华山大众传染病学50讲-第三十九讲
“追寻生命本质,探索前进之路”,欢迎来到“华山大众传染病学50讲”,让我们每周学习一个传染病案例,通过一年的时间轻松掌握常见的传染病知识。
李斯特的名字大家或许第一反应是作曲家、钢琴家——弗朗茨·李斯特,那李斯特菌又和钢琴家李斯特有什么关系呢?李斯特菌的名字又从何而来呢?我们还是从一个暴发案例开始说起。
李斯特菌感染的多州暴发导致八个州的46例确诊病例和7例死亡。感染与食用切成薄片的火鸡熟肉有关。报告的病例来自宾夕法尼亚州(14例),纽约(纽约市11例,其他地区7例),新泽西州(5),特拉华州(4),马里兰州(2),康涅狄格州(1),马萨诸塞州(1) 和密歇根州(1)。
食用被李斯特菌污染的食物可能会致命。大多数病例发生在孕妇,老年人和免疫系统较弱的人中。该疾病通常始于流感样症状,有时甚至是腹泻,通常在进食受污染的食物后1周内发生。在严重的情况下,疾病发展为高烧,严重头痛和脖子僵硬。
从脓毒症的病人的血液中培养到李斯特菌。在血样的革兰染色中鉴定出病原体。血琼脂上的生长显示溶血菌落。
让我们来思考以下问题
未经治疗和/或怀孕的患者发生哪些并发症的风险增加?
为什么这种病原体经常与加工肉有关?
您将如何治疗那些受疾病影响的人?
您如何处理这次暴发?
李斯特菌并不常见
李斯特菌病是一种并不常见的食源性疾病,正常宿主摄入大量李斯特菌后,可能仅会出现自限性的发热性胃肠炎。
然而对于免疫抑制患者、极年幼或极年长者(包括新生儿和老年人)、妊娠女性及(极少数)既往体健者,单核细胞增多性李斯特菌是一种重要的细菌病原体。上述宿主感染李斯特菌时的主要临床表现为中枢神经系统受侵(脑膜炎或脑膜脑炎)和菌血症。
李斯特菌是一种革兰阳性杆菌
李斯特菌是一种需氧和兼性厌氧、能活动、β溶血(乙型溶血)且不产芽孢的革兰阳性短杆菌,在光学显微镜下呈特征性的翻滚运动,常以单个细菌或短链的形式存在。李斯特菌的革兰染色结果可能类似肺炎球菌(双球菌)、肠球菌或类白喉杆菌(棒状杆菌),或因革兰染色结果不一而易与嗜血杆菌混淆。
镜下形态与类白喉杆菌相似
尤其当血液或脑脊液培养呈阳性而被初步鉴定为类白喉杆菌时,临床医生应该考虑到该分离菌株实为李斯特菌的可能性。
李斯特菌具有特征的外观
李斯特菌在血琼脂平板上具有特征性外观,在每个菌落周围可形成清晰的β溶血小区域。
李斯特菌在血平板上菌落小,β溶血
李斯特菌在冷藏温度(4°C-10°C)中生长良好。偶尔会使用“冷增”法和选择性培养基从混合培养(如粪便)中分离李斯特菌。
李斯特菌无处不在
李斯特菌主要分布于土壤和腐烂中的植物。目前已从尘土、许多人类食品、动物饲料、水、污水、多种动物及无症状的人中分离出过该菌。约0.8%-3.4%的健康人可通过粪便排出李斯特菌。
李斯特菌可以在细胞内寄生
李斯特菌是一种兼性细胞内寄生菌。大多数成人李斯特菌感染源于经口摄入病菌,随后后者穿透肠道黏膜,引起全身性感染。
通过胃肠道进入血流,侵犯中枢和胎盘
病原体被单核细胞,巨噬细胞或多形核白细胞吞噬。该病原体可以在白细胞中生存并繁殖。它产生的毒素会破坏吞噬液泡和溶酶体膜,释放细菌,使其在白细胞内繁殖。被感染的白细胞将病原体播种在肝脏,脾脏和肺部。该病原体产生几种引起损害的毒素,包括会溶解红细胞的β-溶血素和一种会破坏组织的内毒素样细胞壁成分。李斯特菌偏好入侵胎盘和中枢神经系统。母体菌血症期间,李斯特菌会穿过胎盘,感染胎儿。
李斯特菌散发多见
李斯特菌病多为散发性而非暴发性。一项来自美国食源性疾病主动监测网( FoodNet)的报告阐明了这一现象。2000-2003年间,在9个州、共249例通过培养确认的李斯特菌病病例中,95%为散发性。散发性病例的感染源通常不明确,但现认为大多数病例是摄入污染食物所致。临床感染较有可能发生在摄入高度污染的食物之后
侵袭性李斯特菌感染的高危因素
大多数全身性、侵袭性李斯特菌感染患者至少存在1种易感因素,包括妊娠、糖皮质激素治疗、其他导致免疫功能受损的因素及年龄因素。
妊娠女性(尤其是妊娠晚期)尤其易被李斯特菌感染,在报告的病例中占比高达1/3。FoodNet研究指出,在育龄期(15-44岁)女性中,妊娠女性患李斯特菌病的风险远远大于非妊娠女性。妊娠女性感染李斯特菌可导致胎儿死亡、早产或新生儿感染。
糖皮质激素治疗是非妊娠患者最重要的易感因素,癌症化疗与李斯特菌病间存在关联。其他李斯特菌感染的危险因素还包括:实体肿瘤、器官移植(尤其是肾移植)、获得性免疫缺陷综合征(AIDS)、使用TNF-α拮抗剂治疗、糖尿病、终末期肾病(包括血液和腹膜透析)、铁过载、胶原血管病、其他严重的慢性非恶性疾病、结肠镜检查、肝病和酒精中毒,其中大多数都存在一定程度的免疫抑制。
李斯特菌的食源性暴发
李斯特菌是未加工和加工后的、植物源性和动物源性食物的一种常见低水平污染物。另一方面,热加工熟食并不传播李斯特菌。李斯特菌可在冷藏温度及较宽的pH范围中生存和繁殖,因此,即使少量污染也应重视。虽然李斯特菌通常为低水平污染物,但许多暴发中,致病食物中存在大量李斯特菌。据报道,食源性暴发(很多表现为发热性胃肠炎)与多种食物有关,最常见的为加工/熟肉类、热狗、软干酪、波兰式肉饼(pâtés)和水果。
通常可在这类暴发中观察到免疫正常的宿主发生发热性胃肠炎。不同胃肠炎暴发的罹患率为50%-100%不等,平均潜伏期约为24小时(6小时-10日不等)。而侵袭性李斯特菌病的潜伏期中位值为11日(90%的病例在28日内发生)。
继发于李斯特菌感染的发热性胃肠炎,通常发生于摄入受污染食物中的大量李斯特菌后。各种胃肠炎暴发中的罹患率为50%-100%不等。常见症状包括发热、水样泻、恶心、呕吐、头痛,以及关节和肌肉疼痛。其症状的典型持续时间小于等于2日,常可完全康复。
妊娠女性容易罹患李斯特菌病
妊娠期李斯特菌病最常发生于妊娠晚期。妊娠女性的李斯特菌病可能以发热、寒战和背痛为起病特征;非特异性流感样疾病是最常见的表现。感染可能轻微,不给予治疗也可缓解,如果未行血培养则可能漏诊。
妊娠女性中李斯特菌菌血症没有特异性临床指标,且不常见中枢神经系统侵袭。因此,对于所有发热的妊娠女性,当没有其他明确的解释(如泌尿道感染或咽炎)时,应考虑进行血培养。
妊娠女性发生李斯特菌感染可导致死胎、早产或新生儿感染。婴儿脓毒性肉芽肿是宫内严重的特征性感染,可能经胎盘传播引起。存在此疾病的婴儿在多个内脏器官(肝、脾、肺、肾和脑)中存在播散性脓肿和/或肉芽肿。可能出现丘疹性或溃疡性皮损。多数婴儿脓毒性肉芽肿的新生儿患者为死产或出生不久后即死亡。其胎盘组织病理学与众不同,因为存在明显的绒毛膜羊膜炎和急性绒毛组织炎(伴脓肿形成)。不用特殊染色常常就可发现羊膜上皮内的李斯特菌,但通过革兰染色或六胺银染色可清楚地显示这些微生物。
脓毒症和中枢感染
多数李斯特菌性脓毒症成人患者是免疫功能受损者或老年人,通常表现为发热和寒战。可出现脓毒性休克,还可能播散至脑和/或脑膜,从而引起脑膜脑炎或脑炎。无中枢神经系统侵袭的菌血症是妊娠女性发生李斯特菌病的主要形式,免疫功能受损患者发生中枢神经系统侵袭的风险更大。进行血培养是唯一能确诊李斯特菌菌血症的方法。
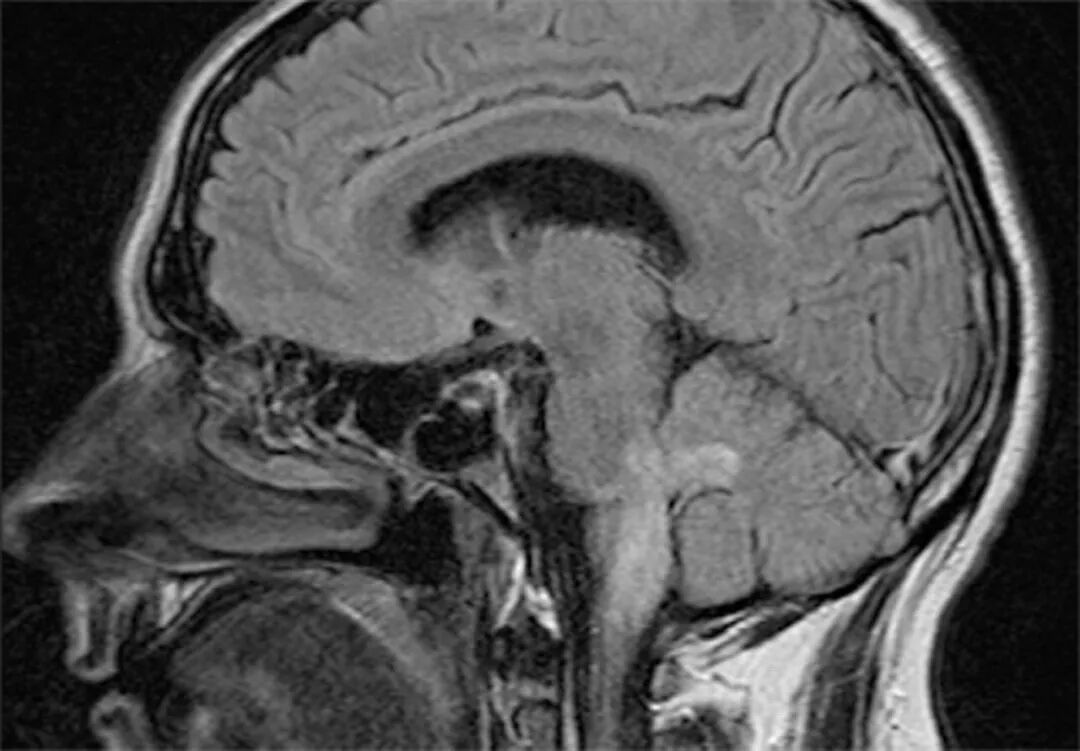
李斯特菌感染最常见的中枢神经系统表现是脑膜脑炎。脑炎很少情况下会进展为脑脓肿,菱脑炎(脑干脑炎)较少见。李斯特菌脑膜脑炎的临床表现从轻度疾病(发热和精神状态改变)到暴发性病程(昏迷)不等。大多数成人呈亚急性疾病。
脑干脑炎是李斯特菌的特征表现
脑神经麻痹、脑脊液淋巴细胞增多、脑脊液蛋白水平升高和葡萄糖水平降低等亚急性表现,可能与结核性或真菌性脑膜炎相似。这类患者的脑脊液李斯特菌培养常为阳性。
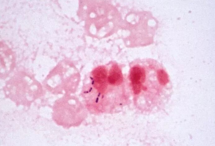
脑脊液白细胞中可见吞噬的革兰阳性杆菌
李斯特菌治疗有特效药
单核细胞增多性李斯特菌对常见抗菌药物敏感,如氨苄西林、青霉素、庆大霉素和复方磺胺甲噁唑,并且对这些药物的体外耐药罕见。虽然李斯特菌对上述药物敏感,但对临床常用的头孢菌素,喹诺酮类等药物,李斯特菌并不敏感,因此采用头孢菌素作为经验治疗往往无效。氨苄西林或青霉素G是首选药物。然而,当将这些抗生素以脑脊液中可达到的浓度用于体外实验时,发现其对李斯特菌的杀菌活性延迟。因此,治疗李斯特菌引起的中枢神经系统感染、心内膜炎,以及免疫功能受损者的李斯特菌感染时,常加用庆大霉素以获得协同作用。
临床应监测治疗反应(体温、临床体征和症状)。对于经过数日治疗仍持续发热或仍有其他体征或症状提示疗效较差的患者,应复查血培养;对于有中枢神经系统感染患者,还应复查脑脊液培养,如果初始MRI检查结果异常,还要复查MRI。
没有基础疾病的患者一般预后良好。相比之下,如果患者存在基础疾病且该基础疾病使其易发生更严重的感染(如恶性肿瘤、糖尿病或肾移植),则其死亡率较高。中枢神经系统感染的免疫功能受损患者死亡率特别高。
免疫正常人群如何预防感染李斯特菌
勿饮用生牛奶(未经巴氏消毒),或食用含未经巴氏消毒牛奶的食品。
进食生蔬菜前应彻底清洗。
将冰箱的冷藏室温度保持在4℃或更低;冷冻室温度保持在-17.8℃或更低。
预烹饪、易腐坏或即食的食品应尽快食用
将生肉、鱼及家禽肉与不需要烹煮的其他食物、熟食及即食食品分开放置
处理完生的食物后应洗净手、刀具和砧板。
彻底烹煮动物来源的生食,使其内部温度达到安全水平。
高危人群的加强版预防措施
对于高风险个体,如妊娠女性以及免疫功能受损者,还推荐
勿食用热狗、午餐肉或其他熟食肉类,除非将其再次加热至热透。
勿食用含有火腿、鸡肉、蛋、金枪鱼或海产品的预包装沙拉。
勿食用软乳酪、蓝纹乳酪或墨西哥式乳酪,除非标签明确标明其由巴氏消毒奶制成。
勿食用冷藏的风味肉基调味酱或肉酱。
勿食用冷藏的烟熏海产品,除非烹煮过。
李斯特菌的来历
单核细胞增多性李斯特菌首先由E.G.D.Murray在1924年从死亡的兔子中分离到。在将属命名为李斯特菌之前,Murray将这种生物称为单核细胞增生细菌。1940年Harvey Pirie以约瑟夫·李斯特(Joseph Lister)命名该菌属,细菌也就正式命名为单核细胞增多性李斯特菌。
尽管在1920年代就已经发表了关于动物和人类单核细胞增多性李斯特菌感染的临床描述,但直到1952年,该病才被认为是引起新生儿感染、败血症和脑膜炎的重要原因。
后来,人们发现成人李斯特菌病与免疫系统受损的患者有关,例如服用免疫抑制剂药物和皮质类固醇治疗恶性肿瘤或器官移植的患者以及感染艾滋病毒的患者。
但是直到1981年,单核细胞增多性李斯特菌才被确定为导致食源性疾病的原因。当时,在新斯科舍省哈利法克斯暴发的李斯特菌病暴发,涉及41例病例和18例死亡,主要在孕妇和新生儿中,在流行病学上与食用通过羊粪中单核细胞增多性李斯特菌污染的卷心菜丝有关。
自那时以来,已报道了许多食源性李斯特菌病病例,单核细胞增多性李斯特菌已被广泛认为是食品工业中的重要危害。
这个李斯特不是钢琴家,而是外科医生
约瑟夫·李斯特(Joseph Lister)是英国外科医师和无菌外科手术的先驱。
李斯特(1827年4月5日至1912年2月10日)
李斯特最初对可能引起伤口化脓和感染的问题做了认真分析。他观察到闭合性骨折,不管伤势多重,一般都不会化脓;相反,开放性骨折,即使伤势很轻,仅有微小的皮肤破损都会发生化脓。根据此事实很容易得出结论:空气是引起伤口化脓和感染的原因。但究竟是什么原因,他百思不得其解。
看到巴斯德的研究之后,李斯特茅塞顿开。他突然意识到伤口化脓很可能也是由空气中的微生物引起的。如果这一推论正确,那么只要把伤口与空气中的微生物隔绝或把微生物杀灭就能预防化脓感染。
李斯特还注意到助产士接生的新生儿的死亡率比外科医生的要低,他将其归功于助产士比外科医生洗手更频繁。因此,李斯特发表了论文《外科手术时的抗败血症原则》,从而开创了外科消毒的起源。为了进一步证明自己的发现。李斯特想找到有效的杀菌剂,在多次尝试失败之后,他选择了石炭酸(现称为苯酚)作为灭菌剂,建立了一套新的灭菌法。不仅在每项手术前需要认真洗手,而且还确保要使用的器皿和敷料都做彻底的卫生处理。这一系列消毒措施,成效惊人:在使用这一消毒方法的最初3年时间里,明显的手术患者的降低了死亡率。
1867年,李斯特在《柳叶刀》上正式公布了自己创造的外科消毒法,这也是外科学上里程碑的事件。1877年李斯特被任命为伦敦皇家学院临床外科教授,在15年的任期中,李斯特旨在推广外科消毒术,做了许多研究,也发表了许多论文。正是学术上的地位和反复实景的演示才让消毒术真正的普及开来,才能让手术前的洗手成为常规。
外科医生李斯特是一个传奇
李斯特也被称为“现代手术之父”,1879年,李斯特消毒剂(发展为外科用杀菌剂,但如今最著名的是漱口水)以李斯特命名。
以他的名字命名的微生物包括由Pirie命名的致病细菌李斯特菌,以食源性单核细胞增多性李斯特菌为代表,以及粘液霉菌李斯特菌,最早由爱德华·阿道夫·威廉·贾恩在1906年描述。
李斯特在1895年至1900年期间担任英国皇家学会(Royal Society)主席。在他去世后,一项纪念基金创立了李斯特奖章(Lister Medal),这被认为是可以授予外科医生的最负盛名的奖项。
李斯特的名字被铭刻在伦敦卫生与热带医学学院外墙腰线上,该外墙上一共只有23个医学名人的名字,都曾经为公共卫生和热带病领域中作出了杰出的贡献。
下面我们总结一下,李斯特菌是一种与众不同的细菌,虽然主要由食用被污染的食物,通过胃肠道进入人体,但它最大的威胁是入侵中枢神经系统和胎盘,造成脑膜炎和孕妇流产和死胎。预防它的最好方法是注意饮食卫生,避免生食或食用未煮透的食物。
今天我们留给大家的问题是,大家可能最熟悉的就是革兰阳性球菌和革兰阴性杆菌,你能不能说出几个革兰阳性杆菌和革兰阴性球菌呢?欢迎您在留言区留言,和大家一起交流。如果您觉得本讲对您有帮助也请您在朋友圈分享给您的朋友,大家一起学习传染病知识。
编写 王新宇
编辑 王新宇
校对 王新宇
图片来自网络
近期精彩内容回顾,猛戳链接: