微信号 medhealife
功能介绍 与10万+临床医生、患者,一起正确认识肿瘤,科学防治肿瘤。
文章来源:华夏影像诊断中心
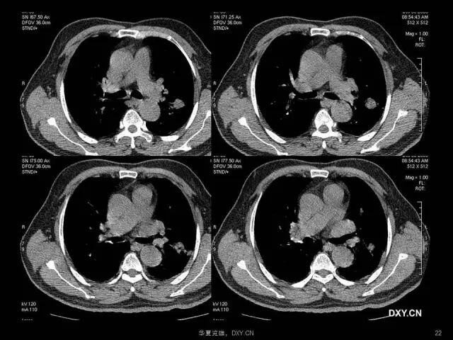
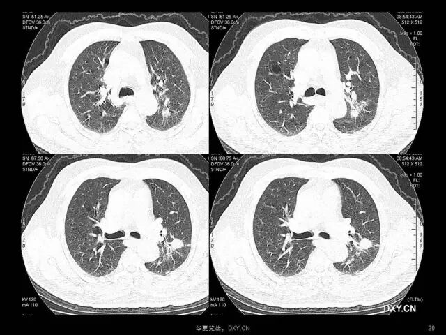
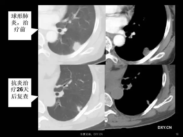
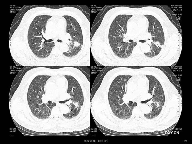
肺炎、肺癌、肺结核在影像学上的征象往往千变万化。
今天,我们就来练一练影像诊断的「火眼金睛」吧。
1.一图读懂:肺结节的处理原则
4.呼吸系统解剖图谱
5.鼻咽部的详细解剖(含各个孔道)
6.26种腹部消化系统重要影像征(上篇)
7.26种腹部消化系统重要影像征(下篇)
8.上腹部CT断层 (肝脏解剖及肝段分布、腹部淋巴结分布)
9.脊柱超详细解剖
10.高清人体器官解剖图
11.【解剖】女性生殖系统、乳腺
12.【解剖】肺叶、肺段分布简图(适用于X线、CT、MRI)
13.读完此文,学会看胸片
14.【解剖】男性 / 女性 生殖系统
15.【解剖】骨盆、盆膈、盆腔内容物(女/男)
16.脑动脉丨正常变异
微信扫一扫关注该公众号