在体外、体内和细胞水平都可强烈抑制酪胺酸激酶的活性,是干细胞因子(SDCF)受体KIT的强抑制剂。• Glivec推荐用量为400mg(4片),每日一次, 3个月为一疗程。如服3个月后无效可加至600mg/d~800mg/d(6~8片)[18];若仍无效果不再增量应停止治疗。• Glivec治疗进展转移的GIST总有效率为50%左右,比传统化疗有效率高十倍以上;肿瘤生长控制率达80%以上,起效最快在服药后24h之内,使症状改善如疼痛缓解;平均起效时间为13周(约3个月)。患者体力状况改善是又一突出效果。2/3患者治疗后无症状可如健康人生活工作。• Brainard等研究发现间质瘤预后差的前两位因素为肿瘤大小和核分裂象,故对于间质瘤直径>5cm和核分裂象>5/50HPF的患者应给予口服Glivec。最近,Liu报道口服Glivec治疗可使85%患者的病情得到控制。
推荐阅读:
1.呼吸系统解剖图谱
2.鼻咽部的详细解剖(含各个孔道)
3.26种腹部消化系统重要影像征(上篇)
4.26种腹部消化系统重要影像征(下篇)
5.上腹部CT断层 (肝脏解剖及肝段分布、腹部淋巴结分布)
6.脊柱超详细解剖
7.高清人体器官解剖图
8.【解剖】女性生殖系统、乳腺
9.【解剖】肺叶、肺段分布简图(适用于X线、CT、MRI)
10.读完此文,学会看胸片
11.【解剖】男性 / 女性 生殖系统
12.【解剖】骨盆、盆膈、盆腔内容物(女/男)
13.脑动脉丨正常变异
致力于癌症、慢病、妇幼等领域的科研成果报道,以及科普知识的传播;关注于肿瘤、妇幼、病理、检验、内科等科室的最新资讯及政策指导;