![]()
颈胸腰椎疾病多发,人人需要掌握!
对疾病的准确诊断的前提是要熟知正常的解剖学结构,下面结合脊椎的磁共振检查图来复习下解剖结构吧。
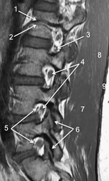
图1正常脊椎的MRI检查,左图为正中矢状位T2WI,右图为T1WI图 2 胸椎 T2WI 轴位图:1,肋椎关节;2,类骨头;3,黄韧带;4,椎弓根;5,椎弓板;6,横突;7,棘突;8,肋横突关节;9,肋结节;10,半奇静脉;11,后纵韧带图 3 腰椎矢状位 T1WI 序列成像:1,脊髓;2,脊髓圆锥;3,马尾;4,蛛网膜下腔;5,硬膜外脂肪;6,黄韧带;7,棘间韧带;8,棘上韧带;9,椎体静脉丛;10,硬膜外静脉丛;11,硬膜外脂肪;12 主动脉图 4 L5/S1 水平轴位 T1WI 序列成像:1,腰肌;2,L5 神经根(前支);3,L5 神经根(后支);4,黄韧带;5,蛛网膜下腔;6,马尾神经根;7,小关节面;8,髂腰韧带;9,左髂外静脉;10,左髂外动脉;11,右髂外动脉;12,右髂外静脉;13,多裂肌;14,竖脊肌组图 5 腰椎旁矢状位 T1WI 序列成像:1,腰静脉;2,腰动脉;3,椎间孔静脉;4,脊神经节后根;5,椎间孔静脉;6,关节面;7,多裂肌;8,竖脊肌群;9,胸腰筋膜,后层图 6 胸椎 T1WI 序列成像:1,胸髓;2,蛛网膜下腔;3,硬膜外脂肪;4,黄韧带;5,多裂肌;6,棘突;7,硬膜外静脉;8,棘上韧带图 7 胸椎矢状位 T2WI 序列成像:1,胸髓;2,蛛网膜下腔;3,黄韧带;4,多裂肌;5,棘突;6,棘上韧带;7,椎体静脉;8,脊髓圆锥;9,马尾图 8 胸椎旁矢状位 T2WI 序列成像:1,硬膜囊后壁;2,硬膜外脂肪;3,黄韧带图 9 胸椎轴位 T2WI 序列成像:1,主动脉;2,半奇静脉;3,奇静脉;4,椎间孔静脉;5,胸肋间血管;6,脊神经节后根;7,椎体静脉;8,后纵韧带;9,脑脊液流动伪影;10,多裂肌;11,背最长肌;12,斜方肌图10 胸椎旁矢状位 T2WI 序列成像:1,椎间孔静脉;2,胸椎旁肋间动静脉;3,神经根;4,上关节突;5,下关节突;6,关节面;7,椎弓峡部;8,椎弓根;9,黄韧带;10,竖脊肌群;11,斜方肌——本期完——
我们(医世象,微信ID:medhealife)
致力于癌症、慢病、妇幼等领域的科研成果报道,以及科普知识的传播;
关注于肿瘤、妇幼、病理、检验、内科等科室的最新资讯及政策指导;
为医生、患者以及相关科研机构人员提供最新的实讯;
为医学惠民贡献一份力量。
![]()